Разновидность ревматоидного артрита – ревматоидный полиартрит
Причины, симптомы, диагностика и методы лечения ревматоидного полиартрита

Ревматоидный полиартрит относится к хроническим патологиям. Для заболевания характерна стадия обострения, длительность которой варьируется от 1 недели до нескольких месяцев. Обострение сменяется ремиссией — ее продолжительность индивидуальна для каждого больного.
Причины возникновения
Важно знать! Врачи в шоке: «Эффективное и доступное средство от АРТРИТА существует. » Читать далее.
Врачи не могут обнаружить точные причины развития заболевания. Есть предположения о взаимосвязи болезни с генетической предрасположенностью. Если у пациента имеются определенные антигены и бактериальная инфекция, то образуются антитела специфического характера. При соединении антител с белками плазмы крови оказывается влияние на оболочки суставов.

Ревматоидный полиартрит является результатом сбоя в функционировании иммунитета. Привести к подобному итогу могут следующие причины:
- переохлаждение организма;
- влияние токсинов и аллергенов;
- стрессы;
- перенесенные травмы;
- наличие инфекции или вирусов;
- сбои в работе гормональной системы.
Типы и проявления
Ревматоидный полиартрит представлен несколькими классификациями. При рассмотрении иммунологических симптомов выделяют следующие типы:
- Серонегативный вид, при котором не удается определить наличие антител – ревматоидного фактора.
- Серопозитивный.
По типу протекания выделяют ревматоидный полиартрит с быстрым и медленным течением. Если рассматривать причины развития заболевания, то имеются следующие виды:
- первичный артрит;
- вторичный артрит, образование которого происходит при наличии других заболеваний суставов;
- ювенильный ревматоидный артрит.

Симптомы заболевания появляются не сразу, так как длительность инкубационного периода составляет от 3 до 30 дней. В большинстве случаев ревматоидный полиартрит образуется после начала воспалительного процесса в лучезапястных суставах и пальцах рук. Для заболевания характерно симметричное поражение костей. Стойкость болезненных ощущений и отечности также присутствует.
Основные симптомы ревматоидного полиартрита суставов представлены следующим образом:
- Снижение степени подвижности.
- Кожные покровы сухие и бледные.
- Боль имеет интенсивный характер.
- Болезненные ощущения усиливаются в ночное и утреннее время.
- По утрам конечности отекают, имеется скованность.
- После разминки улучшение состояния не наблюдается.
- В области поражения суставов возникают ревматоидные узелки.
- Происходит постепенная деформация суставов.
- Пальцы рук и ног приобретают нетипичное положение, становятся уродливыми.

Воспалительный процесс в мелких суставах постепенно распространяется на крупные. Полиартрит на острой стадии представлен ухудшением общего состояния:
- потерей аппетита;
- ознобом;
- увеличением температуры тела;
- уменьшением массы тела;
- слабостью;
- одышкой;
- изменением голоса.

Симптомы артрита могут усилиться во время присоединения иного заболевания. Так, на фоне полиартрита образуются болезни:
- Бурситы.
- Тендосиновиты.
- Поражения тканей мышц.
Стадии
Ревматоидный полиартрит представлен несколькими стадиями развития. На начальном этапе основные симптомы связаны с поражением мелких суставов и утолщением тканей. Появляются первые признаки истончения костей. При переходе на 2 стадию артрита образуются эрозии на тканях костей. В суставах образуются неприятные ощущения, синовиальные сумки становятся отечными, возникают симптомы атрофии мышечной ткани.
На 3 этапе в результате деления клеток происходит уплотнение синовиальной оболочки. У больного ограничены движения, суставная щель сужается, на костях и суставах имеются отложения солей. Последний этап связан с многочисленными эрозиями. Боли в суставах рук и стоп проявляются ярко, а длительность признака достигает нескольких месяцев. Мышечная ткань сильно атрофирована. Привести к такому результату может неправильное лечение или его отсутствие. У больного образуются симптомы анкилоза:
- неправильная фиксация;
- деформация сустава.
Ревматический полиартрит схож с проявлениями ревматоидной формы, однако, у них имеются отличия. При ревматическом полиартрите:
- Патологические изменения формируются независимо от стадии.
- Болезненные ощущения могут перемещаться с одного места в другое («блуждающие боли«).
- Терапию начинают с использования антибиотиков и НПВП (нестероидные противовоспалительные препараты). Применяют препараты, к которым у бактерий имеется чувствительность.
Диагностика и последствия
Диагностика является важным этапом. Перед началом исследования проводится опрос пациента для определения симптомы заболевания. Осуществляется осмотр, во время которого обнаруживаются узелки и поражения симметричного типа.

Лабораторная диагностика является неотъемлемой частью выявления артрита. С этой целью используются следующие анализы:
- Общий анализ крови: у больного присутствует анемия, увеличенное количество лейкоцитов и увеличение скорости оседания эритроцитов – СОЭ.
- Назначаются анализы на выявление ревматоидного фактора.
- Анализу подвергается и моча, в которой обнаруживают белок.
- При биохимии крови увеличены показатели фибриногена, креатинина, мочевины, серомукоида и С-реактивного белка.
- Необходимы анализы синовиальной жидкости. При артрите суставов увеличивается число нейтрофилов и лейкоцитов.
Даже «запущенный» АРТРИТ можно вылечить дома! Просто не забывайте раз в день мазать этим.
Помимо лабораторных способов исследования, назначаются методы инструментальной диагностики:
- Обзорная рентгенограмма, так как симптомы данного характера являются характерными для ревматоидного артрита.
- Ультразвуковая диагностика органов малого таза и брюшной полости.
- Если нужны дополнительные сведения о причинах артрита и изменениях, то врачи отправляют пациента на магнитно-резонансную томографию или применяют другие методы.
Осложнения ревматоидного артрита возникают из-за простой причины – отсутствия вмешательства. В этом случае возникают системные проявления, образующиеся в течение короткого периода. Осложнения представлены следующими заболеваниями:
- остеопорозом;
- невропатией;
- полимиалгией;
- кератоконъюнктивитом и склеритом глаз;

- легочным васкулитом;
- тяжелой анемией;
- поражением сердечной мышцы;
- гломерулонефритом почек;
- бронхиолитом.
Если вмешательство отсутствует, то создается угроза здоровью и жизни больного. Опасными являются состояния, которые указаны в списке:
- Гангрены.
- Инфаркты миокарда.
- Деформация суставов.
- Опухоли онкологического характера.
Ревматоидный полиартрит: лечение
Как лечить ревматоидный полиартрит? Базисная терапия является основой лечения заболевания. Во время лечения можно скорректировать причины появления и механизмы развития артрита. Дополнительно применяют симптоматическое лечение, направленное на ликвидацию проявлений заболевания.
Базисная терапия проводится следующими препаратами:
- Лекарственными иммунодепрессантами — Лефлуномид, Метотрексат, Циклоспорин, Хлорбутин и Циклофосфан. Необходимы для уменьшения степени активности патологических клеток, вырабатываемых иммунитетом пациента.
- Лекарства солей золота — Ауранофин, Тауредон и натрия ауротиомалат. Используются в случаях, когда применение Метотрексата не привело к положительному результату. Обладают высокой эффективностью при начальной стадии болезни, особенно во время развития серопозитивного типа.
- Антималярийные средства — Плаквенил. Уменьшают степень развития воспаления.
- Для подавления бактериальной флоры в синовиальных оболочках используют сульфаниламиды. Представителями группы являются препараты Сульфасалазин и Салазопиридазин.
- Если представленные лекарства не привели к положительному эффекту, то используются иммуносупрессивные средства. К этой категории относится лекарство Пеницилламин.
- Моноклональные антитела — Инфликсимаб и Мабтера.

Симптоматическая терапия полиартрита суставов также включает в себя разнообразные группы. Для устранения болевого синдрома и воспалительного процесса применяют нестероидные противовоспалительные препараты:
- Мовалис.
- Кетопрофен.
- Мелоксикам.
- Ибупрофен.
- Аспирин.
- Диклофенак.

Если у пациента во время развития ревматоидного полиартрита суставов возникли осложнения, то прибегают к помощи глюкокортикостероидов. При возникновении сильного болевого синдрома вводят обезболивающее лекарство в сустав. Назначаются следующие препараты:
- Бетаметазон;
- Кеналог;
- Целестон;
- Гидрокортизон.
Чтобы устранить остеопороз или предотвратить его появление, используются препараты кальция или гормоны, оказывающие влияние на обмен этого элемента:
- Кальцитонин.
- Кальций-Д3 Никомед.

Для облегчения самочувствия больного применяются мази для суставов с противовоспалительным действием. Также все активнее используются для лечения патологии препараты нового типа, клинически опробованные и доказавшие свою эффективность. Медикаментозная тактика не является единственным методом, так как использование всех возможных способов позволит добиться выздоровления.
Одновременно с медикаментозными препаратами в лечении ревматоидного полиартрита применяются способы физиотерапии:
- Фоно- или электрофорез. Терапия осуществляется с обезболивающими лекарствами.
- Инфракрасное облучение или лазеролечение. Помогают устранять воспалительный процесс.
- Дренаж лимфы и плазмаферез. Помогают снизить концентрацию СОЭ, иммуноглобулинов и антител.
- На стадии ремиссии назначают ЛФК и массаж. Комплекс упражнений составляется под руководством специалиста.
- Ношение корсетов и ортезов.
- Для снятия воспаления и уменьшения боли применяют криолечение.

Если консервативная методика не привела к выздоровлению, а состояние пациента ухудшается, то назначают оперативное вмешательство. Во время операции осуществляется иссечение синовиальных сумок. При необходимости прибегают к помощи эндопротезирования суставов.
Иные методы: гимнастика и диета
Комплексы ЛФК и гимнастики позволяют избавиться от скованности суставов. Кроме того, общеукрепляющие упражнения разрабатывают все группы суставов, что благоприятно влияет на состояние пациента. Все упражнения подбираются под руководством врача. Во время пзанятий выполняют плавные движения и стараются избегать сильных нагрузок. Наличие болезненных ощущений во время выполнения комплекса указывает на необходимость прекратить гимнастику. Примерами лечебных занятий являются гидропроцедуры или плавание.

Лечение ревматоидного полиартрита суставов должно сочетаться с правильным питанием. Диета направлена на обеспечение организма больного полезными элементами и витаминами. Из рациона исключают следующие продукты:
- Некоторые орехи.
- Свинину.
- Цельное молоко.
- Морепродукты.
- Цитрусовые.
- Каши с глютеном.
- Соленые продукты.
- Копчености.
- Вредные добавки.
В меню больного включаются следующие блюда и продукты:
- цельнозерновой хлеб;
- кисломолочная пища;
- овощи;
- фрукты, особенно груши и яблоки;
- мясо и рыба, но нежирные;
- перепелиные яйца;
- перловка и гречка.
Приготавливают пищу на пару или способом варки. Допускается обрабатывать продукты способом тушения. Рекомендуют придерживаться профилактики, которая представлена лечением хронических инфекций и своевременным устранением болезней. На иммунитет положительно влияют закаливание, физическая активность и правильное питание – это важно для людей с предрасположенностью к ревматоидному артриту.
Ревматоидный полиартрит – причины, стадии, лечение, профилактика

- Ревматоидный полиартрит — что это такое?
- Причины
- Виды ревматоидного полиартрита суставов
- Серопозитивный
- Серонегативный
- Стадии
- Симптоматика
- Лечение ревматоидного полиартрита
Ревматоидный полиартрит – аутоиммунное заболевание, при котором собственный организм атакует здоровые клетки соединительной и хрящевой ткани. Причиной аномалии может стать банальная простуда или сезонное заболевание. Положительный прогноз даётся только на начальных стадиях, последующие осложнения могут стать фатальными. Аутоиммунное заболевание суставов — приговор или здоровый образ жизни до конца дней? Решение остаётся за больным.

Ревматоидный полиартрит — что это такое?
Ревматоидный полиартрит – патология, поражающее хрящевую ткань сустава. В отличие от других артритных заболеваний, не затрагивает суставную капсулу, а только её внешнюю оболочку. В силу невыясненной этиологии, болезнь затруднительна в диагностировании на ранних стадиях.
Последние исследования ревматоидного полиартрита, доказали его принадлежность к аутоиммунным заболеваниям, при которых естественная биологическая защита организма, при невыясненных обстоятельствах, начинает нападать на здоровые клетки хрящевой ткани.
Преимущественно поражает не крупные суставы конечностей – в пальцах и кистях. Реже, патология наблюдается в коленных, локтевых, голеностопных и позвоночных суставах. Проявляется симметрично, на двух и больше соединениях. Даёт тяжелые осложнения на печень, почки, легкие, эпидермис, нервную и сердечно-сосудистую системы.
Причины
Этиология заболевания до сих пор не раскрыта. Существует несколько направлений, в которых работают ученые, для определения причин заболевания. Основными являются:
Генетические факторы. Если ближайшим кровным родственникам был поставлен неутешительный диагноз, то человек автоматически входит в группу риска. Иммунные нарушения очень часто передаются по наследству.
Перенесенные инфекционные заболевания. Сбой в организме может произойти после вирусной атаки. Краснуха, ларингит, гайморит, герпес и другие инфекции, способны нанести удар по иммунной системе и заставить её бороться с собственными клетками.
Гормональные сбои. Психологические нарушения и стрессы могут спровоцировать сбой в эндокринной системе. Выброс в организм большого количества гормонов крайне негативно сказывается на иммунитете. Что в свою очередь проявляется в виде ревматоидного полиартрита.
Экологические условия. Вредные выбросы в атмосферу, загрязненность воды и недостаточность зеленых насаждений может крайне негативно сказываться на здоровье населения. Болезнь распространена в экологически неблагоприятных районах.
К перечисленным факторам добавляются переломы, ушибы, воздействие низких температур, повышенная нагрузка, возраст – причин для появления патологии может быть множество.
Виды ревматоидного полиартрита суставов
Заболевание классифицируется по двум типам — серопозитивный и серонегативный
Серопозитивный
Патологию относят к этому типу, если в анализах находят ревматоидные вирусы. В хронической форме заболевания иммунитет начинает вырабатывать повышенное количество антител, уничтожающих здоровые клетки хрящевой ткани сустава. Это приводит к возникновению воспалительных процессов в местах, где содержится коллаген – внутренних органах и связочной системе костей.
Биохимический состав крови незамедлительно меняется и показывает ревматоидный индекс, по которому определяется вид полиартрита.
Симптоматические проявления обширны:
- Суставная боль;
- Васкулиты;
- Дрожь в теле;
- Нарушение мелкой моторики;
- Постоянная повышенная температура тела;
- Гипертония, тахикардия, легочные патологии.
Серонегативный
Ревматоидный фактор в анализах отсутствует. Это затрудняет постановку диагноза. Но дополнительные исследования и общий анамнез заболевания позволяют определить ревматоидный полиартрит.
Характеризуется незначительным болевым синдромом в суставах и существенным в мышцах, быстрой утомляемостью без видимых причин, частыми аллергическими реакциями, дискомфортом в области сердца.
Так выглядит ревматоидный полиартрит, не запускайте болезнь до такого, лечитесь!
Стадии
Само заболевание прогрессирует постепенно. Каждый этап патологии поражает новые органы и суставы.
Всего существует 4 стадии:
I стадия. На этом этапе распознать болезнь крайне сложно. Симптомы почти полностью отсутствуют. За исключением некоторой отечности вокруг суставов пальцев конечностей. Вовремя проведенные диагностические мероприятия выявляют истончение костей, поражение средних суставов и изменения мышечной ткани.
II стадия. На костной ткани, окружающей суставы, формируются эрозии. Мышцы начинают атрофироваться, появляются ревматоидные узелки. Суставы отекают и увеличиваются в размерах.
III стадия. Анатомическая конструкция суставов полностью деформируется. Двигательная функция нарушается. Утолщаются мягкие ткани. Конечности приобретают специфическую форму (в частности, кисти рук отклоняются в сторону).
IV стадия. Поражения становятся многочисленными, осуществлять движение невозможно. В процесс втягиваются внутренние органы. Больше всего страдают печень и почки. Нарушается сердечно-сосудистая деятельность, на коже появляется характерная желтизна, отказывает селезёнка. Больной прикован к постели.

Симптоматика
Ревматоидный полиартрит крайне редко имеет стремительное течение. Как правило, болезнь развивается много месяцев, а то и лет, без ярко выраженных признаков. В этом заключается главная опасность болезни. Она даёт возможность привыкнуть к дискомфорту. Поэтому больные не обращаются за медицинской помощью на ранних стадиях.
Внимательное отношение к подсказкам организма поможет избежать нежелательных последствий. Наличие одного или нескольких неспецифических признаков весомый повод обратиться к ревматологу:
- Ощущение постоянной усталости;
- Болевой синдром в суставах;
- Резкая потеря веса;
- Повышенная температура;
- Скованность в теле.
Если такое состояние длится более двух недель, без дополнительных условий (например, простудных заболеваний), то имеет смысл обратиться в клинику.
Следующие признаки уже свойственны одной из стадий заболевания и требуют безотлагательной медицинской помощи:
- Сильные болевые ощущения в суставах;
- Двухсторонняя отечность в местах сгиба конечностей;
- Симметричное поражение подвижных соединений;
- Характерные «ревматоидные» симптомы: межфаланговые суставы неподвижны, завернуты вверх или вниз, отклонены в сторону;
- Пальцы утолщаются в ногтевой пластине и в местах сгиба;
- Деформация стопы, вследствие чего появляется дугообразное искривление голеней.
Болезнь поражает практически всю кровеносную систему и внутренние органы. Поэтому симптоматика проявляется в совокупности с признаками других заболеваний. Тонзиллит, ларингит, пневмония, плеврит, аритмия, инфаркт миокарда, интерстициальный фиброз. Эти патологии могут стать как причиной заболевания, так и серьёзными побочными осложнениями.
Лечение ревматоидного полиартрита
Схема терапии составляется индивидуально и полностью зависит от степени поражения органов. Лечение направлено на остановку прогрессирования ревматоидного полиартрита. Комбинация медикаментов составляется с учётом состояния больного.
Медикаментозное лечение
Требует максимальной ответственности и терпения пациента. Курс лечения длится не менее 6 месяцев препаратами нескольких групп:
- Иммунодепрессанты. Подавляют разрушительную деятельность иммунной системы против организма. С этой целью назначают «Циклофосфан», «Лефлуномид», «Циклоспорин», «Метотрексат» и др.
- Сульфаниламиды. Антибактериальные препараты, предотвращают образование микробных колоний на внешних оболочках суставов. «Сульфаниламид», «Сульфаперин», «Сульфаметоксазол».
- Иммунноглобулины. Распознают и выводят из организма чужеродные компоненты. Такие препараты, как «Мабтера», «Герцептин», «Ритуксан», показали хорошую эффективность в борьбе с аутоиммунными заболеваниями.
- Соли золота. Обладают хорошей эффективностью при лечении инфекции. Курс лечения от 6 недель до 6 месяцев. В настоящее время применяются «Ауротиомалат натрия» и «Ауротиоглюкоза».
- Антималярийные средства. Останавливают воспалительные процессы. Назначаются «Плаквенил», «Гидроксихлорохин», «Хлорохин».
- Глюкокортикостероиды. Показаны к приёму на последних стадиях болезни. Подавляют выработку гормона кортизола, ответственного за активную деятельность иммунной системы. «Гидрокортизон ацетат», «Кеналог», «Бетаметазон Нортон», «Целестон-В» — успешно применяются для лечения всех видов артрита.
- Противовоспалительные средства. «Аспирин», «Диклофенак», «Кетопрофен», «Мовалис», «Мелоксикам» — это лишь краткий список противовоспалительных препаратов общего действия.
- Анальгетики. Помогают снять боль и облегчить состояние пациента. В зависимости от стадии, могут быть опиат содержащими. Самые простые, безрецептурные препараты такие как «Темпалгин», «Анальгин», «Парацетамол» — доступные и достаточно эффективные средства для снятия не сильных болей.
Физиотерапевтические методы
Незаменимы для комплексной борьбы с ревматоидным полиартритом.
Наиболее распространённые:
- Лазеротерапия. Коррекция хрящевой ткани суставов с помощью лазера.
- Ультразвуковое воздействие. Ускоряет метаболизм.
- Плазмофорез. Обновление крови улучшает состояние иммунной системы.
- Криотерапия. Значительно уменьшает болевые ощущения и снимает воспаления.
- Электрофорез.
- ЛФК. Комплекс упражнений помогает вернуть подвижность.
- Мануальная терапия. Предотвращает мышечную атрофию.
- Санаторно-курортное лечение.
Для предотвращения рецидивов и поддержания стабильного состояния, пациент, с диагнозом «ревматоидный полиартрит», состоит до конца жизни на учете у ревматолога и регулярно обследуется, для назначения своевременной терапии.

Диета
При ревматоидном полиартрите, диета является обязательной лечебной мерой. Схема питания разрабатывается врачом-диетологом, после тщательного изучения анамнеза заболевания. Учитываются все детали: стадия болезни, пораженность суставов, принимаемые препараты, вес и возраст больного, наличие сопутствующих заболеваний.
Общие рекомендации по соблюдению пищевого режима для больных ревматоидным полиартритом:
- Овощные супы, с добавление круп;
- Диетическое куриное или индюшиное мясо, парная телятина, кролик;
- Морская, речная рыба, нежирная;
- Растительное масло — оливковое, подсолнечное, льняное, кукурузное;
- Кисломолочные продукты с низким или нулевым содержанием жира – творог, молоко, несоленые сорта сыра;
- Овощи и фрукты в увеличенном объеме;
- Компоты из сухофруктов, морсы и свежевыжатые соки, негазированная минеральная вода.
При заболевании запрещено употреблять в пищу:
- Жирное мясо и бульоны на нем;
- Колбаса, балык, окорок;
- Мясные полуфабрикаты;
- Всевозможные соусы;
- Сдобная выпечка;
- Жареная, соленая, консервированная, маринованная, острая пища.
Питание должно быть частым, 6-7 раз в день. Полностью исключаются из рациона алкогольные и слабоалкогольные напитки. Такая диета не только помогает успешно бороться с заболеванием, но и держать под контролем массу тела. Болезнь не является приговором. Сбалансированное питание и коррекция образа жизни способны долгие годы поддерживать хорошее физическое состояние больного, без потери качества жизни.
Что такое ревматоидный артрит, симптомы и лечение
Что такое ревматоидный артрит?
Ревматоидный артрит (РА) является хроническим аутоиммунным заболеванием, заставляющая иммунную систему организма “сходить с ума” и нападать на собственные ткани, включая тонкие соединительные ткани, которые инкапсулируют большинство суставов.
РА может поразить практически любой сустав в организме, но первоначально заболевание поражает суставы запястья, пальцев, пяток, и/или коленей. В дополнение к воспалению, скованности и жутким болям в суставах, ревматоидный артрит может вызвать лихорадку и усталость и потенциально привести к длительной деформации суставов.
Врачи считают, что ранняя диагностика и лечение играют решающею роль для ограничения возможного повреждения тканей и сохранения функции суставов, но диагностический процесс может быть сложным.
Нет единого лабораторного теста, который мог бы диагностировать РА полностью, и начало болезни может значительно различаться: у одних людей могут развиться восполнения, жесткость в суставах запястья и пальцев в течение многих месяцев, в то время как у других людей призраки усталости, лихорадки и сильного воспаления колена могут появиться за неделю и даже за ночь.
Как ревматоидный артрит прогрессирует со временем?
Независимо от того, появляются ли симптомы постепенно в течение нескольких месяцев или быстро в течение нескольких недель, болезнь следует той же прогрессии:
- Воспаляется синовиальная оболочка. Первоначально ревматоидный артрит характеризуется воспалением внутреннего слоя суставной сумки (синовиальной оболочки). Синовиальной оболочки простирается по всему телу и инкапсулирует (изолирует) суставы и сухожилия. При ее воспалении, человек ощущает боль, скованность и отек сустава. Это состояние называется синовитом.
- Формируется паннус. Воспаление заставляет клетки синовиальной ткани разделиться и размножаться, что вызывает сгущение синовиальной оболочки и приводит к большему отеку и боли. По мере продолжения клеточного деления клеточный рост расширяется в суставном пространстве. Эта новая ткань (грануляционная ткань) называется паннусом или ревматоидным паннусом.
- Повреждение хряща и других тканей суставов. Паннус высвобождает ферменты, которые повреждают хрящ и лежащие в основе костные ткани. Со временем повреждения вызовут распад суставов, приведут к дальнейшим болям и, в некоторых случаях, вызовут деформацию.
Не вся синовиальная оболочка в организме будет подвергаться этим изменениям одновременно. Ревматоидный артрит обычно поражает определенные суставы.
Кто страдает от заболевания?
По оценкам специалистов, от 0,5 до 1,9% населения мира в возрасте 18 лет и старше страдают от ревматоидного артрита.
Хотя точная причина ревматоидного артрита неизвестна, эксперты полагают, что виновата комбинация генетических, экологических и гормональных факторов.
Заболевание на 2-3 раза реже встречается у женщин, а возраст возникновения первых симптомов обычно варьируется в пределах 40-60 лет.
Симптомы
У людей с ревматоидным артритом могут проявляться как физические, так и эмоциональные симптомы.
Физические симптомы ревматоидного артрита

РА часто поражает суставы пальцев рук и запястья, хотя первичные симптомы могут касаться суставов стопы, коленного сустава, лодыжек или других суставов.
Со временем заболевание может затронуть больше суставов, чаще всего суставы шеи и шейного отдела позвоночника, плеч, локтя, лодыжек, челюсти, и даже могут быть задеты суставы между очень маленькими костями во внутреннем ухе.
В дополнение к боли и скованности в движениях, связанных с отекам и воспалением пораженного сустава, общие симптомы ревматоидного артрита могут включать:
- Боль в суставах с характерными особенностями:
- припухлости;
- покраснения;
- тепла (ощущение будто кисть или пальцы рук горят);
- пораженный участок с трудом сгибается и разгибается (например, колено, кисти);
- боль может быть симметричной (например, болит как правое, так и левое запястье).
- Синдром запястного канала (карпальный туннельный синдром) вызванный воспалением РА в запястье (редко).
- Теносиновит — воспаление тонкой подкладки сухожилия в руке. Одно из исследование показало, что теносиновит является серьезным признаком ревматоидного артрита.
- Постоянная скованность с утра, длящееся 1-2 или более часа. Также скованность может проявляться после легкой и умеренной активности.
- Чрезмерная, усталость всего тела, не связанная с физическим нагрузками или сном.
- Субфебрильная температура (субфебрильная лихорадка), которая присутствует всегда, ну или почти всегда.
- Общее ощущение недомогания или гриппоподобные симптомы.
- Неожиданная потеря веса и потеря аппетита.
- Снижается общая функциональность суставов, которая затрудняет выполнение самых простых задач (например, открыть банку или повернуть ключ зажигания в автомобиле); боль может возникать в момент схватывания и удерживания тяжелых предметов, а может возникать и в состоянии покоя.
- Ощущение скрежета. Возникает при повреждении мягких тканей, когда кости сустава трутся друг о друга.
- Ревматоидные узелки, формирующийся под кожей. Эти узлы представляют собой твердые шишки, с размером горошины до размера грецкого ореха и чаще всего возникают на локтях, пальцах или вблизи них.
Симптомы ревматоидного артрита индивидуальны и влияет на всех по-разному: некоторые люди испытывают постоянный дискомфорт, в то время как другие испытывают длительные периоды незначительных признаков, акцентированных болезненными вспышками.
Эмоциональные симптомы ревматоидного артрита
В дополнение к физическим симптомам, пациенты, страдающие ревматоидным артритом, могут также испытывать сопутствующие проблемы, как:
- депрессия или беспокойство;
- проблемы со сном;
- чувства беспомощности;
- низкую самооценку.
Комбинация физических и эмоциональных признаков заболевания РА, могут проникать в трудовые будни человека, в социальную и семейную жизнь.
К счастью, ранняя диагностика и соответствующие лечебные мероприятия, такие как прием лекарственных препаратов и лечебная физическая культура (ЛФК), и/или изменение образа жизни помогут поддержать активную, продуктивную жизнь большинства людей.
Причины и факторы риска РА
Ученные не понимают, почему люди так часто страдают ревматоидным артритом, но годы исследований показывают, что наиболее восприимчивы к заболеванию люди:
- генетически предрасположенные к РА;
- подверженные воздействию вредных экологических факторов (например, курения);
- люди испытывающие значительные нарушения гормонального баланса;
- дисбаланс кишечной микрофлоры, возникший естественным образом с рождения или вызванный кишечной инфекцией.
Многие ученные и доктора считают, что РА, скорее всего, в большинстве случаев развивается у людей, которые генетически предрасположены к заболеванию, подвергаются воздействию определенных факторов окружающей среды, испытывают изменения гормонального фона и/или подвергаются дисбалансу кишечной микрофлоры.
Генетическая предрасположенность
Специфический ген (антиген), связанный с ревматоидным артритом, HLA-DR4, обнаружен у 60% -70% людей с этим заболеванием. Но в целом встречается только у 20% населения земли.
Хотя наличие этого специфического генетического маркера увеличивает вероятность развития ревматоидного артрита, это далеко не точный признак. Фактически, большинство врачей не берут анализы на выявления этого гена при диагностике ревматоидного артрита.
Факторы окружающей среды и образа жизни
Повседневные привычки, похоже, оказывают определенное влияние на риск возникновения ревматоидного артрита. Наиболее известные исследования в этой области сосредоточены на курении, питание и весе человека.
Курение и воздействие никотина. Одним из наиболее значимых причин возникновения ревматоидного артрита является воздействие никотина, в частности курение.
Хотя прямое влияния сигарет не полностью доказано, считается, что длительное курение играет роль в увеличении концентрации ревматоидного фактора, белком (иммуноглобулиновые антитела IgM). Наличие ревматоидного фактора (антитела IgM) в крови является признаком того, что иммунная система может быть неисправной.
Питание/Диета. Неясно, как именно диета влияет на риск развития ревматоидного артрита у человека. Большое клиническое исследование проведенное с 121 тыс. женщинами в течение десятилетий, говорит о том, что:
- Регулярное употребление сладких газированных напитков повышает риск развития РА.
- Средиземноморская диеты, которая поощряет употребление в пищу овощей, фруктов, бобов и цельных зерен, не влияет на риск развития ревматоидного артрита у женщин.
- Употребления кофе и чая (как с кофеином, так и без кофеина) не коррелирует с развитием заболевания.
- Умеренное потребление алкоголя не влияет на развитие болезни у женщин, а может даже и снижает риски возникновения болезни.
Вес тела. Люди с избыточным весом или ожирением, имеют больше шансов к возникновению у них ревматоидного артрита.
Результаты одного американского исследования показали, что избыточный вес увеличивает риск развития РА у женщин, но на самом деле снижает риск его развития у мужчин. Пока в этой области требуется больше исследований.
Хотя курение, диета и лишний вес влияют на общий риск развития РА, конкретных связей с заболеванием нет – большинство людей с избыточным весом, и те кто курят не страдают от ревматоидного артрита.
Нарушение гормонального баланса
Тот факт, что женщины чаще страдают ревматоидным артритом, говорит о том, что гормоны являются основным фактором развития болезни. Эта идея еще раз подтверждается тем фактом, что симптомы РА утихают во время беременности, и вспыхивают снова после рождения ребенка.
Имеются также данные о том, что женщины с нерегулярными менструациями или с ранними менопаузами, имеют повышенный риск развития РА.
В дополнение к естественным колебаниям гормонов, гормональные препараты и противозачаточные, вносят свой вклад в развитие болезни. Оральные контрацептивы содержащие дозы женских половых гормонов (прогестина и эстрогена), повышают вероятность развития у женщины ревматоидного артрита.
Инфекции и микробиом
Некоторые ученые изучают связь между бактериальными и вирусными инфекциями и развитием ревматоидного артрита. Клинические исследовании показали, что связь между РА и некоторыми инфекциями и вирусами, такими как гингивит, вирус Эпштейна-Барр (ВЭБ) и хронический гепатит С есть.
Кроме того, некоторые ученые предположили, что микробиом человека может влиять на развитие РА.
Микробиом человека — совокупность микроорганизмов, вирусов, бактерий и грибков, живущих во рту, кишечнике, дыхательных путях и других частях тела.
По меньшей мере в организме каждого человека, находятся более 1000 различных микроорганизмов. Микроорганизмы влияют на многие процессы в организме человека, в том числе на обмен веществ и иммунную систему.
Хотя эксперты определили возможную связь между инфекцией, микробиомом и РА, доказательств указывающих на очевидные причины нет. Исследование в этой области продолжаются.
Диагностика
Значительное количество повреждений суставов может произойти в течение первых двух лет активности ревматоидного заболевания, поэтому ранняя диагностика и лечение могут существенно повлиять на прогноз пациента.
Однако диагностика ревматоидного артрита может быть очень сложной, поскольку:
- Нет единых физикальных обследований или лабораторных анализов наверника диагностирующих РА.
- Симптомы РА часто имитируют другие заболевания, такие как волчанка, системный склероз (склеродермия), псориатический артрит и ревматический полимиалгия. Кроме того, ревматоидный артрит может возникнуть вследствии вирусных инфекций, в частности парвовирусных инфекций, чем затрудняет диагностирование.
Из-за трудностей в диагностики заболевания специалисты рекомендуют проводить диагностическую оценку ревматологу или врачу, имеющему большой опыт работы с ревматическими заболеваниями.
Чтобы помочь врачам сделать раннюю диагностику, Американская коллегия ревматологов и Европейская лига против ревматизма (EULAR), еще в 2010 году, сотрудничая бок о бок создали критерии классификации ревматоидного артрита.
В отличие от предыдущих критериев, установленных в 1987 году, в руководящих принципах 2010 года, не требуются присутствие ревматоидных узелков, симметричных суставов или суставных эрозий видных при рентгенографии или при других визуализирующих методах медицинского исследования (МРТ, УЗИ и т.д.), которые обычно не наблюдаются на ранних стадиях ревматоидного артрита. Критерии 2010 года описаны ниже.
Общая оценка 6 баллов и более указывает на ревматоидный артрит.
| Поврежденные суставы | |
| 0 баллов | 1 крупный сустав |
| 2 балла | От 1 до 3 небольших суставов (не считая крупных суставов) |
| 3 балла | От 4 до 10 небольших суставов (не считая больших суставов) |
| 5 баллов | Более 10 суставов, включая по меньшей мере одно небольшое соединение |
| Продолжительность симптоматики | |
| 0 баллов | У человека появились первые симптомы менее 6 недель |
| 1 балл | У человека наблюдаются симптомы в течение 6 недель или более |
| Серология | |
| 0 баллов | Отрицательные результаты: Анализы отрицательны для обоих антицитруллиновых белковых антител (называемых АЦЦП, как правило, с использованием анализа на анти-ЦЦП) и ревматоидного фактора (РФ) |
| 2 балла | Низкие положительные результаты: Анализы показывают слегка повышенные уровни АЦЦП или РФ |
| 3 балла | Высокие положительные результаты: Анализы показывают повышенные уровни АЦЦП или РФ |
| Острые реагенты фазы (белки острой фазы воспаления) | |
| 0 баллов | Нормальный С-реактивный белок (СРБ) и нормальный уровень скорости оседания эритроцитов (СОЭ) |
| 1 балл | Аномальный СРБ или аномальный СОЭ |
Серология и острые реагенты фазы измеряют с использованием образцов крови. Баллы могут быть добавлены с течением времени или ретроспективно.
Отек суставов
У людей с ревматоидным артритом обычно несколько суставов испытывают активные симптомы синовита, длительностью 6 или более недель.
Синовит — это воспаление суставной синовиальной оболочки, и ее симптомы могут включать отек, покраснение, повышенную температуру, боль и скованность, особенно после длительного отдыха.
Анализ крови
Нет единого лабораторного анализа, который мог бы окончательно диагностировать ревматоидный артрит. Тем не менее, есть несколько анализов крови для обнаружения изменений в организме, которые свидетельствовали бы о ревматоидном артрите.
Обычно используемые анализы крови определяют присутствие ревматоидного фактора (РФ), антитела к циклическому цитруллинированному пептиду (называемого АЦЦП или анти-ЦЦП) и воспалительных маркеров, таких как скорость оседания эритроцитов (СОЭ) и С-реактивный белок (СРБ).
Эти тесты также используются для диагностики других воспалительных заболеваний – например, исследования СРБ могут помочь диагностировать болезни сердца.
Визуализирующие методы исследования
Врач может направить пациента на визуализирующий метод диагностики, если клиническая оценка пациента и лабораторные анализы не предоставили достаточной информации для диагностики или исключения ревматоидного артрита. Визуализация позволит врачу увидеть, имеются ли повреждения суставов.
- Ультразвуковое исследование. Эта технология обработки изображений с помощью ультразвуковых волн используется для обнаружения воспаления тонкой синовиальной оболочки, которая инкапсулирует некоторые суставы и сухожилия. Это воспаление, называемое синовитом, является первым симптом ревматоидного артрита. Ультразвук также может обнаруживать теносиновиты в пальцах, которые также считаются ранним признаком РА.
- Рентгенография. На ранних стадиях ревматоидного артрита у человека могут появится только припухлости мягких тканей, которые не обнаруживаются на рентгеновском снимке, поэтому при ранней диагностики к рентгенографии прибегают редко. Рентген обычно используют, когда болезнь прогрессирует. Рентген может помочь обнаружить повреждение костей (эрозии), возникающие в результате длительного/продолжительного ревматоидного артрита. Он также может обнаружить сужение пространства суставов, возникших при деградации хряща и сближении кости с суставом.
- Магнитно-резонансная томография (МРТ) . Как и ультразвук, МРТ может обнаружить воспаление и другие изменения в мягких тканях сустава до того, как произойдет эрозия костной ткани. Кроме того, МРТ может показать на сколько кость повреждена. Недостатком МРТ является то, что он более трудоемкий и дорогостоящий, чем ультразвук и рентген. Как правило, к МРТ прибегают редко, и рекомендуется только в тех случаях, когда рентгенография и УЗИ не оказались полезными.
Физический осмотр и история болезни пациента
Назначение, скорее всего, начнется с того, что врач внимательно изучит историю болезни, попросит пациента описать его (ее) симптомы, задав вопросы:
- Какие суставы болят?
- Как бы вы описали боль (например, тупая, стреляющая или режущая, боли постоянны или прерывистые)?
- Есть утренняя скованность?
- Вы замечали повышенную усталость или изменения в весе?
- Вы испытываете другие симптомы, кроме боли в суставах?
- Когда начались первые признаки?
- Как менялись симптомы со временем?
- Что заставляет пациента чувствовать себя лучше или хуже? (например, занятие физическим трудом).
История болезни пациента:
- Другие медицинские проблемы пациента;
- Предыдущие болезни и методы их лечения;
- Прием текущих лекарств;
- Семейный анамнез (история болезней семьи).
Во время физического осмотра врач оценивает общее состояние пациента, а затем непосредственно переключается к суставам, ища признаки воспаления суставов.
Лечение ревматоидного артрита
Лечение обычно включает комбинированную терапию из лекарств, физических упражнений, диеты и изменения образа жизни. Целью терапии является:
- Контролирование симптомов, таких как боль и усталость;
- Предотвращение дальнейшего повреждение суставов и других тканей;
- Улучшить общее здоровье и самочувствие пациентам.
Почти все пациенты с ревматоидным артритом излечиваются, но пациенты получившие своевременное лечение в течение первых двух лет после появления первых симптомов, как правило, излечиваются быстрее. Своевременно принятые меры снижают риск развития серьезных повреждений суставов и инвалидности.
Лечение РА лекарственными препаратами
Люди с ревматоидным артритом, как правило, принимают по крайней мере одно лекарство. Лекарства, используемые для лечения ревматоидного артрита, подразделяются на пять основных категорий:
- НСПВП, такие как Напроксен (или из этого же можно попробовать Алив и Напросин), Мелоксикам (Meloxicamum) и Целекоксиб (Celecoxibum);
- Кортикостероиды, в частности Преднизон (Prednisonum);
- Болезнь-модифицирующие антиревматические препараты (БМАРП или базисные противоревматические препараты), такие как Метотрексат (Methotrexatum);
- Биологические препараты, которые подавляют активность иммунной системы, такие как Адалимумаб (Хумира), Этанерцепт или Инфликсимаб;
- Янус-киназа (JAK) – это самая последняя категория лекарств, которые должны быть одобрена при лечения РА. В 2016 году управление по контролю качества пищевых продуктов и лекарственных препаратов одобрило JAK-ингибиторы (тофацитиниб цитрат).
Начинается лечение ревматоидного артрита, как правило, с Метотрексата или других болезнь-модифицирующих антиревматических препаратов (БМАРП).
Первые результаты от приема лекарственных препаратов можно увидеть через несколько недель или месяцев, при этом временно, для облегчения симптомов, также могут быть назначены кортикостероиды.
Если симптомы не проходят в течение разумного промежутка времени, врач может назначить Метотрексат или иной БМАРП наряду с другими лекарственными препаратами.
В течение нескольких месяцев или лет лекарство может стать менее эффективным или вызвать побочные эффекты, и врач выпишет новое лекарство.
Важно соблюдать рекомендации по лечению лекарствами! Некоторые люди склонны пропускать прием лекарств, из-за опасения побочных эффектов и связанных с ним последствий. Другие могут просто забывать принимать лекарство в назначенное время. Если лекарства не принимать должным (указанным врачом) образом, терапия окажется менее эффективной.
Физические упражнения и поддержание здорового веса
Для лечения ревматоидного артрита часто рекомендуются умеренные физические упражнения, такие как ходьба, плавание, йога и тай-чи. Регулярные физические упражнения помогут укрепить слабые суставы и унять боли. Регулярный упражнения помогут поднять:
- силу мышц;
- общею функциональность и гибкость суставов;
- качество сна;
- здоровый вес;
- здоровье сердечно-сосудистой системы.
Держать вес и здоровье сердечно-сосудистой системы на адекватном уровне особенно важно для пациентов с РА, потому что у них повышен риск развития болезней сердца.
Кроме того, пациенты с РА, страдающие от переизбытка веса или ожирения испытывают куда больше проблем.
Здоровое питание (диета)
Многие специалисты полагают, что существует некая связь между, воспалением и питанием. Людям страдающим от РА они рекомендуют придерживаться противовоспалительной диеты, с высоким содержанием омега-3 жирных кислот, свежих овощей и фруктов.
Хирургия при РА

Большинстве людей с ревматоидным артритом не приходилась лечится хирургическим путем, но, как больные с остеоартритом, страдающие от РА пациенты, могут выбрать операцию, чтобы снизить болевой синдром в суставах и улучшить качество повседневной жизни.
Наиболее распространенными операциями являются, эндопротезирование, артродез и синовэктомия.
Эндопротезирование
Пациенты могут сделать эндопротезирование (операция по замене компонентов сустава имплантантами) суставов плеч, бедер или колен, а также небольших суставов пальцев рук и ног.
Артродез
При этой процедуре, поврежденный сустав удаляется, а соседние кости соединяются вместе. Процедура значительно ограничивает движение, но повышает стабильность и уменьшает болевой синдром в пораженных суставах.
Артродез наиболее часто используется для лечения артрита в голеностопных суставах, запястьях и пальцах.
Артродез иногда требует применения костных трансплантатов, полученных из собственного таза пациента. Его также, применяют для снятия боли с суставов позвоночника, только при этом, процедура называется спондилодезом.
Синовэктомия
Во время этой процедуры хирург удаляет воспаленную синовиальную оболочку вокруг сустава. Удаляя поврежденную ткань, предполагается уменьшить или устранить у пациента все симптомы. Однако не все ткани могут быть удалены, поэтому воспаление, отек и боль могут вернутся вновь.
Видеозаписи по теме
Ревматоидный полиартрит – причины, симптомы, лечение
Ревматоидный полиартрит (РП) – это хроническое аутоиммунное системное заболевание, поражающее суставы. Развивается по типу симметричного полиартрита с поражением внутренних органов. Болезнь является одной из наиболее инвалидизирующих и распространенных ревматических патологий. Ревматоидным полиартритом женщины болеют в 3 раза чаще, чем мужчины.

Код по мкб 10 серопозитивного ревматоидного полиартрита — M05, серонегативного ревматоидного полиартрита — M06.0.
Причины
На данный момент неизвестно, что именно является причиной развития ревматоидного полиартрита. Однако существует несколько теорий, позволяющих предположить, какие именно факторы способствуют началу и развитию заболевания:
- Генетические причины – доказано, что клетки, обеспечивающие иммунитет, могут по-разному реагировать на различных возбудителей инфекций. При сбоях в иммунной системе организм ошибочно принимает собственные клетки за инородные агенты и вырабатывает против них антитела. Что приводит к постоянному повреждению собственных тканей.
- Инфекционные – заболевание может активироваться после перенесения инфекций, которые вызываются вирусом Эпштейна-Барра, ретровирусами, вирусами краснухи, герпеса, цитомегаловирусом.
- Развитие заболевания могут спровоцировать такие причины, как стресс, переохлаждение, травма.
Симптомы

Начало болезни редко бывает острым, болезнь развивается постепенно. Поэтому симптомы не появляются сразу, а нарастают с течением времени.
Общие проявления
Для этого заболевания характерно ранее появление неспецифических симптомов, что затрудняет диагностику. Первыми симптомами чаще всего являются:
- хроническая усталость;
- артралгии (боли в суставах);
- похудение;
- температура тела 37,3–37,5;
- тугоподвижность суставов с утра (отмечает около 30% больных).
Такое состояние может длиться месяцами.
Специфические симптомы
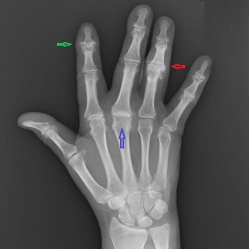
Характерным симптомом является повреждение суставов кистей, стоп, запястья, локтевых коленей. Также поражаются мышечные сухожилия в области кисти. Типичный признак ревматоидного полиартрита – поражение суставов одновременно с двух сторон.
В запущенных случаях можно говорить о характерной «ревматоидной кисти». Она бывает нескольких видов:
- «пуговичная петля» — верхние межфаланговые суставы неподвижно согнуты и переразогнуты в нижней части фаланги;
- «лебединая шея» — межфаланговые суставы неподвижно согнуты в нижнем отделе и переразогнуты в верхней части.
Этот комплекс симптомов является типичным для ревматоидного полиартрита.
Почти всегда страдают суставы пальцев стопы, что проявляется изменениями, называемыми «ревматоидной стопой». Больных беспокоит боль и последующая деформация стопы. Характерные симптомы:
- молоточковидные деформации пальцев;
- отклонение пальцев во внешнюю сторону;
- плоскостопие;
- болезненные «натоптыши»;
- Hallux valgus (отклонение первого пальца стопы кнаружи);
- воспаление суставной сумки 1 пальца стопы.
Запущенный артрит может стать причиной варусной деформации стопы, что приводит к О-образнму искривлению голеней.
Другие проявления ревматоидного полиартрита

Почти во всех случаях заболевания имеет место системность, то есть поражение систем и органов, не относящихся к опорно-двигательному аппарату. Чем больше развивается ревматоидный полиартрит, тем ярче проявляются системные признаки.
Чаще всех остальных симптомов встречаются подкожные узелки в области локтевого сустава.
Их можно наблюдать у каждого десятого заболевшего. Это в основном плотные на ощупь, безболезненные небольшие образования.
Еще одним определяющим симптомом является полинейропатия – поражение большого количества периферических нервов. Больные жалуются на онемение, жжение, зябкость в стопах и кистях рук, но двигательные расстройства – редкое явление. Эти два симптома в основном отмечаются у больных серопозитивным РП.
Ревматоидный васкулит (воспаление стенок сосудов) может проявляться безболезненными язвами в районе голени, эписклеритом (покраснением склеры), точечными омертвениями или кровоизлияниями в сосуды. Последние могут становиться причиной инфарктов и инсультов.
В сердце, кроме воспаления околосердечной сумки, могут отмечаться изменения, вызванные миокардитом или эндокардитом. Могут формироваться пороки сердца, но выраженность их обычно небольшая и на сердечную деятельность они влияют редко.
Поражение легких включает в себя:
- воспаление альвеол;
- ревматоидные узелки в ткани легких;
- воспаление легочных сосудов.
Поражение почек в форме гломерулонефрита встречается значительно реже, чем нарушение их деятельности вследствие принятия большого количества лекарственных препаратов.
Диагностика ревматоидного полиартрита

Для диагностирования ревматоидного полиартрита используют лабораторную диагностику – для этого используют кровь (общий анализ крови, фибриноген, РФ, СРБ, α-глобулины) и суставную жидкость, а также данные рентгенографических исследований.
Лабораторная диагностика
Одним из самых верных признаков заболевания является обнаружение в сыворотке крови ревматоидного фактора (РФ). Но приблизительно у 1/5 пациентов с доказанным ревматоидным полиартритом он может отсутствовать. На ранних стадиях заболевания РФ также может быть отрицательным.
В общем анализе крови выявляются снижение цветного показателя до 0,8, низкий гемоглобин (не менее 80 г/л), увеличенное СОЭ, может быть небольшое повышение содержания эозинофилов. Количество лейкоцитов и нейтрофилов соответствует норме.
Также в крови отмечается повышенное количество фибриногена, C-реактивного белка (СРБ), α-глобулинов.
Для диагностики раннего ревматоидного полиартрита используется определение антител к циклическому цитрулиннированному пептиду (АЦЦП).
В суставной жидкости выявляются изменения, типичные для ревматоидного полиартрита.
Рентгенография суставов

Рентгенографическое исследование необходимо как для постановки диагноза, так и для наблюдения, а также оценки развития заболевания в динамике.
Основными симптомами рентгенологических изменений со стороны суставов являются:
- околосуставной остеопороз (патологическое снижение плотности) верхнего и нижнего края кости – эпифиза;
- сужение щели сустава и начинающееся развитие краевых изъязвлений (узур);
- Разросшаяся деформированная суставная оболочка становится рыхлой, «наползает» на хрящ, срастаясь с ним, и разрушает его. Такое образование называется паннусом.
Кроме рентгена, очень желательными являются денситометрия и сцинтиграфия в динамике именно мелких суставов с захватом лучезапястных и голеностопных суставов и скрупулезным подсчетом эрозий.
Прогрессирование ревматоидного полиартрита приводит к развитию анкилозов (неподвижности сустава). Особенно рано они развиваются в мелких суставах запястья, срастающихся в единый костный блок.
Классификация ревматоидного полиартрита

Включает в себя характерную симптоматику, степень его активности, рентгенологическую стадию и функциональные классы.
При положительном РФ заболевание называют серопозитвным, а при отрицательном – серонегативным.Согласно рабочей классификации, принятой в Минске в 2003 году, РП бывает следующих видов:
- По наличию РФ в сыворотке крови – серопозитивный и серонегативный.
- По активности РП может быть в состоянии ремиссии, низкой, умеренной или высокой степени активности.
- Состояние организма подразделяется на четыре функциональных класса, соответственно которым определяются возможности самообслуживания, а также трудоспособности и профессиональной деятельности.
- По стадиям соответственно рентгенологическому состоянию РП делится на околосуставной остеопороз (уменьшение плотности костной ткани), к которому с ухудшением состояния присоединяются сужение околосуставной щели, появление узур и развития анкилоза суставов.
Активность воспаления отражает, насколько быстро развивается болезнь, а также эффективность противовоспалительной терапии. Но если активность процесса низкая, то это не значит, что потерянные ранее функции будут восстанавливаться. На сегодняшний день, к сожалению, это невозможно.
Активность заболевания находится в прямой зависимости от симптомов и некоторых лабораторных показателей.
Дифференциальная диагностика
Узнать ревматоидный полиартрит, как правило, не составляет большого труда. Сложности могут возникнуть только на ранних стадиях заболевания, когда изменений в суставах еще нет, а РФ в крови присутствует не всегда.
РП необходимо отличать от таких болезней:
- анкилозирующего спондилоартрита;
- синдрома Рейтера;
- псориатического артрита;
- остеоартроза;
- подагры.
Лечение

Подход к лечению этого заболевания должен быть комплексным. Основными задачами в борьбе с ревматоидным полиартритом являются:
- уменьшить, насколько возможно, проблемы с опорно-двигательным аппаратом;
- замедлить или приостановить системные проявления;
- профилактика осложнений;
- профилактика побочного действия лекарств.
Только комбинация различных методов лечения является залогом успешной терапии и увеличивает шансы на приостановление патологического процесса и улучшение качества жизни.
Принципы лечения включают в себя основную программу, дополнительные и вспомогательные методы.
В статье «Разновидность ревматоидного артрита – ревматоидный полиартрит» использованы материалы:
http://sustavlive.ru/artrit/revmatoidnyj-poliartrit.html
http://artosustav.ru/artrit/poliartrit/revmatoidnyj/
http://tvojajbolit.ru/revmatologiya/chto-takoe-revmatoidnyj-artrit-simptomy-i-lechenie/
http://medotvet.com/arthritis/revmatoidnyi-poliartrit-prichiny-simptomy-lechenie.html