- от автора Jose
Подробное описание аномалии Киммерли
Аномалия Кимерли

Аномалия Кимерли — наличие в структуре первого шейного позвонка дополнительной костной дужки, ограничивающей движения позвоночной артерии и вызывающей синдром ее сдавления. Аномалия Кимерли характеризуется головокружением, шумом в ушах, шаткостью походки и расстройством координации, «мушками» и потемнением в глазах, приступами потери сознания и внезапной мышечной слабости. Возможны двигательные и чувствительные расстройства, возникновение ТИА и ишемического инсульта. Диагностируется аномалия Кимерли при рентгенографическом исследовании краниовертебрального перехода, проведении магнитно-резонансной ангиографии, дуплексного сканирования и УЗДГ сосудов головы и шеи. Сосудистые нарушения, которыми сопровождается аномалия Кимерли, подлежат комплексному консервативному лечению. Операция по резекции аномальной дуги производится лишь в тяжелых случаях.
МКБ-10


- Патогенез сосудистых нарушений при аномалии Кимерли
- Классификация аномалии Кимерли
- Симптомы аномалии Кимерли
- Диагностика аномалии Кимерли
- Лечение аномалии Кимерли
- Цены на лечение
Общие сведения
Наряду с аномалией Киари, платибазией и ассимиляцией атланта аномалия Кимерли относится к так называемым краниовертебральным мальформациям — врожденным нарушениям строения области сочленения черепа с первыми шейными позвонками. По некоторым данным аномалия Кимерли встречается у 12-30% людей. Вызывая сдавление позвоночной артерии, аномалия Кимерли сопровождается хронической ишемией в задних отделах мозга. Однако такая ситуация возникает далеко не всегда. Сама по себе аномалия Кимерли не является заболеванием и ее наличие не говорит о том, что именно она вызывает сосудистые нарушения в бассейне позвоночной артерии. При обследовании пациентов, у которых имеется синдром позвоночной артерии и аномалия Кимерли, лишь у 25% обнаруживается причинно-следственная связь между наличием аномалии и развитием синдрома.

Патогенез сосудистых нарушений при аномалии Кимерли
Правая и левая позвоночные артерии отходят от соответствующих подключичных артерий. Каждая позвоночная артерия проходит вдоль шейного отдела позвоночника, находясь в канале, образованном отверстиями поперечных отростков его позвонков. Затем она входит в большое затылочное отверстие, попадая таким образом в полость черепа. Позвоночные артерии и их ветви образуют так называемый вертебро-базилярный бассейн, кровоснабжающий часть спинного мозга в шейном отделе позвоночника, мозжечок и ствол мозга. Выходя из шейного канала позвоночная артерия огибает шейный позвонок и горизонтально проходит в широкой костной борозде, где она может свободно перемещаться при движениях головы. Костная дужка, наличием которой характеризуется аномалия Кимерли, расположена над костной бороздой и ограничивает движения позвоночной артерии в этом месте.
Аномалия Кимерли может приводить к развитию синдрома позвоночной артерии двумя путями: за счет срабатывания периваскулярных вегетативно-ирритативных механизмов симпатической иннервации и за счет уменьшенного поступления крови в вертебро-базилярный бассейн из-за механического сдавления позвоночной артерии. Факторами, приводящими к тому, что аномалия Кимерли становиться клинически значимой, являются атеросклероз, поражение сосудистой стенки при васкулитах, шейный спондилоартроз, остеохондроз шейного отдела позвоночника, артериальная гипертензия, наличие других краниовертебральных мальформаций, рубцовый процесс, черепно-мозговая травма или травма позвоночника с повреждениями в области краниовертебрального перехода. К возникновению клинической картины синдрома позвоночной артерии у пациентов с аномалией Кимерли могут приводить травмы плеча, вызывающие повреждение ограниченной костной дужкой позвоночной артерии по хлыстовому механизму.
Классификация аномалии Кимерли
В неврологии выделяют 2 вида аномалии Кимерли. Первая характеризуется наличием костной дужки, соединяющей суставной отросток атланта с его задней дугой. Во втором варианте аномалия Кимерли представлена костной дужкой между суставным отростком атланта и его поперечным отростком.
Аномалия Кимерли может иметь односторонний характер и ли наблюдаться с обоих сторон первого шейного позвонка. Кроме того, аномалия Кимерли может быть полной и неполной. Полная аномальная костная дужка имеет вид полукольца, неполная костная дужка представляет собой дугообразный вырост.
Симптомы аномалии Кимерли
Клинические проявления, которыми сопровождается аномалия Кимерли, обусловлены уменьшенным притоком крови к задним отделам головного мозга. В результате пациенты испытывают шум в ухе или обоих ушах (свист, звон, гул, шипение), мелькание «мушек» или мерцание «звездочек» перед глазами, внезапное преходящее потемнение в глазах. Указанные симптомы усиливаются при поворотах головы. Поскольку аномалия Кимерли сопровождается нарушением кровоснабжения мозжечка, то возникают головокружение и шаткость походки, которые также могут усугубляться при поворотах головой. На фоне некомфортного положения головы или перенапряжения мышц шеи при аномалии Кимерли у пациентов могут наблюдаться приступы потери сознания. Возможна внезапно возникающая мышечная слабость, приводящая к падению больного без потери сознания.
В случаях более тяжелого течения аномалия Кимерли может сопровождаться головной болью, тремором рук и ног, нистагмом, нарушениями координации, гипестезией и/или мышечной слабостью части лица или туловища, чувствительными и двигательными расстройствами одной или нескольких конечностей. Могут наблюдаться транзиторные ишемические атаки в вертебро-базилярном бассейне. Особо тяжелым осложнением наличия аномалии Кимерли является ишемический инсульт.
Диагностика аномалии Кимерли
При обращении пациента с симптомами недостаточности кровообращения в вертебро-базилярном бассейне головного мозга в первую очередь производят рентгенографию черепа и рентгенографию позвоночника в шейном отделе. Аномалия Кимерли, как правило, достаточно четко визуализируется на боковых рентгенограммах области краниовертебрального перехода. При наличие ушного шума для исключения лор-патологии (кохлеарный неврит, хронический средний отит, лабиринтит) может потребоваться консультация отоларинголога, проведение аудиометрии и других исследований слуха. Производится также исследование вестибулярного анализатора (вестибулометрии, электронистагмографии, стабилографии).

Поскольку выявленная аномалия Кимерли может не являться причиной синдрома позвоночной артерии, неврологу необходимо исключить другие возможные причины вертебро-базилярной недостаточности. Выявить тромбоз, артерио-венозную мальформацию или аневризму сосудов головного мозга, сдавление сосуда объемным образованием (опухоль, киста или абсцесс головного мозга) способна контрастная ангиография. Определить насколько клинически значима аномалия Кимерли, т. е. степень ее влияния на кровообращение в вертебро-базилярном бассейне, позволяет применение целого ряда гемодинамических исследований: УЗДГ экстракраниальных сосудов, транскраниальной допплерографии, дуплексного сканирования и магнитно-резонансной ангиографии сосудов головного мозга. С их помощью при аномалии Кимерли возможно выявить локализацию сдавления позвоночной артерии и ее зависимость от положения головы и шеи.
Лечение аномалии Кимерли
Аномалия Кимерли требует лечения в случае наличия клинических и гемодинамических признаков нарушения кровообращения в вертебро-базилярном бассейне, связанного именно с данной патологией. Пациенты, у которых имеется аномалия Кимерли, должны соблюдать некоторые меры предосторожности в рамках охранительного режима. При аномалии Кимерли следует избегать форсированных физических нагрузок, резких околозапредельных поворотов головой, стоек на голове, кувырков, спортивных занятий и игр, связанных с ударами головой (борьба, футбол, спортивная гимнастика и пр.). При прохождении массажа или мануальной терапии шейного отдела позвоночника пациенту необходимо предупреждать массажиста и мануального терапевта о том, что у него аномалия Кимерли. Ухудшение состояния пациента является поводом к незамедлительному обращению к врачу.
В большинстве случаев аномалия Кимерли, приводящая к клиническим проявлениям сосудистой недостаточности, подлежит консервативному лечению. Проводится сосудистая терапия направленная на улучшение мозгового кровотока (ницерголин, винпоцетин, винкамин, циннаризин). По показаниям под контролем коагулограммы при аномалии Кимерли применяются препараты, улучшающие реалогические свойства крови (пентоксифиллин). В комплексную терапию включают также антиоксиданты, ноотропы, нейропротекторы и метаболические препараты (пирацетам, препараты гинкго билоба, никотиноил-гамма-аминобутировая кислота, мельдоний).
Аномалия Кимерли на сегодняшний день не является показанием для проведения хирургического лечения. Необходимость в оперативном лечении может возникнуть при декомпенсированном течении синдрома позвоночной артерии, приводящем к выраженной недостаточности кровообращения в вертебро-базилярном бассейне при отсутствии достаточного коллатерального кровоснабжения. Операция при аномалии Кимерли заключается в резекции аномальной дуги и мобилизации позвоночной артерии. В послеоперационном периоде пациентам необходимо ношение воротника Шанца сроком от 2 до 4 недель.
В чем заключается синдром Киммерли
Виды патологии
Разбираясь с вопросом, что это такое – аномалия Киммерли, ученые выделили два типа заболевания. Оно бывает врожденным и приобретенным. В первом случае человек уже рождается с данной патологией. Во втором она появляется по ряду причин в течение жизни.
Также существует полная и неполная формы заболевания. В первом случае костяной полукруг на позвонке сливается с латеральной связкой, постепенно твердеющей из-за накапливаемого в ней кальция. Такое явление вызывает сдавливание артерии, снабжающей кровью позвоночник, что, в свою очередь, становится причиной ряда опасных состояний.
При неполной аномалии Киммерли у человека на позвонке наблюдается только сам костяной нарост в виде полукольца. Других попутных образований нет.
Причины и разновидности аномалии Киммерли
Причины аномального развития первого шейного позвонка точно не установлены. Это врожденный порок, который формируется еще во время эмбрионального развития. Возможно, неблагоприятное влияние оказывают внешние факторы, вредные привычки, инфекции у беременной женщины. Обычно порок обнаруживается случайно, нередко – при обследовании лиц, у которых подозревают дегенеративные процессы позвоночника.
По строению добавочной дужки, выделяют полную и неполную аномалию Киммерле. Дужка может проходить от суставного отростка до дуги первого позвонка или соединять оба его отростка.
При полной аномалии Киммерле добавочная дужка образует замкнутый канал, где помещена позвоночная артерия. Этот вариант патологии сопровождается более выраженной симптоматикой и быстрейшим прогрессированием. При неполном типе порока дуга незамкнута, в виде выроста из костной ткани.
Позвоночные артерии – важные сосуды, осуществляющие питание верхнего отдела спинного, ствола и задней части головного мозга. Они отходят от подключичных и направляются вверх, в канале, который образуют поперечные отростки позвонков. Через затылочное отверстие в черепе эти сосуды попадают к мозгу.
Первый шейный позвонок (атлант) устроен своеобразно и отличается от других: в нем нет тела, а есть две дуги, в борозде задней и находится сосуд с нервным корешком. Проходя в борозде первого позвонка, артерии могут быть сдавлены из вне аномальными дужками, которые затрудняют их подвижность при поворотах и наклонах головы.
Механизм развития синдрома позвоночной артерии при пороке С1 шейного отдела состоит в механической компрессии артерии, кровь по ней при этом движется с трудом. Другим значимым фактором является раздражение нервных окончаний сосудистой стенки и ветвей симпатического сплетения.
Клиника нарушения кровотока по позвоночной артерии часто возникает при наличии отягчающих факторов:
- Атеросклеротические изменения;
- Воспаление стенки артерии;
- Дегенеративные процессы в позвоночнике (остеохондроз);
- Травмы черепа и позвоночника;
- Артериальная гипертензия.
В группе риска по клинически значимой аномалии Киммерле – люди с отягощенной наследственностью в отношении костных пороков, а также те, кто страдает остеохондрозом.
Чаще, чем врожденный дефект, нарушение кровотока по позвоночным артериям провоцируют приобретенные изменения, тогда говорят о приобретенной аномалии Киммерли. В ее основе лежат дегенеративные процессы в атлантозатылочной связке, которая подвергается обызвествлению или окостенению. Новообразованная плотная ткань прочно фиксируется с дужкой атланта, и таким образом образуется ограниченный канал, содержащий позвоночную артерию.
Причины появления синдрома
Для того чтобы понимать, как развивается синдром и по какой причине, нужно хотя бы примерно представлять себе, что это такое. Аномалия Киммерли вызывает видоизменения первого позвонка в шейном отделе. Он не похож на все остальные. Атлант не имеет тела как такового, а состоит из передней и задней дуги. Через этот позвонок в верхней его части в череп проходит спиной мозг и кровеносные сосуды. Они уложены в специальную бороздку в верхней части шейного позвонка.
При врожденном типе еще во время внутриутробного развития над этой бороздкой возникает нарост, сужающий проход в череп. Причины возникновения такого явления в период беременности пока не установлены.
После рождения у ребенка с таким синдромом наблюдается не нормальная бороздка с нервом и сосудами в ней, а узкий проход в костяной толще, уходящий в череп.
Приобретенная форма заболевания, она же аномалия Киммерле С1, встречается гораздо чаще. Считается, что причина ее развития кроется в шейном остеохондрозе. Иногда патология развивается в течение нескольких лет, так как окостенение атлантоокципитальной связки происходит крайне медленно.
Диагностика
Лицам с нарушением кровообращения в вертебробазилярном бассейне головного мозга при обращении к специалисту назначается рентгенографию черепа и рентгенографию позвоночника в шейном отделе. Также может потребоваться обследование отоларинголога для исключения ЛОР-патологии. Помимо этого, больному может быть назначена вестибулометрия, электронистагмографии или стабилографии.
В обязательном порядке проводится определение выраженности и клинической значимости аномалии Кимерли посредством ультразвуковой допплерографии экстракраниальных сосудов, транскраниальной допплерографии, дуплексного сканирования и магнитно-резонансной ангиографии сосудов головного мозга. Также посредством таких обследований удается выявить локализацию сдавления позвоночной артерии и ее зависимость от положения головы и шеи.
Признаки синдрома
Если причины аномалии Киммерли до конца не установлены, то проявления данного синдрома изучены полностью. Связаны они лишь с одним последствием, вызванным синдромом – гипоксией мозга. Это нехватка кислорода. Ведь кровеносные сосуды сильно сжимаются в бороздке атланта.
Таким образом, аномалия Киммерли в шейном отделе позвоночника проявляется следующим образом:
- Неприятные звуки в ушах, слышимые больным. Это может быть гул или свист в одном или сразу в обоих ушах.
- Зрение нарушается, человек видит, как перед глазами мелькают темные или белые точки.
- Зрение резко и ненадолго полностью пропадает, темнеет в глазах.
- Мышечный тонус настолько сильно угнетается, что человек может неожиданно упасть, при этом находясь в сознании.
- С усилением синдрома у больного фиксируется постоянное дрожание рук.
- Голова болит все чаще, в какой-то момент боль просто перестает затухать, став хроническим явлением.
- Зрачки подрагивают с неконтролируемой частотой. Такое явление называется нистагм.
- Мышечный тонус может нарушиться только в одной половине тела. Например, отнимается только одна рука или нога. Также может онеметь половина лица, из-за чего нарушается мимика.
- Ноги перестают слушаться, человек часто падает и постепенно теряет чувствительность нижних конечностей.
- Больной чувствует перебои в сердечном ритме.
Редко, когда симптомы обрушиваются сразу и все. Аномалия Киммерли – это нечто такое, что не имеет резких ярких проявлений. Признаки кислородного голодания возникают постепенно, набирая силу при ухудшении состояния человека.
Обычная или двусторонняя аномалия Киммерли требует обязательного лечения. Поэтому при первых же симптомах патологии необходимо обратиться к врачу.
Симптомы
Данная аномалия сопровождается ухудшением кровоснабжения задних отделов головного мозга. В следствии таких нарушений у больного возникает шум в одном или обеих ушах, мелькание мушек или мерцание звездочек перед глазами, внезапное преходящее потемнение в глазах. Такие симптомы могут усиливаться при поворотах головы. В связи с тем, что аномалия Кимерли связана с нарушением кровоснабжения мозжечка у пациента может развиваться головокружение и шаткость при ходьбе, усиливающиеся при поворотах головой. На фоне некомфортного положения головы или перенапряжения мышц шеи при аномалии Кимерли у пациентов могут наблюдаться эпизоды потери сознания. Возможны случаи развития внезапной мышечной слабости, сопровождающейся падением без потери сознания. Также возможно появление приступов головных болей, дрожания конечностей, нистагма, нарушения координации, транзиторных ишемических атак. Одним из самых грозных осложнений аномалии является ишемический инсульт.
Диагностика синдрома
Любой врач знает, что это такое. Аномалию Киммерли сложно диагностировать на ранних стадиях развития – вот в чем основная проблема. Во-первых, звон в ушах или гул, являющийся одним из характерных симптомов кислородного голодания, может быть вызван отитом, кохлеарным невритом и другими заболеваниями внутреннего уха. Для исключения данных патологий пациент проходит обследование у отоларинголога.
Во-вторых, другие симптомы также могут быть признаками самых разных болезней и состояний, начиная невралгией и заканчивая инфекциями. Именно поэтому при диагностике кислородного голодания мозга пациент не только опрашивается и осматривается врачом, но и проходит ряд специальных исследований.
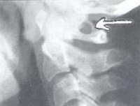
Наличие косного нароста и возникновение аномалии на верхнем позвонке хорошо отображается на боковой проекции рентгенографии. Причем пациент проходит обычно два этапа – рентген шейного отдела позвоночника и рентген основания черепа.
Важно знать, что аномалия Киммерли – это такое явление, которое может и не мешать человеку, но при определенных условиях вызывать другие заболевания. Именно поэтому больной проходит обследование у невролога. В ходе анализов и исследований у данного специалиста сосуды мозга пациента изучаются с помощью ангеограммы. Это их визуальное отображение, где также можно фиксировать их полную или частичную непроходимость.
Работа сосудов шеи оценивается с помощью аппаратуры, работа которой базируется на принципе эффекта Доплера. Оборудование просвечивает сосуд, давая врачу визуально оценить ширину просвета и качество кровотока.
Самым информативным анализом, отражающим все органы в шее и их работоспособность, является магниторезонансная томография.
В ходе всех этих процедур выявляется сила, с которой пережимается кровеносный сосуд в шее. Причем определяется даже под каким углом шея должна быть повернута, чтобы сосуды имели максимальную деформацию. При этом невролог определяет, какой именно урон успело нанести хроническое кислородное голодание и как с этим бороться.
Методы диагностики
Диагностика аномалии Киммерли направлена на подтверждение наличия дополнительной дуги, исследование ее формы и типа, а также исключение сопутствующих нарушений и патологий.
Наиболее информативными методами диагностики при подозрении на аномалию Киммерле являются аппаратные исследования: рентгенография, магнитно–резонансная и компьютерная томография, УЗИ, ангиография и др.
Диагноз может поставить врач-рентгенолог или невропатолог на основании рентгенограммы и результатов прочих уточняющих исследований. При проведении дифференциальной диагностики пациенту может потребоваться консультация ЛОРа, онколога и других узких специалистов.
Рентген
При жалобах на потерю координации, мышечную слабость, шум в ушах и расстройства зрения пациента направляют на рентгенографию шейных позвонков и головы. Диагностика выполняется в двух проекциях: прямой и боковой.
У большинства больных аномальная костная дуга четко проявляется на боковых снимках атланта в зоне сочленения черепа и шейных позвонков.
Магнитно-резонансная томография выполняется с целью дифференциальной диагностики аномалии атланта, а также для исследования состояния сосудистого русла вертебро–базилярного бассейна.
МРТ выявляет опухоли, кисты, абсцессы, аневризмы и другие объемные образования, которые могут приводить к компрессии сосудов мозга. Также она является хорошей альтернативой компьютерной томографии при наличии противопоказаний к облучению рентгеновскими лучами.
МР–ангиография позволяет обнаружить тромбоз, нарушение мозгового кровообращения вследствие стеноза артерий и другие сосудистые патологии.
Компьютерная томография в ряде случаев считается более точным и информативным методом исследования. Он позволяет обнаружить новообразования маленьких размеров и диагностировать ишемический инсульт на ранних стадиях его развития.
Магнитно–резонансная или компьютерная томография является лишь вспомогательным методом диагностики при аномалии Киммерли. Обнаружить дополнительную дугу в структуре позвонка с помощью КТ и МРТ нельзя.
В качестве основного исследования пациентов с аномалией атланта КТ может применяться только при развитии его осложнения — острого нарушения мозгового кровообращения (инсульта). В этом случае расположение и размеры очагов ишемии наиболее точно визуализируются на томограмме.
Другие методы
Помимо вышеописанных методов диагностики, при подозрении на аномалию верхнего шейного позвонка пациенту назначаются следующие исследования:
- ультразвуковая доплерография экстракраниальных сосудов в области шеи;
- доплерография магистральных артерий и вен мозга;
- цветное дуплексное сканирование мозговых сосудов;
- диагностика нарушений слуха (аудиометрия и др.);
- оценка функции вестибулярного аппарата (вестибулометрия, электронистагмография, стабилография, вращательные тесты и др.).
Медикаментозная терапия аномалии Киммерли
Как лечить патологию решает не один врач, а сразу несколько специалистов: невролог, невропатолог, хирург. То есть и лечение представляет собой комплекс мероприятий, направленных на устранение причин не только слабого кровотока, но и последствий такого состояния.
Во-первых, необходимо нормализовать кровоток внутри черепа пациента. Для этого назначается курс приема «Кавинтона», «Сермиона», «Циннаризина» или «Девинкана».
Во-вторых, улучшается качество крови. Ее нужно сделать необходимой густоты, насыщенности кислородом и микроэлементами. Для этого больному выписываются «Пентоксифиллин» или «Трентал».
В-третьих, больной принимает нейропротекторы, назначаемые ему индивидуально в зависимости от состояния.
Кровь очищается антиоксидантами и метаболитами, также подобранными по индивидуальным показателям организма. Наряду с лечебными препаратами больной принимает лекарства, расслабляющие мышцы и снимающие хронический спазм. Таким образом ослабляется сдавливание сосудов мягкими тканями.
Во время терапии больной должен носить мягкий воротник, фиксирующий его шею в положении прямо и под таким углом, чтобы сосуды не придавливались. Такой воротник разработал Шанц. Под этим именем устройство и известно.
Хирургическое лечение аномалии Киммерли
Для хирургического лечения ситуация с кровоснабжением головного мозга должна быть критической. Такое состояние резко не наступает, поэтому операция в любом случае будет плановая. Это значит, что пациент будет приготовлен к ней по всем правилам.
В ходе процедуры у больного удаляется аномальный нарост на первом позвонке. После этого в течение одного месяца человек не должен крутить шеей. Для этого его помещают в воротник Шанца. После операции пациент проходит стандартный курс лечения кровеносной системы и улучшения качества крови.
Лечебная гимнастика
Для того чтобы усилить эффект от массажа, надо чередовать его с лечебной гимнастикой, включающей в себя вращательные движения головой. Упражнений немного и делать их можно в течение дня несколько раз.
- Нужно сидя на стуле начинать вращать головой, перекатывая ее по плечам, груди и спине. Всего 10 раз в одну сторону и столько же в другую.
- Следующее упражнение делается с помощью рук. Их нужно сцепить в замок, положить на затылок и попытаться при этом откинуть голову назад, руками упираясь в затылок изо всех сил. Затем нужно сделать то же самое, но с руками на лбу, на правой и левой стороне черепа. Надавливание головой на руки нужно проводить по 10-15 секунд.
- Заканчивается комплекс упражнений наклонами головы вперед, назад и в стороны, по 10 раз.
Последствия
Синдром Киммерли не являясь самостоятельным заболеванием. Тем не менее оно очень опасно. Если оставить заболевание без лечения, то рано или поздно у человека может случиться инсульт, а это быстрая и болезненная смерть. Те, кто пережил ОНМК, до конца жизни остаются парализованными, у них пропадает речь или нарушаются другие функции. Иногда пропадает и ясность сознания. Кроме этого, постоянная боль в шее от зажатого нерва расшатывает психику человека, делая его агрессивным и непредсказуемым.
Основные симптомы аномалии Киммерли
Что такое синдром (аномалия) Киммерли хорошо знают от 12 до 30% людей во всем мире. В большинстве случаев — это врожденное заболевание, развивающееся в результате сбоев в развитии будущего ребенка. К провоцирующим факторам врачи относят и шейный остеохондроз – болезнь современного взрослого человека.
Синдром Киммерли не имеет ярких и характерных признаков, среди косвенных симптомов — неврологические расстройства. Это:
- слуховые и визуальные галлюцинации и явления – шум, писк, свист, потемнение, «мушки» в глазах;
- головокружения;
- мигрени;
- дезориентация в пространстве;
- изменения в походке – слабость, неуверенность, шатание;
- потеря сознания на несколько минут;
- временное снижение работоспособности;
- повышенная усталость;
- стрессы, ухудшение психоэмоционального здоровья;
- кошмары, бессонница;
- немота лицевых мышц;
- редко – неврозы, панические атаки.
Проявления возникают при усиленной физической нагрузке (обычно на спину), обуславливающей повышение артериального давления. Лечить заболевание рекомендовано в случаях, если его симптомы нарушают привычный ритм жизни, отражаются на его рабочей деятельности, семейных отношения.
Терапия в данном случае возможна только хирургическим путем. Чем же опасна аномалия Киммерли? Она может вызвать ишемию или инсульт, что в многих случаях приводит к инвалидности и даже летальному исходу.
Профилактические мероприятия
Теперь понятно, что это такое – синдром Киммерли. Но возможно ли его предотвратить? Все профилактические меры направлены на то, чтобы не дать развиться у человека остеохондрозу, который является основной причиной возникновения синдрома. Для этого нужно регулярно заниматься спортом, больше двигаться и правильно питаться. Диета положительно сказывается на состоянии костей и позвоночника в частности. При регулярных физических нагрузках, связанных с профессиональной деятельностью, нужно ее распределять таким образом, чтобы мышцы шеи не затекали.
Следует в профилактических целях хотя бы два раза в год проходить курс лечебного массажа.
При любых непонятных болях в шее, головокружении и слабости нужно сразу же обращаться к врачу, даже если приступ был кратковременным и не долгим.
Для предотвращения развития болезни необходимо систематически проходить профилактические обследования у врача хотя бы один раз в год.
Профилактика синдрома Киммерли при беременности
Так как часть людей рождается с уже сформировавшимся синдромом, то имеет смысл применять принципы профилактики еще во время беременности. Ведь генетическая предрасположенность не гарантирует 100 % развития ее у ребенка.
Беременная женщина должна регулярно посещать врача, сдавать все необходимые анализы и питаться по предложенной специалистом схеме. Очень важно во время беременности не пить спиртные напитки и не курить. Нужно сохранять психику в спокойном состоянии, не нервничать и спать не менее 8 часов в сутки. Причем именно по ночам, так как часть гормонов вырабатывается только в темное время суток. Нужно больше гулять на свежем воздухе, но беречь организм от переохлаждений.
Что такое аномалия Киммерли и как с этим жить
Обычный человек, сталкиваясь с медицинской терминологией, теряется в потоке незнакомых слов и названий. Проведем небольшой ликбез – расскажем, что такое аномалия Киммерли.
Общая информация
Патология названа в честь венгерского ученого А. Киммерли, детально описавшего ее в 1930 году. После многолетних наблюдений медик отметил взаимосвязь расстройства мозгового кровообращения с аномальными отклонениями в анатомическом строении первого шейного позвонка, именуемого атлантом. Медицинская ассоциация определила аномалию в группу краниовертебральных мальформаций – врожденных недостатков в строении соединений черепа с элементами позвоночного столба. Установить точные причины, способные дать толчок к развитию аномальных отклонений не удалось. Подтвержденными фактами врожденной мальформации считаются: генетическая предрасположенность, пороки развития плода на фоне плохой экологической обстановки и вредных привычек матери.
Окунувшись глубже в анатомические подробности, поймем, что это за недостаток. Структурная единица позвоночного столба, образованная задней и передней аркой, имеет вид кольца, по бокам которого отходят поперечные отростки. По продольному направлению шейного отдела проходят позвоночные артерии. В череп сосуды попадают, входя в затылочное отверстие. При выходе из шейного канала кровеносная трубка огибает позвонок и располагается в костной борозде. В нормальном состоянии артерия свободно передвигается в этом пространстве при поворотах головы.

Отклонения от нормы обуславливаются наличием дополнительной костной дужки в позвоночном элементе (1 шейном позвонке). Сформировавшись над костной бороздой, своеобразный мостик сдавливает позвоночную артерию, кровоснабжающую головной мозг.
Виды отклонений
В неврологической практике аномалию Киммерли подразделяют на два вида. В первом случае костная дужка соединяет отросток шейного позвонка и его заднюю дугу. В другом варианте — дужка располагается между суставным и поперечным отростком. Отклонения могут развиваться с одной стороны атланта, либо с обеих сразу.
По особенностям деформации классифицируют полную, либо неполную аномалию. Если костная дужка сформировалась в виде дугообразного выроста, отклонение считается неполным. При костной дужке, похожей на полукольцо мальформация характеризуется, как полная аномалия Киммерли С1 позвонка шейного отдела позвоночника.
Механизм развития
Аномалия Киммерли – не болезнь, отклонение не выделено в отдельную патологию. Механический зажим кровеносного сосуда приводит к уменьшению необходимого объема крови, поступающей в головной мозг, что провоцирует развитие синдрома позвоночной артерии – комплекса неврологических симптомов. В большинстве случаев только выраженность симптоматических проявлений позволяют выявить аномальные изменения. Наличие мальформации выступает в роли клинически значимого фактора при:
-
атеросклерозе; остеохондрозе; артериальной гипертензии; черепно-мозговых травмах; васкулите; спондилоартрозе .
Комплекс неврологических симптомов у пациентов с аномалией Киммерли проявляется при травмах плеча и позвоночного столба в области краниовертебрального перехода.
Симптомы
Выраженность сопутствующей симптоматики при аномалии Киммерли зависит от степени защемления позвоночной артерии. Неловкие движения, резкие наклоны и повороты головы, статистическая нагрузка на шею увеличивают компрессию. Объем кровотока к задним отделам головного мозга в таких случаях может снижаться до 25 %. В этом состоянии обнаруживаются:
-
головокружение; шум, звон, свистящий или шипящий звук в ухе, либо обоих ушах; пульсирующая боль в затылке; нарушение зрительных функций (блики, искры, точки перед глазами); нарушение координации движений (пошатывание); мышечная слабость.

При тяжелом течении симптоматический комплекс увеличивается, за счет таких проявлений, как:
-
тремор конечностей; расстройство двигательных функций; нистагм (самопроизвольное движение глаз); падение без утраты сознания; внезапные обмороки и потеря сознания.
Иногда ситуация усугубляется паническими атаками, приливами жара в области головы и шеи, симптомами удушья.
Преходящее нарушение мозгового кровообращения приводит к временным острым расстройствам – ишемическим атакам. Самое опасное осложнение в рамках прогрессирующей аномалии Киммерли – ишемический инсульт.
Диагностика
В основном весь симптомокомплекс при аномалии Киммерли связан с сопутствующими заболеваниями. Поэтому врачи неврологической практики в первую очередь ставят перед собой задачу – выявить точную причину вертебробазилярной недостаточности.
Для этой цели проводят:
-
рентгенографию черепа и шейного отдела позвоночного столба; магнитно-резонансную ангиографию сосудов головного мозга; транскраниальную допплерографию; дуплексное сканирование; исследования качественной и количественной функций вестибулярного аппарата.
Если пациент жалуется на шум в ушах, дополнительно назначается консультация отоларинголога.
Как лечить аномалию Киммерли
К активному лечению при аномалии Киммерли прибегают, когда именно отклонение становится причиной нарушения кровотока в вертебробазилярном бассейне. В этом случае все терапевтические мероприятия направлены на одну цель – улучшение кровоснабжения головного мозга. Комплексное лечение включает:
-
препараты сосудистой терапии – ницерголин, милдронат, винпоцетин, виноксил, винкамин, трентал, циннаризин, пирацетам; средства, улучшающие свойства крови – пентоксифиллин (употребление препарата проходит под контролем коагулограммы); антиоксиданты, нейрометаболические стимуляторы; физиотерапевтические процедуры – массаж шейно-воротниковой зоны, гирудотерапия, постизометрическая релаксация.
Возможности оперативного вмешательства рассматриваются специалистами при декомпенсированном течении патологии, с ярко выраженной недостаточностью кровотока. При хирургических манипуляциях производится удаление аномальной дужки и высвобождении позвоночной артерии. После операции выполняется иммобилизация шейно-воротниковой зоны с помощью воротника Шанца. Приспособление показано к ношению – 2 – 4 недели.

Прогноз
Многие пациенты после диагностического подтверждения аномалии Киммерли впадают в панику, растерянно вопрошая, как с этим жить? Не пугайтесь, в большинстве случаев патологические изменения не рассматриваются, как фактор, угрожающий жизнедеятельности человека. При отсутствии выраженной симптоматики пациенты ведут привычный образ жизни.
Патология не входит в перечень заболеваний, дающих право на освобождение от несения воинской службы. Но в личном деле призывника должна присутствовать памятка о наличии аномальных отклонений.
Рекомендации
При занятиях спортом, избегайте перенапряжения шейных позвонков, а лучше всего обговорите с лечащем врачом допустимые виды спортивных занятий.
Вместе с квалифицированным специалистом подберите один из вариантов лечебной гимнастики. Грамотно выполненные упражнения помогут нормализовать кровоток, устранить сдавливание позвоночной артерии мышечными волокнами. Попросите порекомендовать массажные аппликаторы, которые подойдут именно в вашем случае.
Найдите опытного мануального терапевта, досконально изучившего технику и особенности строение человеческого тела. Своими чуткими руками специалист улучшит мозговое кровообращение.
Постарайтесь больше бывать на свежем воздухе. Прогулки стимулируют иммунитет, уменьшают выработку кортизола (гормона стресса), стабилизируют кровяное давление, укрепляют общее состояние.
Если отмечается предрасположенность к развитию остеохондроза, не пренебрегайте такими веществами, как глюкозамин , хондроитин, гиалуроновая кислота . Компоненты обеспечат костям, хрящам, связкам правильное питание и укрепление. Предотвратят усугубление ситуации повреждением позвоночных дисков.
3 опасных последствия Аномалии Киммерли можно ли умереть?
© Автор: А. Олеся Валерьевна, к.м.н., практикующий врач, преподаватель медицинского ВУЗа, специально для СосудИнфо.ру (об авторах)
Аномалия Киммерли (Киммерле) считается пороком развития в области соединения черепа и первого шейного позвонка. При этой мальформации на позвонке имеется дополнительная дужка из костной ткани, которая нарушает подвижность и может провоцировать сдавление позвоночной артерии.
Ранее считалось, что подобный дефект развития позвонка есть примерно у 10% людей, однако широкое использование рентгенодиагностики и МРТ позволяет выявлять его значительно чаще: по некоторым данным порок имеют до 30% жителей планеты.
Врожденные костные аномалии встречаются намного реже заболеваний позвонков, развивающихся в процессе жизни. Всем известный остеохондроз, остеофиты, дегенерация связочного аппарата в большой степени способствуют вторичным изменениям каналов позвонков, в результате чего страдают сосуды и нервы. В этой связи патология позвоночного столба, как основа формирования приобретенной аномалии Киммерли, заслуживает должного внимания со стороны специалистов.
Аномалия Киммерли (вверху), в норме (внизу) – дополнительная дужка в зоне прохождения позвоночной артерии на позвонке c1 отсутствует
Проявления аномалии Киммерли чрезвычайно разнообразны. В их основе – нарушение движения крови по позвоночной артерии к головному мозгу. Особенно выражена симптоматика при наклонах, поворотах, запрокидывании головы, когда имеющаяся дополнительная дужка ограничивает пространство, в котором проходит сосуд. Симптомы могут появиться внезапно при спортивных тренировках, подъемах тяжести, на фоне полного благополучия.
Мальформацию первого шейного позвонка не считают самостоятельной болезнью, и далеко не всегда она проявляется какими-либо признаками. Клиника синдрома позвоночной артерии вызвана именно аномалией Киммерли только у четверти больных, у остальных же о патологии неизвестно или же она выявляется случайно, при обследовании на иные заболевания.
Виды сосудистых нарушений при аномалии Киммерли
Аномалия Киммерли представляет собой патологическое состояние, при котором в атланте или первом позвонке шейного отдела формируется небольшая костная дуга. Она сдавливает артерии и нервные окончания, что приводит к ухудшению питания головного мозга и множеству отрицательных симптомов.
Существует несколько видов сосудистых нарушений при развитии подобного состояния:
| Вид нарушения | Особенности |
| Атеросклеротические изменения | При подобных нарушениях особенно остро развиваются симптомы, спровоцированные отложением на стенках сосудов холестериновых бляшек. Постоянное сдавливание сосудов приводит к образованию очагов, которые становятся благоприятной средой для прикрепления бляшек. Этот тип нарушения встречается довольно часто, считается распространенным. |
| Поражение стенок кровеносных сосудов | При таком типе патологии состояние сосудистой стенки значительно ухудшается, что способствует образованию истонченных очагов. Различные факторы могут привести к повреждению стенки сосуда и другим осложнениям. Расстройство встречается не так часто, но считается более серьезным. |
| Повышение внутричерепного давления | Этот вид нарушения также считается распространенным. В основе механизма его развития лежит постоянное сдавливание сосудов, поставляющих кровь к головному мозгу. В результате отмечается повышение показателей внутричерепного давления и развитие выраженных клинических проявлений. |
Определение типа патологии осуществляется во время диагностики. Как правило, по внешним признакам классифицировать состояние невозможно.
Формы патологии
Аномалия Киммерли в шейном отделе позвоночника или мальформация атланта у разных пациентов протекает с различными симптомами, что зависит от формы нарушения.
Сегодня врачи выделяют несколько форм. В зависимости от стороны поражения встречается односторонняя и двусторонняя аномалия. В первом случае происходит сдавливание только одного сосуда с одной стороны позвонка, при этом с другой стороны патологий нет.
Во втором случае дуга образуется с обеих сторон и сдавливает оба сосуда, что усугубляет симптомы и чаще провоцирует осложнения.
Помимо этого, встречается врожденный и приобретенный тип заболевания. Первый диагностируется в младшем школьном возрасте, но формируется дуга уже в период внутриутробного развития. Специалисты и сегодня не могут назвать точную причину таких изменений.
Приобретенная форма считается более опасной, развивается на фоне других заболеваний позвоночного столба и часто осложняется. При этом симптомы могут появиться в молодом или более зрелом возрасте.
В зависимости от степени запущенности состояния выделяют полную и неполную форму заболевания. При полной степени отмечается тяжелое течение состояния, спровоцированное сопряжением аномальной костной дуги с другой связкой атланта. При этом происходит постепенное утолщение дуги за счет отложения солей кальция и повышение нагрузки на артерии.
При неполной аномалии состояние пациента усугубляется постепенно, поскольку дуга не сопряжена с другими связками позвонка. Симптоматика обычно слабо выражена, но при неблагоприятном течении может усугубляться и переходить в полную форму.
Причины развития
Причины врожденной формы патологии не выявлены.
Однако приобретенная аномалия развивается в результате воздействия нескольких предрасполагающих факторов:
-
Остеохондроз тяжелой формы, при котором поражается именно шейный отдел позвоночника и наблюдается смещение нагрузки на первый позвонок, что приводит к формированию костной дуги, сдавливающей сосуды.
Помимо этого, причиной аномалии могут стать постоянные и тяжелые физические нагрузки, при которых человек постоянно делает резкие движения головой.
Осложнения
В более тяжелых случаях течения патологии может развиваться инсульт в вертебро-базиллярном бассейне головного мозга по ишемическому типу. Если описанные выше симптомы пароксизмов нарушения мозгового кровообращения наблюдаются более 24 часов, то речь уже идет об инсульте. При этом на КТ и МРТ снимках головного мозга обнаруживаются мелкие очаги размягчения мозговой ткани в области продолговатого мозга, мозжечка, что клинически проявляется общемозговыми и стойкими очаговыми неврологическими симптомами.
Самым грозным осложнением аномалии Киммерле является ишемический инсульт
Группы риска
Аномалия Киммерли в шейном отделе позвоночника может возникнуть у любого пациента, но существуют группы риска, включающие людей, которые профессионально занимаются каким-либо видом спорта или имеют хронические заболевания позвонков.
Помимо этого, в группу риска можно включить больных, которые имеют травмы черепа или позвоночника в анамнезе, а также наследственную предрасположенность.
Высокая вероятность развития аномалии у людей, профессиональная деятельность которых связана с регулярными и длительными нагрузками на позвоночный столб, а также постоянным нахождением в сидячем положении, когда смещается нагрузка на позвонки.
Пациенты со слабым мышечным и связочным аппаратом и болезнями сосудов входят в группу риска и более подвержены нарушению.
Профилактика
Для предотвращения развития патологии важно поддерживать подвижность шеи, сохранять целостность позвонков, хрящей и связок краниовертебральной области. Для этого необходима умеренная регулярная физическая активность, полноценное питание. При склонности к остеохондрозу возможно применение пищевых добавок, включающих глюкозамин, хондроитин, гиалуроновую кислоту, коллаген, витамины. Это обеспечит питание и укрепление хрящевой, костной и связочной ткани, предотвратит компрессию дисков позвоночника. Следует избегать травмирующих шею движений.
Аномалия Киммерли – не страшный диагноз, и не хроническая болезнь. Это отклонение от нормального строения позвонка, позволяющее полноценно жить, но соблюдая несложные правила во избежание обострений.
Тяжелые формы встречаются редко, в большинстве случаев симптомы если и появляются, то успешно корректируется консервативной терапией.
Если вы нашли ошибку, пожалуйста, выделите фрагмент текста и нажмите Ctrl+Enter. Мы обязательно её исправим, а Вам будет + к карме
Симптомы
Симптоматика заболевания может быть выражена в легкой или тяжелой форме, что зависит от формы нарушения и других особенностей.
Первым проявлением считается головная боль и головокружение, возникающее в результате недостаточного поступления крови к головному мозгу и развития кислородного голодания. Пациент отмечает, что боль не зависит от времени суток или показателей артериального давления, но чаще возникает в вечернее время или после тяжелых нагрузок.
Головная боль может быть настолько сильной, что провоцирует рвоту, которая не приносит облегчения пациенту. Если у пациента развивается односторонняя форма заболевания, боль локализуется только в одной части головы, где отмечается дефицит кровоснабжения.
Помимо этого, больного беспокоит ухудшение зрения, а также помутнение в глазах, появление мушек, пелены или звездочек. Как правило, такие явления кратковременные, но по мере прогрессирования состояния появляются все чаще.
Почти всегда аномалия сопровождается шумом в ушах, а также нарушением координации движений, развитием внезапной слабости мышц конечностей.
Пациентов беспокоят и другие проявления:
- Ухудшение аппетита, слабость.
- Снижение массы тела, ухудшение состояния кожных покровов.
- Резкое изменение настроения, развитее депрессии и стрессового состояния.
- Обмороки, спровоцированные спазмом сосудов.
- Кратковременные расстройства чувствительности кожных покровов.
- Резкая потеря равновесия и падение без обморочного состояния.
- Раздражительность.
- Нарушение сна, спровоцированное спазмом сосудов и болевыми ощущениями.
- Ночные кошмары.
- Значительное снижение работоспособности и ухудшение мыслительной деятельности.
Помимо этого, пациента может беспокоить боль в области шейного отдела позвоночно столба, а также онемение кожи лица. Последнее проявление появляется время от времени, обычно при значительных нагрузках.
Диагностика аномалии Киммерли
Аномалия Киммерли довольно просто диагностируется, поскольку локализация в шейном отделе провоцирует ряд симптомов, которые указывают на поражение атланта.
Первым методом считается опрос и смотр пациента. Невропатолог выслушивает жалобы больного, уточняет время их проявления и продолжительность течения состояния. Помимо этого, он осматривает область поражения, оценивает состояние кожных покровов, мышц. После этого старается выявить предположительную причину нарушения, которая облегчает лечение.
Обязательным методом считается общий и биохимический анализ крови, при котором оценивается состояние пациента, выявляются признаки воспаления и других отклонений. Кровь берется из вены, после чего направляется в лабораторию.
После этого пациента направляют на рентгенографию шейного отдела позвоночника и черепа. На снимках можно увидеть степень отклонения, но в общих чертах. Для более полного обследования проводится ультразвуковое исследование сосудов, при котором можно оценить степень наполнения артерий и скорость продвижения по ним крови.
Однако наиболее точным и информативным методом сегодня считается магнитно-резонансная томография.
Метод помогает выявить степень и форму поражения, оценить общее состояние поврежденной области, а также обнаружить даже незначительные отклонения, которые могут быть не видны на рентгеновском снимке. На основании данных диагностики врач выбирает метод лечения, который принесет лучший результат и поможет предупредить осложнения.
Методики терапии болезни
В зависимости от степени запущенности заболевания, а также наличия осложнений врач выбирает консервативные, оперативные или альтернативные методы терапии. Часто используется комбинированная схема, при которой применяют несколько наиболее эффективных способов.
Консервативная терапия
Аномалия Киммерли в шейном отделе позвоночника трудно поддается лечению консервативными методами, но некоторые средства помогают улучшить кровообращение и облегчить течение болезни.
Наиболее эффективные медикаменты:
- Циннаризин – таблетированный медикамент, который улучшает питание тканей головного мозга, стимулирует память пациента и предотвращает расстройства координации движений. Таблетки следует принимать внутрь по 1 штуке 3 раза в сутки. Длительность курса составляет 2-4 недели в зависимости от выраженности симптоматики. Препарат считается очень эффективным и относительно безопасным.
Циннаризин таблетки
В каждом случае схема лечения включает несколько средств. Дозировка и продолжительность применения определяется индивидуально.
Массажи
При отсутствии противопоказаний пациентам назначают курс массажа, направленный на улучшение питания тканей в области шейного отдела позвоночного столба и устранение спазма мышц.
Массаж делает только специалист в лечебном учреждении. Продолжительность процедуры составляет 20-40 мин. Курс состоит из 15-20 сеансов с периодичностью 2-3 дня. Движения специалиста во время манипуляции должны быть осторожными, больной не должен ощущать боли или дискомфорта.
При неосторожном проведении массажа возможно развитие осложнений, поэтому важно не делать его самостоятельно и не обращаться к сомнительным специалистам.
Массажная подушка
В специализированных магазинах можно приобрести массажные подушки, оснащенные роликами, имитирующими движение пальцами. При этом пациент может самостоятельно в домашних условиях облегчать свое состояние.
Стоит помнить, что перед приобретением подушки необходимо проконсультироваться с врачом и убедиться в отсутствии противопоказаний к ее применению.
Лечебная гимнастика
Аномалия Киммерли в шейном отделе позвоночника требует постоянной разработки мышц с целью улучшения кровообращения и предупреждения отложения солей кальция, усугубляющих течение патологии. Все движения при гимнастике должны быть осторожными, медленными.
Чаще всего рекомендуется выполнять несколько упражнений:
- Повороты головы в разные стороны. В каждую сторону необходимо повторить по 10 раз.
- Вращение головой по часовой и против часовой стрелки, повторять 20 сек в каждую сторону.
- Наклоны головы вперед и назад, вправо и влево. Повторить в каждую сторону по 10 раз.
- Подъем плеч в положении стоя с опущенными вдоль туловища руками. Сделать 20 подъемов.
Этот комплекс при правильном выполнении не принесет вреда больному. Другие упражнения стоит выполнять только под наблюдением врача. Гимнастику следует делать ежедневно в утреннее время.
Физиотерапевтические процедуры
Некоторые методы физиотерапии помогают улучшить питание тканей и нормализовать обменные процессы. Чаще всего больным назначают электрофорез и магнитотерапию.
Электрофорез предполагает воздействие на проблемную область электрических импульсов, которые способствуют расслаблению мышц, стимулируют расширение сосудов и поступление крови к головному мозгу. Процедура длится 20 мин, проводится 3 раза в неделю на протяжении месяца.
При магнитотерапии на проблемную зону воздействует магнитное поле, которое улучшает состояние позвонков, дисков и мышц. Уже после 10-15 сеансов пациент чувствует улучшение. Минимальная продолжительность процедуры 20 мин, проводят ее не реже 3 раз в неделю.
Фиксация шеи воротником Шанца
Воротник Шанца представляет собой довольно толстый и крупный валик из поролона, который помогает фиксировать шейные позвонки в нужном положении, чтобы ослабить давление на сосуды.
Обычно приспособление носят в дневное время, снимают перед сном. Используется оно в запущенных случаях и сопутствующих патологиях мышц.
Хирургическое лечение
Оперативное вмешательство показано в случае, когда ни один из консервативных и альтернативных методов не принес ожидаемого результата. Суть операции заключается в удалении костной дуги и освобождении сосудов.
Операция проводится под общим наркозом, период реабилитации длится до 4-8 недель. При этом потребуется воротник Шанца, который снизит нагрузку на оперированные ткани.
Применение народных рецептов в лечении
Рецепты нетрадиционной медицины не помогают справиться с заболеванием, но иногда используются с целью нормализации показателей артериального давления и улучшения кровообращения.
Компрессы из меда помогают снять напряжение и улучшить кровообращение. Перед сном на воротниковую зону стоит нанести мед тонким слоем и приложить кусок ткани или полиэтилена. Повторять терапию 7-10 дней подряд.
Для снижения давления можно приготовить настойку пустырника. На 100 мл спирта понадобится 20 г предварительно высушенного и измельченного корневища растения. Настаивать лекарство следует 14 дней. После этого принимать по 25 капель 2 раза в сутки на протяжении 14 дней.
Стоит помнить, что самолечение может существенно ухудшить состояние больного, поэтому нетрадиционные методы разрешается применять только после консультации врача.
Лечение недуга
При отсутствии симптомов аномалия Киммерле не требует лечения. В случае сосудистой недостаточности, сопровождающейся характерными симптомами, проводится комплексная консервативная терапия. Оперативное вмешательство осуществляется крайне редко.
Консервативное воздействие
Комплексное лечение включает применение медикаментозных средств, массаж, физиотерапевтические мероприятия. Назначаются медикаментозные препараты следующих групп:
- для стимуляции и улучшения мозгового кровообращения (Кавинтон, Девинкан, Сермион, Циннаризин),
- для регуляции вязкости и текучести крови (Пентоксифиллин, Трентал),
- для нормализации давления.
Фотогалерея: препараты, способствующие облегчению симтомов аномалии Киммерле
Циннаризин нормализует мозговое кровообращение, применяется для лечения широкого спектра проблем
Сермион выпускается в виде таблеток, применяется для лечения острых и хронических церебральных метаболических и сосудистых нарушений
Кавинтон – препарат, способствующий улучшению мозгового кровообращения и обмена веществ в мозге
Дополнительно могут применяться антиоксиданты, нейропротекторы, метаболические средства (Пирацетам, Милдронат).
Массаж
Массаж шейного отдела должен выполняться только квалифицированным специалистом. Перед сеансом массажа необходимо предупредить врача об имеющейся аномалии Киммерле. Массаж снимает перенапряжение и мышечные спазмы в области шеи. Возможно использование различных массажных аппликаторов, но тоже только под наблюдением врача.
Физиопроцедуры
Из физиопроцедур применяется электрофорез с новокаином. Эффективны гирудотерапия (пиявки), рефлексотерапия и иглоукалывание.
В тяжёлых случаях, при выраженном и постоянном болевом синдроме используется ортопедический воротник Шанца, фиксирующий шею. Он имеет вид объёмного валика, который ограничивает движение головы из стороны в сторону.
Воротник Шанца очень надёжно фиксирует шею
В период обострения неврологических симптомов необходимо исключить интенсивные физические нагрузки, поднятие тяжестей, резкие повороты головой. Занятия физкультурой не противопоказаны, полезны плавание, аквааэробика, катание на лыжах. Однако следует отказаться от спортивных игр, которые связаны с кувырками, ударами головой по мячу (футбол, волейбол), запрещено стоять на голове, класть на шею штангу и т. д.
Хирургическое вмешательство
Аномалия Киммерле не является показанием для оперативного вмешательства. Операция по резекции (удалению) аномального костного образования проводится очень редко и является крайней мерой, когда синдром позвоночной артерии приводит к выраженной недостаточности кровоснабжения заднего мозгового отдела. После проведённой операции необходимо носить воротник Шанца в течение 2-4 недель.
Можно ли жить с этой патологией? Продолжительность жизни
При соблюдении рекомендаций врача и легком течении с аномалией Киммерли вполне можно нормально жить. Если же течение неблагоприятное и требуется оперативное вмешательство, то после операции возможно вернуться к привычному образу жизни.
Продолжительность жизни сильно сокращается при отсутствии лечения и быстром прогрессировании состояния, поскольку повышается риск ишемического инсульта.
Однако сама аномалия не влияет на продолжительность жизни, если больной регулярно посещает врача. Отмечено, что многие люди не догадываются о наличии болезни до появления осложнений, а состояние нередко напоминает другие отклонения.
Аномалия Киммерли – довольно редкое заболевание, которое может протекать в легкой и тяжелой форме, быть врожденным и приобретенным. Очаг поражения локализуется в шейном отделе позвоночного столба, что представляет опасность при отсутствии лечения. Однако при соблюдении всех рекомендаций прогноз для больного почти всегда благоприятный, а выздоровление наступает быстро.
Прогноз
Прогноз для пациентов с аномалией Киммерле благоприятен. Большинство людей с таким вариантом строения первого шейного позвонка, как правило, вообще не знают о своей особенности, их продолжительность жизни ничем не отличается от среднестатистической в популяции.
Если АК становится клинически значимой, то она может повысить риск развития ишемического инсульта в ВББ, что, естественно, отображается на прогнозе, качестве жизни и трудоспособности заболевшего, но такие ситуации встречаются крайне редко и, как правило, связаны с другими патологическими состояниями, отягощающими течение АК.
В большинстве случаев человеку нужно лишь периодически наблюдаться у грамотного невролога, чтобы вовремя принять все необходимые мероприятия для предотвращения развития синдрома позвоночной артерии.
Прогноз у пациентов с аномалией Киммерле благоприятный
В статье «Подробное описание аномалии Киммерли» использованы материалы:
http://www.krasotaimedicina.ru/diseases/zabolevanija_neurology/kimmerle-anomaly
http://xn--90ad0ar3a.xn--p1ai/nevralgiya/anomaliya-kimmerli-s1-pozvonka.html