- от автора Jose
Диагностика эозинофильной гранулемы и методы лечения
Эозинофильная гранулема: симптомы, лечение и последствия
В мире существует масса заболеваний. Некоторые из них проявляются только внешне, но мы даже представить не можем, что это организм нам сигнализирует о том, что внутренние органы поражает какой-то недуг. К таковым относится эозинофильная гранулема. Данное заболевание очень и очень редкое, встречается в основном у детей, людей пожилого возраста и мужчин. Самое страшное — это эозинофильная гранулема у детей. Она способна поразить кости, даже черепные. Что это за болезнь, как ее узнать, диагностировать и вылечить? Именно об этом поговорим сегодня.
Характеристика заболевания
Эозинофильная гранулема встречается в редких случаях. Она представляет собой разрастание ретикуло-гранулематозных тканей, сама по себе протекает доброкачественно. Если говорить более простым языком, болезнь связана с появлением аномальных образований — гранулем, которые в себе содержат лейкоциты — эозинофильные клетки. Гранулемы могут располагаться одиночно, но бывает, что они образуют собой целые цепочки, поражающие эпидермис лица, поверхность внутренних органов, а также плоские и трубчатые кости. Эозинофильная гранулема костей черепа в большинстве своем встречается у детей, а кожи — у пожилых людей. Из-за чего человек может быть атакован таким недугом?
Причины появления болезни
По настоящее время не выявлено причин, по которым может развиться эозинофильная гранулема. Но врачи склоняются к тому, что появлению болезни могут способствовать следующие факторы:
- травмы;
- перенесенные инфекционные заболевания;
- укусы различных насекомых, пауков;
- повышенная чувствительность к некоторым лекарственным средствам;
- аллергии разных видов;
- тканевая глистная инвазия.
Существует теория относительно того, что эозинофильная гранулема представляет собой некую промежуточную стадию между гиперпластическим процессом и новообразованием в виде опухоли. Заболевание относят к гистиоцитозу доброкачественного течения. Но, если недуг захватывает не только кожу, а костные ткани, то болезнь приобретает неприятный, нежелательный оборот. Особое волнение врачей вызывает ситуация, когда обнаруживается эозинофильная гранулема черепа у детей.
Симптоматика поражения органов
Болезнь может поражать только внутренние органы, не охватывая кости. Но в некоторых случаях эозинофильная гранулема распространяется с органа на костную ткань, особое предпочтение она отдает черепному материалу. Одновременно недуг может распространиться в печени, лимфоузлах, на коже, костях и головном мозге. Основные симптомы, которые можно отметить (но не всегда), это периодическое повышение температуры тела, слабость, быстрая утомляемость, снижение аппетита.
Течение болезни хроническое, длительное. Часто на фоне гранулемы эозинофильной развиваются прочие болезни, пользуясь ослабленностью и повышенной чувствительностью организма. При описываемом заболевании может появиться астма, крапивница, сенная лихорадка и аллергические синуситы.
Симптомы при поражении костной системы
Эозинофильная гранулема черепа встречается гораздо чаще, чем тот же недуг, захвативший кости таза и ребра, трубчатые кости. С развитием болезни структура ткани нарушается, становится склонной к травам, переломам. Какова же симптоматика заболевания?
- Пораженная кость доставляет ноющую боль, которая может усилиться при любых движениях, во время сна.
- Возможно формирование ложных суставов.
- На рентгеновском снимке аномалия проявляется в виде дефекта округлой формы, она может сливаться, образует ячеистую структуру.
- Если гранулема поразила кости ног, то в большинстве случаев больными отмечается мышечная атрофия, отеки.
Симптомы при поражении кожных покровов
При поражении эпидермиса протекание болезни и симптоматика будут разнообразны. Эозинофильная гранулема может распространиться на всей поверхности кожи отдельными пятнами, а может и сфокусировать все силы на одном участке, захватив подмышечные впадины, спину, область паха, лицо. Сама сыпь тоже довольно многолика, она может быть в виде:
- геморрагических высыпаний;
- небольших папул-ксаном коричневого или желтого окраса;
- сыпи узелковой;
- опухолеподобного образования, которое может достигать размера сливы.
На начальной стадии заболевания формируются папулы, которые впоследствии могут перерасти в опухолеподобные новообразования. Эозинофильная гранулема на коже всегда выпуклая, чаще всего мягкая, реже — упругая. Образования не шелушатся, имеют багрово-синий окрас.
Заболевание может абсолютно не беспокоить человека, и больной живет спокойно на протяжении нескольких лет. В некоторых случаях пациенты жалуются на жжение и зуд в местах поражения. Образования в связи с попаданием солнечных лучей могут менять цвет.
Болезнь начинается с образования пары гранулем, или одной. В дальнейшем они начинают расти, и могут достигнуть восьми сантиметров. Края гранулем валикообразные, очертания их неправильные.
Диагностика
Для обнаружения эозинофильных гранулем в медицине практикуется:
- Рентгенография, указывающая врачу на место локализации гранулемы, ее размеры.
- Биопсия пораженного участка дает возможность провести гистологические исследования.
- В лаборатории забираются анализы, в результате которых, при наличии эозинофильной гранулемы, отмечается повышение СОЭ, лейкоцитоз.
Если вы отметили признаки описываемого заболевания, то обратитесь к специалисту. Поражения на коже безвредны, но дают косметический дефект. Если недуг поразил внутренние органы или костные ткани, необходимо начинать срочное лечение.
Эозинофильная гранулема у детей: лечение клиническое
Лечебные мероприятия назначаются индивидуально для каждого пациента. Если гранулема атаковала ребенка, врачи предлагают подождать, постоянно наблюдая за течением болезни. Дело в том, что в большинстве случаев детская эозинофильная гранулема самоизлечивается. Если выжидательная тактика не дает положительной динамики, то предпринимаются следующие меры:
- инъекции кортикостероидов;
- лечение рентгеном;
- мази с кортикостероидами;
- препараты противомалярийные.
Если гранулемы поразили лицевую область, то действия таковы:
- углекислый лазер;
- хирургическое вмешательство;
- электрокоагуляция;
- криотерапия.
При поражениях костей хирургически устраняется очаг, после этого кость корректируют при помощи трансплантации. Проводится удаление хирургическим путем гранулем с кожи, также применяется пластическая хирургия. Также для лечения и для снижения к минимуму риска рецидива применяется химиотерапия и лучевая терапия.
Народные методы лечения
Если локализация эозинофильной гранулемы отмечается на лице, то можно воспользоваться проверенными народными рецептами из трав. Лечение необходимо начинать с первых стадий заболеваний, тогда оно даст максимальный результат. Предлагаем вашему вниманию один из самых действенных рецептов спиртовой настойки.
Измельчите в порошок около тридцати грамм сухого корня аира, который можно приобрести в аптеке. Поместите его в тару, которую можно будет закрыть крышечкой. Залейте порошок водкой в количестве пол-литра. В другую тару поместите двадцать грамм прополиса, тоже залейте водкой в таком же количестве. Настойка должна готовиться на протяжении двух недель, после чего ее можно использовать.
Приготовленное лекарство используется для поверхностного применения. Налейте в небольшую емкость одну часть настойки из прополиса, смешайте с двумя частями настойки из корня аира. Смочите ватный диск в веществе, приложите к пораженному месту на полчаса. После этого кожу нужно будет смазать детским кремом, не смывая лекарство.
Прогнозы
Последствия эозинофильной гранулемы у большинства пациентов не отмечаются. Лечение болезни длительное, но при своевременной и правильно оказанной помощи удается добиться стопроцентного избавления от недуга.
Профилактических мер для предотвращения эозинофильной гранулемы нет, так как медиками не выявлены точные причины ее возникновения.
Эозинофильная гранулёма
Эозинофильная гранулёма – это доброкачественная опухоль, содержащая внутри большой объём инфильтратов («болезнь Таратынова»). Они производятся на фоне повышенного количества эозинофильных лейкоцитов. По статистике патология выявляется в редких случаях. Чаще заболевание поражает мужскую часть населения. Гранулёма образуется на эпидермисе лица либо одиночно, либо множественно. На лице нарост появляется у мужчин, а костные ткани задеваются у детей.
Причины развития
Новейшая медицина ушла далеко вперед и достигла больших высот. Однако, несмотря на активное развитие медицинской сферы, врачи не смогли определить конкретные причины опухоли. Докторам не удаётся полностью исследовать развитие данной болезни. Существует некоторые провоцирующие факторы, вызывающие предрасположенность к патологическому отклонению:
- инфицирование, вирусные заболевания;
- травмирование костной системы;
- нарушение целостности эпидермиса;
- укусы отдельных видов насекомых;
- высокий уровень чувствительности тела, вызванный группой лекарственных веществ;
- употребление лечебных медикаментов;
- наследственная расположенность по генетическим клеткам;
- появление регулярных приступов аллергических реакций.
Изложена теория, согласно которой гранулёма выступает в качестве промежуточной ступени между образованием опухолей и гиперпластическим процессом. Данная болезнь входит в группу разновидностей патологии – гистиоцитоз X.
Симптомы
Эозинофильная гранулёма отличается от прочих видов гистиоцитоза Х доброкачественным характером. Но при охватывании сразу группы костей патология становится опасной. Заболевание способно поражать кости черепа, таза, рёбра и трубчатые кости. Костная структура меняется, из-за чего пациенты получают внезапные переломы. Основной распространённой симптоматикой считаются ноющие болевые ощущения, значительно усиливающиеся при движении и в ночное время.

У многих пациентов гранулёма развивается без задевания костных тканей. В этом случае очаги процесса находятся в печени, лимфоузлах, головном мозге, в теменной области и челюстей и на кожном покрове. Встречаются случаи болезни с групповым заражением эпидермиса, костей и ряда внутренних органов. Признаки наличия эозинофильной гранулёмы на коже различны. Кожная сыпь может быть ограниченной либо генерализованной. При втором варианте поражённый участок обнаруживается как на кожном покрове, так и на затылочной, лобной области, спине, в подмышках и бедренной части. Патология имеет разный характер:
- Маленькие высыпания папулёзного типа тёмного либо жёлтого тонов ксантомы.
- Высыпания геморрагического типа.
- Новообразования в виде узелков или опухоли.
В начальной стадии развития болезни проявляется пурпурозный элемент, или папулы. На последующих этапах первичный очаг рождает инфильтративную бляшку или нарост по типу опухоли. Доктор Н. И. Таратынов выделил следующие симптомы гранулёмы:
- Болевые ощущения на поражённом участке.
- Опухлость мягких тканей.
- Регулярные беспричинные переломы и травмы.
В случае с множественными очагами поражения признаки отличаются:
- Снижение аппетита.
- Тошнота и рвотные позывы.
- Высокая температура тела.
- Лимфаденопатия.
- Увеличенный размер печени и селезёнки.
- Себорейный дерматит.
- Отит среднего уха.
- Систематическое заболевание ОРВИ.

Диагностика
Выявить эозинофильную гранулёму сложно. Патология не до конца исследована докторами, поэтому нередко её путают с похожими болезнями. Для диагностики заболевания следует провести обследования:
- Рентгенография – обследование помогает точно найти местоположение воспалительного очага. Рентген дает полную информацию о величине опухоли и разрастании отростков.
- Гистологическое обследование – анализируются биологические ткани, собранные из позвоночного столба. Гистологией определяется структура и форма гранулёмы. Патологическое заболевание состоит из эозинофилов и гистиоцитарных клеток (гистиоцитоз).
- Общий анализ крови – определяется увеличение интенсивного оседания эритроцитов и повышенное количество лейкоцитов.
Диагностика эозинофильной гранулёмы среди современных способов кроме проведения биопсии заражённых клеток и рентгена проводится на КТ костей черепа и МРТ. С помощью томографии уточняют размеры опухолей и нахождение очага в соотношении с окружающими мягкими тканями, сосудами и нервными окончаниями.
Стадии развития эозинофильной гранулёмы
Эозинофильная гранулёма недостаточно исследована на современном этапе жизни. Согласно исследованиям, развитие болезни проходит в три стадии. Интенсивность поражения материала у больного определяется на рентгеновском обследовании и при КТ. Первый этап характеризуется появлением эозинофильной гранулёмы, второй – наростов в области плоских позвонков, третий – патологией позвоночного столба. Каждая стадия развития заболевания имеет свои особенности.
Первый этап
В районе позвоночника возникают сильные болевые ощущения. У пациента появляются жалобы на слабость в теле и постоянную усталость.

Ухудшается самочувствие человека, повышается температура тела. Эритроциты оседают с высокой скоростью, а после осмотра и пальпации позвоночника обнаруживаются отростки. В исключительных ситуациях доктор диагностирует кифоз и сколиоз. Воспаление мышечных структур приводит к натечному абсцессу. Отсутствие терапевтических мероприятий запускает в позвоночной области множественные очаги поражения.
Второй этап
На данном этапе ощущается значительная слабость в позвоночнике, образуются переломы костей. В результате появляются участки с кровотечением. Без лечения позвоночный столб сжимается на пару миллиметров. Сдавливается спинной мозг, из-за чего ощущается дискомфорт, отражающийся в грудной клетке. Продолжительность стадии развития болезни достигает 12 месяцев.
Третий этап
Стадия отличается большей продолжительностью, доходящей до десятков лет. Позвоночник уменьшается в размерах до двух третьих изначальной высоты. Задние области позвоночника заполняются наростами в пластинах.
Лечение эозинофильной гранулёмы
Способ лечения эозинофильной гранулёмы выбирается в индивидуальном порядке. Доктор отправляет пациента на полное диагностическое обследование. По результатам анализов быстрее удастся получить клиническую картину болезни. Чаще всего патология образуется у детей в клетках головного мозга. В этой ситуации не назначаются терапевтические мероприятия. Вместо терапии прибегают к выжидательной тактике. Зачастую заболевание рассасывается самостоятельно без применения терапевтических мер. Для лечения болезни у взрослых пациентов проводятся такие действия:
- Лечение рентгеном – на заражённые клетки воздействуют волнами различной длины, разрушающими очаги с наростами. Метод считается наиболее действенным для излечения. Вероятность благоприятного исхода при применении данного способа достигает 70%.
- Терапия кортикостероидами – используются лекарственные медикаменты для затормаживания роста и распространения патологического отклонения.

- Применение местных медикаментов, имеющих в составе кортикостероиды – вещества углубляются в эпидермис, снимают болевую симптоматику и блокируют дальнейшее развитие образования.
- Введение антималярийных средств – если развитие болезни началось после укуса насекомых, пациенту вводят данные препараты.
Для избавления от эозинофильной гранулёмы, образованной на поверхности кожи лица, назначаются такие меры:
- Электрокоагуляция – опухоль попадает под действие электрических импульсов, активизирующих разрушительный процесс непосредственно изнутри.
- Углекислый лазер – во внутреннюю часть оболочки вводят особый газ, разрушающий клетки капсулы.
- Криотерапия – образование лечат под воздействием низких температур.
- Хирургический кюретаж – считается радикальным приёмом для устранения гранулёмы. Нарост иссекается с поверхности кожи.
Удалить эозинофильную гранулёму, развившуюся в костной структуре, помогает резекция. Для полного выздоровления от патологии врач назначает пластику либо трансплантируется кожа. В исключительных ситуациях в качестве терапии применяются химические или лучевые воздействия.
Прогноз
По статистике большинство случаев формирования эозинофильной гранулёмы обнаружено у детей. Заболевание чаще поражает детей школьного и дошкольного возраста, ребёнок попадает в число заболевших. Но болезнь также способна образоваться у человека любого возраста. Протекание патологического заболевания не имеет ярко выраженной симптоматики.
В процессе развития гранулёмы костные структуры изменяются, однако ощутимых признаков нет. При этом поражённые клетки редко достигают внутренних органов. После операции по удалению нароста прогноз устанавливается благоприятный. Если упустить время и не устранить гранулёму вовремя, начнут возникать регулярные переломы и травмы.
Особую опасность представляет травмирование позвоночника. Учёные не выявили причины, провоцирующие образование данной болезни. Не установлен точный список профилактических мер. Своевременная диагностика и правильный выбор подходящего лечения повышает вероятность положительного результата до 90%.
Эозинофильная гранулёма у кошек
Эозинофильная гранулёма у кошек – это болезнь аллергического характера. Патология появляется у многих зверей: у собак, лошадей и прочих видов. Причиной развития данного заболевания выступает нарушение иммунной системы и последующее снижение защитной реакции организма на аллергены. Утолщается линейная форма внутрикожного материала. Эозинофилы наполняются в определённых местах кожного покрова либо слизистой оболочки, образуя в выбранных участках воспалительный очаг. В результате образуется патология.
В процессе развития болезни, в дальнейшем поражённые клетки захватывают близлежащую ткань, распространяясь по окружающей территории. Если в процесс войдут вторичные инфекционные микробы, рост воспаления происходит с усиленной скоростью. Сбой функционирования эозинофилов относится к врождённым типам патологии. Гранулёма образуется у кошек в возрасте от трёх и до пяти лет. У котов болезнь проявляется в редких случаях. Возникновение патологии не зависит от породы питомца.

Возможные последствия и прогноз
При отсутствии лечения на этапе локального образования болезни повышается риск развития аллергического милиарного дерматита и эозинофильного гастрита. Патологии показывают распространение поражённых тканей и вовлеченность в разрушительный процесс эозинофилов:
- Аллергический милиарный дерматит (экзема) – на начальной стадии выражается мелкой, просовидной сыпью пузырчатой формы и в виде бугорков на кожном покрове, краснотой поражённых участков и нестерпимым зудом. Болезнь характеризуется маленькими сливающимися эрозийными поражениями и коростами. Шерсть питомца становится редкой, отмечается интенсивное выпадение. Хронический этап протекает видоизменением покрасневшего места в тёмный оттенок, образуется чёрный акантоз. Высока вероятность получения инфекции во время расчёсывания и вторичной пиодермии – парша.
- Эозинофильный гастрит и энтерит – инфильтрируются эозинофилами желудочная оболочка и слизистый материал тонкой кишки. Кишечник утолщается и расширяется. Животное стремительно худеет, стул выходит со сгустками крови. Возможная тошнота и рвота.
Распространённым осложнением считается пиодермия вторичного типа – это процесс инфицирования и нагноения опухолевых зон. Признаки болезни:
- Сильные болевые ощущения.
- Отёчность и краснота, распространяющиеся по соседним тканям.
- Высокая температура тела.
- Регионарные лимфатические узлы увеличиваются, появляется болезненность во время пальпации.
- Ухудшение общего самочувствия кошки в результате сильной интоксикации организма.
Прогноз для кошек, имеющих аллерген, который можно устранить, благоприятен. Гранулёма не оставляет следов после самостоятельного рассасывания. Излечение успешно проходит протарголом. В осложненных ситуациях требуется долгая и повторяющаяся терапия, а также регулярные амбулаторные обследования. При отсутствии эффекта от проводимого лечения и проявлении побочек прогноз ухудшается. Ветеринар способен повысить срок ремиссии до полугода. При этом повышается качество привычной жизни и сохраняется продолжительность жизни кошек.

Правила ухода за больным животным
Важно обеспечить кошке надежную защиту от факторов, спровоцировавших сбой в иммунной системе. Необходимо следовать установленному режиму подачи медикаментов, вовремя сдавать анализы и проверяться у ветеринара. Врачи дают такие рекомендации:
- Поменять наполнитель в лотке на гипоаллергенный, в том числе замене подлежит посуда и лежанка кошки.
- Защищать питомца от травмирования, соблюдать правильный рацион питания и чистоту помещения и животного.
- Обрабатывать кошку от блох, клещей, гельминтов.
- Свести к минимуму прогулки на улице. Это защитит питомца от употребления уличной пищи, вторичных заражения насекомыми и бактериями и нарушения времени приёма медикаментов.
- Наблюдать за поведением кошки, записывать любые изменения в дневник и фотографировать.
- Обрабатывать раны на коже мазями и антисептическими средствами (салициловый спирт, перекись водорода, спиртовая настойка календулы).
Если следовать перечисленным правилам и регулярно проверять питомца в клинике, вероятность выздоровления повышается. Уменьшается риск возникновения негативного последствия. Кошки способны жить до 15 лет.
Диета
Питание играет важную роль в выздоровлении кошек. Если гранула возникла на основе аллергии на пищу, диета выступает в качестве этиотропной терапии. Соблюдение режима питания повышает вероятность излечения питомца. Следует применять гипоаллергенные виды кормов надёжных производителей, рекомендуемых ветеринарами: RoyalCanin, Hills и прочие.

Если животное питается натуральными продуктами, нужно давать ей пищу, не употребляемую ранее. В первую неделю можно кормить мясом кролика, на второй – мясом лося, на третьей – мясом индейки, на четвёртой – мясом ягнёнка. Важно неотрывно следить за состоянием и поведением кошки. В процессе лечения кортикостероидами запросто образуется панкреатит. Нельзя давать питомцу еду со стола. При достаточной продолжительности болезни животные теряют вес, поэтому в рационе предусматривается необходимый объём белка. Предпочтительно готовить блюда из мяса, рыбы, птицы и нежирного творога.
Опасность для человека и других животных
Опасность представляют инвазивные болезни и инфекционные, спровоцировавшие аллергическую реакцию. Патология не опасна и не заразна для посторонних. Заболевание образуется на фоне персональной реакции иммунитета на аллергены. Если пусковым механизмом стала инвазия или вирус, после удаления нароста кожный покров считается безопасным. Однако в лечебный период кортикостероидами или цитостатиками ограничивают контакты с людьми или другими животными. Это уменьшит риск развития вирусных болезней.
Важно своевременно обнаружить симптоматику эозинофильной гранулёмы у кошки. Рекомендуется регулярно проходить ветеринарный осмотр и внимательно относиться к животному. С помощью лечения можно улучшить комфорт жизни кошки и полноценно излечить от патологии.
Болезнь Таратынова
Аллерголог-иммунолог Надежда Кнауэр о заболевании неясной этиологии — гистиоцитозе X, и его разновидности — эозинофильной гранулеме
В 1913 году Николай Иванович Таратынов (1887–1919), молодой врач и сотрудник кафедры патологической анатомии Казанского университета, получил материал для исследования и уточнения диагноза. Это был фрагмент ткани, взятый у пациента с ушибом свода черепа — через некоторое время после травмы в этом месте сформировалось гранулематозное образование.

Рисунок 1. 3D-реконструкция костей черепа с солитарной эозинофильной гранулемой
https://radiopaedia.org/cases/eosinophilic-granuloma-skull
Предполагалось, что это туберкулез кости, но вместо классического туберкулезного бугорка Таратынов увидел скопления мононуклеарных клеток (тканевых макрофагов или гистиоцитов) и эозинофилов, а также кристаллы Шарко — Лейдена, которые прежде обнаруживались в мокроте больных бронхиальной астмой. Морфологическая картина свидетельствовала о «существовании гранулем, клинически и макроскопически совершенно сходных с туберкулезными, распознаваемых лишь микроскопически и состоящих почти исключительно из эозинофилов».

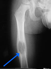
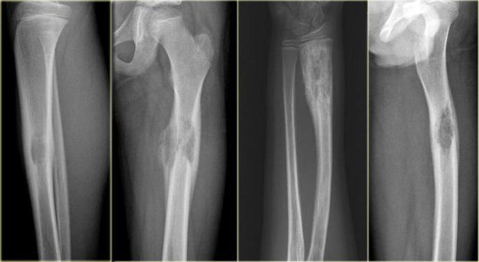
Рисунок 2. Эозинофильная гранулема кости: поражение бедра у девочки 11 лет (рентгенограмма). Отмечались припухлость и боль в течение 3 мес.
https://radiopaedia.org/cases/langerhans-cell-histiocytosis-skeletal-manifestations
Ранее неизвестное заболевание и было названо болезнью Таратынова. В настоящее время это название в основном используется в русскоязычных источниках и имеет скорее историческое значение.
В 1940‑х гг. аналогичные случаи были представлены в статьях врачей из США Садао Отани (Sadao Othani), Джозефа Эрлиха (Joseph Ehrlich), Луиса Лихтенштейна (Louis Lichtenstein) и Генри Джаффе (Henry Jaffe) под названиями «солитарная гранулема кости» и «эозинофильная гранулема кости».
Аналогичные гистиоцитарные инфильтраты были описаны и другими авторами — Альфредом Хэндом (Alfred Hand Jr, США) в 1893 г., Артуром Шюллером (Arthur Schüller, Австрия) в 1915, Генри Крисченом (Henry Cristian, США) в 1920, Эрихом Леттерером (Erich Letterer, Германия) в 1924, Стуре Сиве (Sture Siwe, Швеция) в 1933, в связи с чем вводились термины «болезнь Хэнда — Шюллера — Крисчена» и «болезнь Абта — Леттерера — Сиве». Однако в дальнейшем был сделан вывод, что всё это — различные по тяжести и локализации очагов формы одного и того же заболевания, названного «гистиоцитозом Х» в 1953 году.

Рисунок 3. Эозинофильная гранулема костей черепа (рентгенограмма)
https://radiopaedia.org/cases/eosinophilic-granuloma-1
Ответ на вопрос, что собой представляют гистиоциты, формирующие гранулемы, был дан в 1973 г. педиатром и морфологом Кристианом Незелофом (Christian Nezelof, Франция), который идентифицировал их как клетки Лангерганса (разновидность антигенпрезентирующих клеток, локализующихся в эпидермисе). В связи с этим с 1987 г. название «гистиоцитоз Х» было заменено на «гистиоцитоз из клеток Лангерганса» (ГКЛ, Langerhans cell histiocytosis, LCH).
Этиология
Вопрос о причинах развития гранулем остается открытым. Одна из теорий рассматривает гистиоцитоз Лангерганса как неопластический процесс. В пользу этого говорят такие особенности, как моноклональность патологических клеток (происхождение из одной патологической клетки), повышенная экспрессия в них активаторов пролиферации и факторов, ингибирующих апоптоз. В то же время в клетках нет геномных дефектов, возможна спонтанная ремиссия заболевания. В месте развития гранулемы описана активация Т-лимфоцитов и Т-регуляторных клеток с супрессорной активностью. Указанные признаки говорят о том, что в основе развития заболевания могут лежать другие иммунопатологические процессы.

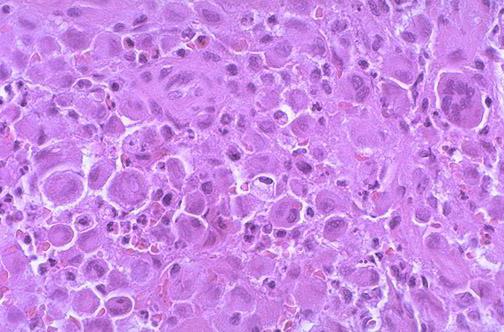
Рисунок 4. Эозинофильная гранулема: патоморфологические изменения. На последнем изображении окрашен белок S-100, экспрессируемый клетками Лангерганса.
https://radiopaedia.org/cases/eosinophylic-granuloma-histology-1
Клинические проявления
Эозинофильная гранулема (ЭГ), она же болезнь Таратынова, — это относительно доброкачественный вариант гистиоцитоза Лангерганса с появлением одиночных очагов в плоских или трубчатых костях. Появление двух-трех и более очагов встречается гораздо реже. Обычно гистиоцитоз из клеток Лангерганса проявляется у детей и подростков (до 15–20 лет), чаще у мальчиков (примерно 1,5:1). Частота встречаемости — менее 1 чел. на 100 000 населения, что составляет 60–80 % всех случаев ГКЛ. У взрослых эозинофильная гранулема, как и гистеоцитоз X в целом, встречается гораздо реже.
Наиболее часто поражаются кости черепа, бедренные кости, реже — кости таза, ребра, позвонки. Известны также случаи появления патологических очагов в тимусе, коже, мочевом пузыре, паращитовидных железах, гипоталамусе, легких и желудочно-кишечном тракте.
Клиническая картина определяется расположением гранулемы. Внутрикостное образование может и не давать никакой симптоматики, но обычно приводит к развитию припухлости, болей, иногда — патологическим переломам. При появлении очагов в челюсти может наблюдаться выпадение зубов, поражение сосцевидного отростка или височной кости с развитием среднего отита. При вовлечении в процесс стенок глазницы может развиться экзофтальм. Иногда наблюдаются полиморфные высыпания на голове, спине, в подмышечных впадинах, перианальной и генитальной областях в виде пятен или бляшек, мелких узелков или узлов с изъязвлениями. Нередки общие проявления болезни Таратынова — повышенная утомляемость, слабость.

Рисунок 5. Фото проявлений эозинофильной гранулемы на коже — типичные элементы пурпуры, необходимо дифференцировать с себорейным дерматитом
Лабораторная и инструментальная диагностика
Использование различных методов визуализации (рентгенография, КТ, МРТ) позволяет выявить очаги деструкции величиной до 5 см с четкими границами без склеротических изменений, иногда — патологические переломы, уплощение пораженных позвонков (vertebra plana).
Определяющее значение в диагностике гистиоцитоза у взрослых и детей имеет патоморфологическое исследование. При микроскопии видны инфильтраты из клеток Лангерганса (крупные овальные клетки с ядрами неправильной формы), эозинофилов, лимфоцитов, макрофагов. Иммуногистохимический анализ выявляет экспрессию молекул CD1a, лангерина, белка S-100, характерных для клеток Лангерганса. Проведение электронной микроскопии позволяет увидеть характерные для клеток Лангерганса гранулы Бирбека.
Дифференциальная диагностика при ЭГ проводится с остеомиелитом, первичными опухолями или метастатическими поражениями костей, лимфомой, миеломной болезнью, синдромом Папийона — Лефевра и костными кистами.

Рисунок 6. Гранулы Бирбека, характерные для клеток Лангерганса (данные электронной микроскопии)
Лечение и прогноз
В ряде случаев эозинофильная гранулема лечения не требует, никак себя не проявляет и проходит самостоятельно за несколько лет. При выраженной симптоматике и/или выраженных костных дефектах используются разные подходы и их комбинации: хирургическое удаление очага (кюретаж, иссечение) или его радиочастотная аблация; назначение цитостатиков или сочетания цитостатиков и глюкокортикостероидов (в том числе вводимых в патологический очаг); лучевая терапия при наличии больших очагов или очагов, сдавливающих соседние ткани и органы. Проводится также и коррекция сопутствующей патологии.
В качестве перспективных схем лечения гистиоцитоза X рассматриваются антицитокиновые препараты, антиCD1a-моноклональные антитела и препараты транс-ретиноевой кислоты.
ЭГ в целом имеет благоприятный прогноз, вплоть до возможности спонтанного излечения, однако при переходе в другие формы течение гистиоцитоза из клеток Лангерганса может быть более злокачественным — такое происходит, например, при вовлечении костного мозга (довольно редкое явление). В некоторых случаях болезнь Таратынова требует оперативного вмешательства. После курса лечения пациенты должны находиться под диспансерным наблюдением онколога в течение 3 лет с ежемесячными осмотрами и рентгенологическим исследованием каждые полгода.
Клинический случай
Приводится по Lam S. et al, Eosinophilic granuloma/Langerhans cell histiocytosis: Pediatric neurosurgery update. 2015
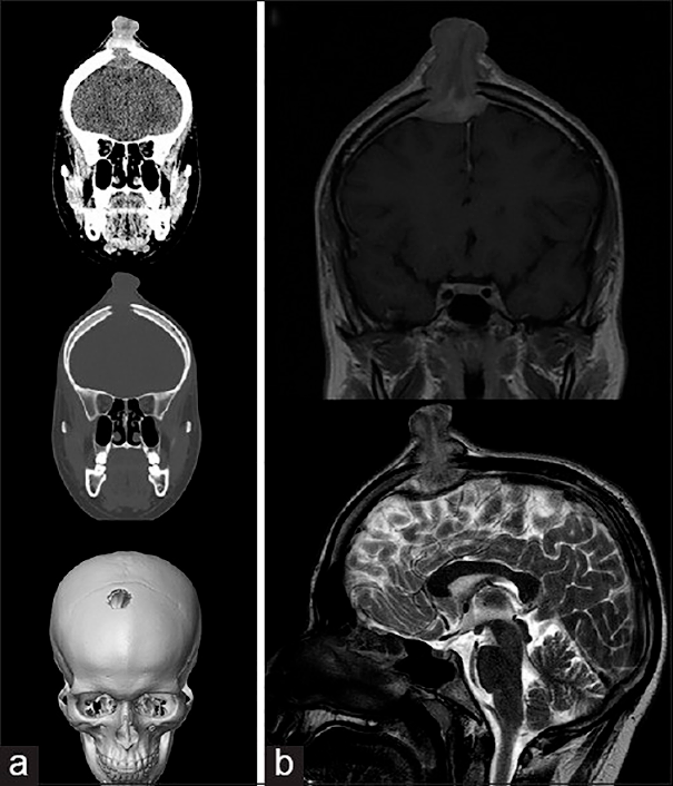
Молодой человек 17 лет был госпитализирован по поводу увеличивающегося в течение последних 6 недель образования волосистой части головы. Образование при пальпации болезненно, из‑за изъязвления периодически кровоточит, однако неврологического дефицита не выявлено. При КТ и МРТ выявлен крупный очаг в лобной кости справа, сдавливающий верхний сагиттальный синус. Проведена тотальная резекция образования, подтвержден диагноз «лангергансоклеточный гистиоцитоз кости черепа». На амбулаторном этапе проводилась терапия цитостатиком.

Рисунок 6. (а) КТ-исследование без контрастирования — фронтальное сканирование (верхняя и средняя часть) и 3D-реконструкция черепа (нижняя часть). (b) МРТ-сканирование. Т1‑взвешенное изображение во фронтальной плоскости (сверху) и Т2‑взвешенное изображение в сагиттальной плоскости
- Coppes-Zantinga A., Egeler R. M. The Langerhans cell histiocytosis X files revealed. Br J Haematol, 2002. — V. 116 — N. 1 — P. 3–9.
- Lam et al., Management of adult patients with Langerhans cell histiocytosis: recommendations from an expert panel on behalf of Euro-Histio-Net. Orphanet J Rare Dis, 2013 — V. 8. — N 72.
- Lam S., Reddy G. D., Mayer R., Lin Y., Jea A. Eosinophilic granuloma/Langerhans cell histiocytosis: Pediatric neurosurgery update. Surg Neurol Int, 2015. — N. 6 (Suppl 17): S435 — S439.
- Langerhans’ Cell Histiocytosis (Histiocytosis X). What is it? Harvard Medical School. Harvard Health Publishing. October, 2014. www.health.harvard.edu
- Sharma R., Singh R. et al. Langerhans cell histiocytosis (skeletal manifestations). Radiopaedia. https://radiopaedia.org/articles/langerhans-cell-histiocytosis-skeletal-manifestations-1
- Shea C. R, James W. D. et al. Langerhans Cell Histiocytosis. Medscape, 2017. https://emedicine.medscape.com/article/1100579‑overview
- Чурилов Л. П. Смерть на взлете, или Кто вы, доктор Таратынов? Здоровье — основа человеческого потенциала: проблемы и пути их решения, 2014. — Т. 9 — № 2 — С. 919–929.
- Юсупова Л. А., Юнусова Е. И., Гараева З. Ш., Мавлютова Г. И. Гистиоцитоз Х. Практическая медицина, 2014 — Т. 08 — № 14.
Нашли ошибку? Выделите текст и нажмите Ctrl+Enter.
Как предотвратить развитие эозинофильной гранулемы
-
4 минут на чтение

Эозинофильная гранулема – формирование доброкачественной природы, состоящее из множественных инфильтратов, которые продуцируются при чрезмерном уровне лейкоцитов. Заболевание поражает костную тканевую структуру или кожный покров на лице. Первый тип чаще всего встречается у детей, тогда как второй вид – у мужчин.
Содержание
- Что такое
- Стадии
- Причины
- Симптомы
- Диагностика
- Лечение
- Осложнения
- Прогноз
- Профилактика
Что такое
Данная редкая патология представляет собой одиночные или множественные новообразования на лице, внутренних органах, в костных структурах. В группу риска входят мужчины и дети. Однако болезнь способна возникнуть и у женщин.
Чаще всего поражаются кости черепной коробки, нижней челюсти. При этом в большинстве случаев патологический процесс никак не влияет на качество жизни больного. Однако эозинофильная гранулема влияет на оседание эритроцитов, вызывая тромбоз кровеносных сосудов.
Поражение кожного покрова имеет вид незначительных геморрагических папул, покрытых плотной коркой и кровоточащих в центре. Практически всегда такой вид болезни развивается на волосистой области головы или лице. Крайне редко затрагиваются голени, другие части тела.
Стадии
Заболевание протекает в трех стадиях. На первом этапе пациент начинает страдать от постоянной слабости, быстрой утомляемости, выраженного болевого синдрома в позвоночном столбе, лихорадки. Эритроциты быстро оседают. Во время прощупывания позвоночника можно обнаружить костные разрастания.
Иногда вследствие эозинофильной гранулемы возникает сколиоз или кифоз. Постоянный воспалительный процесс в мышечных волокнах приводит к натечному абсцессу. Если на этой стадии не начать адекватное лечение, то позвоночный столб поражается множественными деструктивными очагами.
На втором этапе мышечный корсет сильно ослабевает, в позвоночнике выявляется большое количество микроскопических повреждений, вследствие чего появляются кровоизлияния. Отсутствие лечения ведет к сплющиванию позвонков, сдавливанию спинного мозга. Чаще всего вторая стадия длится в течение года.
Последняя стадия длится несколько лет. Позвоночный столб теряет значительную часть высоты, а сзади уплотняются пластины.
Причины
Истинные причины развития эозинофильной гранулемы у детей и взрослых до сих пор не установлены. Однако известны следующие факторы, которые существенно увеличивают вероятность появления патологического процесса:
- Болезни инфекционного характера.
- Механические повреждения костных структур.
- Нарушения целостности эпидермиса.
- Укусы пауков, насекомых.
- Длительный и бесконтрольный прием некоторых медикаментозных препаратов.
- Наследственная предрасположенность.
Кроме того, заболевание нередко возникает при частых и сильных аллергических реакциях. Для снижения риска появления гранулемы нужно минимизировать воздействие вышеперечисленных факторов.
Симптомы
Из-за отсутствия специфической симптоматики данную патологию тяжело диагностировать. Нередко эозинофильная гранулема обнаруживается в запущенных случаях или во время обострения.
По теме

-
- Общее
Что такое онкоосмотр
- Наталья Геннадьевна Буцык
- 6 декабря 2019 г.
На наличие заболевания указывают следующие проявления:
- Повышенная утомляемость.
- Железодефицитная анемия.
- Увеличенная температура тела.
- Побледнение кожного покрова.
- Резкое снижение веса.
- Вялость, усталость.
При поражении позвоночного столба больной ощущает болевой синдром в спине, возникает ограничение подвижности, повышенное сокращение сухожилий в стопах. При этом симптоматика продолжительная и длится в течение 3-4 месяцев.
Эозинофильная гранулема встречается крайне редко, вследствие чего нередко заболевание путают с ревматизмом, лейкозом, туберкулезом костной ткани, остеомиелитом, саркомой, злокачественным поражением лимфатических узлов. Из-за этого адекватная терапия назначается уже на последней стадии, когда позвоночный столб серьезно деформирован.
Диагностика
Выявить эозинофильную гранулему крайне сложно. Так как заболевание встречается редко, то часто врачи проявления данной патологии принимают за другие болезни, назначая совсем другое лечение.
Для обнаружения новообразования необходимо сделать рентгенографию. Этот метод диагностики позволяет обнаружить локализацию атипичного процесса, выявить костные разрастания, определить размер и форму дефекта.
Кроме того, важно взять биологический материал для гистологического изучения. Благодаря биопсии точно устанавливается структура, тип гранулем.
При заболевании биоптат должен состоять из эозинофилов и гистиоцитарных клеток. С помощью общего анализа крови определяется скорость оседания эритроцитов, выявляется количество лейкоцитов.
Лечение
При поражении головного мозга у детей практически всегда специалист применяет выжидательную тактику, так как даже при отсутствии лечения эозинофильная гранулема нередко самостоятельно проходит. У взрослых в первую очередь назначается рентген.
Во время процедуры волны воздействуют на пораженную область и уничтожают новообразование. Рентген считается крайне эффективным методом, который результативен в 70% случаев.
Кроме этого, пациенту назначаются кортикостероиды, замедляющие рост доброкачественных формирований, устраняющие болевой синдром. Если гранулема была вызвана укусом насекомых, то вводятся антималярийные средства.
По теме

-
- Общее
Синяки на теле при раке
- Наталья Геннадьевна Буцык
- 6 декабря 2019 г.
При поражении кожного покрова лица выполняют электрокоагуляцию, когда электрические импульсы изнутри разрушают дефект. Иногда используют углекислый лазер. Во время манипуляции специальный газ уничтожает структуру новообразования.
Криотерапия позволяет ликвидировать патологический процесс с помощью низких температур. При хирургическом кюретаже формирование просто устраняется скальпелем.
Для полного восстановления тканей выполняется пластика или трансплантация структур с других участков туловища. Чтобы защитить пациента от рецидива, иногда после основного лечения применяют химиотерапию или лучевое облучение.
Осложнения
Эозинофильная гранулема у детей чаще всего поражает головной мозг или костные структуры позвоночного столба. В большинстве случаев терапия не требуется, так как новообразование склонно к самостоятельному рассасыванию.
Если самоустранение не происходит, а адекватное лечение отсутствует, то формирование способно привести к серьезным осложнениям. Из-за того, что патологический процесс возникает крайне редко, плохо изучен, а специфическая симптоматика отсутствует, часто врачи гранулему принимают за другие заболевания.
При поражении позвоночного столба пораженные позвонки сплющиваются, приводя к выпячиванию дисков. Кроме того, болезни свойственно появление костных разрастаний, вследствие чего больной страдает от выраженных болезненных ощущений, ограничения подвижности.
На кожном покрове новообразование можно удалить различными способами, поэтому при своевременном обращении к дерматологу существует высокая вероятность полного избавления от проблемы.
Прогноз
Прогноз зависит от степени запущенности заболевания. У детей эозинофильная гранулема нередко самостоятельно проходит. У взрослых поражение костной ткани приводит к необратимым изменениям в позвоночном столбе, к развитию остеофитов, от которых можно избавиться только высокотравматичным хирургическим путем.
При своевременном и адекватном лечении прогноз положительный. Полное излечение от доброкачественного формирования достигается в 90% случаев. Особенно высока вероятность тотального устранения дефекта при поражении эпидермиса лица или волосяного участка головы.
Профилактика
Так как точные причины развития заболевания еще не известны, специфические меры профилактики отсутствуют. Для защиты от патологического процесса необходимо минимизировать воздействие провоцирующих факторов.
С этой целью важно своевременно лечить инфекционные болезни, избегать повреждений костей, головного мозга, укусов некоторых насекомых. Любые лекарственные средства нужно принимать только по назначению специалиста.
Эозинофильную гранулему лечат различными методами, которые позволяют практически всегда полностью устранить патологию. Главное, прислушиваться к организму и при появлении тревожных симптомов пройти полное обследование, так как данное заболевание по проявлениям схоже с другими болезнями.
В статье «Диагностика эозинофильной гранулемы и методы лечения» использованы материалы:
http://sammedic.ru/332661a-eozinofilnaya-granulema-simptomyi-lechenie-i-posledstviya
http://onko.guru/termin/eozinofilnaya-granulyoma.html
http://www.katrenstyle.ru/articles/journal/medicine/syndrome/bolezn_taratyinova






