Причины развития артроза лучезапястного сустава, методы лечения
Артроз лучезапястного сустава
Лучезапястный сустав принадлежит к числу сложных и имеет больше двух суставных поверхностей. Он отличается от большинства других сочленений, ведь в нем участвует 5 костей (а не 2-3, как, например, в коленном или межфаланговых суставах). Кроме того, лучезапястный сустав имеет две оси вращения, а не одну. Это позволяет двигать кистью во всех направлениях и даже вращать ею по кругу.
Такой сложный механизм идеально приспосабливает руки человека к труду и жизни, связанной с множеством мелких манипуляций. Поэтому выход из строя этого сочленения часто приводит к инвалидности и потере трудоспособности. Каковы же симптомы и лечение артроза лучезапястного сустава?
Специфика дегенеративного процесса в лучезапястном суставе
Хрупкий лучезапястный сустав находится между кистью и предплечьем и, в силу расположения, подвержен травмам (например, при падении). В повседневной жизни он испытывает меньшую функциональную нагрузку, чем, скажем, коленный сустав, но и суставная капсула у него тоньше. А потому сочленение уязвимо даже перед незначительными повреждениями.
Случаи артроза лучезапястного сустава из-за естественного истирания хряща крайне редки. А потому, при отсутствии травм или трудовых нагрузок, вероятность заболеть им невысока.
Причины артроза запястья руки
Артроз лучезапястного сустава бывает как первичным (идиопатическим), так и вторичным заболеванием. В первом случае мы имеем здоровый сустав, который изменяется вследствие неблагоприятного внешнего воздействия — травмы или профессиональной нагрузки. Во втором — основное заболевание (подагра, сахарный диабет, ревматоидный артрит и другие), которое приводит к дегенеративно-дистрофическим изменениям в хряще.
Среди факторов, которые влияют на развитие артроза лучезапястного сустава, стоит упомянуть:
- избыточная нагрузка и травмы — спортивные, бытовые, профессиональные (например, при работе с вибрирующим инструментом);
- переохлаждение;
- запущенные воспалительные патологии в суставе или околосуставных тканях;
- эндокринные и метаболические нарушения и аутоиммунные заболевания;
- перенесенные инфекции (реактивный артрит, туберкулез, остеомиелит и другие);
- женский пол;
- наследственность (влияет на синтез коллагена, плотность хряща, анатомические особенности строения).
Травма — самая распространенная причина заболевания. При этом симптомы разрушения хряща могут возникнуть не сразу, а спустя несколько лет.
Остеоартроз запястья нередко начинается на почве артрита лучезапястного сустава и протекает параллельно с ним. Возрастные факторы мало влияют на развитие артроза запястий. Хотя климактерические гормональные изменения у женщин могут сказываться на прочности хрящевой ткани.
Чаще всего остеоартроз лучезапястного сустава наблюдается у строителей, мастеров, работающих на заводе и в отделке помещений, офисных сотрудников, а также профессиональных спортсменов (особенно при наличии вывихов и подвывихов, переломов, разрывов и растяжений связок или мышц).
Признаки артроза лучезапястного сустава
На ранних стадиях артроз редко дает о себе знать. Ключевые признаки артроза лучезапястного сустава наблюдаются уже при остеоартрозе — когда в деструктивный процесс переходит на головки костей. Болезнь начинается с дискомфорта в области запястий, чувства сдавленности, несильной боли. Ощущения чем-то напоминают крепатуру.
Характерно, что признаки артроза лучезапястного сустава наблюдаются только в этом сочленении, в то время как другие ревматические заболевания как бы “перебираются” с одного сустава на другой, затрагивая одновременно несколько.
При появлении следующих симптомов необходимо как можно скорее обратиться к ревматологу:
- боль в суставе, особенно, после физической нагрузки на запястье, стресса, обезвоживания;
- затрудненность в движениях, которая нарастает по мере прогрессирования болезни (ощущение, будто что-то мешает свободно двигать рукой);
- опоясывающая припухлость запястий, отечность кисти (необязательный, но характерный симптом);
- грубый хруст в суставе (вместо нормального легкого щелчка появляется глухой звук, который сопровождается напряжением).
Боль усиливается при ношении тяжелых предметов, даже кратковременном удержании их на весу, попытках опереться на ладонь, размять кисть. Характерно, что она ощущается в крайних для сустава позициях (изгиб кисти) или при конкретных движениях. Если после травмы воспалительная симптоматика в суставе наблюдается больше 2-3 недель, это также может быть симптомом начала заболевания.
На первых порах скованность движений может уходить после теплых ванночек и разминки. Со временем подвижность снижается на 30-50%. Когда хрящ стирается и обнажается поверхность субхондральных костей, появляются остеофиты. Они ощутимо препятствуют движению в запястье — в особенности, при попытке вращать кистью. Мелкие отломки остеофитов иногда вызывают у больных острую боль и сильный воспалительный процесс.
Определить наличие остеофитов, как правило, можно только на рентгенограмме. Но пациент может распознать его по следующим проявлениям:
- ограниченная амплитуда движений в суставе;
- частые неконтролируемые спазмы, в особенность, при движении кистью;
- при пальпации обнаруживаются твердые подкожные бугры.
Боли при остеоартрозе запястья следует отличать от артритных. При артрите болевой синдром усиливается в состоянии покоя, ближе к ночи, с утра. При остеоартрозе, напротив, в дневное время — при повседневной активности.
Деформация лучезапястного сустава при заболевании, как правило, отсутствует, как и сильные отеки. Характерное “истончение” конечности из-за мышечной атрофии тоже свойственно, скорее, артриту запястья, чем артрозу.
Степени и стадии артроза лучезапястного сустава
Прогрессирование запястного артроза идет медленно — до того, как лечить артроз запястья, пациент может десяток лет не подозревать о болезни. В ходе заболевания хрящ становится мягким, нарушается процесс его регенерации, а синовиальная жидкость теряет вязкость и вырабатывается все в меньших количествах. В зависимости от тяжести поражений, выделяют следующие этапы заболевания.
Артроз лучезапястного сустава 1 степени
Деструктивный процесс начинается со слабых болей в запястье, которые периодически беспокоят пациента — в основном, после сильных нагрузок. Они не настолько интенсивны, чтобы больные придавали им значение. Ощущения при артрозе лучезапястного сустава 1 степени напоминают ноющую боль — как “на погоду”. Наблюдается легкая отечность и другие симптомы ухудшения трофики тканей, изредка слышен негромкий хруст.
На этом этапе симптомы и лечение артроза запястья руки переносятся достаточно легко.
Артроз лучезапястного сустава 2 степени
На этом этапе хрящ почти полностью разрушен на опорных поверхностях. Появляются первые костные наросты, хорошо заметные на рентгеновских снимках, и явное сужение суставной щели. Иногда остеофиты можно прощупать самостоятельно. Боль становится хорошо ощутимой, практически ежедневной. При движениях больной слышит отчетливый хруст. Руки устают быстрее, чем раньше. Полное выздоровление при артрозе лучезапястного сустава 2 степени уже невозможно, но лечение сильно улучшает качество жизни пациента, поддерживает мобильность в суставе.
Артроз лучезапястного сустава 3 степени
Скованность движений в запястье налагает на больных существенные ограничения в повседневной жизни. В конечном итоге развивается анкилоз — полная неподвижность сустава, фактически его сращение, поскольку края остеофитов смыкаются. Боли при запущенном остеоартрозе лучезапястного сустава беспокоят пациента даже в покое, после отдыха. Изгиб руки может выглядеть неестественным. На третьей стадии возможно только хирургическое лечение. Полностью восстановить подвижность не удается даже после операции.
Обратите внимание: чем хуже развиты мышцы вокруг пораженного сустава, тем скорее прогрессирует болезнь. Здоровый мышечный аппарат поддерживает естественное положение сустава, обеспечивает его питание, защищает от повреждений.
Диагностика артроза лучезапястного сустава
Симптомы остеоартроза запястья схожи с другими ревматическими заболеваниями. А потому для точной постановки диагноза врачу требуются такие исследования:
- устный опрос пациента, пальпация и осмотр пораженного сустава на первичном приеме;
- рентген (2 или 3 проекции);
- общий анализ крови и, по надобности, мочи;
- биохимическое исследование крови по показаниям;
- анализ на ревмофактор;
- УЗИ, компьютерная или магнитно-резонансная томография по показаниям;
- изредка может понадобиться пункция для оценки синовиальной жидкости.
Лечение остеоартроза лучезапястного сустава
Лечебная стратегия подбирается врачом индивидуально для каждого случая, с учетом причин болезни, ее стадии, общего состояния здоровья пациента и прочего.
Стандартный подход к лечению артроза лучезапястного сустава 1-2 стадии включает:
- фармакотерапию;
- физиотерапию;
- лечебную гимнастику;
- здоровую диету и распорядок дня;
- соблюдение ортопедического режима.
На 3-й стадии обычно принимается решение об операции.
Лечение артроза лучезапястного сустава проходит постадийно. На первом этапе “гасится” острая симптоматика болезни — боль и воспаление. На втором требуется комплексное лечение. И третий подразумевает реабилитацию пациента для закрепления эффекта после основного курса.
Из-за трудностей в повседневных делах, вызванных дисфункцией сустава, физическому дискомфорту сопутствует психологический. Он может быть одним факторов развития депрессии, поэтому пациентам рекомендован визит к психологу и реабилитологу.
Примите к сведению, что остеоартроз лучезапястного сустава — хроническая болезнь, которая требует пожизненного соблюдения рекомендаций врача.
Фармакотерапия
В лечении артроза лучезапястного сустава применяются следующие фармакологические группы:
- негормональные противовоспалительные средства (НПВП, НПВС) — курсами до 21 дня;
- глюкокортикостероиды;
- хондропротекторы;
- сосудорасширяющие;
- миорелаксанты;
- витаминно-минеральные комплексы;
- при инфекционной природе заболевания — антибиотики
Они используются в виде таблеток и капсул, мазей, гелей, компрессов и внутрисуставных инъекций.
Самолечение артроза запястья руки может привести к ухудшению состояния и проблемам с ЖКТ. Перед использованием всех препаратов (кроме мазей и гелей для местного применения) необходима консультация врача.
Таблетки при остеоартрозе лучезапястного сустава
Для снятия воспаления, боли и жара при артрозе запястий рекомендованы такие таблетированные НПВП: диклофенак, целекоксиб, ибупрофен, пироксикам, кетопрофен, индометацин, мелоксикам, нимесулид, бутадион и другие.
Чтобы предотвратить дальнейшую дегенерацию хряща врач может назначить хондропротекторы: артракам, терафлекс, структум и другие.
В период реабилитации используют препараты для улучшения трофики тканей (пентоксифиллин, трентал) и расслабления мышц (мидокалм, тизалуд).
Если устранить боль при помощи таблеток не удается, к назначению присоединяют инъекции: метилпреднизолон, дипроспан, гидрокортизон.
Мази при остеоартрозе запястья
В качестве вспомогательных средств в лечении остеоартроза лучезапястного сустава широко применяются нестероидные мази и кремы для наружного применения. Например, фастум гель, долгит, вольтарен, диклак гель, кетопрофен. В этих лекарственных формах выпускают и хондропротекторы — артракам, структум, румалон.
Хирургическое лечение артроза лучезапястного сустава
Оперативное лечение артроза запястья руки показано при 3-й стадии болезни и в тех случаях, когда другие методы оказываются неэффективны.
Предпочтение отдается плазмолифтингу и эндопротезированию синовиальной жидкости — малоинвазивным манипуляциям. Они подразумевает инъекцию плазмы крови пациента или гипоаллергенных полимеров, выполняющих роль смазки, непосредственно в суставную сумку. Это помогает снять боль и воспаление, предупредить эрозию на срок до 24 месяцев.
Если этот подход не дает результата, возможно вживление пирокарбонового протеза, который имитирует хрящ. Он не крепится к проксимальным костям, а потому не расшатывается и может быть использован даже при сильном повреждении суставных поверхностей.
Если сохранить или протезировать сустав не представляется возможным, врачи прибегают к последнему средству ортопедической хирургии — парциальному артродезу с вживлением титановой пластины. При этой операции разрушенный сустав полностью обездвиживают. Так что пациента хотя бы не будут беспокоить постоянные боли и воспаление.
Физиотерапия при остеоартрозе запястья
Для снятия боли, улучшения микроциркуляции и подвижности при артрозе запястья применяются следующие методики:
-
иглорефлексотерапия;
- мануальная терапия;
- лечебный, в т.ч. точечный массаж;
- постизометрическая релаксация;
- гирудотерапия;
- инфракрасная лазерная терапия;
- магнитотерапия;
- криотерапия;
- электрофорез;
- ультразвуковая терапия;
- электромиостимуляция;
- парафинотерапия;
- бальнеотерапия (лечебный грязи);
- другие.
Физиотерапевтическое лечение артроза лучезапястного сустава проводится курсами.
Лечебная гимнастика (ЛФК) при остеоартрозе запястья
Лечебная физкультура при остеоартрозе запястья призвана закрепить результаты терапии, предотвратить дальнейшую эрозию и помочь пациенту вести полноценный образ жизни.
Объем и виды упражнений определяются инструктором ЛФК в индивидуальном порядке. Упражнения (например, сведение-разведение обозначенных пальцев, вращение предплечьем при фиксации запястья здоровой рукой) выполняются 2-3 раза в день в качестве разминки и не требуют специальных снарядов. Желательны упражнения с мячом.
Питание при остеоартрозе запястья
Здоровое питание при лечении остеоартроза лучезапястного сустава поддерживать несложно. Нужно исключить из рациона соленые продукты, ведущие к обезвоживанию, а также включить в рацион блюда, богатые витамином А (антиоксидант, рост хондроцитов), С (защита клеток, синтез коллагена), Е (защищает хрящ от свободных радикалов и старения), В5 и В6 (регенерация, снимают воспаление), медью (улучшает клеточное “дыхание” хряща), селеном (для выработки синовиальных ферментов), а также коллагеном, хондроитином и глюкозамином (строительный материал для хрящевой ткани).
Для этого ешьте рыбу, мясо и костные бульоны, холодец, фруктовые желе, хрящи животного происхождения, пророщенную пшеницу и другие полезные продукты.
Профилактика артроза лучезапястного сустава
Профилактические меры при артрозе запястья показаны и в том случае, если болезнь уже была диагностирована. Соблюдение рекомендаций позволяет сберечь проксимальные кости и избежать инвалидности.
Помимо здорового питания, насыщенного витаминами и коллагеном, важно поддерживать водно-солевой баланс за счет поступления в организм достаточного количества воды (2-3 литра в сутки) и электролитов. Это способствует выработке синовиальной жидкости и поддержанию эластичности клеток хрящевой ткани.
Также рекомендовано ношение бандажей, эластичных повязок и напульсников.
Не пренебрегайте самомассажем, прогреванием рук в теплой воде. Обязательно включите в рацион хондропротекторы с глюкозамином и хондроитином.
По возможности избегайте травм и переохлаждения, своевременно лечите гормональные сбои. Ежедневно уделяйте хотя бы 5 минут 2 раза в день лечебной гимнастике. Ограничьте упражнения с гантелями.
Ваша трудоспособность — в Ваших руках. Будьте здоровы!
Симптомы и лечение артроза лучезапястного сустава


Артроз лучезапястного сустава чаще всего развивается вследствие травмирования запястья — это могут быть переломы, ушибы, растяжения, вывихи. Однако есть ряд других причин, которые встречаются реже. В статье подробно описывается болезнь, даётся классификация, указываются причины её развития, симптомы и рассматриваются самые эффективные способы лечения.
Этиология и патогенез

Существует большое количество причин развития артроза кисти лучезапястного сочленения, однако самые распространённые из них — связанные с травмированием. По этой причине болезнь считается профессиональной среди спортсменов, работников сельского хозяйства, швей, строителей, наборщиков текста. Отрицательное воздействие на сустав усугубляется под воздействием вибрации, возникающей при работе с отбойным молотком, дрелью, другими инструментами.
Посттравматическая форма проявляется через несколько недель, а иногда и месяцев после травмы. К этому времени все последствия в большинстве случаев заживают, проходит болевой синдром.
Другие причины болезни:
- процессы старения;
- травмирования;
- врождённые дефекты;
- воспалительные процессы, аутоиммунные заболевания (ревматоидная форма);
- заболевания эндокринной системы, нарушения гормонального баланса;
- переохлаждения;
- недостаток полезных веществ,
- болезни соединительной ткани.

Хрящевые и суставные ткани начинают разрушаться вследствие механического повреждения. На фоне процессов разрушения хрящевых тканей происходит деформация суставов, на тканях образуются специфические разрастания в форме шипов (остеофиты). Практически сразу возникают воспаления — при ревматоидном и других формах артрита.
Вследствие кальцификации связок снижается эластичность хрящей, существует риск повреждения сформировавшимися остеофитами нервов, сосудов.
На поздних стадиях развития болезни происходит поражение околосуставных тканей, которые находятся за границами суставной капсулы.
Патогенез
Основные сценарии развития артроза лучезапястного сустава:
- Первый – связан с нарушенным состоянием хряща, патологии возникают на молекулярном уровне, одной из причин считается (мутация) генов коллагеновых цепей 2 типа. Вещество считается одним из основных строительных материалов хрящей, дефицит коллагена оказывает негативное влияние на функциональность сустава. Вследствие снижения амортизационных свойств повышается сила трения между суставами сочленения.

- Второй вариант развития событий наблюдается вследствие травмирования, а также под воздействием повышенных нагрузок. По причине повышенного давления происходит нарушение целостности тканей, наблюдается усиление трения. С течением времени происходит деформация костей, хрящевой слой истончается, снижаются амортизационные свойства суставов. Происходит также снижение объёмов суставной жидкости, скорость развития разрушительных процессов увеличивается. На поверхности хряща образуются трещины, которые по мере развития болезни распространяются всё шире, поражают костные ткани. В дальнейшем происходит формирование небольших патологических полостей, которые наполняются межклеточной жидкостью. Вследствие давления кист нарушается функционирование питающих хрящ кровеносных сосудов, возникает недостаток питательных веществ в тканях.
Симптомы
Признаки, симптомы артроза лучезапястного сустава зависят от стадии болезни, выраженности патологического процесса. Основным симптомом считается болевой синдром на поражённом участке, интенсивность которого повышается по мере развития патологического процесса. Процесс сопровождается воспалениями, отёчностью, на тяжёлых стадиях происходит снижение подвижности лучезапястного сустава. 
При наличии следующих симптомов рекомендуется обратиться за медицинской помощью:
- болевой синдром при движениях;
- избыточная утомляемость;
- хруст, скрипы, другие звуки, которые возникают при движении сустава;
- отёчность, увеличение размеров поражённого сустава.
Отдельно следует упомянуть локализацию воспалительного процесса, поражение обеих костей возникает достаточно редко, чаще всего страдает правая конечность. Это связано с тем, что правая рука для большинства людей считается доминирующей, именно она страдает от нагрузки.
Степени и виды болезни
Самой распространённой болезнью считается посттравматическая форма артроза, это связано с повышенными нагрузками на кисти. Стоит отметить, что почти все виды артроза называют деформирующими, поражение лучезапястного сустава — не исключение. При наличии перелома запястья со смещением риск развития деформаций значительно повышается.
Существуют также разные степени болезни, по мере развития болезни выраженность патологической симптоматики усиливается.
Выбор лечения зависит от стадии болезни:
- Первая – умеренная боль возникает во время движения в поражённом запястье. В утренние часы возникает скованность в движениях, на истончившемся хряще образуются трещины. Процесс сопровождается загустением суставной жидкости, вследствие чего затрудняется доставка питательных веществ к тканям.
- Артроз 2 степени лучезапястного сустава — сопровождается сильной болью во время движений. Болевой синдром сохраняется на протяжении длительного времени, объём двигательной активности снижается примерно на 30%, затруднены боковые движения. Данное состояние сопровождается ослаблением связок, мышечных тканей.
- Третья стадия — симптоматика выражена сильнее всего, патология сопровождается сильной болью, двигательная активность сокращается наполовину. Иногда ситуация приводит к смещению оси кисти, наблюдается укорочение или изгибание конечности.

Обращаться за медицинской помощью рекомендуется как можно раньше, при наличии первых симптомов болезни. Следует учитывать, что даже незначительная боль свидетельствует об артрозе, который может вызвать серьёзные осложнения.
Диагностика
Диагностика начинается с осмотра и пальпации поражённого участка, врач сравнивает суставы на обеих руках, особое внимание уделяется анатомическим особенностям (выступы, складки, ямочки). Исчезновение или образование дефектов на нестандартном участке свидетельствует о наличии патологического состояния, но это не всегда артроз.
О наличии воспалительного процесса свидетельствуют покраснение кожных покровов, повышенная температура.
Поставить точный диагноз поможет использование следующих способов диагностики:
Рентгенография — один из методов исследования болезни
- рентгенография — позволяет рассмотреть расстояние щели между суставами, распознать наличие костных отростков, суставную структуру сустава;
- клинический анализ крови, анализ на ревмопробы;
- УЗИ — помогает получить информацию о состоянии близкорасположенных костных тканей;
- МРТ — проводится при наличии сомнений в диагнозе.
На основании полученных данных врач делает диагностику.
Традиционное лечение
В рамках лечения остеоартроза лучезапястного сустава используется комплексный подход, применяются препараты,физиотерапевтические методики, лечебная физкультура, народные рецепты.
Артроз лучезапястного сустава: причины, симптомы, лечение
Артроз лучезапястного сустава чаще всего развивается у тех, чья деятельность связана с чрезмерными нагрузками на кисть. Это спортсмены, строители, компьютерные работники, игроманы. Механизм развития патологии связан с тем, что концы сочленения из-за продолжительного напряжения вызывают перерождение суставных тканей. Хрящ высыхает, истончается, теряет свою подвижность, в его структуре начинаются дегенеративные преобразования.

Общие сведения
Важно знать! Врачи в шоке: «Эффективное и доступное средство от АРТРОЗА существует. » Читать далее.
При развитии артроза в лучезапястном суставе дистрофические процессы распространяются на хрящи, сухожилия, обеспечивающие подвижность кистей. Выявить болезнь на раннем этапе очень сложно, так как она не имеет никаких характерных признаков и практически не беспокоит человека. Сильные внешние деформации отмечаются, когда возникновение артроза спровоцировано механическими травмами (переломами, вывихами) кисти. На начальной стадии заболевания могут проявиться хрустом или щелчками в кисти при вращении или сгибании/разгибании конечности, скованностью, ограничением подвижности.
Сухожилия и хрящи теряют объем синовиальной жидкости, становятся более хрупкими к любому воздействию. Пересыхание структур ведет к их истончению, шероховатости, потере амортизационных свойств.
Течение болезни — длительное и медленное. Долгое время она не проявляет себя, но сустав продолжает разрушаться. Без лечения артроз лучезапястного сустава приводит к сильной деформации, что существенно ухудшает качество жизни человека.
Мнение травматолога на видео:
Причины развития
Большинство всех диагностированных артрозов связаны с трудовой деятельностью человека. Около 75% всех больных – спортсмены, строители, компьютерные работники, представители других профессий, чей род деятельности связан с систематическими нагрузками на запястья.
Всего выделяют четыре основные причины развития артроза лучезапястного сустава:
- Посттравматический фактор. Заболевание возникает вследствие микротравм и регулярных нагрузок на запястья рук у программистов, педагогов, музыкантов, теннисистов, прочих представителей профессий, связанных с нагрузкой запястья.
- Воспалительный фактор. Болезнь может быть спровоцирована хроническими проблемами в области хрящей, сухожилий запястья.
- Возрастной фактор, как следствие появления дегенеративных патологий внутрисуставных структур. Дистрофические нарушения возникают на фоне заболеваний эндокринного характера, проблем с обменом веществ, прочих признаков старения организма.
- Факторы смешанного типа: несросшиеся переломы, врожденные аномалии.
Состояние суставов зависит от того, насколько хорошо они снабжаются питательными веществами и кислородом. Циркуляция крови в сосудах в поврежденных сочленениях существенно снижена, а при прогрессировании болезни кровь вообще застаивается.
Развитие болезни зависит от состояния мышц: чем они крепче, прочнее, сильнее, тем легче им удерживать сустав в правильном положении. Поэтому у мужчин артроз протекает легче, чем у женщин.

Артроз лучезапястного сустава может появиться в результате комбинации провоцирующих факторов. Травмы, микротравмы — это одна из распространенных причин заболевания, причем вызвать его могут даже незначительные повреждения структур. Вообще суставы имеют тенденцию к самовосстановлению. Но иногда процесс заживления может омрачиться повторной травмой или присоединением инфекции. Тогда риски развития осложнений и дегенеративных изменений возрастают.
Повторные травмы, именуемые хроническими, вызывают внутри хрящей и связок множество повреждений: надрыв суставной капсулы, уменьшение объема синовиальной жидкости, микроперелом костных структур. Все эти изменения значительно повышают шансы образования артроза. Спровоцировать его может не вылеченная травма, если человек преждевременно начинает разрабатывать, чрезмерно нагружать еще не полностью восстановившийся сустав.
Генетика играет важную роль в развитии заболеваний опорно-двигательного аппарата. Сам артроз по наследству не передается, а вот факторы, провоцирующие его появление, имеют такую тенденцию. Это нарушения метаболизма, строения хрящевых структур, костей и прочие врожденные аномалии.
Стадии и симптомы
Признаки заболевания зависят от стадии ее развития. Степень тяжести определяется по результатам клинической картины болезни и рентгенологического исследования. Различают три стадии артроза лучезапястного сустава:
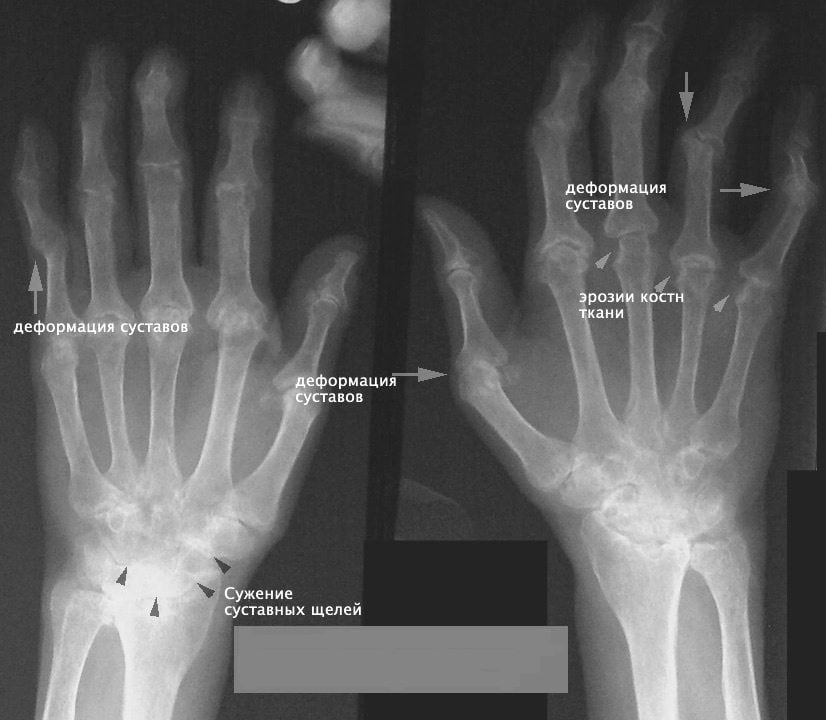
- I стадия. Характеризуется незначительным ограничением подвижности и болевым синдромом. На рентгеновском снимке визуализируются сужение суставной щели и заострение краев поверхностей сочленений;
- II стадия. Усиление основных симптомов: боли умеренной интенсивности, более ощутимое ограничение подвижности. На снимке врач отметит более выраженное сужение суставной щели, формирование остеофитов по поверхностям сочленения;
- III стадия. Характеризуется значительным ограничением подвижности в запястье, сопровождающимся сильными болями в суставах рук. На рентгеновском снимке суставная щель полностью отсутствует, видны кистовидные костные разрастания, видимая деформация сустава.

Вся описанная симптоматика характеризует степени тяжести болезни, но артроз лучезапястного сустава имеет ряд дополнительных признаков, свойственных для заболевания:
- боль различной интенсивности. Чаще всего ноющие ощущения появляются в человека ночью и в предутренние часы. В зависимости от стадии болезни характер неприятных ощущений может быть настолько сильным, что больной часто просыпается;
- воспаление тканей. Проявление этого признака зависит от стадии заболевания и особенностей его течения, наличия сопутствующих заболеваний, травм и прочих провоцирующих факторов;
- ограничение подвижности, скованность в сочленении. Чаще всего эти симптомы отмечаются утром после пробуждения или пребывания конечностей в состоянии длительного покоя;
- отек, покраснение тканей. Такие симптомы появляются на фоне активного воспалительного процесса. Продолжительность периода обострения составляет от 5 до 15 дней и регулярно повторяется через определенные промежутки времени. Периоды хронического течения в зависимости от стадии болезни сокращаются;
- двигательная активность в области пораженного сочленения вызывает временное облегчение. Такое состояние характерно для артрозов. Если же подобные действия вызывают усиление боли — в организме есть другие воспалительные процессы;
- деформация костного сочленения с образованием подкожных узлов. Возможно образование подагрических тофусов на пальцах;
- повышение температуры тела на фоне воспалительного процесса в сочленении.
При появлении какого-то одного или комплекса признаков следует обратиться к ортопеду за консультацией. Если упустить время и не начать лечение артроза лучезапястного сустава, то избежать операции не удастся.
Заниматься самолечением заболевания нельзя, чтобы не усугубить его течение. Грамотную и эффективную терапию может назначить только врач.
Диагностические мероприятия
Выявить артроз лучезапястного сустава поможет врач-ортопед. Чем раньше это будет сделано, тем легче будет процесс восстановления хрящевой ткани. Методы диагностики:
- Осмотр и сбор анамнеза. Побеседовав с пациентом, врач установит причину возникновения болезни, определит провоцирующие факторы, посоветует, как снизить нагрузки на сустав, чтоб они не усугубляли его состояние во время лечения.
- Лабораторные тесты: клинический анализ крови из пальца, анализ на ревмопробы из вены. Эти показатели нужны для исключения артрита. Заболевание по клинической картине напоминает артроз, но методы терапии для них разные. Важна дифференциация одного заболевания от другого.
- Рентген. Делается в двух проекциях, чтобы врач мог рассмотреть размер суставной щели, наличие остеофитов и общую структуру сочленения.
- Магнитно-резонансная томография. Этот метод исследования необходим, если у врача остались сомнения по поводу диагноза.
На основании полученных результатов можно будет подобрать больному наиболее эффективный метод терапии.
Лечение артроза
Обычно лечение артроза лучезапястного сустава проходит достаточно эффективно при условии, что больное сочленение не подвергается нагрузкам, надежно зафиксировано и пациент соблюдает предписания врача. Методы борьбы с болезнью:
- лекарственная терапия;
- физиолечение;
- занятия лечебной физкультурой;
- диета;
- ортопедический режим;
- народная медицина.
Лекарственная терапия
Для лечения артроза лучезапястного сустава используют нестероидные противовоспалительные препараты. Эта группа средств направлена на устранение воспаления в области повреждения, мягкое обезболивание. В нее входят Аспирин, Диклофенак, Индометацин, Ибупрофен, Кетопрофен и другие.
Даже «запущенный» АРТРОЗ можно вылечить дома! Просто не забывайте раз в день мазать этим.

НПВП считаются относительно безопасными препаратами для организма, но принимать их длительное время не рекомендуется из-за возможности появления побочных реакций. Лекарства имеют противопоказания: болезни желудка, сердца, почек, печени. Длительный прием средств из этой группы оказывает разъедающее действие на слизистые оболочки.
Кортикостероидные препараты относятся к сильнодействующим лекарствам на гормональной основе. При лечении дистрофических нарушений костно-хрящевого аппарата эта группа медикаментов очень эффективна. Лекарства назначают при сильных болях, когда нестероидные препараты не дают нужного результата. По интенсивности действия все кортикостероиды бывают нескольких типов:
- слабые — Преднизолон, Гидрокортизон;
- умеренного действия — Фторокорт, Лоринден;
- сильные — Эколом, Адвантан, Тридерм;
- очень сильные — Кловейт.

Чем сильнее средство, тем с большей осторожностью его нужно принимать.
Лечение кортикостероидными препаратами должно быть назначено только врачом. Их самопроизвольное применение опасно для здоровья.
Лекарства этой группы также имеют противопоказания. Использовать их с осторожностью следует при диабете, гипертонии, язве желудка, психических расстройствах. Сильнодействующие препараты лучше не использовать для лечения, если есть нарушения свертываемости крови, инфекции, тяжелые формы остеопороза. Кортикостероиды неэффективны при наличии у больного чрезсуставного перелома, при прогрессирующей деструкции и неизлечимой медикаментозно деформации сочленения.
К побочным реакциям относят нервную возбудимость, раздражительность, мышечные спазмы, неконтролируемый набор веса, у детей задержка роста, проблемы с пубертатным периодом.
Хондропротекторы – препараты, улучшающие состояние хрящей и способствующие их восстановлению, питающие и увлажняющие суставные структуры. Первые результаты отмечаются спустя длительное время от начала приема лекарств этой группы, т. к. процессы регенерации протекают очень медленно. Наиболее эффективны хондропротекторы при лечении артроза лучезапястного сустава ранних стадий. Если начался процесс деформации сочленения, то использовать эти препарат уже не имеет смысла.

Список средств для восстановления хрящевых структур обширен. Хондроксид, Терафлекс, Артродар, Алфлутоп и другие широко применяются в лечебной практике костно-связочных патологий. Абсолютных противопоказаний к их использованию нет. К относительным относят беременность, период грудного вскармливания и аллергию на отдельные компоненты препарата.
Физиотерапия
Цель физиотерапевтического лечения заключается в стимуляции процессов метаболизма, улучшения кровообращения, укрепления хрящевой ткани. Перечень лечебных процедур достаточно широк. Для устранения воспалительных процессов используются грязетерапия, электрофорез, магнитотерапия, криотерапия, массаж с применением противовоспалительных средств (гелей, мазей, кремов), обертывания, компрессы.
Антон Епифанов о физиотерапии для суставов:
- Грязелечение — безопасная методика. Ее влияние на течение заболевания недостаточно эффективно, но позволяет убрать неприятные мучительные симптомы. Чаще всего грязетерапию сочетают с медикаментозным лечением, применяют в качестве реабилитационных мероприятий после хирургических операций. В качестве самостоятельного лечения ее лучше не использовать. Никаких противопоказаний, кроме возможных аллергических реакций на состав лечебной смеси, нет;
- электрофорез представляет собой процедуру воздействия на пораженный участок электрическим током. Она позволяет избавить человека от сильной боли в запястье. Если проводить лечение в комплексе с противовоспалительными гелями или мазями, то можно достичь хорошего терапевтического эффекта;
- магнитотерапия направлена на уменьшение боли, замедление дегенеративного процесса, сопровождающего течение артроза лучезапястного сустава. Целесообразно интегрировать методику с активными физическими упражнениями, способствующими укреплению мускулатуры вблизи поврежденной области. Можно использовать электростимуляцию вместе с магнитным лечением для улучшения мышечной силы без перегрузки сочленения в период реабилитации пациента;
- криотерапия направлена на устранение болевого синдрома. Методика представляет собой лечение холодными температурами. Локализованное и непрерывное применение холода удерживает мышечные волокна в сжатии. Эти манипуляции позволяют контролировать боли в запястье и уменьшать последствия травмы. Наиболее эффективно при механическом повреждении сочленения, сопровождаемом отеком мягких тканей, нарушением кровообращения в них;
- массаж следует начинать не ранее, чем через 3-5 дней после окончания острого периода болезни. Хороший терапевтический эффект достигается при использовании во время сеансов противовоспалительных средств наружного применения. Цель массажа заключается в увеличении циркуляции крови в области повреждения, улучшение питания тканей. Это приведет к восстановлению тканей хряща, повысит регенерацию синовиальной жидкости, уменьшит проявления воспалительного процесса и повысит мобильность сустава.
Специфика физиотерапевтических методик – их назначение только в не остром периоде. Если это требование не учитывать, то можно усугубить состояние больного и навредить суставу.
Лечебная физкультура
Занятия лечебной физкультурой предназначены для восстановления подвижности руки и запястья после травмы. Причины развития болезни не имеют значения. Комплекс физических упражнений подбирает инструктор в зависимости от степени тяжести проблемы. Рекомендуется заниматься систематически, чтобы эффект от лечебной физкультуры был максимальным.
Массаж и гимнастика кистей рук от Маргариты Левченко:
Питание при артрозе
Диета имеет фундаментальное значение для эффективного и глубокого восстановления хрящевой ткани и связок. Очень важно изменить свои гастрономические привычки так, чтобы они способствовали исцелению в комплексе с консервативным лечением.
В рационе питания должны быть следующие продукты:
- сырые свежие овощи (в виде салатов, овощных соков). Они богаты ферментами, витаминами, минералами, полезными для человека. Употребление их в пищу запускает в организме процессы детоксикации, вывод шлаков и токсинов, улучшает питание тканей на межклеточном уровне;
- фрукты очень питательны и помогают снизить воспаление суставов за счет выведения токсинов, укрепления мышечных волокон. Все это положительно влияет на процессе выздоровления. Есть можно любые фрукты, единственное условие состоит в том, что их нельзя смешивать с другими продуктами, нужно делать перерывы между приемом разной еды продолжительностью в полчаса. Смешанная в желудке разная еда плохо переваривается, ведет к воспалению суставов;
- зерновые и цельные хлебобулочные изделия богаты клетчаткой, что помогает мягко и эффективно чистить кишечник. Злоупотребление сдобой и сладостями ведет к зашлакованности. Продукты распада токсинов накапливаются в суставах и порождают проблемы со здоровьем;
- чистая вода — часть правильного питания, особенно при артрозе. В день нужно выпивать не менее 2 литров чистой жидкости. Это обеспечит активизацию окислительных реакций в организме, очищение от шлаков.

Во время лечения и для профилактики артрозов суставов из рациона нужно полностью исключить или хотя бы ограничить потребление сахаров, выпечки из белой муки, жареной, копченой, соленой пищи. Не стоит злоупотреблять красным мясом, цельным коровьим молоком, сырами, напитками, содержащими кофеин, алкоголь. Все эти продукты нарушают метаболизм, способствуют накоплению токсинов в суставных структурах, негативно сказываются на их состоянии.
Артроз лучезапястного сустава эффективно лечится консервативными методами терапии, если заболевание обнаружено на ранней стадии. В случае, когда в сочленении начался необратимый процесс деформации, поможет только хирургический скальпель. Задача любого больного – не запустить болезнь и избежать операции.
Артроз лучезапястного сустава — что нужно знать о болезни и лечении
Руки человека являются основным рабочим инструментом, будь то детальная и аккуратная проработка деталей скульптором, или ежедневная забота о себе любимом. И очень неприятно, когда кисти рук травмированы. Еще неприятнее, когда из-за возрастных изменений, давних травм или постоянных перегрузок может возникнуть артроз лучезапястного сустава. Качество жизни заметно снижается – простой прием пищи может превратиться в пытку.
Артроз лучезапястного сустава. Боль в кисти
Описание заболевания
Лучезапястный сустав – важная составляющая опорно-двигательного аппарата, несмотря на свою хрупкость. Его место локализации на границе кисти и кости предплечья. В этом месте могут возникать дегенеративные процессы, которые и становятся причиной развития разных заболеваний. Одной из этих болезней является артроз лучезапястного сустава.
Артроз лучезапястного сустава – это заболевание хронического характера. Чаще всего возникает при высоких нагрузках на руку, а также после полученной травмы. Пораженный сустав видоизменяется, теряет жидкость, выполняющую роль смазки, теряя влагу, хрящ становится сухим и шероховатым, постепенно истончается и теряет амортизационные свойства. По мере развития болезни ограничивается все больше, что приводит к дискомфорту во время движения рукой. Постепенно разрушается хрящевая ткань, в результате чего деформируются небольшие кости.
Информацию про лечение артроза локтевого сустава 1 степени народными средствами можно найти по этой ссылке.
Артроз – это самая распространенная болезнь суставов, которая диагностируется у 80% населения. Наиболее подвержены заболеванию люди после 50 лет.
Чем опасны осложнения?
Внешнее проявление остеоартроза – это удручающее зрелище. Деформированные кисти рук теряют правильную форму, пальцы сильно искривляются, обрастают неприятными узелковыми уплотнениями.
Однако наибольший дискомфорт доставляют пациенту потеря подвижности и невозможность вести обычный образ жизни. Многим людям приходится менять или бросать профессию, поскольку они не могут выполнять те действия, в которых требуется подвижность пальцев. Пианист не может играть на инструменте, кондитеру сложно работать с тестом и кремом.
Прогрессирование разрушающих процессов приводит к инвалидности. Болезнь отражается и на психическом состоянии человека. В его поведение появляется раздражительность, апатия, часто наступает депрессия. Учитывая такое развитие ситуации, очень важно начинать борьбу с остеоартрозом на его начальной стадии.
Причины
Среди основных факторов, которые могут привести к развитию патологического процесса, можно выделить такие основные:
- полученные травмы руки;
- наличие воспалительного процесса в организме;
- чрезмерные нагрузки на сустав в течение длительного времени;
- возрастные изменения в организме, что сопровождаются износом хряща.
После серьезной травмы руки, например, открытого перелома или сильного вывиха, желательно в течение 3 лет регулярно проходить обследования у травматолога. Это позволяет своевременно обнаружить начало дегенеративных процессов, осложнений.
Стадии развития
В медицинской практике выделяют такие степени тяжести заболевания:
- Характеризуется незначительным поражением сустава, меняется его плотность и состав суставной жидкости. Развивается воспалительный процесс и нарушается питание тканей. Может появляться небольшая отечность. Болевой синдром во время активных движений, а в состоянии покоя проходит сам собой.
- Наблюдаются выраженные изменения сустава, появляется хруст, образуются костные образования. Болезненные ощущения усиливаются.
- Болевой синдром не прекращается, функции сустава все больше ограничиваются, и возникает его полная недвижимость. Кость может смешаться, тогда рука становится изогнутой. Костные образования становятся видимыми. При этой степени артроз становится хроническим.
Заболевание редко диагностируется на ранних стадиях. Но чем раньше оно будет выявлено, тем легче и быстрее можно приступить к лечению.
Питание
Соблюдение диеты играет важную роль при восстановлении хрящей и связок. Ежедневно рекомендуется пить от двух литров жидкости.Рекомендованные продукты:
- свежие овощи (салаты, соки) – их употребление активизирует процессы детоксикации, в результате улучшается питание тканей;
- фрукты – способствуют укреплению мышц, снижению воспалительных процессов, их не следует смешивать с другими продуктами;
- зерновые – способствуют выведению шлаков из кишечника.
Больному необходимо соблюдать диету и правильно питаться
Пациент должен изменить пищевые привычки, из рациона исключаются кофеин, алкоголь, вредные (жареные, маринованные, консервированные продукты). На период лечения артроза, в профилактических целях следует отказаться от сахара, хлебобулочных изделий, снизить потребление красного мяса, сыров. Перечисленные продукты оказывают негативное влияние на метаболические процессы, активизирую скопление токсинов в суставах, оказывают отрицательное воздействие на их функционирование.
Симптомы
На ранних стадиях распознать развитие патологического процесса крайне сложно. Человек редко обращает внимание на периодически появляющиеся боли, поэтому не обращается к врачу. Основные симптомы артроза:
- болезненные ощущения в запястье;
- характерный звук хруста;
- ограничение подвижности пораженного сустава.
Болевой синдром сначала слабый, появляется только после длительных нагрузок на руку. С развитием болезни боль усиливается, дискомфорт может появляться при сгибании запястья или поднятия тяжелых предметов. Хруст становится более слышимым, постепенно снижается подвижность запястья. На поздних стадиях из-за появления костного образования может появиться шишка, а конечность становится полностью недвижимой в месте поражения. При хроническом течении болезни диагностика болезни может затрудняться, потому что периоды обострения чередуются с периодами ремиссии.
Инвалидность
Безусловно, артродезировние – операция эффективная, однако при неправильном подходе к терапии существует вероятность получения инвалидности. Это ни для кого секретом не является.
Больной может утратить функциональность конечности или даже позвоночника еще во время терапии, потому что восстановление после хирургического вмешательства иногда длиться целые месяцы. В этот период и оформляется инвалидность, потому что больной не может полноценно ухаживать за собой.
Артродез любого сустава дает частичную инвалидизацию, потому что последние уже не смогут двигаться так, как раньше и больному будут недоступны некоторые функции, что были доступны прежде.
Отличие артроза и артрита
Часто артроз путают с артритом, но эти заболевания отличаются между собой. При артрите болевые ощущения возникают в состоянии покоя или во время ночного сна, а при артрозе – во время нагрузки на кисть. При артрозе редко наблюдается отечность в месте поражения, что при артрите является довольно частым явлением. Так, кисти рук, пораженные ревматоидным артритом, припухшие, видно, что мышцы атрофированы.
Артрит чаще поражает несколько суставов, вызывая воспалительный процесс. Если говорить об артрозе, то он преимущественно характеризуется посттравматическим синдромом. При артрозе также не повышается температура, нет вялости и тяжести в теле.
Методы диагностики
Чтобы поставить точный диагноз, назначают комплексное обследование, которое включает:
- сбор анамнеза;
- осмотр и пальпация;
- лабораторные анализы крови (выявление воспалительного процесса);
- рентгенографическое обследование;
- ультразвуковое исследовании;
- МРТ и КТ.
В некоторых случаях может потребоваться консультация других врачей, если у пациента имеются другие заболевания. Как правило, в этом возникает потребность при симптомах ревматоидного артроза.
Тактика лечения
При диагностировании болезни подбирают индивидуальный курс лечения, в зависимости от степени запущенности патологического процесса. На ранних стадиях проводят консервативное лечение, которое обязательно должно быть комплексным. В составе консервативного лечения:
- медикаментозная терапия;
- физиотерапевтические методы;
- ортопедический режим;
- правильное питание, богатое витаминами и минералами;
- лечебная физкультура;
- средства народной медицины.
При лечении артроза лучезапястного сустава, как и при любых других видах патологии (артроза кисти, плеча и т.д.), важными медикаментозными препаратами являются хондопротекторы, которые насыщают поврежденные хрящи специальными питательными веществами. Кроме этого курс лечения включает такие виды препаратов:
- кортикостероиды (снимают сильный болевой синдром, подавляют аутоиммунные процессы);
- противовоспалительные нестероидные препараты (снимают болевой синдром и воспаление).
- витамины и минералы (улучшают кровообращение и процессы метаболизма в пораженных тканях).
Кроме таблеток и инъекций, при артрозе лучезапястного сустава могут также применяться кремы и мази, в которых содержатся активные действующие вещества. Преимущество таким видов лекарственных препаратов в том, что их удобно использовать и редко встречаются побочные эффекты.
Физиопроцедуры
Улучшить кровообращение в пораженном суставе и ускорить обмен веществ помогают такие процедуры:
- лечебные грязи;
- массаж с мазями на основе противовоспалительных веществ;
- лазеротерапия;
- электрофорез;
- парафинотерапия;
- магнитотерапия.
Если заболевание в запущенной форме или консервативное лечение не дало ожидаемого эффекта, показано проведение хирургического вмешательства. Только лечащий врач может определить способ проведения и объем операции.
Медикаментозная терапия болезни
При остеоартрозе лучезапястного сустава лечение начинается с применения лекарственных средств. Лечение деформирующей патологии направлено на остановку прогрессирования дегенеративного заболевания. Как лечить остеоартроз? При остеоартрозе лучезапястного сустава 2 степени лечение подразумевает использование следующих медикаментов:
- НПВС помогают избавиться от боли, снимают воспаление, отечность. К представителям данной группы принадлежат такие препараты «Ибупрофен», «Диклофенак», «Целебрекс», «Найз». С данными препаратами следует быть осторожней, нестероидные противовоспалительные средства вызывают сильные побочные эффекты.
- Миорелаксанты. необходимы для снятия мышечного спазма. В основном эти медикаменты не назначают при остеоартрозе запястья, но если лучезапястный сустав полностью разрушен, возможно появление мышечных спазмов, снять которые помогают миорелаксанты.
- Хондропротекторы представляют группу лекарственных средств и биологических добавок. Препараты защищают хрящ, они способствуют восстановлению клеток гиалинового хряща. Лекарства стимулируют производство густой эластичной массы, заполняющей полость суставов, нормализует ее состав.
При тяжелых формах дегенеративной патологии врачи советуют проводить инъекции медикаментов внутрь сочленения которые содержат искусственный аналог синовиальной жидкости. Когда заболевание достигло второго этапа развития необходимо носить специальные повязки, иммобилизирующие сочленение.
Восстановление подвижности сустава
При лечении артроза одним из важных заданий является восстановление подвижности сочленяющих косточек сустава. Высокую эффективность в достижении этой цели показали массаж (лимфодренаж в том числе), а также мануальная терапия. Эти методы будут эффективными на всех стадиях заболевания, независимо от возраста больного. Массаж и мануальная терапия характеризуются прямым воздействием на пораженные суставы, растягивая и укрепляя мышцы и связки, расширяя полость сустава.
Про гимнастику при спондилезе можете прочитать в этой статье.
Если нет острой боли и воспалительного процесса, восстановить подвижность пораженного сустава поможет специальный комплекс упражнений. Лечебная гимнастика должна обязательно назначаться лечащим врачом, что поможет подобрать оптимальную нагрузку на сустав и восстановить его подвижность. Результативность лечения будет зависеть только от настойчивости и терпения пациента вылечиться.
Примеры упражнений для восстановления запястного сустава.
Тренажеры при артрозе используются редко. Вполне достаточно массы тела для оптимальной нагрузки и щадящего воздействия.
Послеоперационный период
Реабилитация после артродеза может занять от нескольких месяцев до года. Все зависит от того, какой участок был прооперирован. При артродезе тазобедренного сустава пациент остается прикованным к постели более полугода.
В других случаях он может передвигаться, но, если речь идет о заболеваниях нижних конечностей, то необходимо использовать костыли. Нагрузки на прооперированную область (особенно первое время!) исключены.
Обычно больному показаны курсы физиотерапии, массажи и ЛФК для скорейшего восстановления. Их применяют после снятия гипсовой повязки, а иногда (если возможно) и самих фиксаторов. Обязателен контроль специалиста.
Заниматься самодеятельностью в ходе реабилитации после хирургического вмешательства нельзя. Цена этого может оказаться слишком высокой – вплоть до отторжения имплантата. И тогда операцию придется повторять. Нужно выполнять все рекомендации лечащего врача – как по поводу терапии, так и касаемо образа жизни до и после вмешательства. И только тогда можно надеятся на лучший результат в каждом конкретном случае!
Профилактика
Чтобы снизить вероятность развития артроза лучезапястного сустава и остановить развитие заболевания, рекомендуется:
- снизить или исключить тяжелые физические нагрузки;
- избегать переохлаждения организма;
- своевременно лечить заболевания воспалительного характера;
- избегать травмирования руки;
- правильно питаться;
- выпивать достаточный объем жидкости.
Эти простые советы помогут избежать развития заболевания и многих других проблем с суставами.
Какие мероприятия проводят для постановки диагноза?
При поражении правого или левого лучезапястного сустава диагностика проводится одинаково. Диагностика начинается с физического осмотра пострадавшего. Лечащий доктор уточняет характер боли, длительность симптомов. Важно рассказать врачу о травмах, сведений о которых нет в медицинской карточке. Далее, врач визуально изучает сочленение. После сбора анамнеза пациенту дают направление на обследование:
- УЗИ-диагностика;
- рентгенографию;
- МРТ.
Проведение визуальной диагностики лучезапястного сустава помогает обнаружить стадию развития заболевания. Рентгенография применяется, если врач при визуальном осмотре обнаружил деформации, вывихи, а также, если в карте есть сведения о переломах, растяжениях.
Выводы
- Артроз лучезапястного сустава представляет собой патологические изменения хрящевой и костной тканей, в результате чего человек ощущает дискомфорт и боль во время движения руки.
- Основные причины артроза: травмирование сустава, высокие нагрузки и возрастные изменения.
- Отсутствие лечения или его неправильный выбор может привести к полному обездвиживанию сустава.
- Лечение при артрозе лучезарного сустава должно быть комплексным, может назначаться только врачом в индивидуальном порядке.
Также читайте про симптомы и лечение бурсита лучезапястного сустава в этом материале.
В статье «Причины развития артроза лучезапястного сустава, методы лечения» использованы материалы:
http://artracam.com/use/lechenie-osteoartroza/artroz-luchezapyastnogo-sustava/
http://revmatolog.net/artroz/luchezapyastnogo-sustava