Основные симптомы артрита пальцев ног, а также методы эффективного лечения
Артрит пальцев ног: симптомы и способы лечения
Причиной боли и скованности в ногах часто является артрит. При отсутствии лечения тягостные ощущения усиливаются, доставляя больному серьезный дискомфорт и ограничивая его движения. Воспалительные процессы, которые поражают суставы, способны распространяться на внутренние органы, что нередко приводит к инвалидности. Поэтому первоочередная задача каждого, кто столкнулся с симптомами артрита ног – раннее обращение к специалисту.

Наши ежедневные движения – это чудо природы. Благодаря сложному взаимодействию суставов, связок, сухожилий, мышц мы можем ходить. Если одно из более чем 140 сочленений воспаляется или раздражается, уникальная локомоторная система становится несбалансированной. Слово «артрит» – это общее название состояний раздражения и воспаления одного или нескольких суставов.
Что такое артрит пальцев ног?
Важно знать! Врачи в шоке: «Эффективное и доступное средство от АРТРИТА существует. » Читать далее.
Это воспалительное заболевание, которое поражает плюснефаланговые суставы стоп нижних конечностей. Оно характеризуется воспалением, разрушением и отеком хрящевой ткани и суставных мембран, сопровождается накоплением жидкости в пораженном суставе. Артрит пальцев ног — системное заболевание. Его происхождение связано с расстройством иммунной системы, которое вызывает воспаление, может провоцировать повреждение и деформацию суставов. Однако на ранних стадиях этот разрушающий процесс можно предотвратить.

Причины заболевания
В большинстве случаев артрит ног — наследственное заболевание, которое начинает проявляться у мужчин и женщин в возрасте от 50 лет. Самые распространенные его типы — остеоартрит (артроз), ревматоидный артрит, подагра. Существует также ювенильный вид болезни, от которого страдают дети 5-15 лет.
Существует более ста разновидностей рассматриваемой патологии, среди которых остеоартрит, ревматоидный артрит и подагра – самые распространенные. Остеоартрит возникает из-за трения между костными головками или истончения хрящевых структур, которые могли бы защитить кости от трения. Ревматоидный артрит — это результат агрессивных атак иммунной системы, которые поражают здоровые суставы, ткани. Подагра – следствие метаболических нарушений, кристаллизации мочевой кислоты в полости сустава, между костями.
Общие причины возникновения заболевания:
- наследственность;
- естественное старение организма (в том числе суставов);
- дегенерация хрящей;
- механические травмы и переломы костей;
- врожденные аномалии анатомического строения стопы;
- инфекционные агенты (бактерии или вирусы);
- слишком «активная» иммунная система;
- метаболические расстройства;
- отсутствие физических упражнений в жизни человека;
- сидячий образ жизни;
- ожирение;
- сахарный диабет;
- несбалансированная диета;
- обезвоживание;
- авитаминоз.
Типы артрита стопы
Рассмотрим три самых распространенных типа артрита.
- остеоартрит. Сопровождается разрушением хрящевой ткани, является дегенеративным заболеванием суставов. Такой тип артрита ног развивается из-за постоянного давления на большой палец стопы во время ходьбы. Повышенная нагрузка приводит к износу хряща, возникают воспаление, покраснение, опухание, суставные боли. Болевой синдром может распространяться не только на суставы стопы, но также на колени, бедра, спину. Развитию патологии способствуют травмы ног (растяжения, переломы), врожденные аномалии стопы (плоскостопие);
- ревматоидный артрит. Это системное заболевание, которое поражает все мышцы и суставы в ноге. Считается самой серьезной формой заболевания. Часто сопровождается длительной утренней скованностью, усталостью, потерей веса, может отрицательно воздействовать на различные части тела: глаза, легкие, сердце, нервную систему. Женщины в 3-4 раза чаще страдают ревматоидным артритом, чем мужчины. Эта форма болезни характеризуется чередующимися периодами ремиссии, в течение которых симптомы исчезают, а также обострения, отмеченного возвратом воспаления, скованности и боли. Серьезные деформации суставов и потеря подвижности — частый результат острого ревматоидного артрита. Однако бывают случаи, когда эта система болезней длится годами, а затем исчезает, иногда навсегда;
- подагрический артрит. Воспаление, вызванное накоплением солей мочевой кислоты (побочного продукта рациона) в суставах пальцев ног, что приводит к разрушению гиалинового хряща с околосуставными тканями. Приступы подагры чрезвычайно болезненны, возможно, даже больше, чем любая другая форма болезни. Мужчины чаще страдают от этого расстройства, нежели женщины, что свидетельствует об их наследственной предрасположенности. Однако диета, предполагающая употребление большого количества мяса, соусов, морепродуктов, спиртных напитков, часто ассоциируется именно с подагрой.
Еще один тип болезни – псориатический артрит. Это хроническое воспалительное заболевание суставов, которое развивается примерно у 10% пациентов, страдающих псориазом. Тяжесть патологии не связана со степенью поражения кожного покрова. Основным дермальным симптомом является появление хорошо демаркированных покрасневших пластин на коже, покрытых беловатыми чешуйками. Совместные симптомы есть общими для любого типа артрита (боль, повышение местной температуры, покраснение, неспособность мобилизовать сустав, а иногда и его деформация). Псориатический артрит повреждает дистальные межфаланговые сочленения (рядом с ногтями), вызывает совместное воспаление суставов и сухожилий пальцев. Воспаление ахиллова сухожилия в пяточной кости — обычное явление при данной форме болезни. Иногда заболевание может влиять на другие части тела — глаза или кости.
Симптомы заболевания
Когда болезнь затрагивает сустав, в патопроцесс вовлекаются не только головки костей, но и смежные ткани, мышцы, связки, сухожилия. Это делает мобильность болезненной, а в некоторых случаях — невозможной. Поэтому нередко она становится причиной инвалидности.

Основной симптом артрита большого пальца стопы — воспаление, которое заметно для невооруженного глаза. Оно сопровождается болью, отечностью, опуханием, покраснением, повышением температуры в зоне поражения. Еще одним симптомом патологии является жесткость в суставной полости. Обычно она появляется утром и постепенно исчезает, когда больной выполняет свою повседневную работу. Со временем из-за постепенного ухудшения состояния может возникать деформация пораженных суставов.
Другие симптомы артрита ног:
- усталость;
- истощение;
- повышение температуры;
- покалывание в ногах;
- боль в груди;
- депрессия;
- потеря аппетита и веса.
Пораженные артритом стопы могут привести к инвалидности и параличу. Но этого можно избежать при ранней диагностике и медицинской помощи.
Диагностика
Как лечить артрит на пальцах ног? Лечение зависит от типа заболевания, его признаков и симптомов. Задача специалиста – правильно диагностировать патологию. Диагностика проводится врачом-ревматологом на основе изучения истории возникновения, тяжести симптомов, физического обследования, клиническо-лабораторных исследований и инструментальных тестов:
- общий, развернутый анализы крови (для определения уровня лейкоцитов, СОЭ, С-реактивного белка, седиментация эритроцитов, АЦЦП);
- анализ крови на ревмопробы;
- общеклинический анализ синовиальной жидкости (показатели АЦЦП, мочевой кислоты, ревмопробы);
- МРТ-сканирование и компьютерная томография;
- рентгенография;
- УЗИ пораженного сустава и внутренних органов в целях исключения распространения воспалительного процесса.
Лечение артрита пальцев ног
Даже «запущенный» АРТРИТ можно вылечить дома! Просто не забывайте раз в день мазать этим.
Разрушение хряща не является обратимым процессом. Если заболевание не лечить, то суставный хрящ и кости серьезно повреждаются, затрудняя или полностью нарушая подвижность сустава. Чтобы лечение артрита большого пальца стопы было эффективным, важна ранняя диагностика.
- контролировать воспаление;
- поддерживать функциональность сустава;
- облегчить симптомы заболевания;
- предотвратить прогрессирование патологии и повреждение суставов;
- вылечить болезнь, если это возможно.
Артрит большого пальца ноги поддается лечению разными способами. Это может быть медикаментозная терапия, физиотерапия и ЛФК, коррекция питания,средства народной медицины. Индивидуальный план лечения разрабатывается с учетом рекомендаций ревматолога, хирурга, ортопеда, физиотерапевта, диетолога.
Медикаментозная терапия
Для контроля симптомов и лечения артрита пальцев ног используются разные группы препаратов:
- антибиотики пенициллиновой, тетрациклиновой групп (Ампициллин, Эритромицин, Доксициклин) — для воздействия на первопричину инфекционного артрита;
- нестероидные противовоспалительные препараты НПВС (Ибупрофен, Диклофенак, Ортофен, Вольтарен, Индометацин) — для облегчения боли, снятия воспаления;
- хондропротекторы (Терафлекс, Артра, Хондроксид, Хондроглюксид, Глюкозамин) — для регенерации хрящевой ткани;
- кортикостероиды (противовоспалительные препараты на гормональной основе) назначаются, когда для снятия воспалительного процесса необходимо более агрессивное воздействие;
- иммунодепрессанты (иммуносупрессивные препараты) — для искусственного угнетения иммунной системы; применяются под контролем лечащего врача;
- местные компрессы с медицинской желчью, Димексидом или Бишофитом — для быстрого купирования боли.

Физиотерапия и ЛФК
После снятия острых симптомов заболевания в лечебную программу добавляются физиопроцедуры. Их действие направлено на угнетение воспалительного процесса, усиление питания тканей суставов, восстановление хрящевых структур и двигательной функции стопы. В этих целях назначаются:
- лечебные ванны;
- грязетерапия;
- парафинотерапия;
- ионофорез;
- ультразвук.
Помимо этого, больному обязательно показана физическая нагрузка. Упражнения нужны для повышения суставной гибкости, предотвращения осложнений. Однако при артрите ног лучше избегать упражнений с большим весом. Физиотерапевт должен разработать специальный комплекс, который будет включать упражнения на развитие и укрепление голеностопного сустава. Это перемещение ноги вниз-вверх, совершение круговых движений стопой, сжимание/разжимание пальцев ног. Основное правило: выполнение упражнений не должно вызывать боль.
Коррекция питания
Существует тесная связь между избыточным весом и артритом. Дополнительные килограммы усиливают нагрузку на суставные сочленения, провоцируя боль. Важно помнить о важности соблюдения здоровой диеты с высоким содержанием витамина D и кальция. Кроме контроля массы тела, при рассматриваемой патологии полезно включить в рацион продукты, предотвращающие воспаление, но ограничить потребление тех блюд, что будут провоцировать суставную боль.
Сокращение количества жаренных и обработанных пищевых продуктов в рационе уменьшит воспаление, поможет восстановить естественную защиту организма. Нужно сократить потребление жареного мяса и рыбы, копченостей, консервов, добавив в рацион больше овощей, фруктов, злаков, кисломолочных продуктов с низкой жирностью.
Молочные продукты могут способствовать развитию болевого синдрома из-за типа белка, который они содержат. У некоторых людей этот белок раздражает околосуставные ткани. Поэтому многие пациенты успешно переходят на вегетарианскую диету, которая не содержит никаких продуктов животного происхождения. Вместо того, чтобы получать белок из мяса и молочных продуктов, его можно черпать из других источников – шпината, орехового масла, тофу, бобов, чечевицы.
Многие хлебобулочные изделия и закуски содержат кукурузу, пшеницу, масла с высоким содержанием омега-6 жирных кислот. Хотя эти изделия способствуют насыщению, все же могут вызвать воспаление. Чтобы этого не допустить, следует заменить продукты, содержащие жирные кислоты омега-6, на альтернативные противовоспалительные омега-3: оливковое масло, орехи, семена льна, тыквы.
Потребление сладостей, выпечки из белой муки, газированных напитков, шоколада в большом количестве приводит к увеличению сахара в крови, что может спровоцировать воспаление и боль. Поэтому от этих кулинарных изделий также лучше отказаться.
Многие продукты содержат избыток соли и других консервантов для увеличения продолжительности срока хранения. У некоторых людей избыточное потребление таких веществ может привести к воспалению сочленений. Поэтому стоит попытаться уменьшить ее потребление.
Некоторые виды зависимостей, например, никотиновая или алкогольная, часто приводят к ряду проблем со здоровьем. Курильщики подвержены риску развития ревматоидного типа болезни, а у тех, кто употребляет алкоголь, более высокий риск развития подагры. Здоровые суставы требуют сбалансированной диеты, физической активности и отдыха. Но все это может быть нивелировано употреблением алкоголя и табака.
Народные средства
В качестве вспомогательных средств терапии в домашних условиях можно использовать отвары, компрессы и мази собственного изготовления на основе растительных ингредиентов:
- компресс из корневища хрена. Корень очистить, промыть, натереть на терке. Приложить массу к пораженному суставу, накрыть пленкой, зафиксировать тканевой повязкой. Держать 30 минут;
- травяной отвар. Для его приготовления можно использовать эвкалипт, корень имбиря, кору ивы. 2 ст.л. сырья залить 1 л кипятка, варить 15 минут на слабом огне. Остудить и отфильтровать. Принимать внутрь по полстакана или использовать в качестве ванночек для ног;
- противоартритная мазь. В равных долях смешать корень пырея, хвою можжевельника, цветки любистка и календулы. Залить кипятком, настаивать 40 минут. После этого настойку отфильтровывают, смешивают с 25 г растительного масла. До необходимой консистенции мазь доводится свиным жиром. Готовую мазь используют на ночь: втирают в пораженный сустав до полного впитывания, затем ногу нужно укутать в шерстяной платок.
Профилактика
Чтобы предотвратить развитие патологии, врачи рекомендуют изменить образ жизни:
- скорректировать рацион для нормализации массы тела;
- заниматься спортом (гимнастика, плавание, бег);
- отказаться от вредных привычек (табачная, алкогольная зависимости). Избегать активного солнца, пребывания под прямыми солнечными лучами в период с 12 до 16 часов дня;
- достаточно отдыхать. Ночной сон должен составлять в среднем 8-10 часов;
- избегать травм нижних конечностей и повышенного напряжения в ногах;
- своевременно лечить болезни мочевыделительной системы;
- носить удобную качественную обувь на низкой подошве, с широким носком.
Также в целях профилактики рекомендуется регулярно выполнять самомассаж нижних конечностей. Эта процедура улучшает кровообращение, облегчает дискомфорт и боль, а в комплексе с горячей ванной позволит достичь ощущения полного расслабления.
Артрит пальцев ног

Артриты это группа заболеваний, которые поражают суставы, провоцируя воспалительные реакции. Болезнь свойственна людям пожилого возраста, а также спортсменам, занимающимся травмоопасными видами спорта. Сопровождается отёчностью, припухлостью и болями возле суставов. Спровоцировать артрит способны инфекции, травмы и наследственная предрасположенность. Чаще всего поражению подвергаются крупные суставы, но встречается артрит пальцев ног. Фаланги отекают, краснеют, при ходьбе могут появляться боли. Артрит пальцев ног, симптомы и лечение – основная тема статьи.
Почему развивается артрит суставов пальцев ног
Пальцы на ногах склонны воспаляться из-за возрастных изменений в организме. Со временем снижается интенсивность обменных процессов, так как хрящевые ткани изнашиваются быстрее, чем организм их успевает восстанавливать. Изнашивание суставных тканей это неизбежное состояние, оно появляется в процессе ходьбы, бега и других нагрузок. Хрящи постепенно истончаются, что приводит к нарушению структуры костных сочленений. С возрастом ослабевает иммунная система, человек становится более уязвимым к инфекциям.
Чаще встречается артрит большого пальца ноги, так как наибольшая нагрузка на ногах приходится именно на него.
Заболевание суставов являются одной из древних проблем человечества
Воспаление сустава пальца ноги сопровождается:
- гиперемией кожного покрова прилегающего участка;
- отёчностью, она увеличивается по мере развития заболевания;
- опухолью, её легко почувствовать при пальпации участка, но даже тщательный визуальный осмотр поможет выявить нарост;
- внезапной болью, проявляющейся резким болевым приступом, который сохраняется длительное время;
- усиливающимся болевым ощущением в вечернее время после длительной нагрузки. Характерный симптом артрита на пальцах ног – это боль после пробуждения.
Перечисленные проявления приводят к существенному дискомфорту, человек не в силах полноценно работать. Если пациент не занимается лечением, болезнь склонна прогрессировать, это приводит к усугублению симптомов. Иногда вследствие возникает деформация суставов, палец склонен находиться в согнутом положении, несколько наползая на соседнюю фалангу. Деформированный палец снижает опорную способность всей ноги.
Наибольший дискомфорт вызывает воспаление сустава большого пальца ноги и периартриты стопы. В таком состоянии человек не способен носить обычную обувь, так как нога начинает сильно отекать и появляется сильная боль, отвлекающая от обычной деятельности. По мере развития нарушения увеличивается риск полной потери двигательных способностей и ходьбы.
Анализ воспалительного течения при артрите должен выполнять ревматолог, но это возможно после диагностических мероприятий. Код по МКБ 10 – от М05 до М14 в зависимости от формы.
Причины развития недуга
Если воспалился сустав на пальце ноги, важно сразу обратиться к врачу, он определит истинную причину патологии.
Данная патология следствие иных системных заболеваний: ревматизма, псориаза, красной волчанки, нарушения обмена веществ
Среди причин заболевания чаще всего выявляют:
- частое появление ушибов, травм, переломов или повреждений в ходе операции. В группе риска находятся люди, занимающиеся тяжёлым физическим трудом или спортом;
- последствия после болезней инфекционного происхождения. Защитная реакция организма на патогенные бактерии – иммунная функция, но она иногда даёт сбой, выделяя избыточное количество веществ для защиты. При неправильном определении вредоносных бактерий иммунитет может атаковать ткани суставов. Это одна из разновидностей инфекционного артрита;
- наследственная предрасположенность. Склонность к воспалению может передаваться на генетическом уровне. При наличии в анамнезе родителей артритных заболеваний рекомендуется больше внимания уделять профилактическим процедурам;
- патологии эндокринной системы. Особенно часто артриты появляются у женщин в период климакса. Это тяжёлое время для женского организма, так как в системе недостаёт гормонов, продуцируемых яичниками. Нередко развивается дистрофическая форма артрита;
- нездоровое питание. На суставы негативное влияние оказывает избыточное количество красного мяса, частое употребление бобовых культур, любовь к сладкому. Сахар провоцирует увеличение количества мочевой кислоты, она приводит к риску подагры.
Большой вес тела приводит к излишней нагрузке на опорно-двигательный аппарат, особенно суставы и кости – это риск развития артроза.
Симптомы заболевания
Симптоматика сильно отличается в зависимости от формы патологии. У всех артритов есть общие проявления:
Во время ходьбы боль и отек усиливаются, а после отдыха возникает скованность движений
- болевые ощущения;
- воспалительные реакции;
- покраснение кожи;
- скованность действий.
Как будет выглядеть специфическая картина отдельных групп артрозов следует рассматривать по отдельности.
Подагрический артрит
Первый признак подагрической формы артрита – наличие подагры. Заболевание поражает голеностоп, ноги, руки и колени. Преимущественно диагностируется у мужчин. Основная причина нарушения – это повышенная концентрация мочевой кислоты в кровотоке из-за избыточного синтеза или нарушений выводящей системы. Отложение кристаллов солей приводит к воспалению и механическим повреждениям тканей.
Если воспалился сустав на большом пальце ноги после подагры, клиническая картина имеет вид:
- приступообразные боли пульсирующего характера;
- воспаление межфаланговых суставов, появление отёков;
- гиперчувствительность повреждённых участков, нередко простое касание простыни приводит к болевому ощущению;
- необязательным признаком является высокая температура тела, иногда переходит в лихорадочное состояние.
Если не принимать медикаментозное лечение, каждое последующее воспаление сустава большого пальца на ноге будет затягиваться.
Ревматоидный артрит — весьма тяжелое хроническое заболевание, которое поражает все суставы
Ревматоидный артрит
Для ревматоидного артрита характерно равномерное поражение правой и левой ступни. Болезнь сопровождается болями и скованностью движений, особенно сложно двигаться в утреннее время или после продолжительного отдыха. Болевые проявления ревматоидной формы длятся от 1 часа. В отзывах пациентов часто отмечаются жжение, онемения конечностей. Дополнительно формируются утолщения на суставах и узелки поблизости с повреждёнными участками. В запущенных стадиях пальцы частично или полностью утрачивают двигательную способность, а также деформируются.
Псориатический
Артрит большого пальца 1 степени развивается у 30-35% пациентов с псориазом. Ему свойственны общие симптомы, а также:
- повреждения ногтевой пластины;
- гиперемия кожи;
- дактилит – склонность пальца разбухать;
- увеличение температуры в повреждённой области;
- тендилит (воспалительное течение в сухожилиях);
- сухие бляшки, утолщения кожи с серым или розовым цветом.
Посттравматический
Нарушение состояния хрящевых тканей спровоцировано травмами, при которых хрящи получили существенные повреждения и не были восстановлены. Спровоцировать нарушения способны: вывихи, удары, падения, тяжёлые спортивные нагрузки. При неправильном сращивании костей появляется избыточная нагрузка на хрящевые ткани, они испытывают трение и разрушаются.
Остеоартрит — вызывает разрушение суставных хрящей, тем самым вызывая боль и воспаление
Симптоматические проявления травматической формы артрита:
- боль, усиливающаяся при появлении нагрузок различной силы, от ходьбы до подъёма по ступенькам;
- отёк, припухлость;
- накопление избыточного количества жидкости в суставных и прилегающих тканях.
Порой посттравматическая форма появляется через год или два после повреждения, зависит от нагрузки и типа травмы.
Диагностика артрита
Первый этап лечения это диагностическое мероприятие. Если своевременно обратиться к специалисту, прогноз на выздоровление относительно благоприятный. В запущенной форме наступают необратимые изменения, обращаться к специалисту лучше, как можно раньше. Следует идти к врачу при обнаружении первых симптомов воспаления, он подберёт оптимальный метод восстановления.
Для определения артрита пальцев ног врач выполняет осмотр и пальпацию участка. В ходе осмотра доктор проводит опрос пациента о причине и времени появления болей.
Чтобы определить состояние пациента назначают:
- общий анализ мочи, крови;
- биохимию крови — помогает определить состояние иммунной системы;
- иммунологический анализ, дабы исключить вероятность аутоиммунных патологий;
- рентгенографическое исследование. Снимок обеспечит информацией о степени повреждения суставных тканей и стадии течения артрита.
Для опровержения или подтверждения диагноза дополнительно назначают пункцию. С помощью анализа внутрисуставной жидкости удаётся исключить риск ошибочного диагностирования болезни.
Обнаружить артрит на ногах и поставить промежуточный диагноз врач может уже при первом визуальном осмотре
Лечение артрита пальцев стопы
Лучше всего следовать профилактическим мероприятиям. Если этот момент был упущен и появились симптомы нарушения, приходится заняться лечением, иначе может развиться реактивный, ревматоидный артрит.
Врач чаще всего подбирает медикаментозные средства и физиопроцедуры в сочетании с лечебной гимнастикой. Для профилактики либо в качестве вспомогательного метода лечения можно использовать народное лечение.
Медикаментозное лечение стопы
Препараты подбираются с учётом причины появления заболевания и симптоматики:
- Для купирования воспаления применяют гормональные или нестероидные лекарства (НПВС). Они ускоряют восстановление после воспаления и снижают выраженность болей. Обезболивать лучше лишь повреждённый участок с помощью мазей, их легко наносить в любых условиях. Медикаменты указанных групп продаются в форме таблеток и мазей.
- Для лечения тяжёлых форм артрита назначают внутрисуставные инъекции.
- Для устранения инфекции назначают антибиотики. Применяют лишь при обнаружении бактериальной, инфекционной природы артрита.
- Для ускорения регенерации тканей назначают хондропротекторы. Препараты имитируют состав хрящевых тканей, средство должно долго оставаться в суставе, чем предотвращает излишний износ и ускоряет восстановление. Применяются даже при ревматоидном артрите.
Медицина предлагает дополнительные способы терапии, которые дополняют медикаменты: гимнастика, массаж, физиотерапия и т. д.
Схема терапии артрита пальцев назначается только врачом и зависит от причин, формы и запущенности воспалительного процесса
Лечение артрита мазями
Основное достоинство мазей – лёгкость использования, их применяют в домашних условиях. Даже оставаясь один дома, пациент способен выполнить очередное нанесение крема. Принцип действия мазей сводится к раздражению кожи, от чего усиливается кровообращение, восстанавливается обмен веществ и снижается выраженность болей.
При наличии грибка на стопе важно проводить лечение артрита параллельно с грибком. Одним из самых эффективных препаратов является Клотримазол, он убивает большую часть видов грибков и спор, имеет минимальное количество противопоказаний и побочных действий. Немаловажным достоинством является невысокая стоимость крема.
В народной медицине существует несколько действенных рецептов, нередко сам врач назначает их использование.
Дома можно делать:
- сбор из цветов зверобоя, донника, плодов хмеля. Всех ингредиентов собирают по 2 ст. л. в измельчённом виде и перемешивают между собой. В смесь добавляют 50 г сливочного масла, в нем не должна содержаться соль. Натуральную мазь наносят на хлопчатобумажную ткань и прикладывают к поражённому месту. Для увеличения эффекта сверху наносят полиэтиленовую плёнку и дополнительно шерстяной платок;
- смесь из 200 г сока редьки, 100 г водки, 150 г мёда и 15 г соли. Все компоненты перемешивают и накладывают на поражённый участок;
- смесь из 400 г почек берёзы, 20 г камфоры, 800 г сливочного масла. Почки перемешиваются с маслом, их ставят в тёмное место на сутки. Спустя 1-1,5 дня смесь пропускают через мясорубку и добавляют камфору. Мазь стоит использовать по необходимости. Состава хватит на много нанесений, но смесь хранят в холодильнике.
Для приготовления мазей также используются травы
После использования мазей усилить результат поможет компресс доктора Владимирова. Для компресса понадобится средняя луковица, Аспирин и Димексид. Изначально очищают и мелко натирают на тёрке среднюю луковицу. Со смеси сливают жидкость и добавляют 1 ч. л. мёда. 3-4 таблетки «Аспирина» измельчают и добавляют в состав. С помощью шприца вводят 3-4 мл «Димексида». После тщательного перемешивания смесь укладывается на сустав, сверху её накрывают марлей, сложенной в 3-4 слоя. Поверху укладывают компрессорную бумагу.
Лучший эффект наступает, если проходить с фаланговым компрессом 2-8 часов, для этого ткань фиксируют бинтом, резинкой или любым доступным способом.
Как снять воспаление: мази, уколы и другие лекарства
Лечить все фаланги, в том числе мизинец и выпирающую косточку, можно самыми различными способами. Ниже представлен один из эффективных методов.
Препараты первого ряда
Купировать острое воспаление в суставных тканях проще всего с помощью НПВС. Они снижают выработку простагландинов, это медиаторы воспаления. Если регулярно и своевременно принимать лекарства, удаётся снимать боль любой интенсивности, воспаление становится менее выраженным. НПВС производятся в виде таблеток, инъекционных растворов, капсул и мазей. Укол внутрь сустава – самый быстрый и эффективный способ лечения.
При артрите важно снять воспаление, болезненность сустава, поэтому лечение недуга начинается, как правило, с назначения медикаментов
Чаще используются НПВС:
- Ибупрофен;
- Диклофенак;
- Напроксен;
- Пироксикам;
- Индометацин.
К первому ряду лекарств при артрите причисляют нестероидные и базисные препараты (Хлорохин, Плаквенил, Сульфасалазин). Эти лекарственные средства назначаются в первую очередь.
Глюкокортикоиды
Если человек после химиотерапии, либо по какой-то другой причине ему нельзя вводить НПВС, врач назначает кортикостероиды. Это гормональные препараты с множеством побочных реакций и противопоказаний. Кортикостероиды относятся к второму ряду лекарств, среди них: Аристокорт, Преднизолон, Гидрокортизон. Их вводят внутрисуставно или внутрь.
Цитостатики
Третий ряд – препараты, применяемые в крайних случаях, при неэффективности медикаментозного лечения предыдущими лекарствами. К ним причисляются иммунодепрессанты, цитостатики. Их часто назначают при аутоиммунном генезе артрита или сложной форме болезни. Иммуносупрессоры подавляют иммунную функцию, которая разрушает суставные ткани, так удаётся остановить разрушительное влияние на хрящ.
Хондропротекторы назначаются при переходе болезни в острую фазу, после снятия основного воспаления
Цитостатики – это токсичные препараты, которые принимают с особой осторожностью в выписанной дозировке. Ребёнку третью волну не назначают. Их прописывают при ревматоидном артрите или узелковом периартрите. Известные препараты: Арава, Циклофосфамид, Метотрексат, Цитоксан.
Если не заниматься лечением, может появиться бурсит – воспаление околосуставной сумки.
Когда нужны антибиотики
Антимикробные лекарства выписываются при диагностировании инфекционной этиологии болезни. Сюда относятся: септические, гнойные, постинфекционные формы артрита. Иногда возбудитель недуга находится вне сустава, а очаг скрывается в другом органе. В этом случае диагностируется вторичная форма артрита. В ходе терапии устраняют первичное заболевание и осложнение одновременно.
Независимо от очага бактериального поражения назначаются антибиотики. Лучше использовать пероральные препараты, мази малоэффективны.
Терапия подагры и артрита пальцев ног
Подагрический артроз преимущественно поражает большой палец. В терапевтический курс включают НПВП и кортикостероидные препараты.
Комплекс лечения состоит из 3 основных групп:
- препараты для снижения концентрации мочевой кислоты: Санфипурол, Аллопуринол;
- лекарства, ускоряющие вывод кислоты: Дезурик, Сульфинпиразон, Пробенецид;
- средства комбинированного влияния.
Цитостатики — иммуносупрессивные препараты назначаются только при активном течении заболевания
Лекарственные травы для лечения артрита
Самое эффективное растение, применяемое против артрита – золотой ус. Его используют для приготовления растирок, спиртовых настоек внутреннего применения, компрессов. Золотой ус можно выращивать дома, семена продаются в открытом доступе.
Процесс приготовления настойки:
- Заготовить 42 стебля растения.
- Поместить в стеклянную ёмкость, лучше использовать затемнённые бутылки.
- Залить растение 500 мл водки.
- Настаивать на протяжении 21 дня с периодическим перемешиванием.
- Принимать по 10 мл 3 раза в сутки за 1 час до еды.
Благотворное влияние на суставы оказывает брусника, её принимают в виде отвара.
Рецепт отвара с брусникой:
- Подготовить 1 ст. л. измельчённых сушёных листьев.
- Залить 200 мл кипятка.
- Варить состав следует 15 минут.
- Отвар остудить, отцедить.
Принимают на протяжении дня, выпивая маленькими глотками.
Для устранения боли и уменьшения выраженности симптоматики приготавливают отвар на основании кукурузных рылец. Состав может применяться для терапии артроза и ревматизма.
Лечение заболевания будет более эффективным, если прием настоев совместить с компрессами
Приготовление:
- Заготовить 1,5 ч. л. ингредиента и уложить в ёмкость из стекла.
- Залить 200 мл кипятка.
- Настоять смесь 30 минут, затем выпить до приёма пищи по 1 ст. л. 4 раза в сутки.
Для лечения артрита народная медицина предлагает настой фиалки.
Рецепт:
- Взять 2 ст. л. фиалки.
- Залить 400 мл кипятка.
- Настоять 2 часа.
- Принимать по 4 раза ежесуточно, по 100 мл за полчаса до приёма пищи.
Артрит и народная медицина
Народная медицина предлагает различные средства для лечения артрита пальцев ног: примочки, ванночки, компрессы и т. п. Их основная задача сводится к уменьшению болевых ощущений, устранению отёчности, повышению подвижности конечностей.
Для уменьшения выраженности симптомов применяют:
- парафин. Его растапливают на водяной бане. Жидкий состав в тёплом виде наносят на поражённые суставы. Сверху участок покрывают полиэтиленовой плёнкой, затем заматывают шерстяным платком. Состав удерживают на ногах 10-12 часов;
Применять противовоспалительные расслабляющие ванночки для ног с добавлением трав
- мел, нужно его растереть и развести в кефире до получения кашеобразного состава. Смесью покрывают больную стопу перед сном и оставляют до впитывания. Средство ускоряет восстановление соединительных тканей;
- голубую глину — ее разводят с водой, ожидаемый результат – консистенция жирной сметаны. Наносят толстым слоем на палец, смесь смывают через 20-30 минут;
- капустный лист, им оборачивают болезненную область, сверху смазывают мёдом. Компресс удерживают 1-2 часа.
Популярны рецепты приготовления ванночек, они согревают суставы и прилегающие ткани, улучшая их состояние. В основе ванночек дешёвые и общедоступные вещества:
- хвоя;
- цикорий;
- морская соль;
- крапива;
- репейник (в виде сока из листвы).
Чтобы ощутить положительное влияние, ванночки используют курсами по 10-20 сеансов.
В народной медицине часто используются смеси для растирания с добавлением камфорного масла, выжимки из чеснока, сока из листвы столетника, репейник и т. п. Смеси приготовляются в подходящих пропорциях, затем их втирают в пальцы.
При обострении заболевания нельзя использовать никакие народные средства
Профилактика артрита
Чтобы избежать рецидива артрита пальцев, рекомендуется придерживаться профилактических мер. Никаких особых процедур выполнять нет необходимости.
Основные принципы профилактики:
- предотвращение переохлаждения пальцев;
- своевременное лечение болезней инфекционной природы;
- отказ от вредных привычек: злоупотребление спиртным, табакокурение;
- ношение удобной обуви, которая не пережимает стопу;
- периодический массаж стоп;
- поддержание здорового веса тела.
Лечение артрита при помощи диеты
Диета относится к обязательным мерам комплексного лечения артрита и артроза. При правильном питании восстанавливается обмен веществ и ускоряется регенерация хрящевых тканей.
Правильная диета:
- уменьшение количества съедаемых жиров, рекомендуемая норма – 1 г на 1 кг веса, а белков – 1,5 г на кг массы;
- в питании делают акцент на варёное и печеное мясо, рыбу, все молочные и кисломолочные блюда, яйца, хлеб с отрубями, крупы, свежие овощи, фрукты, зелень;
- ограничивают употребление солёных, сладких, копчёных блюд, а также алкоголя, сдобы, цитрусов, квашенной капусты, рисовых и манных круп.
Заключение
Профилактика артрита пальцев ног – самый действенный способ борьбы с недугом. При обращении к врачу на раннем этапе развития болезни, когда появляются первые симптомы, пациент имеет высокие шансы восстановить состояние суставов. Неблагоприятен прогноз в отношении запущенных форм патологии, когда изменения становятся необратимыми, а весь курс лечения сводится к купированию симптомов.
Все для здоровья ног
Красивые и здоровые ноги без проблем!
Коварное заболевание артрит пальцев ног. Как распознать и вылечить

Такая болезнь, как артрит пальцев ступни является ревматоидным. Этот воспалительный процесс может привести к полному поражению большого пальца ноги. Если запустить данную болезнь, то это приведет к поражению всех близлежайших пальцев стопы. Эта патология является следствием следующих системных болезней: псориаза, ревматизма, нарушения обмена веществ в организме, красной волчанки.
Почему появляется артрит пальцев стопы
В этой статье мы говорим о том, что преет собой заболевание артрит пальцев ног. Тут мы разберем симптомы, покажем фото и расскажем, что будет представлять из себя лечение. Как правило, заболевание артрит поражает один сустав, или же сразу нескольких, тем самым, локализуя все оставшиеся пальцы на ступне. На ранней стадии данная болезнь лечиться успешно. В том случае, если данное заболевание не лечить, то она начнет очень быстро развиваться и прогрессировать, нарушая при этом подвижность суставов, стопы деформируются . В результате чего это приведет к инвалидности.
Так по какой же причине начинает развиваться артрит пальцев ног? Артрит – это не самостоятельная болезнь. В основном, она является следствием других имеющихся у человека заболеваний. Артрит может развиваться:
- Если ранее человек перенес ОРВИ или грипп;
- В результате осевших и оставшихся в полостях суставов микроорганизмов,
- Иммунная система человека начинает реагировать на чужеродное тело, приводя, таким образом, к воспалению сустава.
- В случае, если у заболевшего имеется такая болезнь, как гонорея, сифилис, или туберкулез;
- Если у человека при наличии подагры произошло нарушение обмена веществ, то в суставах накапливались кристаллы мочевой кислоты. В данном случае произошло воспаление соединительной ткани, а на большом пальце ноги стал развиваться артрит;
- При травмах, ушибах, которые были перенесены ранее.
Данное взаимодействие неизбежно влечет за собой воспаление разрушение ткани.

Симптомы недуга
Как можно выяснить, что у вас есть артрит большого пальца? Обнаружить такую болезнь, как артрит на ногах и выставить промежуточный диагноз лечащий врач может при первичном визуальном осмотре пациента.
Сперва в суставах начинает появляться боль, она усиливается к наступлению вечера перед сном, в случае расслабления суставов, или в пребывании их в спокойном состоянии. Уже с наступлением следующего дня большой палей и сустав становиться отечными, покрасневшими и припухлыми. У человека начинает повышаться температура на пораженной части тела.
Артрит, который был вызван подагрой, как правило, локализует полностью большой палец ноги. Кристаллы молочной кислоты, которые были накоплены в суставе, могут привести к сильной боли, которая будет усиливаться в период ходьбы, или напряжения пальца.
Артрит, который был вызван остеомиелитом, либо разрушением хрящей в суставе, вызывает у человека острую боль во время ходьбы, отечность ноги, либо большого пальца, приводя, таким образом, к сильной скованности движений, как правило, после длительного отдыха.
Артрит, вызванный ревматизмом, может привести к поражению всех суставов. При постоянном воспалении, со временем суставы начинают деформироваться, и возникает в них боль даже в состоянии полного покоя. На большом пальце ноги у человека может появиться нарост в виде шишек, или выросшей косточки, либо даже может измениться ось сустава. Это говорит о запущенной болезни и разрушении сустава у основания пальца, накоплении в суставах солей мочевой кислоты.
Как же можно вылечить артрит на пальцах ног
Важно сообщить то, что артрит большого пальца ноги имеет определенные симптомы, с которыми вы должны познакомиться. Они были описаны выше. Теперь стоит поговорить о лечении данного недуга. Варианты и способы лечения артрита, как правило, назначат человеку его лечащий врач. В данном случае необходимо обязательно выявить главные причины развития этого заболевания и направить лечение на полное их устранение.

Медикаментозное лечение.
В случае возникновения артрита, необходимо сперва снять воспаление, и болезненность самого сустава. По этой причине, лечение этого заболевания должно начинаться с назначения медицинских препаратов. Независимо от вида артрита на любой стадии его развития для того, чтобы снять воспаления и боли человеку назначаются нестероидные противовоспалительные средства в качестве различных мазей, внутрисуставных инъекций и таблеток. При возникновении у человека артрита, который был вызван инфекцией, врач назначает антибиотики в качестве инъекций, таблеток. Но вот все медицинские препараты должны подбираться строго индивидуально, в зависимости от пола и возраста пациента.
Хондропротекторы будут назначены лечащим врачом в случае перехода заболевания в острую фазу, после полного снятия основного воспаления. Прием медикаментов направлен на восстановление и регенерацию хрящевой ткани, и снижению способности к дальнейшему разрушению волокон ткани.
Цитостатики — являются имунносупроссивными препаратами , могут быть назначены лишь при активном течении болезни. Их применяют в крайних случаях при борьбе с воспалительным процессом , как правило, при ревматоидном артрите.
Физиопроцедуры. Данный препарат назначается в случае продолжения лечения, но только после полного снятия воспаления и болей. Лечение основывается на прогревании, массаже пораженного болезнью сустава, в применении ванн, грязей, ЛФК, специальной гимнастики.

Диета.
Диета при артрите большого пальца стопы играет главную роль, так как необходимо снизить до минимальных показателей кислотность в организме человека. А это означает, что следует полностью исключить те продукты питания, которые могут привести к повышению кислотности: конфеты, картофель, сладости, соленые и острые продукты, алкоголь. Все это усиливает отечность и воспаление.
На заметку! Ревматоидный артрит может неизбежно привести в остеопорозу. По этой причине, в диету следует включить продукты питания, которые богаты кальцием.
В случае дегенеративного артрита, необходимо укреплять хрящевую ткань. А это значит, нужно есть холодец, отварные связки и хрящи. Кроме этого полезным будет кушать овощи в тушеном и свежем виде, фрукты, отварные салаты на водяной бане, также спаржевую фасоль, яблоки, щавель, сливы, черную смородину, рябину, облепиху. В случае тяжелого течения болезни Данная диета будет обязательной. Она состоит из приема сырых овощей трижды в день в течение семи дней. Можно употреблять в пищу рис, замачивая его в одном стакане воды на ночь, после чего- варить его до готовности, и , промыв от слизи , разделить на четыре порции. Рис должен приниматься в пищу четыре раза в день. Перед употреблением, необходимо выпить один стакан воды. Кроме этого, будет полезным питье шиповника, заваренного кипятком. На третий день данной диеты помимо риса очень полезно принять в пищу яблоки, или отварную свеклу.
Ортезы при лечении артрита.
Если у вас случился артрит большого пальца ноги, то вам стоит знать его симптомы для того, чтобы было назначено правильное лечение. В этой части статьи мы говорим о правильном лечении. К примеру, ортезы могут существенного облегчить нагрузку на воспаленные суставы. К каждому пальцу стопы необходимо подобрать фиксаторы, вкладыши, или стельки для обуви. Благодаря ортезам искривления на пальцах стопы постепенно начинают устраняться, нагрузка веса на нижнюю часть стопы начинает распределяться более равномерно. На первоначальном этапе болезни данную коррекцию можно проводись при помощи ношения ортопедической обуви.

Лечение ГКС.
Препараты оказывают на больные суставы мощное противовоспалительное действие. Но также могут проявиться и побочные эффекты. Используются лишь при тяжелом течении болезни. В случае прогрессирования артрита, врач может назначать внутрисуставные инъекции. Оперативное вмешательство будет назначено врачом, в случае, если устранение очага воспаления невозможно медицинскими препаратами. Производится пресечение сухожилий и устраняется искривление большого пальца. В том случае, если стопа деформирована, то можно применить остеотомию, артродез. И в том, и в другом случае, операция в существенной мере может решить проблему запущенного заболевания. А при правильной терапии большинство больных людей начинают обретать былое качество.
Артрит пальцев ног. Лечение народными средствами
В основном, заболевание поражает полностью большой палец стопы. По этой причине, необходимо обязательно предотвратить развитее болезни и распространения ее на близлежащие участки.
Противовоспалительные средства вы можете приготовить самостоятельно у себя дома . для этого необходимо взять четыре, пять головок чеснока и залить их водкой (0,54л). Затем следует настоять данный раствор в темном месте (десять суток). После того как данное средств будет готово, его необходимо принимать два, три раза в день по одной части чайной ложки до приема пищи. Следует каждый день принимать данный лекарство , и хранить его в холодильнике.
Очищенный чеснок (пять головок) необходимо измельчить на мясорубке, и добавить в получившуюся смесь измельченный корень хрена ( 4-5 ст.лож) и сок лимона (10 шт.). далее следует тщательно перемешать данную массу и убрать ее в теплое место на один месяц. После того, как лекарство будет готово, его следует принимать по 1-2 ч.л. два , три раза в день. В том случае, если получившийся у вас состав очень крепкий, то вы может развести его кипяченой водой. Отлично снимает воспаление и полевой хвощ. Для этого нужно залить кипятком ( один стакан) траву (50 граммов), и дать раствору настояться в течение получаса. Принимать получившееся лекарство необходимо по 0,5 стакана четыре раза в день в течение одного месяца.

Компрессы.
Лечение болезни будет гораздо эффективнее, если прием вышеописанных настоев вы совместите с компрессами. Для этого следует взять следующую траву: тимьян ползучий, череду, полынь горькую, зверобой продырявленный и болотный багульник. Три столовые ложки данного травяного сбора необходимо заварить кипятком (один стакан), и поставить его на огонь, довести до кипения.
Затем следует остудить и процедить. После этого, нужно завернуть полученную массу в марлю, и прикладывать ее к больному месту, зафиксировав компресс при помощи повязки. Нужно время от времени смачивать повязку в растворе, прикладывать до трех раз в сутки. – Скипидар (100гр), водку(100гр), масло подсолнечное нерафинированное ( четыре ст.ложки) необходимо смешать и наносить на салфетку ровным слоем. Затем приложить к большому месту.
Следует обвязать участок шерстяной тканью и оставить ее на всю ночь. Необходимо повторять данную процедуру ежедневно в течение семи дней.
Необходимо стереть мел в обычный порошок и смешать его с кефиром. Данным составом следует делать компрессы на ночь. Это отличный и быстрый способ восстановления хрящевой ткани суставов. Кроме этого вам может помочь свиная или говяжья желчь. Ее необходимо прикладывать к воспаленному месту в течение трех, четырех дней.
Голубую глину, слегка разведенную теплой водой необходимо завернуть в ткань и прикладывать пораженное место, выдерживая до трех часов. Выполнять эту процедуру следует один раз в день до тех пор, пока не улучшиться самочувствие. Но следует каждый раз менять глину на новую.
Необходимо в равных частях смешать мед, растительное масло и горчичный порошок. Далее следует довести полученную смесь до кипения, и выложить ее на плотную ткань. Затем прикладывать к пораженному участку на два, три часа. Далее следует снять компресс и протереть сухой тряпкой.
Скипидар ( 100гр), водку (100гр) и нерафинированное масло ( 3-4 ст.ложки) необходимо смешать и сделать компресс . Затем нанести компресс на пораженное место. Также будет полезным растирать пораженное место соком картофеля, яблочным уксусом, алоэ, соком сельдерея, багульника.

Мази для пальцев при артрите.
Для того, чтобы приготовить мазь применятся травы. Для этого следует взять донник, зверобой, шишки хмеля (по 2 ст. ложкам каждого). Затем нужно тщательно измельчить и смешать с сливочным маслом (50гр). получившийся сосав нужно выложить на ткань и приложить к больному месту. Сверху следует накрыть массу полиэтиленом и утеплить теплой шерстяной тканью. Оставить повязку ночь. Следует смешать водку( 100гр) с соком редьки ( 150 гр.) и добавить натуральный пчелиный мед ( 150 гр.) и поваренную соль ( 15гр).
Следует тщательно перемешать все ингредиенты, и нанести на больное место до тог момента, пока ваше самочувствие не улучшиться. Лечение таково заболевания как артрит, является очень длительным. По этой причине, будет разумным заготовить мази впрок. Необходимо взять домашнее сливочное масло (800гр), свежие березовые почки(200гр), сухой порошок камфары ( одну щепотку). Затем необходимо смешать березовые почки с маслом и поставить на стуки в теплое место. Затем нужно перекурить смесь в мясорубке и добавить камфару. Применять получившуюся мазь следует при необходимости, а хранить в холодильнике.

В заключение
Такая болезнь как артрит поражает пальцы ног в основном при ношении тесной и неудобной обуви, несоблюдении личной гигиены, ударении большого пальца или травмировании. Все описанные причины можно устранить, и не допустить, таким образом, развития воспалительного процесса.
Важным является: чаще использовать расслабляющие противовоспалительные ванночки для ног с добавлением трав, к примеру, зверобоя, ромашки и череды.
Регулярно делать массаж стопы . Стараться не носить очень узкую обувь, имеющую зауженные носы. Также следует избегать повреждения большого пальца и его травмирования. Чаще следует мыть ноги, и содержать их в чистоте.
В профилактических целях советуем вам носить обувь , имеющая супинатор, вовремя лечить любые возникшие инфекционные процессы в организме человека. О здоровье своих ног следует заботиться ежедневно, развитие и возникновение воспаления суставов и пальцев ног может вполне избежать. Следует также знать и стараться соблюдать простейшие меры профилактики. но если же болезнь уже поразила большой палей на стопе, следует незамедлительно обратиться к лечащему врачу. А способ лечения вам подберут правильно и эффективно. А что касается самолечения, то оно может только навредить и усугубить ваше заболевание.
Проявление и комплексное лечение артрита пальцев на ногах
Причины: почему появляется патология?
Воспаление сочленения большого пальца развивается по разным причинам. Патология чаще встречается у людей в пожилом возрасте, но есть и среди молодого поколения. В основе лежат воспалительные реакции в суставной полости, нарушение выработки синовиальной жидкости, расстройства кровообращения и трофики хрящевой прослойки. Артрологи выделяют следующие факторы, провоцирующие воспаление суставов пальцев ног:
- обменные нарушения,
- травмы,
- болезни костной ткани,
- артрит различного генеза,
- остеоартроз,
- подагра,
- бурсит,
- неудобная обувь,
- переохлаждение,
- наследственность,
- перенесенные инфекции.
Артрит пальцев ног не возникает, как самопроизвольная болезнь. Он провоцируется заболеваниями иммунной системы, сбоями в липидном обмене или заражением инфекциями. Патогенезом этой болезни является воспаление, поражающее ткани сустава. Патологические процессы в организме, которые могут запустить механизм развития артрита:
- Инфекционные поражения. Остатки микроорганизмов в состоянии спровоцировать воспаление суставов.
- Подагра. Сбой обменных процессов приводит к недостаточному питанию соединения, накапливанию мочевины, которая откладывается в хрящевой ткани. Как результат, хрящ начинает разрушаться и воспалительный процесс распространяется на все суставные части.
- Болезни аутоиммунного характера. Антитела начинают атаковать хрящевую ткань.
- Инфекции, передающиеся половым путем. Воспаляется синовиальная оболочка сустава.
- Травмирование. Нарушается структура частей соединения.
Симптомы заболевания
Когда болезнь затрагивает сустав, в патопроцесс вовлекаются не только головки костей, но и смежные ткани, мышцы, связки, сухожилия. Это делает мобильность болезненной, а в некоторых случаях — невозможной. Поэтому нередко она становится причиной инвалидности.
Основной симптом артрита большого пальца стопы — воспаление, которое заметно для невооруженного глаза. Оно сопровождается болью, отечностью, опуханием, покраснением, повышением температуры в зоне поражения. Еще одним симптомом патологии является жесткость в суставной полости. Обычно она появляется утром и постепенно исчезает, когда больной выполняет свою повседневную работу. Со временем из-за постепенного ухудшения состояния может возникать деформация пораженных суставов.
Другие симптомы артрита ног:
- усталость;
- истощение;
- повышение температуры;
- покалывание в ногах;
- боль в груди;
- депрессия;
- потеря аппетита и веса.
Пораженные артритом стопы могут привести к инвалидности и параличу. Но этого можно избежать при ранней диагностике и медицинской помощи.
Артрит пальцев ног — симптомы и лечение
Артрит пальцев ног представляет собой ревматоидную болезнь, сопровождающуюся воспалительным процессом и провоцирующую поражение всех пальцев стопы. Патология может развиться из-за невылеченного ревматизма, псориаза, красной волчанки или нарушенного метаболизма. Раннюю стадию заболевания можно легко вылечить. Но если больной будет игнорировать недуг, это может привести к деформации всей стопы и инвалидности.
Одна из особенностей болезни – ее способность развиваться в течение нескольких лет. При этом успешной терапии поддается только начальная стадия недуга. Поэтому больному крайне важно своевременно обратиться за квалифицированной помощью. Характерными признаками артритного поражения пальцев нижней конечности являются:
- Ощущение боли в пальцах ноги. Она может проявляться с различной интенсивностью.
- Припухлость и отечность (в сложных ситуациях). Эти негативные явления могут возникать на пальцах и всей ступне во время передвижения и силовых нагрузок.
- Покраснение кожного покрова в районе суставов.
- Высокая температура тела в месте локации болезни (редко).
- Увеличение болевого симптома во время ходьбы или при непосредственном воздействии на суставы.
Вышеперечисленная симптоматика артрита может возникать не сразу, поэтому при наличии хотя бы одного пункта нужно срочно обратиться к врачу.
Для лечения необходимо снять боли и провести противовоспалительную терапию.
Противоболевым эффектом обладают препараты местного действия на основе нестероидных противовоспалительных веществ (мази с Индометацином, Найз, Диклофенак). Эти препараты назначаются также внутрь в таблетках.
Наиболее доказанным эффектом обладают Кеторол (Кеторолак), Нимесулид.
Диклофенак часто вызывает осложнения со стороны желудка и кишечника.
При выявленной подагре назначают диету с ограничением мясных продуктов, молока. Показаны препараты, снижающие уровень мочевой кислоты.
Лечение должен назначать врач после проверки состояния всех внутренних органов.
Кортикостероиды показаны в тяжелых случаях ревматоидного полиартрита.
В стадии восстановления обязательно рекомендуют группу хондропротекторов для защиты и восстановления хрящевой ткани (Структум, Хондровит, Терафлекс).
При сильных болях врач может делать новокаиновые блокады в точки, где проходят на стопе нервные стволы.
Физиотерапия подбирается в зависимости от стадии воспаления:
- чтобы снять скованность, нужно прогревание;
- для активизации микроциркуляции крови — действие ультразвуковых процедур;
- лазеротерапия позволяет снять отечность, боли, улучшает метаболизм;
- электростимуляция мышц помогает улучшить питание суставов;
- массаж и ЛФК способствуют восстановлению функций.
В условиях санатория проводится лечение грязевыми аппликациями, ножными ваннами с природными биоактивными веществами.
Оперативное вмешательство применяют при выраженной деформации сустава, нарушающей способность передвигаться.
Терапия воспалительных процессов в суставах пальцев ноги проводится комплексно. С помощью фармакологических средств купируют воспаление и отечность, облегчают болевой синдром, восстанавливают структуру хрящевой ткани. Прием препаратов на основе хондроитин сульфата проводят несколько месяцев, иногда до года.
| Группы | Действие | Примеры |
| НПВП | Устраняют воспаление, уменьшают боль | «Пироксикам» |
| «Мовалис» | ||
| «Целебрекс» | ||
| «Индометацин» | ||
| Хондропротекторы | Восстанавливают хрящ | «Артрон» |
| «Структум» | ||
| «Дона» | ||
| «Хондроксид» | ||
| Глюкокортикоиды | Снимают воспаление, устраняют отек | «Дипроспан» |
| «Метипред» | ||
| «Преднизолон» | ||
| Витамины | Нормализуют трофику | «Артривит» |
| «Коллаген Ультра» | ||
| «Ортомол Артра Плюс» | ||
| Анальгетики | Купируют болевой синдром | «Анальгин» |
| «Парацетамол» | ||
| «Имет» |
Запущенные и тяжелые случаи с осложнениями лечат хирургическими методами. Для этого выполняют частичное или тотальное эндопротезирование. Показанием к полному протезированию является обширная деформация большого пальца, невозможность хирургическим путем откорректировать дефект. Сустав заменяют полностью.
Предлагаем ознакомиться: Рентген коленного сустава – что показывает снимок?
Народное лечение
Рецепты из растительных компонентов оказывают хороший эффект на начальных стадиях, когда воспалился сустав. Они помогают облегчить боль, уменьшают проявления воспаления. Перед использованием фитосредств обязательно консультируются с врачом. Эффективное положительное действие оказывают следующие знахарские составы:
- Меловый порошок, смешанный с кефиром для наложения местно на палец.
- Луковая кашица в виде компресса.
- Капустный лист, примотанный к суставу.
- Пихтовое масло для смазывания.
- Ванны с облепиховым маслом.
- Отвары из крапивы и тимьяна для внутреннего приема.
- Травяные настои для ванн из календулы и зверобоя.
Лечить воспаление суставов при помощи гимнастики и физиотерапии начинают после затихания острого процесса и уменьшения болевых ощущений. Физиотерапевтические методы закрепляют положительный эффект, полученный от лекарственных средств, улучшают локальное кровоснабжение, восстанавливают трофику и обмен в суставных поверхностях. Гимнастические упражнения снимают напряжение и болезненность, улучшают тонус мышц. Наиболее эффективными процедурами являются:
- лазеротерапия,
- гирудотерапия,
- магнитотерапия,
- скипидарные ванны,
- грязевые аппликации,
- электрофорез с «Новокаином» и хлоридом кальция.
Диагностировать оба вида артрита достаточно сложно, и под силу только опытному врачу-ревматологу. Для выявления причины, вызвавшей воспаление сустава, проводятся лабораторные и инструментальные исследования. При подозрении на ревматоидный артрит назначаются общий и биохимический анализы крови, а также специфические тесты на ревматоидный фактор, антицитруллиновые и антинуклеарные антитела (АЦЦП).
Более полную клиническую картину можно увидеть с помощью анализа синовиальной жидкости, которая меняет свой цвет и прозрачность и имеет все признаки воспаления:
- умеренный лейкоцитоз – до 40 тыс/мл;
- повышенный уровень аутоантител (ревматоидный фактор);
- рагоциты – особые формы нейтрофилов, содержащие включения иммунных комплексов.
Для каждого вида заболевания существует свое специфическое лечение. В острой фазе всем пациентам назначаются нестероидные противовоспалительные средства:
- Диклофенак;
- Индометацин;
- Ибупрофен;
- Напроксен;
- Мелоксикам;
- Пироксикам;
- Рофекоксиб;
- Бутадион;
- Реопирин;
- Кетонал;
- Нимесил;
- Мовалис.
Лечение артрита большого пальца ноги включает использование антиподагрических средств – Аллопуринола, Колхицина, Алломарона, Уродана и Колхикум-дисперта. Чтобы снять воспаление во время приступа, чаще всего применяют Колхицин, особенно эффективно действующий в первые сутки после начала подагрической атаки.
Колхицин вводят внутривенно каждые три часа в дозировке 1 мг до достижения максимальной суточной дозы в 4 мг. Препарат наиболее эффективен в первый день приступа, в следующие 7-8 дней, после достижения максимальной дозы, применять его уже нельзя.
В межприступный период назначаются средства нескольких групп:
- урикозурические, снижающие образование мочевой кислоты в организме;
- урикодепрессивные, повышающие экскрецию мочевой кислоты с мочой;
- комбинированные.
Специфическая терапия ревматоидного артрита включает так называемые базисные препараты – цитостатики, антималярийные, антибактериальные средства и соли золота. При быстропрогрессирующей патологии наиболее эффективны соли золота. Большинство современных ревматологов признает, что лучше всего при ревматоидном артрите помогают цитостатики.
Самый популярный – Метотрексат, который является препаратом выбора и золотым стандартом традиционного лечения. Принимать его нужно 1 раз в неделю.
Для эффективного лечения воспалительного процесса в суставе большого пальца надо определить причину воспаления. Для этого врач назначает биохимическое исследование анализа крови, которое показывает, превышены ли показатели мочевой кислоты, характерные для подагры. Ревматоидный артрит определяется по титрам ревматоидного фактора, воспаление инфекционной природы определяется по резкому повышению лейкоцитов и СОЭ.
- Лечение подагрического артрита ведется препаратами, ускоряющими вывод из полости сустава кристаллов кислоты. Для этого применяю колхицин – токсичное средство, единственно эффективное для лечения острых процессов. В течение двадцати часов после принятия колхицина интенсивность боли значительно снижается, но воспаление и отек в суставе остаются еще несколько дней. После нормализации состояния, в качестве последующего лечения, пациенту назначается «Аллопуринол» в течение нескольких месяцев, для нормализации уровня мочевой кислоты.
- Ревматоидный артрит – системное, аутоиммунное заболевание, лечение которого ведется в течение всей жизни. Для этого используют специальные препараты, принимать которые надо постоянно, под контролем врача.
- Инфекционный артрит лечится антибиотиками, предназначенными для лечения внутрисуставных инфекций. Часто назначаются нестероидные противовоспалительные средства, которые применяются длительно.
Во всех случаях воспаления сустава большого пальца хороший эффект дают местные растирания или аппликации, компрессы. Лечение компрессом с «Димексидом» помогает даже при подагрическом воспалении. Для этого используют разбавленный водой «Димексид», а также любой антибиотик, который наносится непосредственно под компресс.
Артрит – серьезное заболевание, которое может привести к разрушению хрящевой ткани, трению костей, в запущенных случаях к инвалидности. Стопа человека испытывает нагрузки всего тела. Любые патологические процессы ограничивают ее движение и необходимые функции. Воспалительный процесс может возникнуть по причине инфекционных заболеваний, травм, сбоев в иммунной системе.
Необходимые диагностические исследования
Признаки патологии специфические, их легко обнаружить визуально, поэтому при первых симптомах воспаления любого пальца стопы нужно срочно обращаться к врачу-терапевту, ревматологу или артрологу. После опроса и осмотра выявляются возможные причины разрушительного процесса. Для подтверждения диагноза и скорейшего начала терапии назначаются такие исследования:
- общий анализ мочи и крови;
- исследования биохимии крови и ревмопробы оценивают работу иммунитета;
- рентгенография;
- проверка плотности костей — денсистометрия;
- забор иглой синовиальной жидкости — биопсия.
Виды поражения суставов пальцев
Этот характер поражения возникает и в пальцах ног. Изолированный артрит стопы — большая редкость . Обычно воспаление пальцев возникает при таких системных заболеваниях, как ревматоидный артрит и псориаз. К менее значимым причинам относятся:
- перенесенные травмы пальцев ног;
- острые и хронические инфекционные болезни;
- аллергические реакции и аутоиммунные заболевания (системная красная волчанка);
- недостаток витаминов в пищевом рационе;
- метаболические изменения за счет отложения солей мочевой кислоты при подагре;
- постоянная перегрузка суставов при ношении тесной и узкой обуви, высоких каблуков.
Предлагаем ознакомиться: Какими свойствами обладают лекарственные средства серии Диклозан Форте
Артрит может поражать:
- изолированно один сустав (чаще первого пальца);
- проявляться в виде полиартрита в сочетании с разными локализациями (пальцы ног, кисти рук, позвоночник при болезни Бехтерева).
О причинах артрита
В зависимости от формы артрита принято выделять одну или несколько причин его развития, которые были сгруппированы в следующий список:
- наследственность: имеет большое значение при подагрической и псориатический формах;
- гормональные перестройки организма;
- инфекционные агенты: характерны для ревматоидного артрита (ангина, ОРЗ, грипп) и реактивного (в основном скрытые половые инфекции);
- сопутствующие заболевания: псориаз, подагра;
- перенесенные травмы (переломы или вывихи) и оперативные вмешательства;
- чрезмерные нагрузки: по причине большой массы тела, поднятия тяжестей, плоскостопия.
Пусковым механизмом в развитии артрита на пальцах ног могут послужить регулярные стрессы, переохлаждения и травмы. Достаточно часто от данной патологии страдают артисты балета.
Диета
Диетические ограничения в период лечения артрита очень важны, поскольку пациенту нужно срочно минимизировать употребление продуктов, которые увеличивают концентрацию кислотности в организме.
Диета при артрите предполагает:
- Минимальное употребление мяса, рыбы, субпродуктов. В этих продуктах имеются пурины, которые провоцируют развитие подагры.
- Отсутствие в рационе консервов, копченостей и колбас.
- Ограниченное употребление соли и продуктов, где она присутствует в большой концентрации.
- Питье только чистой минеральной воды или молока. Остальные напитки строго запрещены.
- Исключение из рациона сладостей и цитрусовых.
Ежедневный рацион должен включать:
- Молочные продукты. Восстанавливают дефицит кальция и повышают устойчивость костей к разрушению.
- Яйца. Обогащены кальцием и многими другими полезными веществами, однако их нужно употреблять в ограниченном количестве, поскольку яичный желток содержит холестерин. Это вещество может негативно повлиять на организм пациента, особенно если был диагностирован артроз или артрит.
- Сырые овощи. Именно в таком виде овощи положительно влияют на все органы и системы человека, обогащают его полезными микроэлементами и делают иммунитет крепким.
- Зелень. Улучшает общее состояние организма, защищает его от возникновения раковых клеток.
Профилактика
Чтобы предотвратить развитие патологии, врачи рекомендуют изменить образ жизни:
- скорректировать рацион для нормализации массы тела;
- заниматься спортом (гимнастика, плавание, бег);
- отказаться от вредных привычек (табачная, алкогольная зависимости). Избегать активного солнца, пребывания под прямыми солнечными лучами в период с 12 до 16 часов дня;
- достаточно отдыхать. Ночной сон должен составлять в среднем 8-10 часов;
- избегать травм нижних конечностей и повышенного напряжения в ногах;
- своевременно лечить болезни мочевыделительной системы;
- носить удобную качественную обувь на низкой подошве, с широким носком.
Также в целях профилактики рекомендуется регулярно выполнять самомассаж нижних конечностей. Эта процедура улучшает кровообращение, облегчает дискомфорт и боль, а в комплексе с горячей ванной позволит достичь ощущения полного расслабления.
Как лечить артрит на пальцах ног в домашних условиях при помощи компрессов
Лечебные методы должны подбираться только квалифицированным специалистом на основе индивидуальных показателей пациента.
В первую очередь врач обязан купировать воспалительный процесс. Для этого лучше всего использовать специальные медикаменты. Воспаление в любой форме и на любой стадии развития артрита предполагает назначение нестероидных противовоспалительных средств (НПВС). Врач может назначить мазь, таблетки или внутрисуставные уколы.
При условии, что артрит является последствием инфекционного заражения, пациенту назначают антибиотики (таблетки и инъекции). Чтобы минимизировать развитие побочных эффектов и улучшить результативность терапии, врач должен подбирать лекарства строго по персональным особенностям пациента.
Хондропротектор чаще всего используется для лечения недуга, который перешел в острую фазу. При этом препарат должен применяться только после снятия воспаления.
Цитостатики лучше всего справляются с болезнью, пребывающей в активной фазе. Специалисты используют их только при крайней необходимости снятия воспаления. Как правило, цитостатики назначают пациентам, страдающим от ревматоидного артрита.
Не будет лишним прохождение больным сеансов физиотерапии. Хорошо в лечении артрита зарекомендовали себя:
- прогревание;
- массаж больных суставов;
- грязелечение;
- ванночки;
- ЛФК;
- специальная гимнастика.
Усилить терапевтический эффект консервативной медицины помогут определенные компрессы. Предлагаем рецепты наиболее эффективных.
Компресс 1
В одной емкости смешайте по чайной ложке:
- череды;
- тимьяна ползучего;
- полыни горькой;
- болотного багульника;
- зверобоя продырявленного.
Смесь залейте 250 мл кипятка, доведите до кипения на слабом огне. Остудите до 40 градусов, процедите. Лечебную массу замотайте в несколько слоев марли, смочите в отваре и прикладывайте к пальцам на 2 часа трижды в день.
Компресс 2
Смешайте по 120 грамм спирта и скипидара, добавьте к ним две столовых ложки подсолнечного масла, перемешайте. Смочите в снадобье салфетку, приложите к пальцам, обмотайте пищевой пленкой и теплым полотенцем. Процедуру лучше делать до сна 12 дней.
Компресс 3
150 грамм мела измельчите до порошка, добавьте 100 мл жирного кефира, перемешайте. Прикладывайте снадобье к больным участкам на ночь. Систематическое применение рецепта быстро восстановит хрящевую ткань.
Компресс 4
200 грамм голубой глины смешайте с водой. Полученную массу положите в ткань и прикладывайте к пальцам на 3 часа. Компресс лучше делать вечером перед сном. Длительность использования – до полного исчезновения симптоматики заболевания.
Также для лечения артрита на суставах пальцев ног можно использовать:
- яблочный уксус;
- сок картофеля;
- алоэ;
- сельдерей;
- багульник.
Помимо компрессов вылечивать артрит могут мази домашнего приготовления.
При возникновении проявлений артрита стоит посетить участкового терапевта. Он проведет осмотр и направит к профильному специалисту. Полиартрит ног, вызванный травмой, лечит ортопед-травматолог. При подагрической форме стоит посетить эндокринолога и диетолога, при ревматоидной – ревматолога.
Если пациенту назначен курс ЛФК, то лечением артрита большого пальца занимается физиотерапевт.
Компресс 4
Обратите внимание! Компресс каждый раз готовится с новой глиной.
Компресс 4
Как распознать проблему?
Воспаление большого пальца на ноге в начальных стадиях протекает латентно. При прогрессировании болезни пациенты обращают внимание на то, что сустав воспалился, сильно болит и опух. Вырастает болезненная шишка плотной консистенции, она значительно деформирует сустав большого пальца, мешает свободно перемещаться.
Предлагаем ознакомиться: Что такое остеохондроз пояснично крестцового отдела позвоночника
Вырост горячий на ощупь, с покрасневшей кожей, нередко достигает 2—3 см в диаметре. При ощупывании боль заметно усиливается, воспаление переходит на соседние зоны. Отек и болевой приступ при отсутствии лечения распространяется на всю стопу. Боль в суставе усиливается при нагрузке и вскоре становится постоянной. Воспаление сопровождается следующими характерными признаками, такими как:
- болевой синдром,
- ограничение подвижности,
- отечность большого пальца с переходом на стопу,
- местная гипертермия и покраснение,
- затрудненность движений.
Комплекс лечебной гимнастики способствует восстановлению утраченных двигательных функций суставов пальцев ног, а также замедлению процесса прогрессирования артрита.
Физиотерапевты рекомендуют выполнять такие упражнения для пальцев ног:
Сидя на стуле, вытянув ноги вперед, колени ровно, попеременно тянем носочки вперед, потом на себя (упражнение выполняется медленно по 10-20 повторений); Стоя ровно, начинам перекатываться с пятки на носочки, и в обратном направлении (10-20 раз); Поднимаемся на носочки и ходим, нагрузка идет на суставы пальцев ног (можно придерживаться за опору, к примеру, держась за стенку); Сидя на стуле, ноги вытянуть вперед, под стопы подложите небольшой мячик, затем перекатываем его пальцами ног.
О способах лечения артрита пальцев ног можно узнать из предоставленного видео:
Берегите свое здоровье!
Артрит пальцев ног – ревматоидное заболевание, воспалительный процесс, приводящий к поражению большого пальца стопы, при отсутствии лечения — к поражению всех близлежащих пальцам.
Данная патология следствие иных системных заболеваний: ревматизма, псориаза, красной волчанки, нарушения обмена веществ.
Артрит поражает один сустав, либо сразу несколько, локализуя все пальцы на ноге. Ранняя стадия заболевания успешно лечится.
Если артрит не лечить, то болезнь начнет прогрессировать, нарушится подвижность суставов, стопы деформируются, в итоге наступит инвалидность.
Мази для пальцев при артрите
Мази можно использовать в промежутках между компрессами. Также они хорошо снимают боль при артрите колена или руки.
Вариант 1
Смешайте по две столовых ложки:
- зверобоя;
- донника;
- шишек хмеля.
Измельчите, добавьте 80 грамм сливочного масла, перемешайте. Нанесите ровный слой массы на ткань, приложите к больным пальцам. Обмотайте ногу полиэтиленом и шерстяным платком. Процедуру рекомендуется выполнять перед сном в течение двух недель.
Вариант 2
Смешайте по 200 мл водки и сока редьки, хорошенько посолите, бросьте ложку меда. Перемешайте до однородной консистенции. Нанесите тоненько на пораженные суставы пальцев ног на 45 минут. Используйте до полного выздоровления.
Вариант 3
Пачку сливочного масла смешайте с березовыми почками (250 грамм). После накройте тонкой тканью и поставьте в теплое место на сутки. Затем пропустите массу через мясорубку, бросьте чайную ложку камфорного порошка, перемешайте. Обрабатывайте мазью больные пальцы. Храните лекарство в холодильнике.
Вариант 3
Народные методы лечения
Чтобы как можно быстрее вылечить артрит пальцев ног кроме основной медикаментозной терапии, проводить лечение и народными способами. Лечить заболевание пальцев ног можно такими народными средствами:
- Взбейте яичный желток со скипидаром (чайная ложечка). Добавьте яблочный уксус (15 грамм) и тщательно перемешайте. Полученную мазь мажьте на поврежденные пальцы ног. Данное средство поможет справиться с хромотой;
- Симптомы ревматоидного артрита можно устранить с помощью пихтового масла. Область пораженного большого пальца нужно смазать разогретым средством. Поверх масла нужно положить компресс с теплым песком или солью;
- Сок черной редьки смешайте с медом и водкой. Перемешайте и наносите смесь на пострадавшие пальчики втирающими движениями. Затем стопы заверните в теплое одеяло или наденьте шерстяные носочки. Каждые три недели нужно делать новую настойку.
Опасные осложнения
Если не лечить воспаление в суставах большого пальца, это может привести к разрушениям костной и хрящевой ткани. Прогрессивно развивается деформация, вызывая полное ограничение двигательных функций. Процесс переходит на стопу, вовлекая в воспаление все ткани около большого пальца. Задержка лечения имеет высокий потенциал для перехода патологии в хроническую деформирующую форму. Единственный выход — делать протезирование.
Лечение воспаления сустава большого пальца проводится обязательно, независимо от причины. Это связано с высоким риском распространения воспалительного процесса на другие суставы организма. Подагра и ревматоидный артрит опасны поражением внутренних органов: почек и сердца, которые приводят к печальным последствиям.
Диагностика
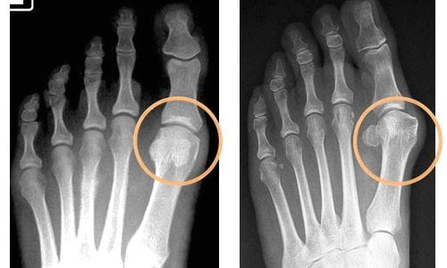
Диагноз устанавливается на основании характерных симптомов и данных обследования. Стандартный метод диагностики – рентгенография. При ревматоидном артрите выделяют 4 рентгенологические стадии:
- 1 – определяется отек мягких тканей, признаки остеопороза;
- 2 – появляются единичные костные эрозии (узуры);
- 3 – эрозий становится больше;
- 4 – между суставами образуются анкилозы.
При подагре обнаруживают суставные деформации, солевые отложения в мягких тканях.
Более точные диагностические исследования – компьютерная и магнитно-резонансная томография.
Причины развития болезни и проявления
Артрит не относится к самостоятельным болезням. В большинстве случаев он возникает как осложнение после определенных заболеваний. У многих пациентов артрическое поражение стопы развивается из-за пережитого некоторое время назад ОРВИ или гриппа (патогенные микроорганизмы накапливаются в полостях суставных сочленений).
Иммунитет будет провоцировать развитие артрита у пациентов, которые:
- болеют сифилисом, гонореей, туберкулезом;
- страдают от подагры (этот недуг провоцирует нарушение метаболизма, что приводит к накоплению мочевины в суставах и воспалению соединительной ткани);
- получали сильные ушибы и травмы ноги;
- страдают от нарушенной функции иммунитета (защитная система воспринимает соединительную ткань как антиген).
Подобные явления воспаляют и разрушают суставы пальцев ног.
В статье «Основные симптомы артрита пальцев ног, а также методы эффективного лечения» использованы материалы:
http://sustavlive.ru/artrit/palcev-nog.html
http://osteo.expert/artrit/palcev-nog
http://www.zdorovie-nogi.info/kovarnoe-zabolevanie-artrit-palcev-nog.html