Симптомы артрита локтевого сустава и методы лечения
Артрит локтевого сустава (локтевой артрит)
Что такое локтевой артрит?
Воспалительные процессы могут возникать в разных частях тела. Пожалуй, самыми неприятными из них являются те, которые поражают места сочленения костей – суставы. Артриты сопровождаются острым болевым синдромом и значительно ограничивают подвижность конечностей.
Локтевой артрит – это воспаление локтевого сустава.
Локтевой артрит представляет собой сложное сочленение и состоит из трех костей:
Соответственно и простых суставов здесь столько же:
плечелучевой (лат. articulatio humeroradialis);
плече-локтевой (лат. articulatio humeroulnaris);
лучелоктевой (лат. articulatio radioulnaris proximalis).

Артриты встречаются примерно в 10% всех случаев болей в области локтя. Они имеют тенденцию быстро распространяться на другие суставы. Так моноартрит переходит в полиартрит. Для диагностики заболевания врач проводит с пациентом беседу для выяснения всех деталей клинической картины. Производится осмотр с пальпацией. Для уточнения локализации воспаления делают рентген в двух проекциях: прямой и боковой. Чтобы выяснить степень воспаления, сдают анализ крови.
Если рентгенографии оказывается недостаточно, то проводят ультразвуковое исследование, делают компьютерную или магнитно-резонансную томографии. Дополнительно используются атро- и термографии (обследование тепловизором). Также возможна пункция содержимого синовиальной сумки, биопсия тканей для выявления этиологии заболевания. Анализируя химический состав извлеченного содержимого, можно установить возбудителей воспалительного процесса.
Формы артрита локтевого сустава:
Течение болезни и используемые методы лечения различны для взрослых и детей. Статистика заболеваемости артритом такова: им болеют 80% людей 65 лет и старше. Каждый шестой из них становится инвалидом. Туберкулезный артрит локтевого сустава обычно встречается среди детей и составляет приблизительно 3% всех специфических заболеваний опорно-двигательной системы. Факторы риска заболеть делят на генетические — обусловленные наследственностью (только у женщин) и приобретенные. У женского пола болезнь провоцирует ген HLA-В27.
В большинстве случаев заболевание носит ревматоидный характер, т.е. развивается постепенно. Со временем может появиться очень тяжелое осложнение – суставная контрактура («стягивание, сужение»). Это вынужденное закрепление руки в одном положении, возникающее из-за рубцевания окружающих мягких тканей. Лечат контрактуру вытяжением, с помощью гипсовых повязок и даже операций. Восстановительные процедуры очень болезненны.
Еще одно неприятное последствие локтевого артрита – флегмона. Часто развивается осложнение в виде бурсита – воспаления околосуставной сумки. Последствием локтевого артрита может стать и анкилоз – обездвиженность сочленения вследствие полного сращения суставных поверхностей. Болезнь иногда приводит к поражению сердечно-сосудистой системы, кожных покровов и слизистых оболочек.
Почему же многие больные постоянно откладывают визит к врачу? Это связано с особенностью артритных болей. Они обостряются утром или после долгой неподвижности руки. Немного разработав больной локоть, заболевший значительно снижает неприятные ощущения. Чаще всего люди обращаются за медицинской помощью, когда болезнь входит в острую фазу, и терпеть боль становится невозможно.
От того, на какой стадии болезни началось купирование воспалительного процесса, зависит длительность лечебного курса. Чем раньше обратиться за помощью, тем быстрее можно восстановить работоспособность. Легкая форма локтевого артрита излечивается в течение недели, тяжелая – нескольких месяцев.
После излечения больной не должен пренебрегать мерами профилактики. Приветствуется пребывание в специализированных санаториях. Если же пренебречь болями, отложить лечение на неопределенное время, то локтевой артрит не только станет хроническим, но и вызовет тяжелейшие осложнения. Некоторые из них могут привести к летальному исходу.
Симптомы артрита локтевого сустава

Локтевой артрит сопровождается следующими симптомами:
болевой синдром из-за сдавливания нервных корешков при опухании — артралгия (суставная боль);
Лечение артрита локтевого сустава в домашних условиях: эффективные методы
Описание болезни
Артрит – это заболевание, которое связано с патологическим процессом, протекающим в хрящевой ткани и сопровождающееся сильными болевыми ощущениями. Для артрита характерно медленное прогрессирование и хроническая форма протекания. Локтевые суставы страдают от воспалительных процессов не реже других сочленений, особенно из-за различных травм. В случае, когда такие травмы происходят часто, развитие артрита становится неизбежностью.
Многие часто путают артрит с артрозом, однако в медицине часто встречаются случаи, когда болезнь сочетает в себе признаки артроза и артрита. Артрозо-артрит локтевого сустава характеризируется разрушением хрящей и суставов, которое сопровождается сильным воспалением.
Как правило, после падения или удара человек ощущает дискомфорт и боль, ограничивается подвижность конечности. Особенность локтевого артрита в том, что он достаточно быстро распространяется на другие суставы и превращается в полиартрит. Данная патология свойственна преимущественно пожилым людям. Развивается она достаточно медленно, однако со временем болезнь усугубляется и осложняется другими заболеваниями (бурситом, флегмоной).
К сожалению, большинство пациентов, замечая болевые ощущения в локте, не слишком торопятся к врачу, что приводит к серьезным осложнениям. Как правило, боли ощущаются в утреннее время, а после разработки сустава проходят. Обратиться за медицинской помощью человека вынуждает обострение, которое наступает резко и сопровождается сильными, пронзительными болями. Терапевтические мероприятия всегда зависят от стадии болезни, а после курса лечения обязательными становятся профилактические мероприятия с целью предотвратить рецидив.
Фото артрита локтя:
Виды артрита локтевого сустава и их симптоматика
Более детально описать симптоматику болезни можно исходя из видов ее проявления. Существует несколько видов артрита локтя, исходя из первопричин его возникновения.
- Гнойный артрит, его симптомы: повышение температуры, стремительно проявляющаяся интоксикация (тошнота, рвота, головокружение), припухлость непосредственно локтевого сустава. На месте дислокации недуга проявляется покраснение, кожа болезненная и горячая. Возможны болевые атаки, в острой форме протекания болезни эти атаки просто невыносимы.
- Артрит туберкулезный, его симптомы: медленная прогрессия недуга с рентгенологической картиной. Зачастую на ранних этапах артрит не проявляется симптомами, но при каждом последующем ушибе или травме симптомы начинают возникать. Это и боль, проявляющаяся при резких движениях локтя, небольшая опухлость, серозный выпот в полость локтевого сустава.
- Артрит псориатический или основывающийся на подагре артрит, его симптомы схожи с симптоматикой ревматоидного вида болезни. Сразу не проявляются ярковыраженные симптомы артрита. Усиление боли заметно при движениях локтевого сустава, она с каждым разом усиливается. Заметно накопление синовиальной жидкости, образовывается припухлость в области пораженного сустава, после сна и отдыха ощущается скованность в локте. После активной разминки суставом ощущение закрепощения исчезает, что сбивает с толку и создает мнимое впечатление об отсутствии проблем в локте. Как правило, на ранних стадиях развития псориатического артрита локтя человек старается держать сустав в полусогнутом положении для избегания болезненных ощущений.
Причины появления артрита
Возникнуть патология может в результате многих причин. Любой воспалительный процесс вызывается борьбой иммунитета с вирусами и инфекциями. Обостряется артрит по этой же причине. Воспаление сустава сигнализирует об инфицировании суставной сумки или патологическом процессе в самом суставе. Как бы то ни было, артрит локтя начинается с воспаления, а его симптоматика зависит от стадии болезни и особенностей протекания.
Возникнуть болезнь может по ряду причин:
- травмы, ушибы, падения,
- нарушения обмена веществ,
- инфицирование сустава,
- онкологические образования,
- сифилис, туберкулез, волчанка.
Когда у пациента есть признаки болезни, а установить ее причину невозможно, врачи диагностируют идиопатический артрит.
Почему воспаляется локтевой сустав
Ревматологи выделяют множество причин, провоцирующих развитие воспаления в локтевом суставе:
- Травмы, ушибы, растяжения и прочие повреждения сустава, вызывающие локтевой артрит травматического характера;
- Вещественнообменные расстройства вроде подагры, провоцирующие развитие подагрического артрита, воспаление сустава может развиться и на фоне диабета;
- Проникновение в суставные ткани инфекционного агента вызывает развитие гнойной артропатии;
- Сепсис;
- Осложнения разного рода инфекционных процессов вроде бруцеллеза, туберкулеза, гонореи, уреаплазмоза и пр.;
- Опухоли злокачественного происхождения;
- Пищеварительные и дыхательные инфекции;
- Системные расстройства и патологии, для которых характерны иммунные сбои (волчанка, ревматоидные воспаления суставов и пр.);
- Сифилис;
- Временами определить этиологию локтевого артрита невозможно, тогда диагностируется идиопатическая форма патологии.
Выявление болезни
Симптомы артрита, как правило, яркие и характерные, однако не все пациенты, заметив дискомфорт в конечности, спешат за консультацией к врачу. Часто пациенты начинают заниматься самолечением, прибегая к компрессам и примочкам. Как результат, болезнь начинает прогрессировать, а ее симптомы становятся ярче.
Первое, что должен сделать человек, ощутив боли в локте, – это обратиться к ревматологу за консультацией. Только специалист может диагностировать заболевание и назначить лечение. Обычно пациента направляют на обследование, чтобы исключить сопутствующие болезни и подтвердить первичный диагноз.
Диагностика артрита включает в себя:
- развернутый анализ крови,
- УЗИ,
- МРТ или КТ.
Как лечить синовит локтевого сустава?
Признаки и симптомы артрита локтя
Локтевой артрит сопровождается общей симптоматикой и местными проявлениями. Общие симптомы заключаются в слабости, лихорадке, тошнотно-рвотных признаках, головных болях и недомоганиях. В зависимости от разновидности артропатии могут присутствовать и признаки специфического характера: если имеет место гнойный артрит, то характерно развитие сепсиса, наличие опухолей характеризуется кахексией, а туберкулезная артропатия часто сопровождается кровохарканьем и пр.
Местная симптоматика основывается на таких проявлениях, как:
- Отечность в области локтя, связанная с избыточным содержанием внутрисуставной жидкости;
- Болевой синдром, обусловленный нервнокорешковым сдавливанием;
- На ощупь локоть горячий;
- Мышечный дискомфорт, ломота;
- Поверхность кожи над локтевым суставом красная;
- Нарушения суставной подвижности.
Основным признаком локтевого артрита выступает болевой синдром, зависящий от этиологии артрита. Для подагрического воспаления суставов характерна боль изнуряющего, ноющего, тупого характера, а для ревматического артрита, наоборот, – сильный, резкий, сковывающий болевой синдром. Наряду с вышеперечисленными проявлениями у пациента наблюдаются признаки, характерные для первопричины развития артропатии и сопутствующих патологий.
Терапевтические мероприятия
Лечение артрита включает в себя ряд мероприятий, которые в комплексе оказывают свое воздействие на патологию. Применяют прием препаратов, физиотерапию, ЛФК, массаж. В качестве вспомогательного лечения используют народные средства. Если консервативное лечение не приносит ожидаемого результата, возникает необходимость в проведении операции.
Медикаментозное лечение
Лечение проводится в несколько этапов. На первом этапе устраняются провоцирующие факторы и лечатся сопутствующие заболевания. Лечение артрита и снятие обострения (при наличии) проводится параллельно.
На втором этапе проводят обезболивающую терапию. С этой целью назначаются антибиотики, НПВС (Целебрекс, Мелоксикам), гормональные, обезболивающие препараты (Анальгин, Баралгин). При сильных болях делаются инъекции непосредственно в очаг поражения. Очень важно в этот момент минимизировать нагрузку на пораженный сустав.
Физиотерапия
На третьем этапе лечения восстанавливают подвижность больного сустава, делают массажи, ЛФК, физиопроцедуры. Чтобы закрепить положительный результат терапии, реабилитационный курс для пациента обязателен. К тому же очень важно укрепить иммунитет после курса лечения, так как после приема антибиотиков организм ослаблен.
Во избежание рецидива пациенту необходимо после лечения пересмотреть свой образ жизни и при необходимости изменить сферу деятельности. Нагрузки на суставы следует минимизировать, как и риск получения травм.
Лечебная гимнастика является неотъемлемой составляющей всего процесса лечения. При помощи специальных упражнений, можно поддерживать суставы в оптимальном состоянии при хроническом течении болезни. Кроме того, после снятия обострения ЛФК способствует скорейшему восстановлению тканей.
Чем лечить локтевые суставы в домашних условиях, рассмотрим далее.
Лечение народными средствами
Достаточно популярно лечение локтевого артрита народными средствами.
Важно: при обострении категорически запрещено использовать согревающие компрессы и растирки!
Минимизировать проявления патологии можно при помощи следующих народных средств:
- Компрессы из капустного листа, лопуха.
- Мазь на основе прополиса со сливочным маслом.
- Компрессы из меда и алоэ.
- Мази из вазелина и лекарственных растений.
- Ванны с йодированной солью.
- Компрессы на основе тертого сырого картофеля.
Избавиться от сильных болей можно при помощи анальгетиков, параллельно с ними используя народные рецепты. Лечение локтевого сустава народными средствами в домашних условиях ускоряет процесс купирования боли. Комплексные терапевтические мероприятия помогут быстрее восстановить сустав и вернуть ему подвижность.
Чтобы улучшить кровоснабжение в месте поражения, можно использовать растирку, приготовленную собственноручно. Для этого в равных частях берут яблочный уксус и мед (по 2 ст.л.). Компоненты смешивают и настаивают 3-6 часов.
Этим лекарством растирают локоть перед сном на протяжении месяца. После растирания очень важно утеплить больной участок и до утра держать в тепле.
Диагностика
Чтобы установить происхождение артрита и подтвердить воспаление локтевого сустава, необходимо клинический осмотр дополнить другими методами исследования. Точный диагноз можно установить с помощью лабораторных и инструментальных средств:
- Общих анализов крови и мочи.
- Биохимического исследования крови.
- Анализа синовиальной жидкости.
- Рентгенографии сустава.
- Магнитно-резонансной томографии.
В зависимости от клинической ситуации, требуется консультация ревматолога, эндокринолога, травматолога.
После выявления артрита необходимо сразу же приступать к его лечению. Конкретные мероприятия определяются видом заболевания и особенностями организма пациента. Среди общих рекомендаций стоит отметить ограничение или исключение нагрузки на руку, при остром процессе можно использовать косыночную повязку, приложить холод.
Медикаментозная терапия
Лечение артрита локтевого сустава не обходится без медикаментов. Они обладают широким терапевтическим воздействием на пораженные ткани и организм, позволяя не только устранить симптомы, но и улучшить обменно-метаболические процессы. Как правило, артрит является показанием к назначению следующих лекарств:
- Нестероидные противовоспалительные.
- Антибиотики.
- Хондропротекторы.
- Гормоны и цитостатики.
- Противоподагрические.
- Улучшающие микроциркуляцию.
- Витамины и микроэлементы.
Указанные группы лекарств могут использоваться как в инъекционной, так и в таблетированной форме. Назначается и местная терапия специальными мазями (гелем, кремом).
Медикаменты нельзя использовать без рекомендации врача. Только он укажет, какой конкретно препарат применять, его дозировку и курс приема.
Физиотерапия
Комплексное лечение артрита предполагает использование физиотерапевтических процедур. Они улучшают кровоток в пораженной зоне, нормализуют биохимические процессы в тканях, способствуя устранению воспаления. Как правило, рекомендуют такие методы:
- Электрофорез.
- Волновая терапия.
- Лазерное лечение.
- Магнитотерапия.
- Парафино- и грязелечение.
В основном процедуры применяются при хронических артритах или в стадии затухающего обострения. Но гнойный процесс является противопоказанием ко многим методам физиотерапии.
Лечебная гимнастика и массаж
Когда воспаление в суставе имеет хронический характер, сопровождаясь нарушением подвижности в конечности, без лечебной гимнастики не обойтись. Используются упражнения на укрепление мышц, связочного аппарата и расширение двигательного объема. Для каждого пациента формируется своя программа занятий, чтобы лечение стало максимально индивидуализированным. А разогреть мышцы, их расслабить и подготовить к упражнениям поможет массаж.
Читать также: Псориатический артрит что это такое
Занятия лечебной гимнастикой следует проводить регулярно, сначала под руководством специалиста, а затем и дома.
Народные методы
Широкой популярностью пользуются народные методы лечения артрита. Но их нельзя ставить на первый план, забывая о традиционной терапии. В качестве дополнительных средств можно воспользоваться такими рецептами:
- Ванночки с морской солью, древесной золой, отваром березовых листьев, отрубей.
- Мазь из березовых почек, скипидарная, камфорная, горчично-соляная.
- Растирка из хрена и хлебного кваса, спиртового раствора анальгина.
- Компрессы из листьев лопуха, сырого картофеля.
- Принимать отвар из ивовой коры, цветков конского каштана, цикламена; настой цветов коровяка, корзинок подсолнуха.
Какой бы ни была причина артрита локтевого сустава, лечение должно быть обоснованным и безопасным. Врач поможет подобрать оптимальные методики терапии, которые обеспечат скорое выздоровление.
Профилактические меры
Заболевания хрящевой ткани поддаются лечению достаточно сложно. Курс лечения обычно длительный и сложный. Для того чтобы предотвратить такое заболевание как артрит, необходимо в течение всей жизни придерживаться простых профилактических мер.
Врачи советуют в первую очередь вести активный и здоровый образ жизни, заниматься спортом, больше двигаться. Движение – это залог здоровых суставов. Очень полезно плавание, гимнастика, бег. Важно избегать чрезмерных нагрузок на суставы, переохлаждения.
Лечение народными средствами
Эпикондилит
Распространенное заболевание среди спортсменов, строителей и сельхозработников. Сустав воспаляется в месте крепления кости к мышцам. Характерным симптомов нет, поэтому диагностика данного заболевания очень сложная.
- Хорошим средством, снимающим воспаление, является чайный лед. Для его приготовления ложку зеленого чая заварите стаканом кипятка. После того как остынет, перелейте чай в два пакета, завяжите и положите в морозилку так, чтобы получить ледяные пластины. После полного замораживания, выньте лед из пакетов и приложите к локтевому суставу, закрепив его бинтом. Через несколько дней воспаление спадет. Затем следует начать курс прогреваний.
- Семидневный курс глиняных прогреваний следует начать после ледяных компрессов. Сделайте кашицу из голубой глины и теплой воды. Выложите смесь на компрессную ткань и приложите к суставу, закрепив теплой повязкой, на полчаса. Спустя полчаса, наложите новый теплый глиняный компресс. В день необходимо сделать три процедуры.
- Заранее приготовьте лавровое масло для компрессов. Нужно взять оливковое или подсолнечное масло 200 мл, всыпьте в него измельченный лавровый лист четыре ложки и оставьте на неделю. После процеживания масло готово для использования. Перед применением подогрейте и накладывайте компрессы на 25 минут.
Артроз
При этом заболевании сустав начинает похрустывать и наблюдается ограничение его подвижности. Если не лечить, может начаться деформация суставов и костей.
- Мел и кисломолочные продукты снимут боль и уменьшат опухоль. Купите школьный мел, растолките его в порошок и размешайте с каким-нибудь кисломолочным напитком до состояния кашицы. Обмажьте локоть полученным лечебным средством, наложите непромокаемый материал и зафиксируйте повязкой. Оставьте на всю ночь.
- Компресс из овсяных хлопьев. Сварите густую овсяную кашу на воде, без соли. После того, как остынет, наложите на больной сустав и оставьте до утра.
- От болей избавит компресс с капустным соком. Отожмите из свежей капусты сок, намочите в нем шерстяную тряпочку и оберните локтевой сустав. Закрепите, оставьте на ночь. Можно делать капустные компрессы днем, если вы не выполняете активной физической работы.
- Хорошее обезболивающее средство — мед. Его нужно смешать с яблочным уксусом или спиртом в равных пропорциях. Через несколько часов можно использовать для растираний. Двадцать сеансов помогают избавиться от боли за счет усиления циркуляции сосудов.
- Еще один рецепт растирки для локтевого сустава. Подготовьте: по ложке иссопа, кипариса, хвои сосны, эвкалипта, две ложки ромашки. Измельчите, смешайте и залейте качественным растительным маслом. Через сутки можно начинать лечебный курс растираний. Растирать сустав следует дважды в день.
Артрит
Довольно часто встречающееся заболевание локтевого сустава. Проявляется отеком и покраснением. Бывает: ревматоидный, реактивный, инфекционный, подагрический.
Средства от артрита
- Взбейте три яичных белка, добавьте сто мл камфарного спирта и сто граммов порошка горчицы. Все еще раз взбейте. Смазывайте средством локтевой сустав. Накрыв его пленкой и закрепив теплой повязкой, оставьте на ночь. Утром смыть.
- Для приготовления следующего средства, подготовьте пятилитровую, желательно стеклянную, посудину. Всыпьте в нее горсточку измельченных корней девясила и сто граммов дрожжей. Добавьте полкилограмма меда и долейте кипяченой теплой воды. Хорошо размешайте, закройте, оберните одеялом и поставьте в тепло на 14 дней. Принимайте пятьдесят граммов настойки трижды в день. Храните в прохладном месте.
- Сделайте водочный настой из конского щавеля. Пятьдесят граммов измельченных корней настаивать в литре водки две недели. Принимать по одной ложке утром и перед сном.
- Взять растение одуванчика целиком (без цветка), мелко порезать. Одну ложечку одуванчика заварить в стакане кипящей воды. Через час процедить. Выпить в течение дня до еды, разделив на четыре части
- Из первоцвета получается простое, но действенное средство. Настаивать полчаса десять граммов сухого первоцвета в стакане кипятка. Разделив на три порции, выпить за день.
- Растирка из сока редьки. Выжать из редьки полтора стакана сока, добавить стакан меда, полстакана водки и ложку соли. Размешать до полного растворения соли и применять для растирания суставов.
- Хороший лечебный эффект дают простые обертывания свежими листьями мать-и-мачехи или лопуха.
- Подготовьте травяной отвар для принятия лечебной ванны. 250 граммов аира прокипятите в трех литрах воды. Влейте отвар в ванну с комфортной температурой воды и погрузитесь в нее на двадцать минут.
- Для местных ванночек используйте еловый отвар. Ветки ели заварите в небольшом количестве кипящей воды. После того, как настой остынет до температуры тела, погрузите в него больной сустав на 20-30 минут.
Деформирующий остеоартроз
Средства от деформирующего остеоартроза
При этом заболевании поражается хрящевая ткань сустава. Именно деформирующий остеоартроз считается самым частым среди суставных болезней и нередко приводит к нетрудоспособности.
- Взять поровну крапиву, календулу, кору ивы и лист березы. Две ложки сбора залейте на 12 часов литром кипящей воды. Процедите и пейте по полстакана до пяти раз в день.
- Сухие брусничные листья измельчите до состояния порошка. Всыпьте в пол-литра кипящей воды одну ложку получившегося брусничного порошка и оставьте на полчаса. Принимайте по полстакана трижды в день. Действует на отложение солей в суставах.
- Очистите семь штук картофеля и отварите их. Растолките картофель в пюре, влейте к нему 20 мл отвара, 30 мл камфарного масла, 25 мл муравьиного спирта, две ложки растительного масла и две ложки меда. Тщательно перемешать, выложить ровным слоем на компрессную ткань и наложить на сустав. Закрепить непромокаемым материалом и теплой повязкой. Оставить до утра. Курс — 15 компрессов.
- Взять в равных количествах сухой зверобой и хмель. Измельчить и размешать с вазелином. Использовать для втирания в пораженный локтевой сустав.
- Проще следующего лечебного средства не бывает. Аппликации из вымоченного в течение двух дней риса не только снимут боль, но и буквально вытянут из больного с устава соли.
- Две ложки меда размешайте в стакане молока, добавьте пятнадцать капель валерьянки. Через день втирайте в локтевой сустав утром и перед сном. После процедуры утепляйте локоть.
- Каждый день в течение месяца смазывайте больной сустав следующим средством. Добавьте в стакан молока ложку соли и доведите до кипения. Каждый вечер, после принятия душа, смачивайте локоть соленым молоком.
- Приготовьте мазь на основе полыни. Сухую полынь нужно тщательно растереть с небольшим количеством подсолнечного масла, добавить глицерин и вазелин, еще раз растереть и нагреть на паровой бане. Через два дня мазь готова. Втирайте в сустав дважды в день.
Бурсит
Это воспаление суставной сумки, при котором происходит образование и накопление в ней воспалительной жидкости. Причиной может быть травма или систематическое механическое раздражение сустава. При заболевании возможен подъем температуры тела, недомогание, отек и покраснение сустава.
Компрессы для снятия боли
- Чтобы облегчить неострую боль, нужно делать теплые компрессы с отваром зверобоя, тысячелистника, ромашки или корня лопуха. Их же рекомендуется принимать внутри по половине стакана три раза в день.
- Если бурсит хронический, поможет компресс, который делайте с вечера и оставляйте до утра. Настрогайте хозяйственное мыло, возьмите примерно ложку стружек и перемешайте с таким же количеством меда и поставьте на паровую баню до полного растворения мыла. В это время очистите и мелко нарежьте одну луковицу. Мыльно-медовую смесь распределите по компрессной ткани, на нее выложите лук и оберните сустав. Сверху — непромокаемый материал и утепляющую повязку.
- Если нужно быстро снять боль, натрите на терке картофелину и приложите в качестве компресса на локтевой сустав. Держите, пока боль не утихнет.
- Приятный на вкус и полезный напиток. Растворите в стакане теплой воды ложечку меда, добавьте ложечку яблочного уксуса. Три недели пейте такой напиток дважды в день.
Домашняя терапия
Вылечить окончательно артрит невозможно, но полноценная жизнь при этой болезни – это реальная, достижимая цель. Чтобы ее добиться, требуется лишь терпение и упорство. Следует регулярно проводить следующие процедуры:
- втирания (для этой цели готовятся мази из натуральных продуктов);
- компрессы (используются растения и вещества с лечебными свойствами);
- ванны (в воду добавляется морская соль, отвары лекарственных растений);
- настои для приема внутрь (применяются целебные травы).
Для достижения быстрого положительного эффекта больной должен «наступать» на артрит со всех сторон. Например, прием внутрь лекарственных отваров сочетать с втираниями и компрессами и 1-2 раза в неделю принимать ванну с морской солью.
- Продукт пчеловодства – прополис – является универсальным лекарством от многих заболеваний, которое с успехом применяется при разных видах артрита. Для приготовления мази нужно кусок прополиса весом 50 г растопить на водяной бане. Желательно не отходить от плиты – процесс происходит быстро, и можно легко упустить момент, когда вещество полностью растопится. В него понемногу вливается растительное масло – 50 г и тщательно перемешивается. Когда средство остудится до теплого состояния, его втирают в больные участки. Подушечками пальцев совершаются легкие похлопывающие движения до момента, когда медовый слой практически перестает прилипать к рукам. Накладывают сверху полиэтиленовую пленку и утепляют локоть, обматывая его шерстяной тканью.
- Простым и эффективным способом, которым пользуются больные, является втирание меда в больные участки. Для этих целей подойдет мед разных сортов, но главное, чтобы он был свежим. Поэтому приобретать его стоит у знакомых пасечников или на рынке у продавцов, которым можно доверять. В магазинах вместо меда часто продаются подделки. Желтая субстанция в пластиковых банках лишь отдаленно напоминает мед. От натурального продукта в ней остается только запах. Для лечения используется текучий, ароматный мед. Он втирается в больной локоть небольшими порциями – в течение 15 минут. Затем больное место следует тепло укутать. Процедура выполняется на ночь.
- Удивительными лечебными свойствами обладает голубая глина. Она способна «вытягивать» из организма токсины, шлаки, солевые отложения, яды. Простое и доступное лечебное средство можно приобрести в аптеке. Для приготовления раствора порошок глины разбавляется теплой кипяченой водой и перемешивается. По консистенции смесь напоминает сметану. Глина равномерным слоем распределяется на 2-3 слоях марли и прикладывается к больному локтю. Сустав оборачивают полиэтиленовой пленкой и теплой, шерстяной тканью. Компресс действует 1,5-2 часа. Эту процедуру при наличии свободного времени следует проводить 3 раза в день для достижения хорошего лечебного эффекта.
- Компресс из березовых листьев – эффективное средство, проверенное многими поколениями людей. Для лечения могут быть использованы листья, распаренные в кипятке, а также свежее и сухое сырье. Для приготовления примочки большую горсть листьев березы заливают кипятком. Когда они станут теплыми, их прикладывают к локтю, закрывают пленкой, заматывают тканью и тепло укрывают. Процесс упрощается, если сшить нарукавник. Он набивается плотно сухими или свежими березовыми листьями и натягивается на руку. Если сделать процедуру на ночь, то березовые листья хорошо прогревают больную область и вытягивают «грязь» из организма не хуже глины.
И еще немного о компрессах:
- Отличными лечебными свойствами обладают иголки и шишки хвойных деревьев. Для приготовления лечебного раствора понадобится большая горсть хвои и шишек, каких удастся достать: еловых, сосновых, пихтовых. Сырье заливается 2-3 литрами кипящей воды, и состав стоит на огне еще 10-15 минут. Когда жидкость остынет до температуры, которую можно терпеть, в нее надо погрузить руку по локоть. Для этого настой лучше перелить в таз.
- Горсть лютиков надо промыть под проточной водой и удалить корешки (они ядовитые). Растение помещают в эмалированную или стеклянную емкость, заливают тонкой струйкой кипяток. Настаивается смесь в течение 30-40 минут. Затем настой процеживают, добавляют горячей воды до уровня, чтобы локоть оказался в воде. Процедура длится 15-20 минут, пока настой не остынет.
Для приема внутрь:
- Применяются сборы из ромашки аптечной, календулы, зверобоя, березовых листьев и почек, которые смешиваются в равных пропорциях. Для приготовления лекарственного отвара 2 ст. л. сырья заливаются кипятком и настаиваются в термосе 15-20 минут. Его пьют 3 раза в день по 1/3 стакана за 20 минут до приема пищи.
- Корнями сабельника наполняют литровую банку на 1/3 часть, заливают водкой или спиртом, настаивают 20 дней. Лекарство пьют по 1 ст. л. 3 раза в день.
Спиртовые составы следует хранить в темном прохладном месте, недоступном для детей.
Артрит локтевого сустава: симптомы и лечение медикаментами и при помощи операций

В лечении артрита локтевого сустава используются консервативные методы. Это курсовой прием препаратов, проведение массажных и физиопроцедур, ЛФК. Терапия направлена на устранение болей, отеков и воспаления, восстановление объема движений, профилактику прогрессирования артрита. При неэффективности консервативного лечения пациентам показано хирургическое вмешательство.
Общая информация о болезни
Важно знать! Врачи в шоке: «Эффективное и доступное средство от АРТРИТА существует. » Читать далее.
Артритом называется воспалительное заболевание, которое поражает все структуру локтевого сустава — синовиальные оболочки, капсулу, хрящ, костные поверхности, связки, сухожилия. При отсутствии лечения оно довольно быстро прогрессирует, провоцируя развитие часто необратимых осложнений. Артрит выявляется у людей различного возраста, в том числе у детей и подростков. Но наиболее часто от него страдают женщины 40-50 лет.
Виды заболевания
Поражения локтевого сустава бывают воспалительными и дегенеративными. К последним относятся остеоартроз и артрит, развившийся после травмы. Воспалительные патологии — подагрический, ревматоидный, инфекционный, реактивный артрит. Заболевания классифицируются и в зависимости от формы течения. Они бывают острыми, подострыми, хроническими.
Остеоартрит
Остеоартрит (остеоартроз) — дегенеративно-дистрофическая патология, вначале поражающая суставной хрящ. В результате его истончения, уплотнения и постепенного разрушения повреждаются и костные структуры. Формируются костные наросты (остеофиты), травмирующие мягкие ткани, провоцирующие развитие воспалительного процесса. К терапии остеоартрита практикуется только комплексный подход.
Ревматоидный
Это ревматическое заболевание, для которого характерно эрозивно-деструктивное поражение локтевого сустава. Ревматоидный артрит проявляется и внесуставными симптомами со стороны внутренних органов, кожи, центральной и периферической нервной системы. Заболевание пока не подается полному излечению, поэтому основные задачи терапии — достижение устойчивой ремиссии и улучшение самочувствия пациента.
Ювенильный
Ювенильный ревматоидный артрит — самое распространенное заболевание в детской ревматологии. Он выявляется примерно у 0,5% юных пациентов с двухлетнего возраста и старше, преимущественно у девочек. Ювенильным артритом называется диффузная патология соединительных тканей, поражающая суставы. Она трудно поддается лечению, требует пожизненного приема препаратов.
Инфекционный
Инфекционный артрит локтевого сустава — патология, спровоцированная проникновением в его полость патогенных микроорганизмов (бактерий, грибков, вирусов). В процессе жизнедеятельности они выделяют в окружающее пространство токсины. Развивается воспаление, быстро распространяющееся на здоровые ткани. Большинство инфекционных артритов исчезают бесследно после курсового приема антибиотиков, антимикотиков или противовирусных средств.
Гнойный
Гнойным артритом называется воспаление всех структур локтевого сустава, обычно вызванное стафилококками или стрептококками. Болезнетворные бактерии проникают в суставную полость через рану или переносятся кровью из первичных очагов. В ней накапливается гнойный экссудат, возникает риск сепсиса. Лечение такой формы артрита проводится вскрытием и дренированием локтевого сустава с одновременным приемом антибиотиков.
Гонококковый
Гонорейный (гонококковый) артрит — патология бактериального происхождения, являющаяся осложнением гонококковой инфекции. Он развивается не у всех больных гонореей, а только у 2-3%. В группу риска входят сексуально активные молодые люди возрастом от 15 до 40 лет, преимущественно женщины. Лечение гонококкового артрита длительное, с использованием препаратов различных клинико-фармакологических групп.
Туберкулезный
Туберкулезный артрит — наиболее частая локализация внелегочного туберкулеза. Он провоцирует деструктивные изменения костных, хрящевых, мягких тканей локтевого сустава. Костно-суставным туберкулезом болеют дети 7-14 лет и мужчины старше 50 лет. Его развитию способствуют неблагоприятные санитарно-гигиенические условия, слабый иммунитет, контакты с больными туберкулезом. Основа лечения — специфическая противотуберкулезная терапия.
Причины появления артрита локтевого сустава
Вторичный артрит развивается на фоне уже присутствующего в организме заболевания. Чаще всего он бывает спровоцирован остеомиелитом, патологиями легких и желудочно-кишечного тракта, расстройствами кроветворения, саркаидозом, злокачественными опухолями. К первичным артритам относятся инфекционные, являющиеся последствиями респираторных, урогенитальных, кишечных инфекций.
Ревматоидная, в том числе ювенильная патология развивается из-за агрессии иммунной системы по отношению к собственным клеткам организма. Подагрический артрит возникает в результате отложения в локтевом суставе солей мочевой кислоты.
Признаки и симптомы патологии
На начальном этапе развития артрит проявляется общим недомоганием, которое человек принимает за переутомление. Его также беспокоят слабые дискомфортные ощущения в локте, немного ограничивающие подвижность. Но их выраженность быстро повышается. Теперь при сгибании и разгибании сустава возникают сильные, острые или тупые, ноющие боли. Вскоре к ним присоединяются и другие симптомы артрита:
- увеличиваются размеры пораженного артритом локтя по сравнению со здоровым суставом;
- кожа краснеет, становится горячей на ощупь;
- при сгибании или разгибании локтя слышатся щелчки, хруст, потрескивание;
- скованность движений становится постоянной.
Особенно тяжело протекают инфекционные артриты. Выделяемые патогенными микроорганизмами вещества разносятся кровью по всему организму, что приводит к появлению симптомов общей интоксикации. Это повышенная температура тела, озноб, лихорадочное состояние, у детей и ослабленных больных — желудочно-кишечные расстройства.
Какой врач поможет
При появлении первых дискомфортных ощущений в локте нужно обратиться к ортопеду или врачу общего профиля — терапевту. Они назначат все необходимые лабораторные и инструментальные исследования. В соответствии с результатами диагностики дальнейшим лечением больного будет заниматься ортопед, ревматолог или травматолог. В проведении терапии могут принимать участие инфекционист, венеролог, уролог, гастроэнтеролог, эндокринолог.
Методы диагностики болезни
На первом прием врач осматривает пациента, выслушивает жалобы, изучает анамнез. Он измеряет амплитуду активных и пассивных движений для определения степени функциональных расстройств. Выставить окончательный диагноз позволяют результаты инструментальных исследований:
- рентгенография локтевого сустава в прямой и боковой проекциях;
- КТ или МРТ;
- артрография;
- электрорентгенография;
- УЗИ сустава;
- радионуклидная сцинтиграфия.
По показаниям проводится артроскопическое обследование внутренних поверхностей локтевого сустава с забором синовиальной жидкости. Установить возбудителя инфекционного артрита помогают результаты бакпосева. В диагностике ревматоидной патологии используются биохимические и серологические исследования.

Как лечить артрит локтевого сустава
При выборе методов лечения врач учитывает вид артрита, его форму и тяжесть течения. При острых болях пациентам показано исключение нагрузки на локтевой сустав, в том числе за счет ношения полужестких ортезов, ограничивающих подвижность. Ортопедические приспособления используются на протяжении всего лечения гнойного артрита, а также во время подагрической атаки.
Медикаментозное лечение
Нестероидные противовоспалительные средства — препараты первого выбора в лечении артритов. С их помощью можно быстро устранить боль и отеки, купировать воспаление. НПВС используются в различных лекарственных формах:
- инъекционные растворы — Ортофен, Мовалис, Ксефокам;
- таблетки — Диклофенак, Нимесулид, Кеторолак, Индометацин;
- гели, мази — Вольтарен, Фастум, Артрозилен.
В терапевтические схемы врачи часто включают средства для улучшения кровообращения, витамины группы B, миорелаксанты, хондропротекторы, согревающие наружные средства.
| Вид артрита локтевого сустава | Основные лекарственные средства | Фармакологическое действие |
| Ревматоидный, ювенильный | Этанерсепт, Инфликсимаб, Адалимумаб, Сульфасалазин, Метотрексат, Лефлуномид | Купирование воспалительного процесса, предотвращения разрушения локтевого сустава |
| Инфекционный | Амоксиклав, Кларитромицин, Азитромицин, Цефтриаксон, Цефазолин, Метронидазол | Уничтожение возбудителей респираторных, кишечных, урогенитальных инфекций |
| Подагрический | Колхицин, Аллопуринол, Пробенецид, Сульфинпиразон, Азапропазон, Бензбромарон | Снижение выработки пуриновых оснований, растворение и выведение кристаллов солей мочевой кислоты |
| Остеоартрит | Терафлекс, Артра, Структум, Дона, Хондроксид, Алфлутоп, Румалон, Хондрогард | Частичное восстановление хрящевых тканей, предупреждение распространения заболевания |
Физиотерапия
Электрофорез и ультрафонофорез с анестетиками, глюкокортикостероидами, НПВС применяется для устранения сильных болей при остром или подостром течении артрита. Эти процедуры проводятся и на этапе ремиссии с использованием витаминов группы B, хондропротекторов. При любой форме заболевания пациентам могут быть назначены 5-10 сеансов таких физиопроцедур:
- УВЧ-терапия;
- магнитотерапия;
- лазеротерапия;
- ударно-волновая терапия;
- ультрафиолетовое облучение.
После купирования воспаления в лечении артритов используются аппликации с озокеритом и парафином для улучшения кровообращения, восстановления подвижности локтя.
Даже «запущенный» АРТРИТ можно вылечить дома! Просто не забывайте раз в день мазать этим.

Занятия лечебной физкультурой начинаются сразу после устранения воспаления и выраженных болей. Врач ЛФК разрабатывает комплекс упражнений индивидуально для больного. Первые тренировки проходят под его руководством, а затем можно заниматься в домашних условиях. Наиболее часто в комплекс включаются такие упражнения:
- встать, расставить ноги на ширине плеч, наклониться вперед и по 5 раз сжать и разжать кулаки. Вернуться в исходное положение, выполнить упражнение еще 5-7 раз;
- выпрямиться, немного расставить ноги, делать круговые вращения согнутыми в локтях руками вперед и назад. Количество повторов — 10-15;
- встать на колени, упереться ладонями в пол, выпрямить спину. Отжаться 7-10 раз.
Все функции сустава восстанавливаются только при регулярных, ежедневных тренировках. Если во время занятия возникают болезненные ощущения, то к выполнению упражнений можно приступить после продолжительного отдыха.
Оперативное вмешательство
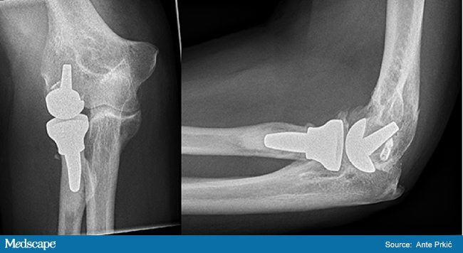
При неэффективности консервативного лечения, быстром прогрессировании артрита, развитии осложнений показано хирургическое вмешательство. Это синовэктомия, артротомия, резекция локтевого сустава, хейлэктомия, артроскопия. Пациентам с остеоартритом 3 степени тяжести врачи сразу предлагают установку эндопротеза, так как консервативное лечение при выраженной деформации костей не имеет смысла.
Эндопротезирование локтевого сустава
Установка искусственного сустава проводится под эндотрахеальным наркозом. Хирург делает разрез на задней поверхности локтя, отделяет и закрепляет нерв, рассекает фасции, сухожилия. После удаления локтевого отростка устанавливает имплантат, закрепляет его цементным или бесцементным способом.

Затем хирург фиксирует локтевой нерв в отдельном канале, сшивает мягкие ткани. Реабилитация начинается спустя 1-2 дня. Срок службы эндопротеза — 10-15 лет.

Открытая синовэктомия
Синовэктомия локтевого сустава — артротомическая операция, направленная на удаление патологически измененной синовиальной мембраны. Она проводится под общей или эпидуральной анестезией. Хирург вскрывает сустав, дренирует ее полость, обрабатывает антисептическими растворами. Затем он полностью или частично иссекает синовиальную оболочку. После наложения швов локтевой сустав иммобилизуется гипсовой повязкой.

Народные методы
В остром и подостром периоде локтевого артрита народные средства не применяются из-за высокой вероятности усиления воспалительного процесса. Их используют только после излечения или на этапе устойчивой ремиссии для устранения слабых дискомфортных ощущений. Лечебный эффект многих народных средств весьма сомнителен, поэтому следует обсудить целесообразность подобной терапии с врачом.

Глина
2 столовые ложки красной, голубой или черной косметической глины разводят нежирным кефиром до образования эластичной массы. Формируют из нее лепешку и прикладывают на 1 час к локтю, фиксируя пленкой и марлевым бинтом. Вместо кефира можно использовать любую минеральную воду.
Береза
Молодые свежие березовые листья заливают кипящей водой на 10-15 минут. Процеживают, остужают. Листья плотно накладывают на пораженный артритом сустав. Сверху размещают полиэтиленовую пленку, шерстяную ткань. Закрепляют лечебную повязку эластичным бинтом, оставляют на 1-2 часа. Листья можно заменить свежими березовыми почками, после заваривания завернув их в марлю.
Сосна
Горсть свежих или сухих сосновых иголок заливают литром кипятка, оставляют под крышкой на 2 часа. Процеживают, настой подогревают до температуры 30 °C, опускают в него локоть на полчаса. Смывают остатки теплой водой, втирают жирный детский крем. Для усиления лечебного эффекта в ванночку можно добавить по капле эфирных масел пихты и чабреца.
Прополис
Доводят до кипения стакан нежирного молока, кладут щепотку измельченного прополиса. Томят на небольшом огне 10 минут, остужают, добавляют чайную ложку меда. Принимают по 100 мл 2 раза в день после еды в течение месяца.
Яичная скорлупа
Яичную скорлупу очищают от пленок, заливают кипятком на час. Подсушивают, измельчают до состояния порошка. Смешивают с нежирной сметаной до образования густой массы, распределяют толстым слоем на локте. Закрепляют пленкой и марлевым бинтом, оставляют на 4-5 часов или на всю ночь.
Конский щавель
Емкость из темного стекла на 1/4 наполняют очищенными и измельченными корнями конского щавеля. Вливают по горлышко водку или 90% медицинский спирт, разведенный равным количеством воды. Настаивают в теплом месте 2 месяца, втирают в локти при появлении дискомфортных ощущений.
Одуванчик
Свежие листья одуванчика (2-3 горсти) растирают в ступке до однородного состояния, добавляют по столовой ложке меда и миндального косметического масла, по 1 капле эфирных масел можжевельника, эвкалипта и сосны. Прикладывают к локтю, фиксируют пленкой, плотной тканью, эластичным бинтом, оставляют на 1 час.
Девясил и мед
50 г сухих корней девясила заливают 2 стаканами горячей воды, томят под крышкой на медленном огне 1 час. Остужают, процеживают, добавляют 3 столовые ложки густого меда. Отвар хранят в холодильнике, втирают в больные локти до 3 раз в день.
Подсолнечник
Банку из темного стекла наполняют на половину очищенными, измельченными корнями подсолнуха. Заполняют емкость 70% этиловым спиртом, оставляют в темном месте на 1-2 месяца, периодически встряхивают. Втирают в локти 1-2 раза в день, при необходимости предварительно разбавив водой.
Крупный свежий корень хрена очищают, измельчают, смешивают с 0,5 литрами белого кислого хлебного кваса. Настаивают в холодильнике 2-3 дня, процеживают. Подогревают, смачивают в жидкости большую стерильную салфетку, прикладывают к локтевому суставу на час, не утепляя.
Каменная соль
2 столовые ложки каменной или морской соли разводят в литре горячей воды, остужают, процеживают. Смачивают в полученном растворе шерстяную ткань, оборачивают вокруг локтя. Продолжительность процедуры — 1-2 часа.
Возможные осложнения
Если больной не обращается за медицинской помощью даже при выраженных симптомах артрита, то воспалительным процессом поражаются все суставные структуры. Из-за деформирования костных поверхностей возникает анкилоз — полное или частичное необратимое обездвиживание локтя.
Наиболее тяжелые осложнения характерны для ревматоидного артрита. Это хроническая почечная недостаточность, инфаркт миокарда, аортальный стеноз, бронхоплевральные свищи.
Меры профилактики
Профилактика артрита — это исключение факторов, провоцирующих его развитие. Нужно ограничить количество соли, заменить в ежедневном меню копчености и кондитерские изделия свежими овощами и фруктами. При необходимости следует похудеть, повысить двигательную активность, отказаться от употребления алкоголя и курения, ухудшающих кровоснабжение локтевого сустава питательными веществами.
Похожие статьи
Как забыть о болях в суставах и артрите?
- Боли в суставах ограничивают Ваши движения и полноценную жизнь…
- Вас беспокоит дискомфорт, хруст и систематические боли…
- Возможно, Вы перепробовали кучу лекарств, кремов и мазей…
- Но судя по тому, что Вы читаете эти строки — не сильно они Вам помогли…
Но ортопед Валентин Дикуль утверждает, что действительно эффективное средство от АРТРИТА существует! Читать далее >>>
Артрит локтевого сустава: симптоматика и возможные методы лечения
Артрит локтевого сустава характеризуется воспалительным поражением подвижного сочленения. В патологический процесс втягиваются все суставные элементы. Заболеванию подвергаются разные возрастные категории населения. Широкая распространенность кроется в предрасположенности суставов молниеносно реагировать на любое отрицательное воздействие воспалением. Патология опасна быстрым перемещением на подлежащие к сочленению ткани.

Причины зарождения
Артриты разграничивают по происхождению – дегенеративные, воспалительные. В первом варианте заболевание развивается из-за повреждения хрящевых волокон, во втором – синовиальной оболочки.
Отправной точкой в развитии артритов первичной формы служат:
-
миграция патогенного возбудителя по лимфо- и кровотоку из первичного очага в синовиальную жидкость при протекающих инфекционных и вирусных заболеваниях; открытые травмы с проникновением в полость сустава; закрытые травматические поражения сустава или сочленяющих костей; аллергическая реакция организма; аутоиммунные заболевания; наследственная предрасположенность; ослабленная иммунная система; нарушение обмена веществ, приводящее к отложению солей мочевой кислоты в суставах; неоднократные микротравмы; длительное нахождение в стрессовых ситуациях; неблагоприятные климатические условия; частые переохлаждения; чрезмерные нагрузки на сустав.
Вторичные артриты формируются в результате структурных нарушений и воспалений в сочленяющих костных элементах и подлежащих тканях.
Симптоматика
Манифестирует артрит с незначительного недомогания, которое пациенты списывают на усталость. Симптомы проявляются по нарастающей, со временем ограничивая двигательную способность конечности. Самый яркий признак – болевой синдром. Характер артралгии взаимосвязан с происхождением и стадией артрита. Поэтому боль может быть тупой, пульсирующей, резкой, ноющей. Пик интенсивности болевых ощущений приходится на ночное время суток.
Прогрессируя, заболевание обнаруживается местной симптоматикой. Область над пораженным суставом припухает, краснеет, становится горячей на ощупь. Пальпация проблемного участка сопровождается болезненностью. Все сложнее становиться совершать сгибательные и разгибательные движения рукой. Поднятие тяжестей вызывает резкий болевой приступ. Постепенно сустав начинает деформироваться.

Частичное снижение объема движений может перейти в полную неподвижность – контрактуру или анкилоз.
Артриты, обязанные своим развитием инфекционным возбудителям, сопрягаются с клиническими признаками тяжелой интоксикации:
-
повышенной температурой тела; лихорадкой и ознобом; тошнотой; общей слабостью.
Ревматоидный артрит вовлекает в патологическое состояние многие жизненно важные органы организма. Его воздействие на биологическую систему сказывается на работе сердца, легких, органов зрения и пищеварения, мочевыделительной и нервной системах.
Лечение артрита локтевого сустава
Лечение артрита локтевого сустава проходит в тесной связи с устранением первопричины, побудившей развитие заболевания.
Медикаменты, подавляющие активность сопутствующих патологий:
-
антигистаминные препараты – устраняют выраженность аллергических проявлений; иммунодепрессанты – стабилизируют состояние иммунной системы при агрессивных реакциях; антибактериальные средства – уничтожают патогенные микроорганизмы и препятствуют росту новых; лекарства базисного лечения ревматоидного артрита – сульфаниламиды, препараты золота ; препараты для коррекции метаболизма; урикозурические вещества – уменьшают содержание мочевой кислоты и способствуют ее выведению из организма.
При артрите локтевого сустава в подострой и хронической форме проводится общая фармакотерапия.
-
нестероидные противовоспалительные средства ( Диклофенак , Ибупрофен, Напроксен, Индометацин) – купируют боль, снимают отек; глюкокортикоиды (Преднизолон, Метотрексат, Дипроспан ) – при неэффективности нестероидных веществ вводятся непосредственно в полость сустава.

При тяжелом течении заболевания практикуется введение стволовых клеток. Мера позволяет нормализовать обмен веществ, улучшить трофику тканевых структур, стимулировать выработку правильного иммунитета, активизировать процессы регенерации.
Миновав острую фазу воспаления, терапевтический курс пополняют физиолечением, которое включает:
-
лекарственный электрофорез; УФО; СМТ-терапию; грязелечение; бальнеотерапию.
Для устранения функциональных нарушений и предупреждения развития устойчивых контрактур показано обязательное проведение массажа и ЛФК.

Оперативное вмешательство
Если патологический процесс привел к необратимым изменениям, прибегают к оперативному лечению.
В условиях стационара проводят:
-
артротомию – обнажение сустава для устранения гнойного экссудата, свободных суставных тел, вывихов, закрытых переломов; синовэктомию – иссечение синовиальной оболочки открытым способом, либо с помощью артроскопии; артродез – удаление видоизмененных тканей, обездвиживание локтевого сустава с закреплением в функционально выгодном положении; артролиз – резекция фиброзных спаек.
Выраженное нарушение двигательных функций потребует радикальных мер – замены суставных элементов эндопротезами.
Народное лечение
Избавиться от артрита в хронической форме невозможно. Но добиться устойчивой ремиссии и повысить качество жизни вполне достижимая цель. Народные методы, если их объединить в единый комплекс, дадут положительные результаты.
Средства для приема внутрь
Смесь из одинакового количества сушеных или свежих березовых листьев, цветков календулы, зверобоя, ромашки залить закипевшей водой, настоять в термосе 1 – 1,5 часа. Принимать перед едой за 15 – 20 минут.

100 гр измельченного корня сабельника поместить в стеклянную емкость, залить 0,5 л водки или медицинского спирта, настоять в защищенном от света месте в течение 3 недель. В процессе жидкость слегка взбалтывают. 1 ст.л. настойки употребляют 3 раза в сутки.
Средства для местного нанесения
50 гр прополиса распустить на водяной бане, добавить 50 гр оливкового масла, тщательно перемешать. Охлажденную до комнатной температуры смесь втереть в пораженный сустав, слегка похлопывая. Укрыть пищевой пленкой, затем тканью, оставить компресс на ночь.
Эффективное средство, чем можно растереть больной сустав – свежий натуральный мед. Для этого потребуется небольшая порция текучего продукта пчеловодства. Легкими массажными движениями субстанцию втирают, покрывают, оставляют до полного впитывания.
Развести голубую глину кипяченой или дистиллированной водой до консистенции густой сметаны. Распределить ровным слоем на марлевом отрезе, сложенном в несколько рядов. Покрыть болезненную область, поместить сверху пленку, обернуть теплой тканью. Выдержать аппликацию 2 часа.
Березовые листья залить кипятком, выждать 15 – 20 минут. Теплое сырье разместить в проблемной зоне, наложить пленку и легкую повязку, утеплить шерстяной тканью. Лучше делать компресс на ночь, так как для эффективного результата понадобиться не менее 6 – 8 часов.
Комплекс упражнений
Обязательный номер лечебной программы в период ремиссии – физические упражнения. Ниже представлен один из вариантов гимнастического комплекса, разработанный врачами-реабилитологами для восстановления утраченных функций локтевого сустава и профилактики артрита.
Движения выполняются в положении сидя на стуле с повтором в 5 – 10 раз.
-
Выпрямить руки, вытянуть перед собой, согнуть кисти вверх, затем вниз. Вытянуть руки на уровне груди, согнуть в локтях, касаясь плеч, вернуть в исходное положение. Поднять руки на уровне плеч, развести в стороны. Проделать вращательные движения внутрь, сгибая руки в локтях, затем в обратном направлении – наружу.
Завершающее упражнение проводится в положении стоя, лицом к стене, на расстоянии вытянутой руки. Расставить руки на ширине плеч, выполнить 5 отжиманий от стены.
На начальном этапе занятия выполняются 1 раз в день, затем 2 – 3 раза. Постепенно нагрузка на локтевой сустав увеличивается. Движения осуществляются с гантелями в руках. При этом нельзя забывать, какой можно поднимать вес. Разумные пределы варьируются от 1 кг до 3 кг, не более.
В статье «Симптомы артрита локтевого сустава и методы лечения» использованы материалы:
http://www.ayzdorov.ru/lechenie_artrit_loktya.php
http://ocrb.ru/artrit/loktevogo-sustava-simptomy.html