Причины и симптомы возникновения артрита пальцев рук
Артрит пальцев рук
Артрит пальцев рук – одна из самых распространенных форм периферического артрита, при которой воспалительный процесс захватывает пястно-фаланговые и межфаланговые суставы. Первой воспаляется внутренняя синовиальная оболочка сустава, далее патологический процесс распространяется на суставную сумку, хрящи, сухожилия, связки, мышцы и кости.
Причины и факторы риска
Первичный воспалительный процесс обычно развивается на фоне инфекции, ревматической или обменной патологии, реже – на почве перенесенной травмы или хирургического вмешательства. В случае ревматоидного артрита не последнюю роль играет наследственная предрасположенность.
Вторичный артрит мелких суставов, как правило, выступает осложнением аллергических, атопических и аутоиммунных состояний, общих инфекционных либо основного соматического заболевания, такого как подагра, сахарный диабет или псориаз. В патогенезе реактивного артрита ведущую роль играет наличие в анамнезе туберкулеза, дизентерии, гепатита, гранулематоза, гриппа, кори, свинки, скарлатины, ангины и хронического тонзиллита, боррелиоза, синдрома Рейтера и заболеваний, передающихся половым путем. У детей роль провоцирующего фактора может сыграть вакцинация.
Вероятность возникновения воспалительного процесса в суставах пальцев повышается при частом микротравмировании суставных структур во время ручного труда. Заболевание часто встречается у портных, швей, сапожников, часовщиков и ювелиров.
Обострения хронического артрита пальцев рук могут провоцироваться переохлаждением, сыростью или переменой погоды, вибрацией, стрессовыми ситуациями и изменениями гормонального статуса организма. Поскольку колебания гормонального фона более свойственны женщинам, заболеваемость артритом пальцев рук среди них в 3–5 раз выше, чем среди мужчин. Артериальная гипертензия, пожилой возраст, нерациональное питание, вредные привычки и заболевания выделительной системы также увеличивает вероятность артрита.
Формы
Артрит пальцев рук отличается разнообразием проявлений, оказывающих влияние на выбор терапевтической стратегии и медикаментов. В зависимости от характера течения заболевания выделяют острую и хроническую формы артрита, а в ходе выявления основных этиологических факторов дифференцируют первичный артрит пальцев рук как независимую нозологическую форму и вторичный артрит пальцев рук как симптомокомплекс в клинике сопутствующих инфекционных, ревматических и метаболических заболеваний. Следует отметить, что вторичный артрит пальцев рук встречается намного чаще самостоятельного заболевания.
Исходя из количества пораженных суставов, различают полиартрит и олигоартрит пальцев рук: в первом случае в воспалительный процесс вовлечено четыре и более мелких сустава, во втором – от двух до четырех. Крайне редко встречаются моноартриты; из них наиболее распространен ризартрит – воспаление первого пястно-запястного сустава.
Артрит пальцев рук – одна из самых распространенных форм периферического артрита, при которой воспалительный процесс захватывает пястно-фаланговые и межфаланговые суставы.
Стадии
Артрит пальцев рук относится к числу быстро прогрессирующих заболеваний. В зависимости от степени поражения суставов различают четыре стадии патологического процесса.
- При отсутствии клинических симптомов на рентгеновских снимках кисти обнаруживаются ранние признаки воспаления. Периодически возникает незначительная скованность движений.
- По мере развития воспалительного процесса в суставной сумке скапливается экссудат, разрушающий суставные структуры. В области пораженных суставов появляются припухлость, отечность и покраснение; может быть повышена локальная температура, движения пальцев затруднены и сопровождаются сильной болью и выраженной крепитацией. Вследствие нарушения кровоснабжения кожа кисти становится сухой, холодной и тонкой.
- Прогрессирующее разрушение суставов приводят к выраженным деформациям пальцев и постоянной сильной боли в руках; из-за ограниченной подвижности кисти наблюдается атрофия мышц и сухожильные контрактуры.
- Анкилоз суставных головок костей проявляется в необратимой деформации суставов и полном обездвиживании пальцев, в результате чего пациент теряет способность к выполнению элементарных бытовых действий.
Симптомы артрита пальцев рук
Клиническая картина артрита пальцев рук отличается большой вариабельностью и зависит от этиологической формы и стадии болезни. Ранней стадии ревматоидного артрита свойственна скованность суставов по утрам и после длительного покоя. При этом возникает характерное ощущение тугих перчаток, ограничивающих подвижность кисти. В отдельных случаях у пациента может вовсе не быть жалоб, а единственными проявлениями заболевания служат ранние рентгенологические признаки артрита пальцев рук:
- утолщение и уплотнение мягких тканей;
- незначительное сужение отдельных межсуставных щелей;
- околосуставный остеопороз;
- единичные кистовидные просветления в костной ткани;
- шероховатости и эрозии на суставных головках костей.
Характерные признаки воспаления суставов пальцев, как правило, наблюдаются на II стадии заболевания, начиная с появления болезненной припухлости, эритемы и крепитации в пораженных суставах, а к рентгенологическим признакам прибавляются множественные сужения межсуставных щелей, кистовидные просветления костной ткани и краевые деформации эпифизов костей. Вывихи, подвывихи и анкилозы суставов выявляют преимущественно на терминальных стадиях заболевания.
Локализация воспалительного процесса и характер деформаций суставов также имеет важное диагностическое значение. При ревматоидном артрите первые признаки воспаления затрагивают второй и третий пястно-фаланговые суставы и третий проксимальный межфаланговый сустав. Позже патологический процесс распространяется на дистальные межфаланговые суставы, а затем на костно-суставные структуры запястья, а также шиловидный отросток локтевой кости. Поражение суставов обычно носит симметричный характер. На поздних стадиях заболевания наблюдаются характерные деформации кисти: искривления пальцев по типу «бутоньерки» или «лебединой шеи», веретеновидная форма кисти и ульнарные деформации, вызванные частичными вывихами пястно-фаланговых суставов.
К наиболее опасным осложнениям артрита пальцев рук относят остеомиелит, остеолиз и некроз костных тканей, за которыми часто следует генерализованный сепсис.
В случае реактивного и псориатического артрита суставы поражаются несимметрично. Псориатическая форма характеризуется утолщением суставов и сосискообразной формой пальцев. Утренней скованности движений, как правило, не наблюдается; ограничены преимущественно функции сгибания.
При реактивной форме артрита воспаление суставов пальцев протекает на фоне лихорадки, озноба, головной боли, конъюнктивита и симптомов инфекционного воспаления мочеполовых путей.
При подагрическом артрите поражается главным образом пястно-фаланговый сустав большого пальца, в области которого образуются эластичные подкожные узелки-тофусы, заполненные кристаллами уратов.
Особенности протекания артрита пальцев рук у детей
В детском возрасте чаще диагностируют инфекционный и реактивный артрит, чаще всего развивающийся на фоне стрептококковой инфекции. Клиническая картина артрита пальцев рук у детей выражена более ярко, чем у взрослых: сильные боли и выраженные деформации суставов сопровождаются выраженной лихорадкой и общей интоксикацией организма.
Ревматоидная форма артрита у детей характеризуется персистирующим течением и слабым ответом на терапию. Воспаление суставов пальцев рук обычно развивается на фоне поражения крупных суставов и внутренних органов. Если обнаружить этиологический фактор воспаления суставов пальцев рук у ребенка не представляется возможным, ставится диагноз ювенильного идиопатического артрита.
Диагностика
Яркая клиническая картина воспалительного процесса в суставах пальцев позволяет с большой долей уверенности диагностировать артрит, однако для уточнения этиологической формы и стадии заболевания потребуется пройти ряд дополнительных диагностических процедур.
В ходе сбора анамнеза врач обращает внимание на связь манифестаций артрита с перенесенными ранее инфекционными заболеваниями, метаболическими и соматическими патологиями, а также с воздействием повреждающих факторов. При физикальном осмотре ценным источником диагностической информации становятся размер, форма и температура суставов, цвет кожных покровов, характер болезненных ощущений, функциональные пробы, наличие внесуставных проявлений и т. д. Иногда необходимы консультации других специалистов – ортопеда-травматолога, дерматолога и аллерголога-иммунолога. Выявление характерных изменений в суставах пальцев требует применения инструментальных методик – рентгенографии, МРТ и КТ кистей, УЗИ мелких суставов.
Лабораторная диагностика играет решающую роль для установления причины воспалительной реакции. Общий анализ крови достоверно выявляет признаки воспалительного процесса. В ходе биохимического анализа крови определяется уровень мочевой и сиаловой кислоты, позволяющий подтвердить либо исключить диагноз подагрического артрита. Высокие показатели ревматоидного фактора и C-реактивного белка, фибриногена, серомукоида, криоглобулинов и т. д. указывают на ревматоидную патологию. В отдельных случаях показано лабораторное исследование пунктата синовиальной жидкости.
Артрит пальцев рук часто встречается у портных, швей, сапожников, часовщиков и ювелиров.
Лечение артрита пальцев рук
Врачебная стратегия при артрите пальцев рук строится на сочетании патогенетического и симптоматического подходов. Во время острой фазы заболевания основная цель – устранение воспаления и болевого синдрома. На ранних этапах обычно достаточно курса анальгетиков, миорелаксантов, нестероидных противовоспалительных препаратов, причем в ряде случаев удается обойтись наружным применением мазей, содержащих блокаторы циклооксигеназы-1 (ЦОГ-1), обезболивающие и сосудорасширяющие средства. При инфекционных и реактивных артритах в схему терапии включают антибиотики; при наличии аллергического компонента – антигистаминные препараты, а при ревматоидном артрите – иммуносупрессоры и иммуномодуляторы.
При более тяжелых формах артрита может потребоваться эвакуация экссудата из суставной полости с последующим введением кортикостероидов с 1% раствором лидокаина или новокаина. Быстрое облегчение приносит гемокоррекция, осуществляемая экстракорпоральным способом – криоаферез, лейкоцитаферез или каскадная фильтрация плазмы крови.
После достижения ремиссии терапевтическая стратегия сосредоточивается на нормализации трофики и локального обмена веществ в области пораженных суставов, стимуляции регенерационных процессов в суставных структурах и восстановлении функций кисти. Индивидуально подбираемые комбинации физиотерапии и ЛФК ускоряют реабилитацию пациента, помогая как можно скорее вернуться к активному образу жизни.
При лечении артрита пальцев рук хороший эффект дают следующие физиопроцедуры:
- электрофорез и ультрафонофорез;
- УВЧ;
- магнитотерапия;
- лечение синусоидальными модулированными токами;
- диадинамотерапия;
- аппликации димексида и бишофита;
- бальнеотерапия;
- лечебный массаж кистей;
- парафиновые и грязевые ванночки для рук.
При стойких деформациях суставов консервативное лечение малоэффективно. В целях предотвращения инвалидизации пациента рекомендована артропластика или эндопротезирование.
Соблюдение диеты при артрите пальцев рук способствует продлению ремиссии. Во время обострений необходимо воздерживаться от белковой пищи – мясных продуктов и зернобобовых, а также соленых, жареных, жирных и острых блюд, шоколада, сдобы, крепкого чая, кофе, какао и спиртных напитков. После купирования воспалительного процесса пищевых ограничений становится меньше – достаточно избегать спиртного и ограничить потребление мяса, копченостей и тяжелых блюд, богатых насыщенными жирами и быстрорастворимыми углеводами.
При подагрическом артрите также решительно противопоказано красное мясо, субпродукты и копчености. Предпочтителен молочно-вегетарианский рацион, за исключением овощей и фруктов, содержащих соланин. Баклажаны, помидоры, тыкву, зеленый лук, щавель, ревень и острый перец следует употреблять как можно реже.
Артрит пальцев рук отличается разнообразием проявлений, оказывающих влияние на выбор терапевтической стратегии и медикаментов.
В рационе больного обязательно должны присутствовать продукты с высоким содержанием полиненасыщенных жирных кислот, легкоусвояемого белка и витамина C:
- жирная морская рыба (тунец, сардины, лососевые);
- гречневая, овсяная, рисовая и пшенная каши;
- нежирное мясо птицы;
- кисломолочные продукты;
- свежие яблоки, абрикосы и персики;
- цитрусовые, киви и папайя;
- орехи и семечки;
- чеснок;
- куркума;
- имбирный корень.
Возможные осложнения и последствия
При остром инфекционном артрите пальцев рук в отсутствие адекватного лечения возрастает риск развития гнойно-септических осложнений, угрожающих жизни пациента. Затяжное течение заболевания грозит обернуться необратимой деформацией суставов пальцев, которые приводят к инвалидизации пациента. К наиболее опасным осложнениям артрита пальцев рук относят остеомиелит, остеолиз и некроз костных тканей, за которыми часто следует генерализованный сепсис.
Также сообщается о тяжелых побочных эффектах длительного применения нестероидных противовоспалительных средств. У некоторых пациентов, получавших ингибиторы ЦОГ-1 в инъекционной и пероральной форме в течение продолжительного времени, наблюдались случаи гастродуоденита, энтероколита и язвенной болезни вследствие регулярного раздражения слизистых оболочек ЖКТ; несколько реже встречались нефропатии.
Прогноз
Исход артрита пальцев рук зависит от характера первичных проявлений и этиологической формы, реакции на терапию, возраста пациента на момент дебюта заболевания, а также от наличия и степени тяжести сопутствующих патологий. Ранняя диагностика и своевременное лечение увеличивает шансы на выздоровление.
Профилактика
В целях профилактики артрита пальцев рук необходимо следить за состоянием здоровья в целом и своевременно обращаться к врачу при появлении признаков инфекции, нарушения обмена веществ и других патологий. Особенно важно не допускать образования хронических очагов инфекции, отказаться от алкоголя и контролировать питание. Умеренность в еде при достаточном количестве витаминов и минералов в рационе снижает вероятность заболевания артритом и подагрой, в особенности не стоит злоупотреблять тяжелой мясной и жирной пищей. Активный образ жизни, физические упражнения и закаливание способствуют улучшению состояния суставов, однако при этом следует избегать травм и переохлаждения кистей рук. При частых занятиях ручным трудом рекомендуется делать паузы спустя каждые 2-3 часа и выполнять гимнастику для пальцев.
Видео с YouTube по теме статьи:
Как лечить артрит на пальцах рук, зависит от его классификации

Поражение артритом пальцев рук чаще наблюдается в пожилом возрасте. Но диагностируется он и совсем молодых пациентов после перенесенных травм пястно-фаланговых и межфаланговых суставов. Клинически артрит проявляется сильными болями, отечностью, ограничением подвижности. Для устранения этих симптомов применяются преимущественно консервативные методы лечения. Но при выраженной деформации суставов пальцев рук требуется хирургическое вмешательство.
Краткое описание артрита пальцев рук
Важно знать! Врачи в шоке: «Эффективное и доступное средство от АРТРИТА существует. » Читать далее.
Артритом пальцев рук называется воспалительное заболевание, поражающее практически все суставные структуры. В патологический процесс вовлекаются синовиальные оболочки, суставные капсулы, хрящи, связочно-сухожильный аппарат. Артриты разнятся происхождением, тяжестью течения, прогнозом на выздоровление. При отсутствии лечения суставы полностью разрушаются, а человек становится инвалидом.

Формы и стадии заболевания
Артрит пальцев рук может быть острым, подострым, хроническим. Последний развивается в результате игнорирования больным симптомов, возникающих на начально этапе развития патологии. В ортопедии, ревматологии, травматологии артриты классифицируются в зависимости от локализации воспаления:
- моноартрит — изолирование поражение одного сустава;
- олигоартрит — одновременное или последовательное повреждение 2-3 сочленений;
- полиартрит — вовлечение в воспалительный процесс более 3 суставов пальцев на руках.
Различают также первичные артриты, развивающиеся в результате травм, инфекций, нарушений метаболизма, и вторичные, возникающие на фоне деструктивных изменений костей, околосуставных тканей.
| Стадия артрита пальцев рук | Характерные особенности |
| Первая (начальные изменения) | Появление слабых дискомфортных ощущений, исчезающих в состоянии покоя, быстро проходящая скованность движений |
| Вторая (усиление воспаления) | Усиление болей, возникновение хруста при сгибании или разгибании пальцев, снижение объема движений, отечность суставов |
| Третья (деформация суставов) | Покраснение и припухлость пальцев, выраженные боли как в дневное время, так и в ночные часы, тугоподвижность суставов |
| Четвертая (анкилоз) | Сращение суставных щелей, приводящее к полному или частичному обездвиживанию сочленений, деформация суставов |

Причины возникновения проблем со здоровьем
Артрит чаще поражает пальцы на руках у пожилых людей из-за естественного замедления восстановительных реакций, снижение выработки коллагена. У молодых пациентов причинами воспаления суставов становятся протекающие в организме патологии или предшествующие травмы — переломы, разрывы связок, повреждения мышц и сухожилий. Толчком к развитию артрита могут стать различные внешние и внутренние провоцирующие факторы:
- неспецифические инфекции, возникающие в результате внедрения в организм стафилококков, стрептококков, например, острый тонзиллит;
- специфические инфекции — туберкулез, сифилис, гонорея, хламидиоз, бруцеллез;
- аутоиммунные патологии, в том числе псориаз и подагра;
- вирусные заболевания — герпес, гепатит B, паротит;
- наследственная предрасположенность, некорректная работа иммунной системы.
К предрасполагающим факторам относятся повышенные нагрузки на пальцы рук, выполнение ими частых монотонных движений, расстройство кровообращения, изменение гормонального фона.
Признаки и симптомы патологии
Наиболее выражены симптомы острого и подострого воспаления. Кожа пальцев отекает, краснеет, становится горячей. Пораженный сустав выглядит значительно крупнее здорового. Для сильного воспаления характерно онемение, покалывание. Каждое сгибание или разгибание сочленения сопровождается сильной болью, щелчком, хрустом. Особенно тяжело протекает инфекционная патология:
- температура тела может превышать субфебрильные значения (37,1—38,0 °C);
- появляются озноб, холодная испарина, лихорадочное состояние;
- у детей и ослабленных взрослых возникают желудочно-кишечные расстройства.
Хронический артрит проявляется слабыми болями в период ремиссии, усиливающимися после физических нагрузок, переохлаждения. Подвижность пястно-фаланговых и межфаланговых сочленений ограничена, время от времени наблюдаются отечность и покраснение кожи. Во время рецидивов выраженность симптомов существенно возрастает.
Диагностические методы
Врач может заподозрить артрит по специфическим симптомам, данным анамнеза, результатам функциональных тестов. Для подтверждения диагноза проводится рентгенологическое исследование в стандартной и боковой проекциях или увеличительная рентгенография. По показаниям используются:
- магнитно-резонансная томография (МРТ);
- артрография;
- электрорентгенография;
- термография.
С помощью пункции выполняется забор синовиальной жидкости для ее дальнейшего изучения. Биохимические, серологические исследования позволяют подтвердить или опровергнуть ревматическое происхождение артрита, установить вид патогенных микроорганизмов и их чувствительность к антибиотикам при инфекционных патологиях.

Как лечить артрит пальцев рук
При артрите 1 или 2 степени тяжести используются консервативные методы — прием препаратов, проведение массажных и физиотерапевтических процедур, массаж, ЛФК. Пациентам с выраженной, необратимой деформацией пястно-фаланговых и межфаланговых суставов врачи сразу предлагают прибегнуть к хирургическому вмешательству: артротомии, эндопротезированию, реконструктивно-восстановительной артропластике.
Общие правила лечения
Лечение патологий любого происхождения направлено на устранение всех симптомов, причины их возникновения, предупреждение вовлечения в воспалительный процесс здоровых тканей и сочленений. Больным с острой формой артрита показан щадящий двигательный режим. Рекомендуется исключить повышенные нагрузки на пальцы рук, использовать эластичные повязки или полужесткие ортопедические приспособления для стабилизации суставных структур, снижения выраженности болевого синдрома.
Лекарственная терапия
В терапии артритов используются препараты различных клинико-фармакологических групп. При выборе медикаментов и их формы врач учитывает вид патологии, тяжесть ее течения, выраженность симптоматики. Например, в лечении ревматоидного или реактивного артрита активно используются иммуносупрессоры. А при подагре пациентам показан прием препаратов для растворения кристаллов мочевой кислоты и ее выведения из организма.

| Препараты для лечения артрита пальцев рук | Наименование лекарственных средств | Терапевтическое действие |
| Нестероидные противовоспалительные средства (НПВС) | Диклофенак, Ибупрофен, Кетопрофен, Мелоксикам, Индометацин, Нимесулид | Снижают выраженность болевого синдрома, купируют воспаление мягкотканных структур |
| Глюкокортикостероиды | Метилпреднизолон, Триамцинолон, Дипроспан, Дексаметазон, Кеналог | Ослабляют воспалительный процесс, устраняют самые выраженные боли |
| Миорелаксанты | Мидокалм, Баклосан, Сирдалуд | Расслабляют спазмированную скелетную мускулатуру |
| Препараты с витаминами группы B | Мильгамма, Нейробион, Пентовит, Нейромультивит | Улучшают иннервацию и питание тканей, ускоряют метаболизм |
| Хондропротекторы | Артра, Дона, Хондроксид, Структум, Терафлекс, Алфлутоп | Частично восстанавливают поврежденные хрящевые ткани |
| Антикоагулянты, венопротекторы | Никотиновая кислота, Эуфиллин, Ксантинола никотинат, Трентал | Улучшают кровоснабжение сочленений питательными веществами |
Диета и образ жизни при артрите
Ухудшение психоэмоционального состояния может стать причиной очередного рецидива артрита. Поэтому врачи рекомендует соблюдать режим дня, гулять на свежем воздухе, хорошо высыпаться. Из питания желательно полностью исключить колбасные и кондитерские изделия, копчености, жирное мясо, выпечку из пшеничной муки. Нужно есть больше свежих фруктов и овощей, кисломолочных продуктов, крупяных каш.
Даже «запущенный» АРТРИТ можно вылечить дома! Просто не забывайте раз в день мазать этим.
Ежедневно следует пить не менее 2,5 литров жидкости — чистой воды, слабосоленых минеральных вод, киселей, компотов, соков. При подагре необходимо полностью отказаться от жирного мяса, наваристых супов, щавеля, шпината, алкоголя.

Физиотерапевтические процедуры
Лечение артрита любой этиологии не обходится без физиопроцедур. Сразу после купирования острого воспаления пациентам назначается электрофорез с глюкокортикостероидами, НПВС, анестетиками, хондропротекторами. Затем проводится 10-15 сеансов магнитотерапии, ультрафиолетового облучения, водолечения, УВЧ-терапии, грязелечения или диадинамических токов. На этапе ремиссии применяются аппликации с озокеритом, парафином. После физиотерапии организм пациента становится более восприимчив к медикаментозному лечению, отмечается продление ремиссии, ослабление болей и воспаления.
Массаж
В терапии артритов особенно востребован классический массаж. Выполнений массажных движений (растираний, разминаний, вибраций) стимулирует улучшение кровообращения в области суставов пальцев, выведение из хрящевых, мягких тканей продуктов воспаления. Точечный и вакуумный массаж показаны пациентам для укрепления местного иммунитета, очищения суставов от солей, шлаков, токсинов, устранения слабых и умеренных болей.
Эндопротезирование суставов пальцев рук
Показаниями к хирургическому лечению являются выраженные деформации межфаланговых суставов, неэффективность консервативной терапии в течение нескольких месяцев. Имплантация эндопротезов проводится для восстановления подвижности сочленений у больных с ревматоидным артритом и артрозом. После операции сразу начинается реабилитация, продолжающаяся около 3 месяцев. В восстановительном периоде используются физиопроцедуры, ЛФК.

Гимнастика при артрите рук
Комплекс упражнений составляется врачом ЛФК с учетом вида патологии и стадии ее течения. Пациентам показаны сгибания и разгибания пальцев, круговые вращения кистями, выгибания и прогибания ладоней. Полезно собирать рассыпанные мелкие предметы, например, горох, постукивать подушечками пальцами по столу, имитируя игру на фортепиано. Ежедневные занятия лечебной гимнастикой способствуют укреплению мышц, повышению объема движений, становятся отличной профилактикой развития контрактур.
Народные средства
Мази домашнего приготовления, настойки, компрессы запрещено использовать в остром и подостром периоде, особенно при наличии в них ингредиентов с согревающим действием (скипидар, золотой ус, черная редька). Народные средства применяются только после проведения основной терапии, на этапе ремиссии для устранения изредка возникающих слабых болей в пальцах.
Травами
В народной медицине для лечения артрита используются травяные чаи. Они готовятся из целебных растений, оказывающих обезболивающее, противовоспалительное, мягкое диуретическое действие. При совместном применении терапевтическая эффективность трав значительно усиливается. В состав сбора для лечения артрита входят в равных частях сухие цветки ромашки и календулы, кукурузные рыльца, трава зверобоя, корни девясила.
Чтобы приготовить травяной чай столовую ложку сухого растительного сырья заливают 2 стаканами кипятка. Через час процеживают и пьют по 3 столовые ложки 3-4 раза в день после еды.
Картофель
Крупный сырой клубень, очищенный от кожуры, измельчают с помощью мелкой терки. Сок слегка отжимают, а смесь распределяют толстым слоем на пальцах рук. Фиксируют ее полиэтиленовой пленкой, шерстяной тканью и марлевым бинтом. Оставляют компресс на час.
Капуста
Свежий капустный лист замачивают в кипятке на пару минут, просушивают и хорошо растирают между ладонями до появления сока. Наносят на одну сторону тонкий слой нежирной сметаны. Прикладывают лист к больным пальцам рук, закрепляют пленкой, марлевым бинтом. Продолжительность процедуры — 1 час.
В ступке растирают по столовой ложке густого цветочного меда, косметического миндального масла и льняного масла. Добавляют пару капель эфирного масла чабреца и 50 г медицинского вазелина. Получившуюся жидкую массу перекладывают в стеклянную банку с крышкой, хранят в холодильнике, втирают в пальцы при болях.
Укусами пчел
Подобное лечение обычно практикуется в народной медицине при артрите крупных суставов. Кожа пальцев тонкая, жировая прослойка практически отсутствует, поэтому укус даже одной пчелы может стать причиной сильного воспаления, развития аллергической реакции. Использовать такой метод терапии можно только после консультации с ортопедом или ревматологом.
Пиявками
Во время сеанса гирудотерапии на биоактивные точки пальцев рук устанавливаются до 3 медицинских пиявок. После прокусывания кожи они впрыскивают в кровь слюну, насыщенную веществами с противовоспалительным, антиэкссудативным, анальгетическим действием. Всего пациентам может быть рекомендовано 5-10 процедур с 2-3-дневными перерывами.
Гомеопатией
Апис меллифика, бриония, рус токсикодендрон, ледум, фитолякка, колхикум — это гомеопатические средства, применяемые в терапии ревматоидного, реактивного, подагрического артрита. Ингредиенты в их состав входят в минимальных концентрациях. Такой способ лечения позволяет «приучить» организм к симптомам патологии, не реагировать остро на их появление.
Перекись водорода
Профессор Неумывакин несколько десятилетий назад предложил лечить артрит с помощью 3% перекиси водорода. В 1/2 стакана теплой воды растворяют 2 капли препарата и выпивают после еды. Каждые 3 дня количество капель увеличивают на одну, пока их не станет 8. Такой способ лечения имеет своих сторонников и противников, поэтому предварительная врачебная консультация необходимо. Смысла в наружном использовании перекиси водорода при артрите нет.
Возможные осложнения
При отсутствии лечения артрит принимает хроническую форму течения. Все симптомы на этом этапе выражены не столь ярко, как в остром и подостром периодах. Но воспалительный процесс постепенно распространяется на здоровые ткани и суставы, вызывая необратимую деформацию. Через несколько лет происходит сращение суставной щели и полное обездвиживание сочленения. Человек утрачивает навыки самообслуживания и становится инвалидом.
Прогнозы и профилактические рекомендации
Инфекционный артрит удается излечить проведением антибиотикотерапии. Относительно благоприятный прогноз и при его реактивной форме. Подагрический, псориатический, ревматоидный артрит пока не удается вылечить полностью. Основной задачей врачей становится достижение устойчивой ремиссии.
Профилактика артритов заключается в исключении избыточных нагрузок на пальцы рук, своевременное лечение патологий, способных его спровоцировать, особенно инфекционного происхождения.
Похожие статьи
Как забыть о болях в суставах и артрите?
- Боли в суставах ограничивают Ваши движения и полноценную жизнь…
- Вас беспокоит дискомфорт, хруст и систематические боли…
- Возможно, Вы перепробовали кучу лекарств, кремов и мазей…
- Но судя по тому, что Вы читаете эти строки — не сильно они Вам помогли…
Но ортопед Валентин Дикуль утверждает, что действительно эффективное средство от АРТРИТА существует! Читать далее >>>
10 лучших средств лечения артрита пальцев рук


Артрит пальцев рук – это деформирующее, воспалительное заболевание, которое локализуется в мелких суставах кистей. Обычно это межфаланговые и пястно-фаланговые области. Диагностируется чаще у женщин, но в группу риска входят все люди старше 45 лет.

Причины заболевания
Причины делятся на первичные и вторичные. Первичные причины — это заболевания, непосредственно поражающие суставные поверхности:
- Ревматоидный артрит – аутоиммунное дегенеративное заболевание суставов.
- Травматические поражения (вывихи, переломы).
- Заболевания, связанные с нарушением обмена веществ (подагра).
Вторичные причины связаны с общесоматической патологией, которая в своём исходе дала осложнение на суставы:
- Аллергические реакции.
- Туберкулёз (нетипичное течение).
- Сахарный диабет I степени (чаще поражает нижние конечности).
- Псориаз (в тяжёлых формах).
- Общеинфекционные заболевания (грипп, герпес).

Есть ряд причин, которые являются сопутствующими при этом заболевании:
- пожилой возраст;
- переохлаждение;
- наследственность;
- механическая форма труда (швеи, офисные работники).
Артрит большого пальца кисти выносится в отдельную группу. Он связан и с изнашиванием хрящевой части сустава, и с асептическим воспалением. Поражение преимущественно в пястно-фаланговом сочленении. Присутствует яркое нарушение двигательной активности и выраженное снижение трудовой деятельности.
Патогенез
В патогенезе лежит разрушение суставных поверхностей в мелких суставах и нарушение нормальной двигательной способности. Особенность патогенеза обусловлена причинами, вызвавшими заболевание. Так, например, инфекционный агент (бактерии, вирусы), попадая в полость сустава, начинает интенсивно делиться. В суставах скапливается жидкость (продукты жизнедеятельности возбудителя, погибшие лейкоциты), которая приводит к деформации пальцев кисти. Сами костные и хрящевые структуры разрушаются не под действием возбудителя, а вследствие увеличения давления на суставные поверхности.
Локализация болезни
Степени и виды болезни
В зависимости от места поражения выделяют следующие виды артрита:
- проксимальный;
- средний;
- дистальный;
- тотальный.

Классификация болезни в зависимости от причины, которая легла в основу заболевания:
- Посттравматический. Возникает как осложнение переломов, вывихов. Часто возникает у профессиональных спортсменов.
- Инфекционный. Гематогенное, лимфогенное или контактное проникновение возбудителя в сустав.
- Реактивный. В анамнезе у пациента перенесённые инфекции со стороны кишечной или мочеполовой системы (2–4 недели до поражения сустава). Артрит выступает как осложнение основного заболевания.
- Нарушение в обменных процессах – подагра. Отложение соли мочевой кислоты в полости мелких суставов и, как следствие, их воспаление.
Клиническая картина
Артрит пальцев рук, в отличие от многих других видов, имеет резко выраженные симптомы с первых дней. Хронические и подострые формы при этой патологии встречаются реже, чем острая. Клинические симптомы:
- Резкое начало течения болезни. Поднимается высокая температура тела (более 38 градусов), общая слабость, головная боль.
- Локальная болезненность на поражённом участке. Иногда в поражение вовлекаются сразу несколько суставных поверхностей.
- Местная гиперемия, отёк, выраженное покраснение сустава.
- Ухудшение подвижности пальцев (снижение активных и пассивных движений).
- Деформация конечностей. Встречается при хронических формах болезни.
Заболевание имеет ярко выраженные симптомы
Клиническое проявление запястно-пястного артрита большого пальца имеет особенности. Местные проявления возникают на 4–5-й день. До этого момента основной симптом артрита пальцев рук — боль и ограничение подвижности. Гиперемия и отёк локализуются на запястье и боль иррадиирует на предплечье. Сила сжатия кисти резко снижается, как и возможность выполнять привычные действия.
Традиционное лечение
Лечением болезни занимаются следующие специалисты:
- ревматолог;
- невролог;
- травматолог;
- в маленьких городах и деревнях терапевт или врач общей практики.

В зависимости от формы, степени и клинических проявлений лечение осуществляется:
- ФАП;
- амбулаторно-поклинический уровень;
- центральные районные больницы;
- республиканские центры.
Если артрит вызван сопутствующими заболеваниями, то следует обратиться к соответствующему специалисту и пройти курс лечения по основной патологии. Это может быть не только ревматолог, но и инфекционист, иммунолог.
- восстановление двигательной активности;
- снятие воспаления;
- обезболивание и возвращение нормального качества жизни;
- восстановление деформированных участков конечностей.
Медикаментозное
Медикаментозное лечение — главный и обязательный компонент в назначениях врача. Врач индивидуально подбирает курс лечения. При отсутствии видимых клинических улучшений препарат сменяется на 5 день.
Артрит пальцев рук

Общие сведения
Артрит пальцев рук – это ортопедическое заболевание воспалительно-дегенеративной этиологии, локализующееся в мелких суставах кистей и приводящее к нарушению их функциональности. Как правило, данная патология является вторичной, иными словами возникает вследствие уже имеющихся у человека инфекционных, ревматических, метаболических, травматических и прочих нарушений здоровья. Широкая распространенность артрита кистей среди всех возрастных категорий делает эту болезнь социально значимой, поскольку она нередко становится причиной частичной, а иногда и полной утраты пациентом трудоспособности. При быстром прогрессировании и/или отсутствии адекватного лечения подобное воспаление суставов пальцев рук способно со временем привести даже к инвалидности, что ставит его в один ряд с наиболее пагубными болезнями опорно-двигательного аппарата.
Согласно последним статистическим данным артрит именно пальцев рук поражает фактически каждого 7-го жителя нашей планеты, а в последнее время это заболевание все чаще диагностируют в детском возрасте. В большинстве случаев (приблизительно 2/3 пациентов) такая разновидность артрита преследует женщин, однако это не связано с гендерными отличиями. Данную особенность врачи объясняют спецификой женской бытовой и профессиональной деятельности, в которой чаще чем мужчин задействованы кисти рук.
Патогенез
Такое заболевание суставов как артрит достаточно сложное и многообразное и потому его патогенез неоднозначен. Структурные особенности суставных тканей, наличие в них множества нервных окончаний и хорошая васкуляризация (формирование новых ветвей кровеносных сосудов) синовиальной оболочки сами по себе определяют способность суставов оперативно отвечать реакцией воспаления на различные опосредованные и прямые воздействия. В зависимости от характера, силы и направленности таких воздействий возникает поражение суставных тканей, разнящееся по своей природе, но зачастую приводящее к однотипным негативным последствиям.
Так, при специфических артритах инфекционной этиологии отмечается токсико-аллергический и бактериально-метастатический механизм повреждения суставов. В последнем случае патологический возбудитель лимфатическим или гематогенным путем напрямую попадает в полость сустава и обнаруживается в его синовиальной жидкости, что приводит к развитию септических, туберкулезных, гонорейных и прочих специфических артритов. В таких случаях наблюдается наиболее тяжелое поражение суставов с деструктивными и пролиферативными тканевыми явлениями.
При повышенной чувствительности возможен также и токсико-аллергический путь формирования инфекционных артритов, когда вследствие воздействия вырабатываемых микроорганизмами токсинов в суставе возникает аллергический синовит. Данный вид суставного поражения (синовит при дизентерийном, туберкулезном, бруцеллезном гонорейном и других инфекционных артритах) при адекватном лечении обычно исчезает без каких-либо остаточных явлений.
В меньшей степени изучен патогенез суставных воспалительных заболеваний, которые современная медицина относит к группе неспецифических артритов. К их числу помимо прочего относят такие масштабно распространенные патологии как: анкилозирующий спондилоартрит, ревматоидный артрит, псориатический полиартрит и т.д.
До настоящего времени инфекционная природа их происхождения остается недоказанной, хотя сторонники этого пути развития подобных патологий все же существуют. Согласно официальным представлениям в качестве первостепенного патогенетического фактора возникновения данных артритов выступает процесс изменения тканевой и общей реактивности организма, а также развитие аллергических и аутоаллергических реакций.
В этом контексте ученые предполагают, что под воздействием еще неопределенного первичного аллергена, источником которого возможно является хронический инфекционный процесс, происходит первичная стимуляция лимфоидных иммунокомпетентных клеток. На дальнейших этапах развития патологии формируется модифицированный 7S-гамма-глобулин, проявляющий свойства аутоантигена, к которому впоследствии вырабатываются соответствующие аутоантитела.
В частности, к ним принадлежит и так называемый в медицинской среде ревматоидный фактор (обнаруженный в плазме у 80-90% пациентов с ревматоидным артритом 19S-иммуноглобулин). С течением времени реакция по типу производства «аутоантиген – аутоантитело» становится постоянной, при этом формирование иммунных патологических комплексов главным образом происходит в синовиальной суставной оболочке.
Подобный механизм возникновения и дальнейшего прогрессирования неспецифических артритов представляет собой наиболее вероятную модель и не является абсолютно доказанным. В основном такой патогенез типичен для ревматоидного артрита, однако присутствие иммунных сдвигов в общей картине множества аналогичных патологий на текущий момент не вызывает никаких сомнений. Подтверждением этому служит наличие в исследуемой сыворотке пациентов с ревматоидным артритом ревматоидного фактора и характерных аутоантител к тканям сустава, а также выявленная у таких больных пролиферация плазматических и лимфоидных клеток синовиальной оболочки с зарождением многочисленных клеточных инфильтратов.

В настоящее время в патогенетической природе синовиального воспаления, наблюдающегося при неспецифических артритах, огромную роль отводят фагоцитозу сформировавшихся иммунных комплексов с находящимися в синовиальной жидкости лейкоцитами. Достоверно установлено, что при этом процессе происходит повреждение последних, которое сопровождается выходом протеолитических ферментов из их лизосом, что в свою очередь напрямую поддерживает течение воспалительной реакции в поврежденном суставе.
Вместе с тем, в общей клинической картине всех артритов наличествуют признаки, которые указывают на то, что в формировании заболеваний такого характера немаловажная роль отведена и отклонениям в состоянии нервной системы пациента и прежде всего в ее вегетативной части. Об этом свидетельствует часто встречаемая симметричность суставного поражения, расстройство сосудистого тонуса и потоотделения, нарушение кожной, костной, мышечной трофики и прочие подобные патологические проблемы. Тем не менее, в патогенезе артритов конкретное функция дезорганизации нервной системы пока не определена.
Также в этом плане в недостаточной степени изучена роль нарушений со стороны эндокринных желез человека. Одна из ранее существующих гипотез возникновения данных патологий, ставящая во главу развития целого ряда неспецифических артритов гормональное расстройство регуляции гомеостаза, так и не получила прямого подтверждения. Впрочем, значимость эндокринных нарушений в образовании целостной патологической реактивности человеческого организма, предрасполагающей к суставным заболеваниям не вызывает сомнений. Доказательством этого является довольно частое обострение некоторых неспецифических артритов (к примеру, ревматоидный артрит кисти рук) у женщин в момент менопаузы.
Что касается именно артрита пальцев рук, то данная патология в процессе своего прогрессирования проходит четыре стадии развития, каждая из которых отличается собственной негативной симптоматикой.
Стадия первая
Явные внешние признаки воспалительного процесса суставных тканей кисти отсутствуют, однако отмечаются кратковременные боли и незначительная скованность движений пальцев рук в утренние часы. Сразу после сна пациенту не удается с былой легкостью выполнять привычные до этого действия, такие как откручивание крана, размешивание сахара и т.д. Подобная скованность не продолжается долго и проходит при нескольких повторенных движениях. На рентгенограмме в этой стадии можно заметить легкое истончение костной структуры сустава.
Стадия вторая
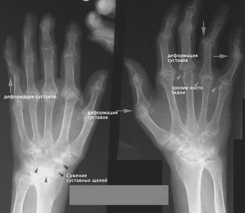
Воспаление суставов на руке в области ее кисти и/или пальцев прогрессирует, из-за чего негативные симптомы болезни становятся более выраженными. Суставные боли могут быть продолжительными, сами суставы выглядят припухшими и хрустят при движении. На этой стадии пациент испытывает трудности в выполнении манипуляций пальцами не только в утреннее время, но и в течение всего дня. На рентгеновских снимках видны эрозии костных тканей в районе пораженных суставов.
Стадия третья
Деформация суставов на пальцах уже заметна невооруженным взглядом, при этом нарушения отмечаются, как правило, симметрично на обеих руках. Болевые ощущения в пальцах становятся достаточно сильными, усиливаются при движениях и могут сопровождать пациента на протяжении долгого времени вплоть до приема обезболивающего. Кожные покровы на кистях краснеют, наблюдается локальное повышение температуры и значительная отечность. Даже простые манипуляции руками даются с трудом. Рентгенография показывает прогрессирующий воспалительный процесс, суставную деформацию и нарушение целостности суставов.
Стадия четвертая
Хрящевые ткани патологических суставов срастаются и по этой причине пальцы рук и сами кисти значительно деформируются. Пациент производит манипуляции пальцами с большим трудом, а иногда не может двигать ими вовсе. Утрачиваются даже элементарные навыки человека по самообслуживанию, он начинает нуждаться в постоянной помощи и опеке. На рентгенограмме четко видны необратимые искривления костных и хрящевых тканей. На данной стадии больному часто присваивается группа инвалидности.
Классификация
Принимая во внимание множественные первопричины формирования артритов верхних конечностей, на сегодняшний день насчитывают более десятка их типов, самыми распространенными из которых являются следующие.
Инфекционный артрит
Острая и наиболее тяжелая форма заболевания, спровоцированная проникновением непосредственно в суставные ткани различных инфекционных возбудителей. Как правило, такой вид патологии редко поражает мелкие суставы кистей, однако исключать возможность его развития в данном участке опорно-двигательного аппарата нельзя. В зависимости от природы изначальной инфекции могут отдельно выделять бруцеллезный, сифилитический, туберкулезный, гонорейный и прочие артриты. Для этого типа болезни характерно ее стремительное развитие с возникновением очагов воспаления, нагноения и т.д.
Ревматоидный артрит пальцев рук
В отличие от предыдущего типа заболевания эта патология в первую очередь поражает именно мелкие суставы кистей, а в основе ее патогенеза лежат аутоиммунные процессы, вынуждающие организм вырабатывать патологические вещества, разрушающие собственные суставные ткани. Первые симптомы ревматоидного артрита пальцев рук обычно обнаруживаются на одном из них, а после распространяются на соседние пальцы.
При отсутствии адекватного лечения в патологический процесс вовлекается все больше пальцевых суставов, их функциональность постепенно снижается и в итоге кисть деформируется и фактически полностью утрачивает свое предназначение. Чаще всего заболевание протекает симметрично, то есть поражает обе руки одновременно. Негативные симптомы ревматоидного артрита не ограничиваются только суставами и со временем могут приводить к тяжелым расстройствам в работе многих внутренних органов (почки, сосуды, легкие и пр.).
Обменный артрит
Второе название этого типа заболевания – подагрический артрит, которое в принципе более соответствует его сути и в полной мере раскрывает основную причину патологического процесса. В этом случае именно первоначальная болезнь подагра, посредством накопления солей (кристаллов) мочевой кислоты в районе суставов, вызывает их воспаление и дальнейшее разрушение. Кисти рук при подагре в основном страдают у женщин, тогда как у мужчин чаще возникают проблемы с большим пальцем ноги. Симптоматика обменного артрита острая и приступообразная, провоцируемая обычно приемом жирной пищи, алкоголя и пр.
Посттравматический артрит кисти
Как видно из названия данный тип суставного воспаления возникает в результате полученных пациентом травм, которые стали причиной повреждений костных и/или хрящевых тканей в суставах пальцев на руке. Естественно, что развитие этой патологии отмечается лишь в области травмирования, а сама она при должной терапии чаще всего является кратковременной.
Псориатический артрит
Формируется на фоне такого серьезного заболевание как псориаз и по своей сути является одним из его негативных проявлений. При поражении кистей в этом случае, как правило, страдают их дистальные суставы или все суставы одного пальца одновременно. Типичным симптомом этого вида патологии считается багрово-синюшный оттенок кожных покровов над проблемными зонами и выраженная опухлость. При этом поврежденные пальцы по виду напоминают вареные сосиски, а сами суставы становятся похожи на редиску.
Вторичные артриты
В эту группу ортопедических заболеваний входят артриты, появлению которых предшествовали прочие чаще всего системные патологии человеческого организма (иммунные, аллергические, соматические).
Помимо классификации по причине формирования артритов, может использоваться и категоризация этого заболевания по локализации патологического процесса, которая разделяет поражение кистей рук на дистальное (страдают межфаланговые пальцевые сочленения), среднее (поражаются суставы между непосредственно пястью и пальцами) и проксимальное (повреждается сама кисть). Также в клинической практике довольно часто встречается и артритическое поражение только большого пальца на одной или обеих кистях, которое носит название – ризартроз.
Причины
Согласно представлениям современной медицины к возникновению и дальнейшему развитию артрита рук приводят некоторые внутренние и внешние факторы или их совокупность, которые являются пусковым механизмом данной патологии.
Генетическая предрасположенность
Многие проведенные наблюдения и исследования доказывают факт наличия в человеческом геноме определенного гена, передача которого будущему поколению в разы повышает риск формирования у него суставных патологий. Это ни в коем случае не означает, что каждый человек с подобной наследственностью будет страдать от артрита, однако при подключении других неблагоприятных факторов вероятность этого достаточно высока.
Бактериальные и вирусные болезни
В некоторых случаях непосредственному возникновению артрита могут предшествовать перенесенные ранее заболевания бактериальной или вирусной этиологии. Чаще всего подобная патология суставов развивается на фоне гриппа, скарлатины, сифилиса, кори, гонореи, тонзиллита, герпеса, гепатита В, паротита и т.д. Шанс присоединения артритического поражения возрастает при неадекватном лечении этих болезней или не доведенной до логического конца терапии. В разряд болезненных состояний, способствующих формированию острого артрита можно также отнести переохлаждение, стрессовые ситуации и проведенную в недавнем прошлом вакцинацию (при повышенной чувствительности).
Травмы
Полученные человеком в течение жизни травмы кистей, включая переломы, растяжения и даже ушибы в этой области, довольно часто оставляют на костных и хрящевых тканях суставов те или иные повреждения. Подобные дефекты с течением времени способны вызвать внутрисуставное воспаление и перерасти в артрит.
Условия труда и жизни
Довольно часто первопричиной суставных нарушений по типу артрита становятся определенные условия труда и жизни человека, которые так или иначе держат суставы кисти в постоянном напряжении или становятся причиной регулярных внутренних микротравм их тканей (любая работа, связанная с мелкой моторикой рук, пребывание в сырости и пр.). В эту категорию риска формирования артрита входят также спортсмены, использующие в тренировках и соревнованиях чрезмерные нагрузки на кисти (теннис, боулинг, тяжелая и легкая атлетика и т.д.).
Возрастные изменения
В процессе взросления суставы кисти человека сами по себе подвергаются возрастным изменениям. В структуре их тканей происходит постепенное снижение метаболических преобразований, хрящи начинают грубеть, объем синовиальной жидкости уменьшается. Все эти негативные трансформации зачастую запускают патологический механизм, приводящий к возникновению артрита и ему подобных суставных патологий.
Гормональные сдвиги
К развитию артрита мелких суставов могут привести некоторые гормональные патологии или естественная физиологическая перестройка организма, в которой участвуют половые и прочие гормоны. Так, риск суставного воспаления основательно повышается во время наступления климакса, в момент полового созревания, в период беременности и т. д.
Снижение иммунитета
Любые болезненные состояния, протекающие со снижением функции иммунной системы или ее патологической трансформацией (аутоиммунные процессы), способны негативным образом влиять на суставы (особенно мелкие), что с большой долей вероятности может стать причиной развития множества суставных заболеваний, включая и артрит кистей.
Аллергические реакции
Артрит пальцев рук вполне может сформироваться вследствие серьезных аллергических реакций, в особенности при ранее поврежденных хрящевых и/или костных тканях сустава.
Системные заболевания
Симптомы артрита пальцев рук
Негативные признаки артрита пальцев рук могут разниться в зависимости от первопричины, вызвавшей данную патологию, однако существует целый ряд симптомов, которые будут характерны для любого типа подобного суставного воспаления.
- При всех типах артрита кистей первые симптомы выражаются в болевых ощущениях, которые человек начинает испытывать при выполнении руками ранее привычных для себя действий. На начальной стадии формирования заболевания такая боль может быть слабой, кратковременной и ощущаться лишь в утренние часы на протяжении примерно получаса после сна. В дальнейшем выраженность и продолжительность болевого синдрома будет нарастать вплоть до его постоянного присутствия. Достаточно часто пациенты с артритом пальцев на руках описывают такую боль словом «ломота», что само по себе ярко подтверждает ее характер. У некоторых больных она сопровождается неприятным покалыванием и жжением в пальцах. На последнем этапе болезни болевые ощущения зачастую проходят только при применении обезболивающих средств.
- Вслед за воспалительным поражением одного или нескольких пальцевых суставов на одной кисти в большинстве случаев происходит аналогичный патологический процесс и на второй руке. Такие симметричные негативные симптомы характерны в основном для ревматоидного артрита, однако нередко преследуют больных и с прочими типами этого заболевания.
- Практически у всех пациентов с артритом отмечается ответная болезненная реакция пораженных суставов на смену погодных условий. Многие из них также реагируют на сырость и перепады давления в окружающей атмосфере.
- Как правило, при артрите пальцев наблюдается так называемая скованность (в основном утром) кистей рук, когда попытки пошевелить пальцами даются человеку с большим трудом. По ощущениям подобное состояние похоже на ношение очень тугих перчаток и неизменно сопровождается чувством болезненности. Нередко пациенту, для того чтобы начать совершать самые элементарные действия руками, предварительно приходится тем или иным способом разрабатывать пальцы и саму кисть.
- Поврежденные артритом пальцевые суставы фактически во всех случаях опухают и/или отекают, что иногда делает пальцы на руках отдаленно похожими на чурчхелу. Кроме того, кожные покровы вокруг костяшек поврежденных пальцев краснеют, натягиваются и становятся горячими на ощупь.
- Температура тела обычно поднимается локально лишь в районе активного воспалительного процесса в больном суставе, но в некоторых случаях (например, при тяжелом течении ревматоидного или инфекционного артрита) может отмечаться и общая лихорадка.
- Со второй стадии заболевания многие пациента начинают испытывать ощущения крепитации в пострадавших суставах пальцев, иными словами, при их движении слышен сопровождающийся болезненностью специфический костно-хрящевой скрип и щелчки. В это же время под кожей в патологических областях могут образовываться своеобразные узелки.
- Еще одним частым симптомом артрита кистей является быстрая утомляемость рук во время работы, во многих случаях перерастающая в общую слабость. Данные проявления болезни нарастают по мере ее прогрессирования совместно с болевым синдромом и прочими негативными явлениями.
- Одним из главных признаков артрита кисти наряду с болевыми ощущениями считается постепенное ограничение подвижности пальцев и амплитуды их движений. При игнорировании лечения это может привести к внутренним и внешним изменениям самой структуры руки, придавая ей самые различные неорганические формы и полностью нивелируя ее функцию.
Анализы и диагностика
Основной концепцией диагностирования артрита пальцев рук является направленное изучение пораженной кисти (или двух), а также комплексное исследование состояния здоровья пациента с применением разнообразных диагностических методик. Правильно поставить подобный диагноз и уверенно определить этиологическую подоплеку артрита способен лишь грамотный артролог или ревматолог на основании следующих сведений:
- обшей картины анамнеза, которая выявляет особенности начала течения артрита, и помогает установить связь суставного поражения с первопричиной его возникновения, включая инфекционные болезни, очаговые инфекции, аллергические реакции, предшествующие травмы или прочие патологические процессы;
- специфической клинической информации, раскрывающей воспалительный характер болевых ощущений, ситуацию прогрессирования ограничения мобильности пальцевых суставов, их деформацию за счет пролиферативных или экссудативных явлений, происходящих непосредственно в суставной структуре или околосуставных тканях и пр.;
- характерных данных рентгенологических исследований, способных обнаружить такие патологические изменения как: утончение суставной щели, присутствующие анкилозы, эпифизарный остеопороз, узурацию костных поверхностей пораженных суставов и т.д.;
- однозначных лабораторных показателей, указывающих на развитие или нарастание воспалительного процесса;
- результатов исследований, направленных на изучение морфологического состава биопсированной синовиальной жидкости и оболочки (присутствие синовита пролиферативного характера).
В диагностике артритов одну из главных ролей играет правильно собранный анамнез, который помогает врачу выяснить множество первостепенных вопросов, связанных с изначальной этиологией возникновения воспалительной патологии в суставах, типом заболевания в отношении его основной или вторичной природы, сопутствующими патологическими процессами и многим другим.
Сам по себе воспалительный характер этой болезни предположительно определяется врачом при проведении первичного физикального обследования пораженных суставов кисти. В этом случае на активно происходящее воспаление фактически гарантированно указывает местная припухлость околосуставной области, ее болезненность при пальпации, наличие выпота, локальное изменение температуры, уплотнение соседних мягких тканей.
С целью подтверждения существующего внутрисуставного воспалительного процесса и определения его интенсивности проводят пунктирование проблемного сустава с извлечением и дальнейшим лабораторным изучением синовиальной жидкости. Рыхлая структура муцинового сгустка, пониженная вязкость и увеличение числа лейкоцитов с показателями до 50000 в 1 мм³ свидетельствуют о воспалительной конфигурации синовиальной жидкости. Отличительная характеристика цитоза (при туберкулезном артрите преобладают лимфоциты, при ревматоидном – нейтрофилы и т.д.), наличие чрезмерной кристаллизации (например, при подагрическом артрите кристаллы мочевой кислоты), присутствие в синовиальной жидкости инфекционных возбудителей и другие качественные показатели позволяют врачу установить достоверный диагноз в отношении типа заболевания.
Ценные сведения о патологическом процессе предоставляет диагносту морфологическое исследование непосредственно синовиальной оболочки, биопсированной с помощью микроскопического иссечения или пункции. В целях более скрупулезного диагностирования артритов в последнее время применяют такую методику как артроскопия, которая предоставляет возможность осуществить визуальный осмотр и относительно четкое фотографирование структуры синовиальной оболочки.
Следует помнить, что при артритах сдвиги показателей многих лабораторных исследований (лейкоцитоз, ускоренная РОЭ, присутствие С-реактивного протеина, увеличенные нормы серомукоида, ДФА-реакции и т.д.) являются неспецифическими для данных заболеваний, так как они характерны фактически для любого внутреннего процесса воспаления. Наряду с этим существует целая серия серологических тестов, которые в комплексе со специфической клиникой позволяют поставить нозологический диагноз. Среди них можно выделить реакции Вассермана, Борде-Жангу, Райта, Валера-Роуза, Хаддлсона и латекс-тест.
Рентгенодиагностика
В качестве базового технического метода рентгенологического обследования при артритах применяют рентгенографию. Как правило, ее проводят в 2-х стандартных проекциях, однако при наличии показаний могут делать снимки и в дополнительных перспективах, более детально демонстрирующих локальные метаморфозы пораженных суставных поверхностей. С той же целью, в особенности при исследовании мелких пальцевых суставов, применяют рентгенографию с прямым укрупнением изображения.
В некоторых случаях для конкретизации характера изменений, происходящих в глубоко локализованных участках эпифизов, плохо различимых или даже невидимых при проведении обычной рентгенографии из-за наложения (суперпозиции) теневых элементов, пациенту может быть показана томография (КТ или МРТ). Для выявления в суставных мягких тканях воспалительных изменений проводят созвучные «мягкие» контрастные рентгенологические исследования, иногда без использования усиливающих изображение экранов.

Неплохие результаты в точном диагностировании артрита можно получить при применении электрорентгенографии проблемных суставов, которая помогает диагносту отчетливо распознать мельчайшие детали в патологических суставных поверхностях и мягких тканях.
Наиболее постоянным и первостепенным рентгенологическим признаком факта существования артрита, в особенности в подостром периоде течения болезни, является присутствующий остеопороз. В данной связи очень важно точное определение его разновидности (местный, неравномерный, диффузный, пятнистый и пр.) и динамики развития, обычно отвечающей степени суставных нарушений функционального и нейротрофического характера.
В этом случае значительное содействие оказывает рентгеноденситометрия, назначение которой чрезвычайно целесообразно при динамическом сравнительном исследовании одноименных суставов, прежде всего при одностороннем поражении. Кроме того, рентгеноденситометрия может практиковаться не только с диагностической целью, но и для мониторинга эффективности проводимой терапии, так как она с высокой точностью отражает протекание костной деминерализации при активно прогрессирующих артритах, а также репаративные процессы при реверсивном формировании воспалительных изменений.
Сама по себе рентгенологическая картина артритов достаточно многообразна и может включать такие визуальные признаки:
- практически все разновидности остеопороза;
- частичное или тотальное утончение суставной щели или в некоторых случаях ее расширение, связанное с деструктивными повреждениями костно-хрящевых тканей сустава;
- наличие костных узур (краевых дефектов по типу эрозий) на соответствующих поверхностях проблемных суставов как следствие проходящих в них дегенеративных процессов;
- существование очагов активной деструкции в околосуставной костной области;
- образование секвестров (тканевое омертвение), наблюдаемых зачастую при специфических видах артритов (например, при туберкулезном);
- формирование периостальных наслоений в районе костных метафизов, а также возникновение реактивного остеосклероза;
- трансформация рельефа костных поверхностей патологических суставов и краевые разрастания на них;
- подвывихи и вывихи, образующиеся в ответ на суставную деформацию (типичны для некоторых артритов, включая ревматоидный).
Вопреки тому, что наблюдаемая при разных типах артритов рентгенологическая конъюнктура в достаточной мере отображает природу происходящих патологических изменений в структуре костно-хрящевых тканей сустава, проведение дифференциальной диагностики всего многообразия существующих форм артритов и этапов их развития затруднено по причине частого несоответствия визуальных данных рентгенографии и собственно отмечаемой клинической картины. Например, при ревматическом артрите в подостром или остром периоде, когда патологические процессы пока еще затрагивают лишь синовиальную оболочку, рентгенологические снимки обычно отрицательного характера, несмотря на характерную и интенсивную клиническую симптоматику.
Явные рентгенологические проявления, в частности остеопороз, отмечаются в том периоде болезни, когда постановка клинического диагноза для специалиста уже не представляет сложности. Впрочем, проведение рентгенографии полезно даже в самых простых случаях, поскольку расхождение в рентгенологических и клинических данных имеет немалое значение в дифференциально-диагностическом плане.
Говоря о постоянном рентгенологическом признаке артритов – остеопорозе, стоит отметить, что при диагностировании заболевания важен не только факт его наличия, но и отличительная характеристика этого симптома. В частности, пятнистый остеопороз, как правило, выявляется при стремительно прогрессирующих артритах. Диффузный остеопороз обнаруживается при продолжительном нарастании клинической симптоматики с изменениями нейротрофического характера и быстрым развитием ограничения подвижности проблемных суставов. Наличие гипертрофического остеопороза, даже в случае отсутствия деструктивных костно-хрящевых изменений, доказывает факт давно идущего воспалительного процесса, в прошлом отличающегося острым клиническим течением.
При артритах аллергического или инфекционного происхождения, а также при смешанных полиартритах, для которых типично острое начало патологического процесса и его дальнейшее бурное прогрессирование, характерная клиническая симптоматика вначале формирования болезни не подтверждается на рентгенологических снимках. И наоборот, при специфических артритах инфекционной природы рентгенография способна в значительной мере содействовать как постановке верного диагноза, так и выявлению фазы развития артрита. Помимо этого, динамический анализ рентгенологических данных в этом случае поможет врачу оценить эффективность назначенной терапии и более четко определить прогноз течения заболевания для пациента.
При проведении дифференциального диагностирования артритов и артрозов посредством рентгенологических исследований, необходимо обращать внимание на вероятность формирования вторичных артрозов на фоне первичных артритов.
Лечение артрита пальцев рук
Перед тем как вылечить непосредственно воспалительный процесс и приступить к восстановительной терапии в отношении проблемных суставов кисти, пациенту необходимо усвоить и беспрекословно выполнять некоторые общие правила повседневного поведения, которые будут способствовать более эффективному лечению артрита, а именно:
- ни в коем случае не заниматься самолечением и всегда согласовывать со своим врачом использование любых даже «проверенных временем» средств нетрадиционной медицины;
- в остром периоде по максимуму снизить нагрузку на пораженные артритом пальцевые суставы (перепоручить обязанности по хозяйству родным людям, взять отпуск или больничный лист, отменить тренировки и т.д.);
- всеми возможными способами защищать руки от травмирования, переохлаждения и прочих неблагоприятных внешних воздействий;
- исполнять абсолютно все предписания лечащего врача в отношении приема лекарств, применения методик физиотерапии и прочих рекомендаций;
- практиковать полноценный ночной отдых, который должен продолжаться как минимум 8 часов подряд;
- в период ремиссии четко выполнять рекомендованные врачом упражнения лечебной физкультуры, не увеличивая самостоятельно нагрузки на пальцы руки и не дополняя занятия собственными тренировками;
- в обязательном порядке придерживаться соответствующего типу артрита диетического питания, не позволяя себе перерывов в нем даже в праздничные дни, а также питьевого режима;
- в полном объеме отказаться от всех ранее практикуемых вредоносных привычек (алкоголь, табакокурение и пр.);
- при необходимости приобрести в личное пользование специальные приборы, облегчающие быт людей с артритом и/или способствующие облегчению негативной симптоматики болезни (например, электростимуляторы).
Применение в лечении артритов этиотропной терапии (направленной только на первичное заболевание) возможно лишь при специфических инфекционных типах данного заболевания (например, при бруцеллезном артрите, гонорейном артрите и пр.). В остальных случаях следует прибегать к комплексному патогенетическому лечению, направленному на следующие аспекты:
- нормализация иммунологической и общей реактивности организма пациента (использование иммунодепрессивных, десенсибилизирующих препаратов, медикаментозное воздействие на хронический инфекционный очаг, активация обменных процессов, минерально-витаминного баланса и пр.);
- уменьшение местных и при необходимости общих проявление воспаления (применение гормональных, антивоспалительных средств, физиотерапевтических методик, курортного лечения и т.д.);
- восстановление функциональности сустава при нарушении его подвижности (лечебная гимнастика, трудотерапия, массаж, физиотерапия и пр.);
- терапия первичного патологического процесса (целесообразна при артритах, причиной которых стали другие заболевания).
Ключевым принципом лечения артритического воспаления суставов пальцев рук, в особенности при хроническом течении, является этапная продолжительная терапия по линейной схеме: стационар – поликлиника – курорт. Используемые в этом случае медикаменты и лечебные методики могут несколько разниться в зависимости от диагностированной разновидности артрита, стадии его развития и прочих особенностей того или иного типа заболевания. Например, лечить ревматоидный артрит кисти рук необходимо согласованно с общими правилами терапии данной группы патологий, но тем не менее подбирая препараты и методы, наиболее подходящие именно для этого вида болезни.
Доктора

Петросов Сергей Николаевич

Гуляев Сергей Викторович

Славина Ирина Борисовна
Лекарства
Таким образом, в основной медикаментозной терапии артрита пальцевых суставов рук, в зависимости от характера патологии и тяжести ее течения, могут использоваться следующие лечебные препараты.
Помимо лечебных препаратов для симптоматической терапии непосредственно артритического поражения, врач может назначить и другое сопутствующее лечение воспаления суставов пальцев рук, направленное на первопричину возникновения данной патологии. Например, при инфекционной природе диагностированного артрита назначают системные антибиотики (в основном макролиды или пенициллины), при аутоиммунных процессах – иммуносупрессоры (азатиоприн, метотрексат, циклоспорин) и т.д.
Процедуры и операции
Физиотерапия
Схема лечения любого артрита предполагает комплексное воздействие на пораженные суставы лечебных средств и физиотерапевтических методик, которых в данном случае насчитывается довольно много. Так, в зависимости от типа артритического воспаления пальцев рук, пациенту могут быть рекомендованы: электрофорез, УВЧ, тепловые ванночки, массаж, магнитотерапия, лазерная терапия и множество других процедур, находящихся в распоряжении той или иной клиники. В целом все эти методы физиотерапии направлены на усиление медикаментозного лечения в части нивелирования наблюдающейся негативной симптоматики заболевания и улучшение функциональных возможностей проблемных суставов.
Комплекс физиотерапевтических процедур подбирается для каждого больного в индивидуальном порядке, согласуясь с его физиологическими возможностями и предпочтениями. Основная физиотерапия, как правило, проводится в специализированных кабинетах медицинского учреждения, однако некоторые методики пациент может практиковать и в домашних условиях (ЛФК, массаж и пр.). В этом случае важно заранее выяснить у лечащего врача все нюансы и принципы выполнение таких процедур, дабы они не усугубили существующую ситуацию, а принесли пользу.
ЛФК в домашних условиях
Для людей с артритом кистей разработан целый ряд специальных упражнений, которые помогают им разрабатывать пораженные суставы пальцев, тем самым повышая общее качество жизни. Прибегать к помощи подобной физкультуры можно лишь на этапе ремиссии заболевания, так как в остром периоде подобные нагрузки наоборот способны нанести вред. По рекомендации врача пациент может включать в свои тренировки рук следующие нижеописанные упражнения.
- Упражнение «Кулак». Разминка для всей кисти (или двух), заключающаяся в сильном сжатии пальцев руки в кулак. Большой палец при этом обязан, так сказать, накрывать остальные четыре, то есть находиться поверх них, осуществляя дополнительное давление. В подобном положении необходимо продержать руку как минимум 30 секунд, после чего разжать кулак и развести пальцы в стороны как можно шире. При двухстороннем артрите следует делать это упражнение синхронно обеими руками. В целом проводится 4 идущих друг за другом подхода с возможным повторением через несколько часов. Противопоказанием к выполнению данного упражнения служит возникновение резких болезненных ощущений или выраженного дискомфорта другого характера в районе проблемных суставов.
- Упражнение «Мячик». Небольшой мяч, размером примерно соответствующий теннисному, необходимо поместить на горизонтальную поверхность, положить сверху на него ладонь проблемной руки и движениями вперед и назад прокатывать его при помощи пальцев. Также можно разнообразить это упражнение посредством перекатывания мяча по кругу. Лучше всего приобрести специальный, так называемый, массажный мяч, который имеет ребристую поверхность или небольшие округлые шипы. Подобным образом можно добиться эффекта локального массажа, тем самым улучшая кровоснабжение всех тканей кисти.
- Упражнение «Четки». В этом случае следует поочередно кончиками четырех противолежащих пальцев руки касаться подушечки большого пальца, создавая видимость перебирания четок. Начинать упражнение нужно с мизинца, доходить до указательного пальца и возвращаться обратно, повторяя такую манипуляцию на протяжении приблизительно минуты для каждой руки.
- Упражнение «Карандаш». Данное упражнение выполняется с помощью шестигранного карандаша, который необходимо положить на горизонтальную поверхность, прижать сверху ладонью и прокатывать от ее основания до кончиков пальцев. Можно также практиковать и вертикальное перекатывание карандаша с использованием двух прижимающих его ладоней. Еще одним способом применения этого предмета при артрите является его последовательное вращение между пальцами.
- Упражнение «Веер». Для этого упражнения подойдет любая ровная поверхность (горизонтальная или вертикальная). Плотно прижав к ней обе ладони, не упираясь на них телом, нужно постараться максимально напрячь кисти и как можно шире развести пальцы в разные стороны, задержав их в таком положении на несколько секунд. Выполнять эту процедуру следует так, словно пальцы на руке стягивает тугая резинка и ее сопротивление необходимо всенепременно преодолеть. Однократно в несколько часов можно делать 5-6 подобных подходов.
- Упражнение «Маятник». В данной ситуации обе руки должны находиться на столе, а пальцы поочередно подниматься вверх и разводиться в стоны (сначала в одну, затем в другую) по типу маятника. Упражнение делается синхронно одноименными пальцами на двух руках, начиная от мизинца и заканчивая указательным пальцем.
- Упражнение «Пианино». Модификация предыдущего упражнения с поочередным подъемом пальцев вверх и последующим опусканием вниз (как будто нажимаешь на клавишу пианино). При этом важно, дабы соседние пальцы оставались прижатыми к поверхности стола, а рабочий палец не сгибался в суставах. Для каждого пальца необходимо совершить не менее 3-х подъемов/опусканий.
- Упражнение «Когти». Руки должны находиться в уже привычной позе – на столе, а все пальцы следует сгибать и разгибать, стараясь коснуться их подушечками внутренней стороны ладони. Упражнение производится двумя руками одновременно, примерно в течение одной минуты.
Хирургическое вмешательство
Оперативное вмешательство в ткани поврежденных суставов пальцев рук при артритах практикуется лишь при недостаточной эффективности проводимой ранее комплексной терапии и только после полноценного купирования воспалительного процесса. Противопоказано оно детям до 5-ти лет и взрослым, общее состояние здоровья которых оценивается как тяжелое (серьезные болезни внутренних органов и систем, сложные инфекции, интенсивное течение хронических патологий и т.д.). Характер и тактика хирургической операции в целом определяются врачом в зависимости от типа артрита, существующей функциональности сустава и стадии локального патологического процесса.
На начальных этапах болезни, когда наличествует выраженный синовит, но еще отсутствует костная и/или хрящевая деструкция, могут проводить так называемое профилактическое оперативное вмешательство по типу синовэктомии. Смысл данной операции заключается в максимальном иссечении гиперплазированной и патологически измененной синовиальной оболочки, что само по себе оказывает благотворное воздействие как на проблемный сустав, так и на совокупное течение заболевания.
На поздних этапах артрита, когда поражению кроме синовиальной оболочки подвергается и связочная капсула, а также отмечается образование контрактур и деструкция костно-хрящевых тканей, показано проведение более радикальной операции под названием – расширенная синовкапсулєктомия. В ее ходе вместе с синовиальной оболочкой зачастую удаляется суставная капсула, грануляционная ткань, мелкие остеофиты, фиброзные спайки и даже иногда участки костей.
В некоторых случаях, в особенности при развитии патологического процесса лишь на одном пальце кисти, может практиковаться такая хирургическая техника как артродез, общая идея которой состоит в фиксации сустава в постоянном положении. Иногда подобная операция, хоть и фактически обездвиживает один палец, положительным образом влияет на функциональность руки в целом.
Особое место в хирургическом лечении артритов пальцев рук занимают реконструктивно-восстановительные операции, проводящиеся с установкой силиконовых (межфаланговых, пястно-фаланговых) эндопротезов. При отсутствии противопоказаний (костный туберкулез, остеомиелит, патологии кожных покровов, тяжелые системные болезни, психоневрологические отклонения и пр.) и после проведения всесторонних исследований для пациента изготавливают индивидуальные протезы, которыми в процессе операции замещают поврежденные хрящевые и/или костные ткани. Основной целью эндопротезирования в этом случае является максимальное замещение частей больного сустава на искусственные имплантаты, возвращающие руке былую подвижность и полноценную работоспособность. Единственным относительным недостатком данной процедуры для больного считается ее довольно значительная стоимость и продолжительный реабилитационный период.
При диагностируемых специфических артритах (гонорейном, туберкулезном, сифилитическом, бруцеллезном и т.д.) проводится характерная терапия, в схему которой зачастую входят хирургические операции, такие как: синовэктомия, артродез, иссечение некротических очагов, удаление суставных концов, костная пластика, эндопротезирование и пр.
Лечение артрита пальцев рук народными средствами
В некоторой степени облегчить течение артрита вполне можно и народными средствами, которых на данное время насчитывается огромное количество. Тем не менее, в этом случае к выбору рецепта или методики воздействия на больные суставы следует подходить очень аккуратно. Все дело в том, что одни и те же нетрадиционные способы лечения при разных типах артритического поражения могут обладать различными эффектами как положительного, так и отрицательного характера. Вследствие этого, прежде чем приступить к подобной терапии необходимо досконально выяснить у лечащего врача все подробности своего заболевания и допустимые методы воздействия на него. Не стесняйтесь задавать ему любые интересующие вас вопросы, в частности: можно ли парить руки при артрите суставов, допустимо ли использовать согревающие компрессы и растирки, возможно ли применение растительных настоев внутрь и т.д.
В общем многообразии народных рецептов лечения артрита кистей можно выделить следующие популярные средства.
Мед и корица
Неплохим лекарством для проблемных суставов считается смесь натурального меда и корицы, которую следует принимать перорально. Для приготовления одной порции такого средства необходимо смешать 1 ст. л. свежего меда с 0,5 ч. л. молотой корицы и в дальнейшем употреблять ее каждое утро (натощак) в течение 20-ти суток.
Мед и горчица
Также целесообразно использовать мед для наружного лечения болевого синдрома артрита. С этой целью смешивают мед, растительное масло и горчичный порошок в равных пропорциях (по 1 ч. л.), подогревают и взбивают их до образования гомогенной массы и посредством отреза марли накладывают в виде компресса на пострадавшую кисть. Подобную процедуру делают однократно в сутки, а сам компресс держат на руке приблизительно 60 минут.
Морская соль
Для снятия негативных проявлений артрита в некоторых случаях полезно делать согревающие ванночки для рук. Для их проведения следует 4 ст. л. морской соли полностью растворить в 2 л теплой воды, довести ее до температуры 50°C и уже в ней парить руки на протяжении 15-ти минут. Для дополнительного эффекта прогревания после окончания такой процедуры рекомендуют надеть шерстяные варежки или перчатки. Использовать солевые ванночки можно ежедневно в течение 3-х недель, делая их перед отходом ко сну.
Девясил
Полезной для проблемных суставов является сделанная из корней девясила спиртовая растирка, которую готовят посредством двухнедельного настаивания измельченного сырья в 200 мл качественной водки. По прошествии этого времени настойку процеживают и дважды в день (утром и вечером) в течение месяца применяют для растирания пострадавших от артрита пальцев. Растиркой из девясила нельзя пользоваться при поврежденных кожных покровах в этой области.
Овсяные хлопья
В некоторой степени снять воспаление и болевые ощущения поможет компресс с овсяными хлопьями. Для его изготовления нужно до готовности отварить хлопья в воде в соотношении 1:2, в теплом виде нанести их на больную кисть, замотать ее бинтом и сверху укутать шерстяной тканью (можно надеть варежку). Практиковать эту процедуру можно на протяжении 3-х недель, делая компрессы трижды в день и оставляя их на руке примерно на 60 минут.
Яично-скипидарная мазь
Неплохо показала себя в деле лечения артритов пальцев рук яично-скипидарная мазь, для приготовления которой необходимо смешать 1 желток (сырой) куриного яйца с 1 ч. л. скипидара и аналогичным объемом яблочного уксуса. Данную смесь впоследствии курсом в 20 дней нужно 2 раза в сутки втирать в кожные покровы над больными суставами.
Луковые аппликации
С целью быстрейшего снятия воспалительного процесса некоторые люди с артритом применят луковые аппликации. Изготавливают такое своеобразное лекарство путем перемалывания одной крупной луковицы в мясорубке и последующего смешивания полученной массы с 1 щепоткой соли. Далее готовое средство тонким слоем наносят на проблемные суставы и заматывают бинтовой повязкой. Однократная аппликация должна продолжаться 30 минут, а делать ее допустимо максимум дважды в день.
Белена
В качестве еще одной растирки для больных сустав используют смесь из 2 ст. л. масла белены с таким же количеством растительного масла (оливкового или подсолнечного). После тщательного перемешивания этих ингредиентов ими на ночь растирают кожу над воспаленными суставами, вплоть до снижения выраженности болевого синдрома.
Полынь
Компрессы с полынью также ценятся среди пациентов с артритами, поскольку обдают противовоспалительным действием. Для их получения берут 1 ст. л. сухой измельченной полыни, заливают 200 мл почти закипевшей воды и кипятят на протяжении нескольких минут. Подобный отвар оставляют на 2 часа для настаивания, после чего аккуратно процеживают и применят в форме ночных компрессов в течение 20-ти суток.
Бодяга
Воспаление суставов можно попробовать снять и с помощью такого средства как бодяга, порошок которой (5 грамм) следует соединить с 1 ст. л. сливочного масла. Получившуюся своеобразную мазь нужно втирать в пораженные суставы пальцев, а сверху надевать хлопчатую перчатку. Как правило, мазь с бодягой оставляют на руке на всю ночь, продолжая курс лечения вплоть до исчезновения воспалительного процесса.
Белокочанная капуста
Лечение при помощи капустного листа практикуется при различных локальных воспалениях, включая и артритические проявления. Немного отбив один мясистый лист капусты, необходимо на 12 часов зафиксировать его бинтом на больной кисти, проводя такие процедуры каждый день 2 недели подряд.
Хрен и мед
Нелишним в деле борьбы с суставным воспалением будет всем известный корень хрена в сочетании с цветочным медом. Подобное средство готовится посредством 5-ти минутного кипячения 1 кг мелко натертого корня хрена в 4 л воды и дальнейшего смешивания остывшей и процеженной массы с 0,5 кг цветочного меда. Такую готовую смесь на протяжении следующих 20-ти дней в объеме 200 мл употребляют перорально однократно в сутки после основной еды.
Редька
По некоторым свидетельствам свежевыжатый сок черной редьки, благодаря своему природному антибактериальному действию и согревающей эффективности, способен значительно снизить воспаление в районе артритических поражений. Используют его путем 4-х разового в день втирания в кожу вокруг проблемных суставов, уделяя такому лечению в целом не менее 20-ти суток.
Редька и картофель
Дабы снизить не только воспаление, но и болевые ощущения при артрите, иногда применяют аппликации с редькой и картофелем. Для этого тщательно смешивают в равных пропорциях (по 1 ст. л.) заранее измельченную черную редьку, картофель и петрушку, после чего используют полученную смесь в компрессах. Такое лекарство обычно оставляют на поврежденных суставах вплоть до исчезновения боли и при необходимости меняют через каждые 4 часа.
Лавровый лист
Противовоспалительные свойства лаврового листа в числе других растительных средств позволяют ему благотворно воздействовать на пораженные артритом суставы. В этом случае следует всего лишь 2 ч. л. тщательно измельченного лаврового листа на 12 часов запарить в термосе с использованием 200 мл крутого кипятка и после процеживания принимать внутрь натощак по 50 миллилитров. Общий курс такой терапии продолжается 2 недели.
Одуванчик
Цветочный настой из одуванчика также способствует снижению воспаления и болевого синдрома при артритах. Для получения этого лекарственного состава нужно до половины плотно наполнить литровую банку свежими цветками данного растения и до краев залить медицинским спиртом. Далее в течение 3-х недель лекарство необходимо настаивать в темном месте и ежедневно его встряхивать. Спустя это время настой процеживают и используют на протяжении 20-ти суток для растираний страдающих суставов (до 6-ти раз в день).
Профилактика
Абсолютно обезопасить собственные руки от развития такой патологии как артрит на сегодняшний день невозможно, однако существенно снизить вероятность его возникновения способен каждый. Для того чтобы уберечь суставы пальцев от их воспаления необходимо лишь придерживаться определенных нижеприведенных правил:
- по возможности не обременяйте пальцы рук чрезмерными нагрузками в отношении бытовой и рабочей деятельности;
- старайтесь не допускать переохлаждения и постоянного перенапряжения кистей;
- придерживайтесь принципов здорового и полноценного питания с дополнительным сезонным приемом недостающих витаминов и минералов;
- контролируйте показатели собственного веса, не допуская развития ожирения;
- укрепляйте мышечные ткани кистей при помощи соразмерных спортивных упражнений;
- в обязательном порядке под контролем врача-специалиста проходите полное лечение всех без исключения инфекционных заболеваний и хронических патологий;
- ограждайте себя от стрессовых и прочих подобных негативных ситуаций;
- откажитесь от всех вредоносных привычек (табакокурение, алкоголь и пр.);
- практикуйте полноценный ночной отдых (не менее 8-ми часов сна в сутки).
У детей
В детском возрасте диагностируемые артриты в большинстве случаев носят инфекционный характер и развиваются вследствие присутствующей в организме ребенка очаговой или общей инфекции. Несколько реже в качестве первопричины артритического поражения суставов у детей выступают различные травмы и нарушения внутренних обменных процессов. Специфика реактивности растущего организма очерчивает некоторые патогенетические характеристики данной группы заболеваний в отношении их формирования в разные возрастные периоды.
Так, в младшем возрасте наблюдается, как правило, бактериально-метастатический путь развития инфекционных артритов, причем поражение затрагивает всего один-два и намного реже несколько суставов. В этом случае течение болезни нередко тяжелое с высоким шансом неблагоприятного исхода для пациента (например, септический артрит у младенцев). В старшей детской возрастной группе по большей части отмечаются циклические токсико-аллергические артриты, протекающие доброкачественно по типу синовита с последующим самоустранением всей негативной симптоматики.
Суть и методики лечение артритов у детей в целом ничем не отличаются от таковых у взрослых, с учетом продолжающегося у ребенка роста организма, включая его костную систему. В подавляющем большинстве случаев вовремя проведенная терапия приводит к полному выздоровлению суставов, однако запускать подобные патологии и заниматься их самолечением ни в коем случае нельзя.
В статье «Причины и симптомы возникновения артрита пальцев рук» использованы материалы:
http://www.neboleem.net/artrit-palcev-ruk.php
http://sustavlive.ru/artrit/lechenie-palcev-ruk.html