- от автора Jose
Является ли приговором развитие в костях метастаз
Метастазы в костях – прогноз, лечение и сколько живут
Метастазирование в кости это тяжелое раковое осложнение с сильными болевыми симптомами, означающее переход рака в 3, 4 стадию. Прогноз лечения и продолжительность жизни при этом значительно снижаются, сколько живут с метастазами в костях зависит от применяемой терапии и агрессивности первичного очага

Процесс метастазирования это страшное осложнение, которое всегда происходит при раке, если болезнь вовремя не выявлена и не начато ее лечение. Обычно метастазы образуются в мягких тканях, органах, но иногда ими поражаются и кости. Метастазу в костных структурах следует рассматривать как еще один эпизод рака, когда аномальные клетки из первичной опухоли, перемещаясь по организму, осаждаются в элементах скелета.
Метастазы в костях появляются на поздних стадиях развития патологии, в 4-х из пяти случаев первичные опухоли это рак молочной железы для женщин и простаты у мужчин. Такая ситуация не имеет хорошего прогноза, пациент страдает от симптомов сильных болей, ослабленные кости переламываются даже при незначительном воздействии. Первичное онкологическое поражение почек и щитовидной железы, ведет к метастазированию в структурах черепа.
Причины
Кроме перечисленных видов рака от метастазирования в костные ткани страдают при злокачественных опухолях легких, почек, яичников у женщин, саркоме, лимфоме и поражении органов желудочно-кишечного тракта. В резких случаях бывает миграция атипичных клеток и из других охваченных болезнью органов.

Фото 1. Разрушение метастазой костной ткани
Появление тяжелых признаков и симптомов болезни связано с нарушением постоянного обновления тканей костей, существующее у здорового человека. Нормальное клеточное взаимодействие, элементами которого выступает резорбция, ремоделирование и костеобразование, нарушается, так как остеобласты и остеокласты, отвечающие за указанный функционал, блокируются раком. В итоге, в кости наблюдается вытеснение здоровых и полезных тканей, место которых занимает метастаза.
Рак молочной железы частая причина костного метастазирования. При таком женском заболевании злокачественные структуры посредствам лимфогенного или гематогенного перемещения, перемещаются и накапливаются в костях, преимущественно таза и груди.
Течение недуга сопровождается интенсивными болями, свою лепту в которые вносят регулярные переломы. Обычно это означает 4 степень рака, продолжительность жизни и выживаемость при которой небольшая.
Виды метастаз в костях
Исходя из разновидности активизации онкологии, выделяется несколько их типов:
- Остеопластическими называют ситуацию образования плотных участков, внедренных в кость.
- К остеолитическим относят процесс разрушения костной ткани.
Любой случай заболевания это комбинация из двух указанных патологических процессов. Наиболее часто метастазы случаются в костях, активно питаемых кровью, они образуются в:
- Плечевой зоне
- Тазу
- Ребрах
- Черепе, элементах позвоночника
На ранних стадиях образования не имеют никаких признаков, позже появляются симптомы боли и другие проявления.
Симптомы метастаз в костях
Ранняя степень метастазирования протекает бессимптомно, но по мере роста, воздействие онкологии на кость становится более явным, и появляются первые признаки:
- Гиперкальциемия. Так именуют последствие метастазы в кости, встречающееся в более чем трети больных. Патология вызывает повышенную активность остеокластов, из-за чего резко повышается кальций в крови. Это ведет к повышенной нагрузке на почки, что грозит нарушением обратной всасываемости и чрезмерному выделению мочи.
- Патологические переломы.
- Спинномозговая компрессия при опухоли в позвоночнике.
В результате гиперкальцемии и пережатия спинномозговых каналов у человека появляются следующие симптомы:
- Со стороны нервной системы онкобольной с метастазами в костях страдает от заторможенности, неуравновешенной психики, спутанного сознания, аффективных нарушений.
- Сердце и сосуды начинают неправильно функционировать, что заканчивается аритмией, пониженным артериальным давлением, низкой частотой сердечных сокращений. Все это граничит с сердечной недостаточностью и мгновенной смертью.
- Вероятна почечная недостаточность из-за интенсивной нагрузки на них
- Желудочно-кишечный тракт страдает от расстройства, больного часто подташнивает, отсутствует аппетит, запор переходит ведет к кишечной непроходимости и т.д.
В условиях, когда метастазы в костных тканях разрушают больше 50% кортикального слоя, резко возрастает вероятность переломов. От этого страдают кости позвоночного столба в пояснице или грудном отделе и бедра. Незначительное превышение нагрузки заканчивается переломов кости и симптомами сильнейшей боли.
По причине метастазов в костях они настолько ослабевают, что нередко ломаются вообще сами по себе. При этом из-за относительного смещения в месте слома, функционал конечности или костного элемента полностью теряется. Не успев срастись, происходит еще один слом и так далее. В итоге человек практически обездвижен и ему грозит инвалидность с необходимостью постоянного обезболивания.
Дальнейший рост злокачественной опухоли ведет к сдавливанию сломанными костями мягких тканей, располагающихся рядом. Это грозит постоянными сильнейшими болями, слабостью мышц, нарушенной чувствительностью. Продолжительность жизни при таких осложнениях очень мала, терминальная стадия ведет к параличу и отказу органов таза.
В таких условиях жизнь с метастазами в костях становится серьезным испытанием. Речи об излечении уже не идет, задача медиков состоит в улучшении условий существования.
При метастазировании костей позвоночника существует риск спинномозгового пережатия. Часто это явление наблюдается при локализации в грудной части позвоночного столба. Симптомы формируются последовательно, по мере усиления давления на спинной мозг, проходящий в специальном позвоночном канале. Резкое появление признаков происходит при переломе позвоночного элемента.
Если вовремя заметить и начать лечить спинномозговое пережатие, то его последствия обратимы, на поздних стадиях признаки паралича будут становиться все более явными, несмотря лечение.
Статистика говорит, что лишь каждый десятый онкопациент способен к самостоятельному перемещению после развития паралича.
Диагностика
Надежное и информативное диагностирование костного метастазирования возможно при помощи скелетной сцинтиграфии. Метод позволяет понять, насколько распространено образование, и на какой степени оно находится.
Данной процедурой находят метастазы в любых костях человеческого туловища и конечностей. Эффективно выявляются даже начальные стадии недуга, когда симптомы еще не проявлены. Итогом лечения на данном этапе будет значительное улучшение прогноза и продолжительности жизни.

Фото 2. Вид тазовых костей на рентгене
Более доступный и бесконтактный метод это рентген. Однако он выявляет лишь зрелую вторичную метастазу, когда разрушению уже подвергся значительный объем кости. Преимущество рентгенологии заключается возможности дифференцирования вторичного новообразования, исходя из его типа. Разная окраска пятен на фото, будет говорить о различной их природе.
На более поздних этапах диагностики для уточнения диагноза и метода лечения применяют:
- КТ и МРТ
- Радиоизотопное диагностирование
- Остеосцинтиграфию
- Анализы мочи и крови
При обнаружении опухоли в черепе, проводятся дополнительные обследования для исключения поражения соседних органов.
Лечение
То, чем и как лечить метастазы в костях будет зависеть от локализации патологии, степени ее развития и параметров исходного рака. Перечислим основные методы лечения:
- Операции применяются в рамках паллиативной помощи, когда улучшение прогноза выздоровления невозможно и больной уже неизлечим, но нужно максимально продлить срок жизни и улучшить ее качество. Благодаря хирургической удалению опухолей удается уменьшить сдавливание нервных окончаний спинного мозга, уменьшить вероятность сломов костей. Все это значительно снижает болевой синдром и частично возвращает потерянные анатомический функционал.
- Применение лучевой и химиотерапии используется для подготовки пациента к операции, либо после нее, а также как самостоятельное лечение. Путем химического или лучевого уничтожения онкоклеток удается остановить рост метастаз в костях.
- Прием бисфосфонатов. Это специальные препараты, тормозящие разрушение костной ткани.
- При некоторых видах рака эффективно использование радиофармпрепаратов.
- Активизация иммунной системы позволяет продлить продолжительность жизни человека. За счет активизации собственных сил организм лучше начинает бороться со злокачественным распространением, изнутри помогая внешнему лучению.
Бисфосфонатные препараты
Так называют лекарства, защищающие костные структуры от разрушения. Они показаны при остеокластной патологии для компенсации вредного действия метастаз.
Благодаря поглощению басфосфоната в месте, где произошло метастазирование, негативная деятельность замедляется или совсем прекращается. В дополнение препарат тормозит выработку остеокластов, которые быстро погибают или самостоятельно разрушаются. Механика действия состоит в накапливании активного вещества вокруг образования. При наборе необходимой массы начинается позитивное воздействие по угнетению разрушающей функции.
Бывает два вида бисфосфонатов. Первые состоят из азотистых соединений и более действенны в отношении метастаз в костях. Вторая группа лишена таких соединений и лечение с ее помощью менее эффективно. Что конкретно назначить будет зависеть от финансовых возможностей больного и стадии развития новообразования.
Прогноз и продолжительность жизни
Сколько конкретно живут пациенты с метастазированием в костях невозможно. Примерно это сделать можно увидев историю болезни. Для точного прогноза выживаемости врачу надо проанализировать много информации о метастазе и других раковых новообразованиях.
Приведем цифры сколько живут люди с метастазами в костной ткани в зависимости от первичной онкологии:
- Метастазирование рака легкого и меланомы дает продолжительность жизни около 6 месяцев.
- Простата – 1-3 года
- Рак молочных желез – 18-24 месяца
- Почки с костным метастазированием дают человеку до 12 месяцев жизни
- Самый лучший прогноз при злокачественном поражении щитовидной железы. С рассматриваемыми в статье осложнениями люди живут еще до 4-х лет.
Метастазы в кости

Метастазы в костях могут развиться абсолютно при любом злокачественном процессе, для некоторых раков это практически обязательная локализация, при других заболеваниях — редкость. В метастатическом рейтинге первое место по частоте встречаемости достанется метастазам в лёгкие, второе — печеночным очагам и третье — скелетным метастазам.

Метастазы в костях трудно лечатся и обещают боли, тем не менее, скелетные очаги менее прочих локализаций опухоли сокращают жизнь, но способны испортить её переломом или сдавлением спинного мозга.
- Какими могут быть метастазы в костях?
- При каких раках развиваются?
- Когда появляются скелетные метастазы?
- Какие отделы скелета поражаются чаще всего?
- Клинические проявления костного метастазирования
- Почему возникает боль?
- Как обнаруживают метастазы в кости?
- Лечение скелетных поражений
- Зачем нужны бисфосфонаты?
Какими могут быть метастазы в костях?
По клинико-рентгенологическим признакам все костные очаги подразделяют на три группы:
- остеобластические — с преобладанием уплотнения сверх физиологической меры, но дополнительно наросшая опухолевая ткань не придаёт кости прочности и может сдавливать проходящие по соседству нервы;
- остеолитические — превалирует разрушение структуры и вероятность перелома увеличивается по мере разрастания рака;
- смешанные — сочетание двух видов и это ситуация встречается чаще всего.
Практически не случает такого, чтобы у пациента были исключительно остеолитические или только остебластические очаги, как правило, диагностируется сочетание с превалированием либо разреженной литической, либо избыточной бластической структуры.
При каких раках развиваются?
Лидер среди всех злокачественных процессов, протекающих с метастатическим поражением скелета, миеломная болезнь — разрушение кости начинается в самом начале заболевания и в 100% клинических случаев отмечается множественная деструкция костной ткани.
При раке молочной и предстательной желёз у двух третей больных диагностируются скелетные метастазы, а патологоанатомические наблюдения выявляют вовлечение костей в злокачественный процесс практически у 90% пациентов. При раке молочной железы (РМЖ) превалируют смешанные и остеолитические варианты, при раке простаты — остеобластические.
Высокая частота метастазирования в кости отмечается при раке легкого, но при мелкоклеточном варианте — вдвое чаще и множественные костные дефекты, тогда как при немелкоклеточном — у 40% больных с тяготением к очагам единичным или солитарным, то есть единственному.
Каждый четвёртый, страдающий раком почки, имеет скелетные метастазы, при карциноме мочевого пузыря костные новообразования встречаются много реже.
При раке толстой кишки костное метастазирование выявляется у каждого восьмого больного, при раке желудка — не часто, поскольку раньше и обильнее рак поражает печень и брюшную полость. Рак кишечника тяготеет к мелкоочаговым и множественным вторичным образованиям.
Когда появляются скелетные метастазы?
При злокачественных процессах время появления метастазов в кости различается, тогда как скорость роста очага зависит исключительно от индивидуальных биологических характеристик опухолевой ткани, меняющихся под воздействием лечения и по мере раковой диссеминации.
При первичном обращении костные очаги при отсутствии других проявлений ракового процесса имеются едва ли у 20% пациентов, в подавляющем большинстве случаев опухолевое поражение костей признак диссеминации рака — распространения по системам или генерализации. При РМЖ, немелкоклеточной карциноме легких и раке толстой кишки именно так и происходит.
При раке предстательной железы нередко скелетная патология обнаруживается одновременно с опухолью простаты или в ближайшие сроки после диагностики неблагополучия в половой железе.
При карциноме почки часто сначала находят метастазы в костях и легочной ткани, а после обнаруживается первичная опухоль.
Какие отделы скелета поражаются чаще всего?
Локализация метастаза в кости определяется не нозологической принадлежностью первичной злокачественной опухоли, а функциональной нагрузкой и связанной с нею развитостью кровоснабжения. Множественные очаги в скелете более характерны для высоко агрессивного рака, единичные и тем более один метастаз свидетельствует в пользу благоприятного прогноза заболевания.

- Чаще всего вторичные отсевы рака возникают в обильно питаемых кровью губчатых костях — позвонках, причём преимущественно в испытывающих высокую нагрузку поясничных и грудных отделах позвоночника.
- Далее по частоте следуют метастазы в костях таза — почти половина всех случаев, типичные локализации — подвздошная и лонные кости.
- Вполовину реже отмечается метастазирование в костях черепа и нижней конечности, где превалирует поражение бедренной кости.
- Грудная клетка, преимущественно ребра и грудина, вовлекаются в злокачественный процесс практически в 30% случаев.
Клинические проявления костного метастазирования
Вопреки сложившимся мифам, скелетное метастазирование часто протекает без выраженной боли и даже вовсе без симптомов. Остеобластические очаги реже сопровождаются болевыми ощущениями, нежели остеолитические.
Опасные проявления метастатического костного поражения:
- гиперкальциемия — значительное повышение концентрации кальция из-за разрушения костного матрикса приводит к тяжелейшему состоянию, требующему коррекции метаболизма фактически реанимационными мерами;
- перелом — для возникновения достаточно разрушения половины поперечника кости или позвонка, каждому одиннадцатому пациенту с патологическим переломом необходима срочная хирургическая помощь;
- синдром сдавления или компрессии спинного мозга осколками сломанного грудного или поясничного позвонка осложняется тяжелыми неврологическими нарушениями ниже зоны повреждения;
- нарушение двигательной активности вплоть до паралича возможно при сдавлении спинного мозга в шейном отделе остеобластическим очагом или повреждении отломками при литическом разрушении.
Осложнения метастазирования в кости фатально отражаются на состоянии пациента и активно мешают проведению адекватного лечения, что может сократить срок жизни при безусловном отсутствии качества.
Почему возникает боль?
Боль обусловлена тремя причинами:
- разрушением раковым конгломератом обильно иннервированной надкостницы;
- раздражением в надкостнице болевых рецепторов биологически активными продуктами жизнедеятельности раковых клеток;
- вовлечением в метастатический узел нервных окончаний мышц.
Невыносимая боль далеко не всегда связана со скелетным метастазированием, как правило, это следствие высокой агрессивности опухолевых клеток в терминальной стадии процесса, когда в крови огромна концентрация биологически активных веществ — цитокинов, которые буквально «жгут» нервные окончания даже не поражённых опухолью тканей.
При высокой степени злокачественности первичной опухоли болевой синдром отмечается чаще и более интенсивный. Наиболее наглядный пример, распространенные и постоянные боли в абсолютно целых костях при аденокарциноме легкого, операция с удалением пораженного легкого полностью излечивает боль.
Как обнаруживают метастазы в кости?
Диагностика скелетных повреждений не сложная, но высокотехнологичная, начинают с изотопного обследования — остеосцинтиграфии, выявляющей минимальные раковые новообразования. Затем засвеченные изотопом «горячие очаги» подвергают рентгенографии или, что лучше, компьютерной томографии (КТ). ПЭТ — «королева» доказательств, к сожалению, дорогое исследование, поэтому для контроля эффективности терапии не очень подходит.

Для выявления очагов в скелете маркеры костной резорбции не подходят, в практической онкологии активного применения не нашли.
Анализы крови позволяют заподозрить опухолевое поражение костного мозга, что часто сопровождает метастазирование в грудину.
Лечение скелетных поражений
Можно ли вылечить метастазы в костях? Однозначно лечением можно продлить жизнь при хорошем самочувствии. С одной стороны, скелетные поражения — манифестация распространения рака по организму, с другой — признак относительно благоприятного прогноза заболевания при отсутствии опухоли в других тканях и висцеральных (внутренних) органах, что даёт годы жизни при стабилизации процесса.
На этапе костного метастазирования вопрос о радикальном лечении уже не стоит, но операция не исключается при благоприятной гистологической структуре и солитарном — единственном костном поражении. Так при раке легкого или почки с метастазом в плечевую кость или бедро можно выполнить одномоментное вмешательство с удалением больного органа и резекцией кости с протезированием, но после нескольких месяцев химиотерапии.
Химиотерапия — главный метод лечения костных поражений, лекарственная схема определяется первичной опухолью. При раке молочной и предстательной железы хорошие результаты демонстрирует гормональная терапия.
Дополнение химиотерапии локальным облучением позволяет повысить общий результат терапии, снять боль и уменьшить вероятность перелома. Так при поражении шейных позвонков лучевая терапия обязательна уже на первом этапе.
Операция необходима при угрозе сдавления (компрессии) спинного мозга поломанным позвонком, как правило, удаляется поражённая часть позвонка — ламинэктомия. При длительной — более полугода стабилизации в результате химиотерапии можно поставить вопрос об удалении поражённой кости конечности с заменой на протез, если больше нет других проявлений рака.
Зачем нужны бисфосфонаты?
Использование бисфосфонатов при метастатическом поражении скелета стало стандартом адекватной терапии.

Человеческие кости постоянно обновляются: остекласты разрушают, а остеобласты наращивают ткани, в норме процессы уравновешены, в присутствии злокачественной опухоли остеокласты приобретают избыточную активность. Бисфосфонаты по своему строению схожи с костным матриксом, поэтому после введения в организм направляются в кости, где губительно действуют на активизированные раковыми продуктами остеокласты, параллельно снимая боль и оберегая от переломов.
Бисфосфонатами можно лечиться около двух лет, при утрате чувствительности к ним аналогичную роль выполняет моноклональное тело деносумаб. Демосумаб и бисфосфонаты относят к остеомодифицирующим агентам (ОМА).
Для назначения ОМА недостаточно выявления «горячих» очагов при остеосцинтиграфии, их применяют при доказанном рентгенологическими методами опухолевом поражении. Как каждое противоопухолевое средство эти препараты обладают токсичностью, в том числе могут привести к почечной недостаточности и некротическому разрушению челюсти.
Химиотерапия и ОМА — основные методы лечения скелетных поражений, но не единственные. Лечение костных метастазов должно быть комплексным, только комбинацией облучения и лекарств, с коррекцией метаболизма и присоединением паллиативной хирургии можно избавить от боли и вернуть пациенту активную жизнь.
Когда и что нужно и возможно в каждом конкретном клиническом случае онкологического заболевания знают специалисты нашей клиники. Узнайте больше, звоните:
Является ли приговором развитие в костях метастаз
Метастазы в кости – ситуация не из приятных и зачастую опасных для жизни. Однако не стоит сразу настраиваться, что это приговор. При своевременном их обнаружении у больного есть все шансы выжить. Зачастую метастазы являются осложнением основного заболевания, когда оно переходит в последнюю стадию и начинает выпускать в организм продукты своей жизнедеятельности.
Чаще всего метастазы в костях оказываются как следствие рака в пищеварительной системе, онкологии шейки матки, яичников и мягких тканей. Раковые клетки, которые, собственно, и называются метастазами, попадают в кости, как и в другие органы и системы – с кровотоком.
Что собой представляют метастазы в костях

Они появляются при распространении раковых клеток из первичной опухоли любого другого органа. Для них характерны:
- Нарастающие сильные боли;
- Гиперкальциемия;
Частые переломы костей вследствие развившейся их ломкости.
Нередко они могут так прорастать в кости, что дают опухоль. Симптоматика их проявления может разниться в зависимости от того, что именно сдавливает опухоль: если сосуды, то проявятся нарушения кровообращения, если нервные окончания – картина будет типично неврологической.
Как онкология распространяется на кость
Система попадания раковых клеток на кость не так сложна. Злокачественные клетки в определенный период времени – на разных стадиях и на разном этапе развития и прогрессирования основного заболевания – начинают отрываться от органа, пораженного изначально. Затем по лимфатическим сосудам или крови они отправляются в настоящее путешествие в другие части тела. Этот процесс и называется метастазированием.
Причем длительность такого пути онкоклеток может быть разной. Одни осядут рядом, другие уйдут на отдаленные участки. Метастазы также способны образовывать вторичную опухоль так, что ее будет не отличить от первичной.
Специалисты утверждают, что обычно раковые клетки, которые осели в костях, отрываются от новообразований в конечностях, тазу, грудной клетке, черепе, позвоночнике.
Какие есть виды поражений кости метастазами
Врачи делят онкопроцесс в костях по степени его воздействия на кости на:
- Прогрессирование опухоли с последующим расщеплением кости. В результате создается дефект, который называют остеолитическими отверстиями. Он становится причиной того, что кости теряют свою крепость, становятся более слабыми, появляется болезненность. Итогом станут регулярные трещины и переломы.
- Стимуляцию кости к неправильному формированию. Из-за этого ткани, наоборот, становятся слишком плотными.
Какие есть симптомы метастазов рака в костях
Естественно, на фоне того, что при более раннем обнаружении шансы на излечение в разы выше, многих интересует, как распознать метастазы в своем организме. Специалисты утверждают, что симптомы могу разниться, в зависимости от того, откуда изначально оторвались злокачественные клетки.
Основными признаками появления метастаз в костях называют следующие:
- Боли в костях (они могут быть достаточно интенсивными);
- Ограничение в подвижности пораженного участка.

Также бывает, что из-за компрессии спинного мозга опухолью начинают появляться такие ощущения, как онемение конечностей и живота, проблемы с мочеиспусканием. Кроме того, могут быть и такие симптомы, как:
- Тошнота;
- Жажда;
- Ухудшение аппетита;
- Усталость, которая постоянно усиливается.
Симптомы поражения кости при раке почки
Когда метастазы попадают в кость при раке почки, появляется такой симптом, как боль в месте поражения кости и ее повышенная хрупкость и ломкость.
Признаки метастаз в костях при раке легких
Специалисты утверждают, что рак легких нередко дает осложнение в виде метастазирования в кости. В этом случае злокачественные клетки достаточно активно разносятся с током крови. И любят они такие места, где хорошее кровоснабжение, выступающее как питательная среда для них.

А это значит, что в этом случае их обнаруживают в костях ребер, плеч, черепа, таза и в позвонках. Они редко когда дают какие-то явные симптомы на ранней стадии своего внедрения в костную ткань. После же у человека может отмечаться гиперкальциемия. В этом случае он начнет ощущать:
- Сухость во рту;
- Тошноту и даже рвоту;
- Чрезмерное образование мочи;
- В некоторых случаях потерю сознания.
Проявления метастаз в кости при раке груди
Метастазы передвигаются все тем же путем – через кровь и дают схожие со многими симптомы, в числе которых основные – боль и хрупкость костей.
Признаки метастаз в кости при раке простаты
Перемещение метастаз в кости при раке простаты встречается наиболее часто. Но при этом они уходят в кости из первичной опухоли уже на последней стадии болезни. Обычно они оседают в бедре, пояснице, грудине и в тазу.

Метастазы вызывают с течением времени нарушение в работе органов, расположенных здесь, становятся причиной болей и отличаются частыми переломами и развитием трещин в костной ткани.
По мере прогрессирования роста метастаз в костях (неважно, где они расположились), начнут появляться отеки тканей.
Причем они будут в основном локализовываться в месте поражения. Например, если метастазы образовали опухоль в пояснице, то отеки разовьются именно здесь. Однако важно понимать, что отечность может быть и скрытой, если злокачественные клетки поразили глубинные структуры кости.
Кроме того, может отмечаться и деформация пораженной области. Опухоль начинает активно расти, выпячивается, и ее становится заметно невооруженным взглядом.
Также врачи рекомендуют обращать внимание на такие признаки, как:
- Резкое снижение веса без каких-либо на то причин – нет диеты, питание не менялось;
- Постоянное наличие субфебрильной температуры тела (т.е. в пределах 37 градусов);
- Сонливость;
- Упадок сил;
- Повышенная потливость.
При наличии таких симптомов стоит обратиться к врачу и пройти обследование.
Методы диагностики

Если появилась характерная симптоматика, стоит провести более детальное исследование. Оно включает в себя:
Осмотр врачом.- Сдачу клинических анализов – как правило, моча и кровь.
- Анализ крови на биохимию.
- Сдачу онкомаркеров при необходимости и по назначению врача.
- Проведение рентгена: это простая процедура, которая доступна в любой поликлинике. Однако есть у нее серьезный недостаток – она не показывает мелкие опухоли. Да и сделать полное представление об опухоли не представляется возможным, т.к. снимок в двухмерном изображении.
- Для подтверждения диагноза и определения формы, размера и максимально точно локализации новообразования советуют сделать МРТ или компьютерную томографию – она позволит получить все необходимые представления.
- Биопсию тканей: образцы берут для того, чтобы исследовать на цитологию и гистологию – такой анализ позволяет медикам определиться с дальнейшей тактикой лечения и курсами терапии.
Как лечить

Для многих диагноз «метастазы в костях» звучит как приговор. Однако не стоит сразу же опускать руки. Варианты лечения есть, и если врач-онколог видит смысл в них, значит, шанс присутствует. Также стоит понимать, что если ситуация уже не поддается коррекции, то грамотно подобранная терапия позволит продлить жизнь пациента и снизит все негативные проявления, типа боли.
Лечение метастаз в костях должно быть, как и в любых других случаях, комплексным. Как правило, пациенту предлагаются такие схемы, которые включают в себя:
- Медикаментозную терапию: в этом случае ему прописываются специальные препараты, которые стимулируют восстановительные процессы в тканях. С их помощью можно подавить активность злокачественных клеток и снизить потерю костной массы.
- Химиотерапию: в некоторых случаях при определенных видах первичного рака такой вариант будет считаться единственным. Для лечения используют тяжелые препараты, которые способны остановить прогресс патологического процесса. Нередко после проведения курса терапии отмечается уменьшение роста опухоли.
- Лучевую терапию: при такой тактике лечения пациента подвергают активному облучению рентгеном, за счет чего уничтожается новообразование, и нередко отмечается состояние ремиссии.
Чего точно следует избегать при диагностировании метастаз в костях – использования народной медицины. Точнее ее можно применять, но с разрешения врача, в качестве дополнительной, но никак не вместо основной.
Различные попытки вылечить рак содой обычно приводят к плачевным результатам. Поэтому не стоит экспериментировать и терять драгоценное время. Лучше выполнять все предписания врача.
Питание как часть терапии
Нередко для достижения более высокого эффекта советуют поменять режим питания. Обязательно следует согласовать этот момент с лечащим врачом.
Считается, что на долю диеты при онкологии приходится 10-15% успеха выздоровления. Ведь питание сказывается на балансе микроэлементов и витаминов внутри организма, а также на поддержании иммунитета. Опухоли и метастазы выделяют огромное количество токсинов в организм, питание же должно это нивелировать.
К числу продуктов, помогающих бороться с онкологией, относят:
- Зеленый чай, известный своими антиоксидантными свойствами;
- Водоросли;
- Семена и орехи как источники полезных микроэлементов;
- Зелень – источник витаминов;
- Бобы в стручках;
- Фрукты и овощи;
- Мед и прочие продукты пчеловодства;
- Ягоды.
Отказаться придется от употребления:
- Газировки и содовой;
- Алкоголя;
- Наваристых жирных бульонов;
- Маргарина;
- Дрожжей;
- Сахара и прочих сладостей;
- Уксуса;
- Молока в цельном виде;
- Муки высших сортов;
- Консервов, маринадов и т.д.;
- Майонеза и кетчупа;
- Колбас и прочих полуфабрикатов;
- Замороженных мясных продуктов.
Прогнозы
Многих, естественно, интересует, сколько можно жить с метастазами в костях. Врачи же говорят, что тут делать прогнозы достаточно проблематично, т.к. процесс метастазирования обычно начинается уже на поздних стадиях. Да и к тому же в этом случае есть и еще один очаг новообразования. Примерный срок выживаемости очерчен в пределах: 3 месяца – полтора года.
Также врачи нередко проводят вычисления по тому, из какого новообразования вышли эти метастазы. Так, получается что:
- При раке легких выживаемость около полугода;
- При раке груди выживаемость до 2 лет;
- При раке предстательной железы выживаемость около 3 лет;
- При раке почек выживаемость около одного года;
- При раке щитовидки выживаемость 4 года;
- При меланоме выживаемость не выше полугода.
Но, услышав такие цифры, не надо сразу впадать в панику. Известны случаи, когда пациенты с высокой волей к жизни и победе успешно преодолевали эти планки и жили достаточно долго.
Профилактические мероприятия

Конечно же, стоит попытаться предотвратить распространение метастазов по организму. Для метастазов в костях первичной профилактикой станет раннее диагностирование первичной опухоли. Это позволит вовремя начать лечение и остановить патологический процесс размножения злокачественных клеток.
Кроме того, следует отказаться от вредных привычек, отдав предпочтение частым прогулкам на свежем воздухе, определенной физической активности и т.д. Простые принципы ЗОЖ никто не отменял. Также стоит почаще проходить положенные диспансеризации и беспокоиться о своем здоровье самостоятельно.
Хорошее настроение тоже играет не последнюю роль – доказано, что позитивные люди меньше подвержены различным заболеваниям, а еще имеют больше позитива, чтобы дойти до победы. Позитивный взгляд на мир помогает и легче перенести тяжелое лечение онкологии.
Является ли приговором развитие в костях метастаз. Метастазы в костях Как эзотерики видят метастазы в костях
Раковое образование, которое распространилось в костную ткань, указывает на метастазы в костях , лечение которых зависит от органа с первичным поражением и обстоятельств прогрессирования ракового процесса.
Костные метастазы состоят не из костных клеток, а из аномальных тканей первичной опухоли. Например, рак легких, что распространился в кости, складывается из раковых клеток легких. В связи с этим, каждый вид метастазов требует особого лечения.
Кости являются обычным местом распространения опухолей груди, почек, легких, простаты, щитовидной железы. Установление вида первичного онкообразования и способа поражения костной ткани важно для адекватного лечения.
Способы распространения метастазов
Раковые клетки способны проникать в костную ткань двумя способами:
- Сначала опухоль разъедает области кости, создавая отверстия, называемые “остеолитическими поражениями”. Этот процесс может сделать кости хрупкими и слабыми, в связи с чем легко происходят трещины или переломы.
- Злокачественная опухоль стимулирует рост новой аномальной костной ткани. Эти районы называются “остеокластами” или “остеобластами”, в зависимости от конкретного вида формирований. Они болезненны, слабы и неустойчивы, склонны к частым разрывам.
Метастазы в костях: диагностика
Для выбора наилучшего терапевтического метода следует установить точное месторасположение, вид злокачественного процесса и пр. Для этого применяются такие диагностические тесты:
- Сканирование костей
Этот способ позволяет быстрее, чем рентген, обнаружить метастазы в костях . Сканирование полностью отображает скелет пациента и позволяет врачу контролировать состояние всех костей организма, в том числе реакцию на лечение.
- Компьютерная томография
Применяется для детального изучения распространения злокачественного процесса в костных структурах. Сканер вращается вокруг тела онкобольного, изображая состояние организма из разных ракурсов.
- Лабораторные тесты
Метастазы в костях могут дать о себе знать рядом веществ, которые специалисты способны обнаружить в крови. Кальций и фермент щелочной фосфатазы ‒ главные элементы, которые указывают на наличие патологической среди.
- Магнитно-резонансная томография
Она использует радиоволны, с помощью которых создается поперечное сечение тела. Этот вид диагностики особенно полезен при изучении , спинного мозга и суставов.
Как лечат метастазы в костях?
Для костных метастазов доступны такие варианты лечения:
Эти препараты замедляют прогрессирование патологической деструкции костной ткани и развитие новых формирований, вызванных метастатическим процессом. Препараты способны:
- уменьшить риск переломов;
- снизить болевые ощущения в костных структурах;
- урегулировать уровень кальция в крови.
Существуют такие типы бисфосфонатов, как «Аредиа» (памидронат) и « » (золедронат). Как правило, они применяются внутривенно каждые 3-4 недели. Оральные формы плохо всасываются и могут раздражать желудочно-кишечный тракт.
В основном, бисфосфонаты используются у людей с метастатическим раком молочной железы, простаты и множественной миеломой.
Прием препарата «Деносумаб»
Он используется вместо бисфосфонатов и вводится под кожу каждые четыре недели. Средство способно отсрочить такие проблемы, как перелом костей.
Метод травмирует или разрушает клетки метастазов в костях. Она проводится один раз в день в течение двух-трех недель. Всего должно быть 10 процедур. Излучение также используется для предотвращения костных разрушений и компрессии спинного мозга.
Это другой тип излучения, что предполагает введение в вену таких химических элементов, как стронций-89 или самарий-153. Вещество притягивается к областям, содержащим в костях онкообразования. Таким способом происходит уничтожение активных раковых клеток. Вид лечения особенно действенный, когда злокачественным процессом поражено много костей.
Химиотерапия и гормональная терапия
Ситуация, при которой наблюдаются метастазы в костях, предусматривает лечение , которое, в первую очередь, должно базироваться на комплексном терапевтическом подходе. Только таким образом можно преодолеть болезнь и улучшить индивидуальные шансы на выживание каждого отдельного пациента.
Метастазы в кости – образования, которые являются вторичными по отношению к таким злокачественным опухолям, как:: миеломная болезнь, раковая опухоль молочных желез, предстательной железы, легких, почек, щитовидной железы, неходжкинская лимфома.
Специалисты онкологи утверждают, что чаще всего образование метастазов в костном скелете наблюдается при развитии злокачественных образований в желудочно-кишечном тракте, яичниках, шейке матки, мягких тканей
Процесс метастазирования представляет собой проникновение злокачественных опухолевых клеток и достижение ними любых органов и тканей, а также костной ткани благодаря циркуляции их в крови и лимфатических сосудах.
Когда пациент пребывает в здоровом состоянии, в его организме происходит обновление костной ткани. Ей присущи цикличная резорбция и костеобразование. Этот процесс вызывается двумя видами клеток: остеокластами, которые выполняют функцию разрушения или поглощения костной ткани, и остеобластами, отвечающими за ее формирование.
Вряд ли кому-то стоит долго доказывать важность и роль костей и костной ткани в организме человека, но можно очертить несколько их главных назначений:
- функция каркаса в теле человека;
- функция хранения необходимых для организма минералов – кальция, магния, натрия, фосфора;
- с помощью костного мозга производится и сохраняется большинство кровяных клеток (эритроцитов, белых кровяных клеток, тромбоцитов).
При проникновении раковых клеток в костные ткани оказывается влияние на функционирование костей, происходит вытеснение здоровых клеток, нарушение взаимодействия между такими составляющими как остеокласты и остеобласты, тем самым их работа разобщается. Смотря, какой патогенез, разделение метастазов в кости происходит на вид остеолитических (активируются остеокласты, с остеобластами ничего не происходит, отчего возникает патологическая резорбция костей) и остеобластических (активируются остеобласты, и возникает патологическое костное образование). При смешанных метастазах активируются одновременно и остеокласты, и остеобласты.
Симптомы метастазов рака в кости
Основными симптомами метастазов рака в кости являются:
- наличие болей в костях;
- ограниченная подвижности в пораженном метастазами участке.
Кроме того, часто происходит компрессия спинного мозга, отчего онемевают конечности и область живота, часто больные жалуются на наличие проблем с мочеиспускательной функцией, нарастают признаки гиперкальциемии, отчего у пациента наблюдаются приступы тошноты, жажды, снижается аппетит, нарастание усталости. Патогенез метастазов в кости может быть совершенно разным, потому в некоторых случаях клинические проявления даже могут отсутствовать.
метастазы в кости при раке почки
Когда у больного диагностирован рак почки , метастазы в кости проявляют себя в качестве болей, там, где спроецирована пораженная кость. В наличие помимо всего также появление патологических переломов костей, спинной мозг оказывается компрессирован, пальпация обнаруживает образования.
Метастазы в кости при раке легких
Рак простаты и метастазы в кости
Одной из самых распространенных локализаций рака, вследствие которого метастазы образуются именно в костях – предстательная железа. Однако первичные метастазы в костях от рака предстательной железы образуются крайне редко. Метастазирование вследствие рака простаты происходит, когда наблюдается уже поздняя стадия опухолевого заболевания.
Метастазы вследствие раковой опухоли простаты обычно поражают бедренную кость, поясничный отдел позвоночника, грудной отдел позвоночника, тазовые кости и т.д.
Метастазы в кости позвоночника
Если произошло поражение метастазами в кости позвоночника, то любые физические нагрузки противопоказаны, категорически запрещено поднимать тяжелое, отдых нужен несколько раз в день.
Метастазы в кости бедра и таза
Когда метастазы образовались в бедренной, тазовой кости, необходимо не допускать нагрузок ноги, которая была поражена. Хорошо в этот период пользоваться тростью или костылями.
Метастазы во многих случаях локализуются в костях таза и тазобедренных суставов. Данная зона занимает второе место после позвоночника, где образуются метастазы в кости. Когда у больного диагностирована раковая опухоль простаты, то в первую очередь, иногда даже прежде поражения позвоночника, под удар метастазов попадают кости таза. На эту зону припадает метастазирование от таких форм рака, как раковая опухоль груди, злокачественные образования щитовидной и околощитовидной желез, рак предстательной железы, легких, печени, лимфоузлов, почек, матки и органов мочевыделительной системы.
Метастазы в кости конечностей
Конечности – третья в рейтинге зона, куда метастазирует раковая опухоль разных форм. Плечевые отделы чаще всего поражает раковая опухоль щитовидки и злокачественные образования молочной железы, рак легких, толстого кишечника и прямой кишки, рак печени и желчевыводящих путей. Если возникает патологический перелом в плечевом отделе, то это может быть первым «звоночком» вышеперечисленных недугов. Также плечевая кость может быть метастазирована, когда пациент болеет меланомой, раком мочевыделительной системы, злокачественной хемодектомой (параганглиомой), лимфогранулематозом.
Лучевая, локтевая кость в основном поражается, когда диагностирована раковая опухоль груди, легких, почек. Кисть может быть метастазирована, когда раковой опухолью поражена щитовидная и молочная железа, толстая кишка, почка, печень, предстательная железа, мочевой пузырь. Кроме того, причиной подобного метастазирования может стать меланома, лимфогранулематоз, злокачественная хеодектома, первичная периостальная саркома (которая исходит из челюстей, если быть точнее – нижний отдел), липосаркома в мягких тканях.
Большеберцовая кость в большинстве своем поражается раковой опухолью легких, малоберцовая – когда поражена толстая кишка, предстательная железа. Раковая опухоль груди может быть метастазирована в кости стопы.
Метастазы в кости черепа
Когда происходит метастазирование в черепе, в основном бывает задет его свод и основание, часто в наличие поражение костей лица. Очень часто обнаружение метастазов происходит еще до того, как была обнаружена первичная злокачественная опухоль. В большинстве такое происходит тогда, когда впоследствии диагностируется рак почки.
Метастазы в костях свода и основания, используя гематогенный путь, обычно вызывает злокачественные опухоли молочных желез, рак щитовидки и околощитовидных желез, толстого кишечника, простаты, легких, а также наличие у пациента симпатобластомы, ретинобластомы.
Когда одиночный метастаз диагностируют в черепных костях, специалисты настоятельно рекомендуют исследование других органов, чтобы немедленно исключить вероятность, что и они были поражены. Если к тому времени еще неизвестно, какая именно локация была поражена первичной злокачественной опухолью, то сперва подозревают, что раком поражена почка, молочная, щитовидная железы, печень. Если подобная ситуация случилась с ребенком, то у него подозревают ретинобластому и медуллобластому.
Когда метастазы образуются в костных отделах лицевой части, происходит поражение околоносовых пазух, верхней и нижней челюсти, глазниц. Метастазирование околоносовых пазух чаще всего происходит из-за рака почек.
Метастазы черепного отдела могут также появиться в верхней челюсти, две челюсти одновременно чаще всего не поражаются.
Глазница может попасть под удар метастазов из-за рака груди, почки, щитовидки, надпочечников, меланомы. При проведении рентгена вид подобных метастазов обычно напоминает ретробульбарную опухоль.
Диагностика метастазов рака в кости
Для того, чтобы диагностировать метастазы рака в кости, их распространенность и уровень запущенности случая, проводят скелетную сцинтиграфию. Благодаря ней костные метастазы можно обнаружить в каком-угодно уголке скелета человека. Кроме того, подобное исследование эффективно и на совсем малых сроках, в то время, когда метаболических нарушений в костях еще не очень много. Потому бисфосфонаты можно назначить вовремя, а то и заранее, потому проведение сцинтиграфии играет необычайно важную роль.
Что же касается рентгенологического исследования, то начальные стадии появления метастазов не дадут достаточное количество информации. Определить размер очага и его точную локализацию в костях становится возможным только тогда, когда метастатическое образование созреет, а это происходит тогда, когда костная масса разрушена уже наполовину.
Рентгенологическое исследование метастазов в кости дает возможность дифференцировать типы метастазов при диагностировании. Наличие темных пятен (разрыхленные зоны), которые имеет серо-белая костная ткань, свидетельствует о пребывании литических метастазов. При белых пятнах на снимках, которые по тону несколько светлее костной ткани (при плотной или склеротической области) можно делать заключение, что имеем дело с бластическими метастазами.
При проведении радиоизотопного исследования костей скелета (остеосцинтиграфии), гамма-камерой производят изучение поверхности всего тела. За два часа до этого вводят специфический остеотропный радиофармпрепарат Резоскан 99m Тс. С помощью данной диагностической технологии определяются патологические очаги гиперфиксации данного препарата в костях. Также есть возможность визуализировать, насколько распространен или обособлен метастастический процесс и обеспечить наличие динамического контроля, насколько проводимое лечение с использованием биофосфонатов.
Кроме того, для диагностики метастазов рака в кости используют компьютерную томографию. Путем компьютерной томографии производится СТ-биопсия, но с ее помощью можно найти только остелитические очаги.
Также для выявления метастазов рака в кости практикуют проведение магнитно-резонансной томографии.
С помощью лабораторного тестирования можно определить маркеры костной резорбции в моче (как соотносятся мочевой N-концевой телопептид и креатинин), в каких количествах сыворотка крови содержит кальций и щелочную фотофостазу.
Лечение метастазов рака в кости
Если метастазы в кости лечить своевременно, то новые очаги костного метастазирования возникают реже, происходит увеличение выживаемости пациентов. Так как скелетные осложнения (болевой синдром, патологические переломы, компрессия спинного мозга, гиперкальциемия) случаются реже, им гораздо легче становится жить, что тоже является важным достижением.
Проведение системной медикаментозной терапии включает в себя противоопухолевую терапию (применение цитостатиков, гормонотерапии, иммунотерапии) и поддерживающей терапии – лечение с помощью биофосфонатов и анальгетиков. Местно метастазы в кости лечат лучевой терапией, хирургическим лечением, радиочастотной абляцией, цементопластикой.
Больных, у которых обнаружены метастазы в костях, лечат совершенно разными методами, одного универсального не существует. Каждому пациенту назначают свое лечение, обращая внимание на то, как протекает болезнь и где именно располагаются метастазы.
Применение физиотерапевтических процедур не практикуют. Исключительно в тех случаях, когда одобрил врач, допустимо выполнение физических упражнений.
Обезболивание при метастазах рака в кости
Когда костная ткань одной-двух областей содержит метастазы в кости, наиболее действенным методом лечения, которое обладает к тому же эффектом обезболивания, является проведение лучевой терапии. Восемьдесят пять процентов случаев, когда была применена лучевая терапия, характеризуются эффектом обезболивания, который имеет место быть в течение достаточно длительного времени. Кроме того, когда метастазы обнаружены в кости, как очень эффективные показывают себя противовоспалительные и опиоидные средства.
Химиотерапия при метастазах в костях
Химиотерапия при метастазах в костях, гормональная терапия, таргет-терапия – все эти способы также характеризуются положительным эффектом. Также специалисты рекомендуют сочетать эти методы, применяя в добавок радиационное облучение, под которое обычно попадает один или несколько метастазов в кости, отличающихся вызыванием наибольшей болезненности. Лучевая терапия может также проводиться в таком виде, когда внутривенно вводят радиоактивный стронций-89, в таком случае костные метастазы начинают его поглощать. Применение таких препаратов, как «Зомета» и «Аредиа» также хорошо обезболивают метастаза рака в кости путем улучшения костной структуры. Практикуют такой метод, как иммобилизировать (обездвижить) больную конечность.
Лечение метастазов в кости биофосфонатами
При лечении метастазов в кости применяют использование биофосфонатов внутривенно и перорально. К препаратам, которые вводят внутривенно, относят такое лекарство, как Зомета (золедроновая кислота) и Бондронат (ибандроновая кислота). Перорально принимают препарат Бонефос (клодроновая кислота) и Бондронат в таблетках.
Лечение метастазов в кости препаратом Зомета
Зомета – наиболее эффективный препарат групп биофосфонатов, является внутривенным азотсодержащим биофосфонатом третьего поколения. Он проявляет активность при наличии любого из известных типов метастазирования: при наличии литических, бластических, смешанных метастазов в кости. Также Зомета дает эффект у больных, у которых наблюдается гиперкальциемия вследствие развития опухоли, а также остеопороз
Зомета отличается избирательным действием, которое «ощущается» костными метастазами. Зомете характерно проникновение в костную ткань, концентрация около остеокластов, вызывание их апоптоза, снижение секреции, которая происходит благодаря лизосомальным ферментам. Из-за действия препарата адгезия опухолевых клеток в костной ткани нарушается и опухолевая резорбция в кости нарушается. Важным отличием от других препаратов разряда биофосфонаты является то, что Зомета вызывает угнетение новообразования сосудов в опухолевых клетках (наличие антиагеогенного эффекта), а также из-за него происходит их апоптоз.
Зомета обычно представлена как концентрат для инфузий. В одном флаконе обычно содержится четыре миллиграмма действующего вещества (золендроновая кислота). Это именно та доза, которую вводят за один раз. Перед тем, как вводить больному, практикуют разведение концентрата в ста миллилитрах физиологического раствора. Внутривенная инфузия происходит в течение пятнадцати минут. Если раствор приготовили заранее, но не использовали, то на протяжении двадцати четырех часов его можно хранить при температурном режиме +4 – +8°С. Частота и выраженность побочных действий Зометы сходна с другими внутривенными биофосфонатами, то есть вся лекарственная группа характеризуется сходными нежелательными явлениями. При использовании Зометы в редких случаях может повышаться температура, могут болеть мышцы и спина. Наличие гриппоподобного синдрома отмечают на протяжении первых двух дней после того, как инфузия Зометы была произведена. Но его легко можно купировать, если принимать неспецифические противовоспалительные средства. Желудочно-кишечный тракт может отреагировать на Зомету, вызвав тошноту и рвоту. Покраснения и припухлости в том месте, где Зомета была введена внутривенно, наблюдались в очень редких случаях, симптомы уходили за одни-двое суток.
Метастазы в кости – тот диагноз, при котором такой препарат как Зомета является одним из самых широко применяемых. Она дает хорошие результаты не только, когда наблюдаются литические и смешанные метастазы, но и в том случае, если мы имеем дело с бластическими очагами.
Зомету назначают сразу после того, как метастазы в кости были обнаружены. Применяют этот препарат в течение длительного времени, обычно сочетая с другими способами лечения метастазов в кости – химиотерапией, гормонотерапией, лучевой терапией.
- два года, когда наблюдается рак простаты с костным местастазированием;
- один год при раке груди с костным метастазированием, а также, если наблюдается множественная миелома;
- девять месяцев, если метастазы в кости вызваны различными другими значительными опухолями.
Внутривенные инфузии Зометы в количестве 4 мг проводят с периодичностью каждые три-четыре недели.
Эффекты, которые наблюдаются вследствие применения препарата Зомета:
- обезболивание;
- увеличение количества времени, которое проходит до того, как появляется первое костное осложнение;
- снижение частоты осложнений в костных тканях и вероятности того, что они возникнут;
- удлинение интервала между тем, как после первого осложнения случится второе;
- антирезорбтивные свойства Зометы и ее способность усиления воздействия, которое оказывают противоопухолевые препараты, способствуют увеличению продолжительности и улучшению качества жизни пациентов, столкнувшихся с проблемой костного метастазирования.
Лечение метастазов в кости препаратом Бондронат
Бондронат (ибандроновая кислота) – препарат, относящийся к разряду биофосфонатов, с помощью которого проводится лечение больных с проблемой местастазирования в костную ткань вследствие развития злокачественных опухолей. Наряду с Зометой и Бонефосом является одним из самых широко применяемых препаратов, использующихся при данном диагнозе. Важным преимуществом Бондроната по сравнению с другими биофосфонатами является возможность использовать его как внутривенно, так и перорально.
Бондронат назначают, когда у больного наблюдается метастатическое поражение костей, чтобы снизить риск, что возникнут гиперкальциемия, патологические переломы; также для того, чтобы уменьшить боль, снизить потребность в проведении лучевой терапии, если есть болевой синдром и угроза переломов; наличие гиперкальциемии при злокачественных опухолях.
Бондронат существует в двух формах – его вводят внутривенно и принимают перорально. При внутривенном введении практикуют капельные инфузии в условиях стационара. Бондронат разводят, получая специальный раствор. Для его приготовления необходимо 500 мл 0,9% раствора натрия хлорида или 5% раствора декстрозы, в котором и разводят концентрат Бондроната. Инфузию проводят через час-два после приготовления раствора.
Если мы имеем дело с таблетками Бондронат, то их принимают за полчаса до еды или напитков, а также других лекарственных препаратов. Таблетки необходимо поглатывать целиком, запивать стаканом воды, причем необходимо, чтобы пациент пребывал в положении «сидя» или «стоя», а затем час после этого не принимал горизонтальное положение. Жевание и рассасывание таблеток противопоказано, так как могут образоваться орофарингеальные изъязвления. Также нельзя эти таблетки запивать минеральной водой, в которой содержится кальций в большом количестве.
Если Бондронат используется при метастастическом поражении костей во время рака груди, то данный препарат чаще всего используют в виде инфузий, вводя 6 мг внутривенно на протяжении пятнадцати минут раз в три-четыре недели. Концентрат для приготовления раствора для инфузий разводят в 100 мл 0,9% раствора натрия хлорида или 5% раствора декстрозы.
Для лечения гиперкальциемии при раковых опухолях проводят внутривенные инфузии на протяжении одного двух часов. Терапия Бондронатом начинается после адекватной гидратации 0,9% раствором натрия хлорида. Степень тяжести гиперкальциемии определяет дозу: при ее тяжелой форме вводят 4 мг Бондроната, умеренная гиперкальциемия требует — 2 мг. Максимально за один раз больному можно вводить 6 мг препарата, но увеличение дозы не увеличивает эффект.
Основное отличие от Зометы и важное преимущество перед этим препаратом кроется в отсутствии негативного влияния Бондроната на почки.
Лечение метастазов в кости препаратом Бонефос
Бонефос является ингибитором резорбции костной ткани. Дает возможность ингибирования костной резорбции при опухолевом процессе и метастазировании в кости. Способствует подавлению активности остеокластов, уменьшению содержания кальция в сыворотке крови. У больных с проблемой метастазов в кости уменьшается выраженность болевого синдрома, задерживается прогрессирование процесса метастазирования, новые метастазы в кости не развиваются. Причиной применения Бонефоса может стать остеолиз, обусловленный злокачественными новообразованиями: миеломная болезнь (наличие множественной миеломы), метастазы рака в кости (раковая опухоль груди, раковая опухоль простаты, раковая опухоль щитовидки), гиперкальциемия при раковых новообразованиях.
Бонефос является мощным средством для лечения метастазирования при раковых опухолях молочных желез. Бонефос способствует уменьшению костной боли; снижению вероятности, что разовьется тяжелая гиперкальциемия. Бонефос характеризируется хорошей желудочно-кишечной переносимостью и отсутствием нефротоксичности.
При гиперкальциемии, обусловленной опухолевыми процессами, Бонефос вводят внутривенно с помощью инфуцизий в количестве 300 мг на протяжении суток. Для этого готовят специальный раствор из содержимого ампулы и 500 мл 0,9% раствора натрия хлорида или 5% раствора глюкозы. Инфузию проводят ежедневно по два часа на протяжении пяти дней, но не более недели.
После того, как уровень кальция в сыворотке крови нормализуется, Бонефос начинают принимать перорально по 1600 мг в сутки.
Когда гиперкальциемию лечат с помощью таблеток или капсул Бонефоса, то терапия обычно начинается с больших доз порядка 2400-3200 мг в сутки и постепенно врач снижает суточную дозу до 1600 мг.
При остеолитических изменениях костей, обусловленных возникновением злокачественных опухолей без гиперкальциемии, специалист подбирает дозировку Бонефоса в индивидуальном порядке. Начинают обычно с 1600 мг внутрь, иногда дозу постепенно увеличивают, но рассчитывают так, чтобы она не превысила 3600 мг в сутки.
Капсулы и таблетки Бонефоса 400 мг глотают, не разжевывая. Таблетки 800 мг позволительно разделить на две части, чтобы глотать их стало проще, но размельчат и растворять их не рекомендуется. 1600 мг Бонефоса принимают с утра на голодный желудок, таблетки нужно запивать стаканом воды. На протяжении двух часов с момента приема препарата стоит воздержаться от еды и напитков, а также от принятия других лекарств. В случае дозы, превышающей 1600 мг, ее разбивают на двухразовый прием. Вторая доза следует между приемами пищи, чтобы после еды прошло два часа или до нее остался час. Молоко, а также пищу, содержащую кальций или прочие двухвалентные катионы, мешающие всасыванию клодроновой кислоты – основного вещества препарата – категорически запрещено. Если больной страдает почечной недостаточностью, суточная пероральная доза Бонефоса не должна превышать в 1600 мг.
- метастазы в кости, выявленные вследствие рака почек, приводят к тому, что пациенту остается жить около года, частота развития метастазов при этой форме рака составляет двадцать-двадцать пять процентов;
- метастазы в кости при раке щитовидной железы возникают в шестидесяти процентах случаях, в данной ситуации медиана выживаемости пациента составляет сорок восемь месяцев;
- частота развития метастазов в крови при меланоме составляет от четырнадцати до сорока пяти процентов, медиана выживаемости с момента установления наличия метастазов в кости составляет полгода.
Метастазы рака в кости – неприятная и опасная для жизни ситуация, однако не окончательный приговор. Главное при метастазах в кости – понимание, что это еще не конец. Если своевременно их обнаружить, то возможно сохранение у онкобольного и жизни, и возможности полноценно функционировать, работать и т.д. Если полностью доверять доктору и соблюдать все то, что он предписывает. Своевременное применение выписанных лекарств, соблюдение режима сна, правильно кушать.
Возникают на фоне вторичного очага злокачественного опухолевого образования в тканях костей.
Опухолевые клетки распространяются из первичных очагов новообразования других органов.
Заболевание проявляется болевыми ощущениями, повышается уровень кальция в кровяной плазме, кости становятся ломкими. В большинстве ситуациях при диагностике заболевания врачи обнаруживают плотное новообразование.
Опухоль давит на сосуды больших размеров, при этом они тесно прилегают друг к другу, и в следствие чего нарушается кровообращение. Если опухоль сдавливает нервные стволы, то наблюдаются неврологические симптомы. Диагноз ставят на основании истории заболевания, внешнего осмотра, лабораторного и инструментального исследования.
Сначала поражаются костные ткани из-за быстрого распределения раковых клеток по кровеносной системе и лимфатическим узлам. Как правило, наличие метастаз — это уже последний этап развития злокачественного новообразования. 85% метастаз — признак 4 стадии опухоли молочных желез и рака простаты.
Появляются в результате злокачественного новообразования в щитовидной железе, почках, саркоме, лимфогранулематозе. Достаточно редко метастазирование в кости диагностируются при опухоли яичников, шейки матки, мягких тканей, желудочно-кишечного тракта.
У пациентов с диагнозом метастазы в костях проводят лечение онкологи и травматолог-ортопед.
Метастазы в костной ткани и их виды
Злокачественное новообразование пускает метастазы в двух формах, и именно по ним определяется соответствующее лечение.
- Остеолитическая форма. Опухолевые клетки клетки повреждают кость и ее ткани, и со временем она полностью разрушается. Происходит стимуляция остеокластов, клеток которые полностью разрушают структуру кости.
- Остеопластическая форма. Опухолевые клетки стимулируют остеобласты. Они приводят к быстрому разрастанию кости. Из-за этого ткань разрушается, а сама кость начинает сдвигаться в сторону (выпячивать).
Этиология
Метастазирование в костных тканях начинается в результате рака легких, почек, груди, простаты, а также в результате злокачественного новообразования в яичнике, желудочно-кишечном тракте, в лимфатических узлах и саркоме.
Другие онкологические заболевания пускают метастазы на четвертой стадии, но это встречается реже.
Когда человек полностью здоров и в организме невыявлено нарушений, то ткань костей периодически обновляется.
Костная ткань имеет свои особенности и процессы:
- рассасывается в результате воздействия остеокластов;
- после разрушения костной ткани образуется кость, чтобы поддерживать скелет в балансе;
- костеобразование.
Эти процессы осуществляет клеточная деятельность, в которой участвуют остеобласты и остеокласты. Именно они, ответственны за то, как формируется, поглощается и разрушается костная ткань.
Кость начинает неправильно функционировать если в ее структуру проникают неправильные клетки, вытесняя при этом здоровые. Из-за этого остеобласты и остеокласты перестают взаимодействовать друг с другом.
Симптоматика
Как и у всех онкологический заболеваниях у метастазов в костной ткани есть свои симптомы:
- Болят кости. Это один из самых распространенных и грозных симптомов. Самая острая боль начинается тогда, когда начинается процесс поражения костной ткани, иногда это становится невыносимо больно. Бывает, что обезболивающие таблетки не помогают. Болевой синдром имеет нарастающий характер. становится сильнее ночью и после нагрузок. Бывали случаи, что пациент не мог справиться с болью и накладывал на себя руки.
- Компрессия. Костное новообразование имеет плотную структуру и когда оно начинает увеличиваться в размерах, то происходит сдавливание сосудов и нервных стволов. Ухудшает ситуацию — сдавливание спинномозговых корешков или спинного мозга. Тогда у пациента наблюдаются дисфункция нервной системы, иногда наступает поперечный паралич.
- Местные изменения. На пораженных участках появляются уплотнения плотного очага.
- Патологический перелом. Если кость немного нагрузить, то она начинает разрушаться. При чихании может поломаться ребро. Симптом таких переломов проявляется вследствие 60% разъеданий верхних слоев. Зачастую страдает позвоночник, реже — бедренная кость. Перелом позвоночного отдела наступает в результате того, что нарушается целостность некоторых отделов позвоночника. В основном страдают отделы грудины и поясницы. Также замечено сдавливание нервного корешка и спинного мозга. Результатом таких переломов могут быть самые маленькие травмы (удар или резкий поворот).
- Повышение уровня кальция в крови. Гиперкальциемия наступает из-за разрушения костных тканей. Это осложнение считается самым опасным и в некоторых случаях приводит к летальному исходу. Повышенный уровень кальция может вызывать сбои в сердечном ритме, обезвоживание и почечную недостаточность.
- Интоксикация. Снижается аппетит, появляется слабость, тошнота, пациент теряет в весе, что в дальнейшем приводит к анорексии.
Из-за этих явлений у больных с метастазированием, замечена дисфункция органов и систем:
- Нервная система — пациент становится заторможенным, расстройство психо-эмоционального состояния, нарушается сознание;
- Сердечно-сосудистая система — пониженное артериальное давление, замедляется сердечный ритм, что может привести к полной остановке сердца;
- Почки — соль и кальций откладываются тканях почек, увеличивается объем мочи;
- Желудочно-кишечный тракт — регулярный запор, тошнота, сопровождается с рвотными рефлексами, регулярный запор, снижение аппетита, кишковая непроходимость, воспаляется поджелудочная железа.
Методы для диагностики метастазов в костях
- Диагностировать метастазы в тканях костей, специалисты проводят:
- Рентгенографию. Это простой вид диагностики. С помощью рентгена можно точно определить диагноз только на третьем и четвертом этапе развития онкологии, так как на первых стадиях онкологическое заболевание не пускает метастазы.
- Компьютерную томографию. Полученные результаты рентгеновского снимка обрабатывают с помощью цифровых приборов. После обработки врач увидит степень разрушения ткани и границы ее разъедания.
- Магнитно-резонансную томографию. Этот метод проводится путем облучения. Для облучения применяют радиологическую волну. Томография определяет объем пораженных участков в костной ткани.
- Сцинтиграфию. Определяют насколько радиоактивный изотоп наполнен опухолевыми клетками. Сцинтиграфия позволяет точно определить местонахождение метастазов.
- Биопсию. Данная методика исследования точнее всех ставит диагноз, так как определяет принадлежность костных тканей к определенным типам. Чтобы взять материал на биопсическое исследование, пациенту вводят местный наркоз. Материал отправляют на изучение функциональности клеток и строение тканей.
- Анализ крови на биохимию. Анализ определит излишек кальция в кровеносной системе.
Как лечить метастазы в кости?
После того как был поставлен диагноз — метастазы в костях, то лечение начинается сразу. С таким диагнозом пациент умирает в период от 4 до 10 месяцев.
Но это не говорит о том, что лечить заболевание не нужно.
- Лечение путем хирургического вмешательства. такой вид терапии используют для того, чтобы пациент прожил еще немного нормальной жизнью. Лечатся патологические переломы, фиксируются тонкие кости и другое.
- Лечение с помощью лучевого облучения. Если облучить очаг злокачественной опухоли, то пациенту удастся дольше прожить. Этот метод лечения эффективный, так как опухолевая клетка имеет высокую чувствительность к радиации чем костная ткань.
- Химиотерапия. Противоопухолевые препараты вводятся внутривенно и уничтожают опухолевые клетки. Цитостатики имеют высокую токсичность, из-за этого появляется множество побочных эффектов.
Все эти методы лечения используются в комплексе.
Сопутствующее лечение
- устранить боли при метастазах в кости. Это самая главная цель терапии. Врачи на значают препараты которые обезболивают, снимают жар и воспаление, а также назначается морфин. Некоторые страны разрешают употреблять марихуану на последнем этапе развития онкологической болезни. Как известно, она расслабляет пациента и снимает болевой синдром.
- препараты, снижающие риск патологических переломов и не допускают полному разъеданию костей. Пациенты задаются вопросом: “как можно лечить метастазы в костях народными методами?”. Ответ на это категоричен — лечение народными средствами категорически запрещено. Ни одно из народных средств не поможет вам избавиться от злокачественной опухоли, а только усугубит ситуацию. Лечением занимается исключительно онколог.
Цель лечения
Перед комплексной терапией стоит четыре основных цели:
- Уменьшить болевой синдром.
- уничтожить опухолевые клетки и не допустить их размножение.
- Избавить организм от токсических веществ.
- Вылечить сопутствующие заболевания.
Лечение метастазов обязательно включает в себя комплекс мероприятий по удалению первичных очагов злокачественной опухоли.
Прогноз при костных метастазах
Прогноз напрямую зависит от того, где находится первичный очаг злокачественной опухоли.
- Если метастазы в кости — это, результат опухоли легких, то больному ставится прогноз прожить не более шести месяцев.
- Результат предстательной злокачественного новообразования, пациенту удастся прожить до трех лет.
- Когда метастазы в костных тканях стали результатом рака молочных желез, то прогноз — 2 года.
- Один год проживет больной с метастазами почечной опухоли.
- Меланома с метастазами в костной ткани дает пациенту на жизнь шесть месяцев.
- Рак щитовидной железы пустивший метастазы в костную ткань, самый щадящий. Больные живут четыре года.
Лечение и профилактика метастаз в кости — процесс тяжелый и долгий. Если вовремя его диагностировать, то возможно дать шанс больному на жизнь.
Метастазирование в кости это тяжелое раковое осложнение с сильными болевыми симптомами, означающее переход рака в 3, 4 стадию. Прогноз лечения и продолжительность жизни при этом значительно снижаются, сколько живут с метастазами в костях зависит от применяемой терапии и агрессивности первичного очага
Процесс метастазирования это страшное осложнение, которое всегда происходит при раке, если болезнь вовремя не выявлена и не начато ее лечение. Обычно метастазы образуются в мягких тканях, органах, но иногда ими поражаются и кости. Метастазу в костных структурах следует рассматривать как еще один эпизод рака, когда аномальные клетки из первичной опухоли, перемещаясь по организму, осаждаются в элементах скелета.
Метастазы в костях появляются на поздних стадиях развития патологии, в 4-х из пяти случаев первичные опухоли это рак молочной железы для женщин и простаты у мужчин . Такая ситуация не имеет хорошего прогноза, пациент страдает от симптомов сильных болей, ослабленные кости переламываются даже при незначительном воздействии. Первичное онкологическое поражение почек и щитовидной железы, ведет к метастазированию в структурах черепа.
Причины
Кроме перечисленных видов рака от метастазирования в костные ткани страдают при злокачественных опухолях легких, почек, яичников у женщин, саркоме, лимфоме и поражении органов желудочно-кишечного тракта . В резких случаях бывает миграция атипичных клеток и из других охваченных болезнью органов.

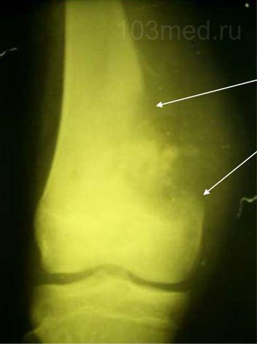
Фото 1. Разрушение метастазой костной ткани
Появление тяжелых признаков и симптомов болезни связано с нарушением постоянного обновления тканей костей, существующее у здорового человека. Нормальное клеточное взаимодействие, элементами которого выступает резорбция, ремоделирование и костеобразование, нарушается, так как остеобласты и остеокласты, отвечающие за указанный функционал, блокируются раком. В итоге, в кости наблюдается вытеснение здоровых и полезных тканей, место которых занимает метастаза.
Рак молочной железы частая причина костного метастазирования. При таком женском заболевании злокачественные структуры посредствам лимфогенного или гематогенного перемещения, перемещаются и накапливаются в костях, преимущественно таза и груди.
Течение недуга сопровождается интенсивными болями, свою лепту в которые вносят регулярные переломы. Обычно это означает 4 степень рака, продолжительность жизни и выживаемость при которой небольшая.
Виды метастаз в костях
Исходя из разновидности активизации онкологии, выделяется несколько их типов:
- Остеопластическими называют ситуацию образования плотных участков, внедренных в кость.
- К остеолитическим относят процесс разрушения костной ткани.
Любой случай заболевания это комбинация из двух указанных патологических процессов. Наиболее часто метастазы случаются в костях, активно питаемых кровью, они образуются в:
- Плечевой зоне
- Ребрах
- Черепе, элементах позвоночника
На ранних стадиях образования не имеют никаких признаков, позже появляются симптомы боли и другие проявления.
Симптомы метастаз в костях
Ранняя степень метастазирования протекает бессимптомно, но по мере роста, воздействие онкологии на кость становится более явным, и появляются первые признаки:
- Гиперкальциемия . Так именуют последствие метастазы в кости, встречающееся в более чем трети больных. Патология вызывает повышенную активность остеокластов, из-за чего резко повышается кальций в крови. Это ведет к повышенной нагрузке на почки, что грозит нарушением обратной всасываемости и чрезмерному выделению мочи.
- Патологические переломы .
- Спинномозговая компрессия при опухоли в позвоночнике.
В результате гиперкальцемии и пережатия спинномозговых каналов у человека появляются следующие симптомы:
- Со стороны нервной системы онкобольной с метастазами в костях страдает от заторможенности, неуравновешенной психики, спутанного сознания, аффективных нарушений.
- Сердце и сосуды начинают неправильно функционировать, что заканчивается аритмией , пониженным артериальным давлением , низкой частотой сердечных сокращений . Все это граничит с сердечной недостаточностью и мгновенной смертью.
- Вероятна почечная недостаточность из-за интенсивной нагрузки на них
- Желудочно-кишечный тракт страдает от расстройства, больного часто подташнивает, отсутствует аппетит, запор переходит ведет к кишечной непроходимости и т.д.
В условиях, когда метастазы в костных тканях разрушают больше 50% кортикального слоя, резко возрастает вероятность переломов . От этого страдают кости позвоночного столба в пояснице или грудном отделе и бедра. Незначительное превышение нагрузки заканчивается переломов кости и симптомами сильнейшей боли.
По причине метастазов в костях они настолько ослабевают, что нередко ломаются вообще сами по себе. При этом из-за относительного смещения в месте слома, функционал конечности или костного элемента полностью теряется. Не успев срастись, происходит еще один слом и так далее. В итоге человек практически обездвижен и ему грозит инвалидность с необходимостью постоянного обезболивания.
Дальнейший рост злокачественной опухоли ведет к сдавливанию сломанными костями мягких тканей, располагающихся рядом. Это грозит постоянными сильнейшими болями, слабостью мышц, нарушенной чувствительностью. Продолжительность жизни при таких осложнениях очень мала, терминальная стадия ведет к параличу и отказу органов таза.
В таких условиях жизнь с метастазами в костях становится серьезным испытанием. Речи об излечении уже не идет, задача медиков состоит в улучшении условий существования.
При метастазировании костей позвоночника существует риск спинномозгового пережатия . Часто это явление наблюдается при локализации в грудной части позвоночного столба. Симптомы формируются последовательно, по мере усиления давления на спинной мозг, проходящий в специальном позвоночном канале. Резкое появление признаков происходит при переломе позвоночного элемента.
Если вовремя заметить и начать лечить спинномозговое пережатие, то его последствия обратимы, на поздних стадиях признаки паралича будут становиться все более явными, несмотря лечение.
Статистика говорит, что лишь каждый десятый онкопациент способен к самостоятельному перемещению после развития паралича.
Диагностика
Надежное и информативное диагностирование костного метастазирования возможно при помощи скелетной сцинтиграфии . Метод позволяет понять, насколько распространено образование, и на какой степени оно находится.
Данной процедурой находят метастазы в любых костях человеческого туловища и конечностей. Эффективно выявляются даже начальные стадии недуга, когда симптомы еще не проявлены. Итогом лечения на данном этапе будет значительное улучшение прогноза и продолжительности жизни.

Фото 2. Вид тазовых костей на рентгене
Более доступный и бесконтактный метод это рентген . Однако он выявляет лишь зрелую вторичную метастазу, когда разрушению уже подвергся значительный объем кости. Преимущество рентгенологии заключается возможности дифференцирования вторичного новообразования, исходя из его типа. Разная окраска пятен на фото, будет говорить о различной их природе.
На более поздних этапах диагностики для уточнения диагноза и метода лечения применяют:
- Радиоизотопное диагностирование
- Остеосцинтиграфию
- Анализы мочи и крови
При обнаружении опухоли в черепе, проводятся дополнительные обследования для исключения поражения соседних органов.
Лечение
То, чем и как лечить метастазы в костях будет зависеть от локализации патологии, степени ее развития и параметров исходного рака. Перечислим основные методы лечения:
- Операции применяются в рамках паллиативной помощи, когда улучшение прогноза выздоровления невозможно и больной уже неизлечим, но нужно максимально продлить срок жизни и улучшить ее качество. Благодаря хирургической удалению опухолей удается уменьшить сдавливание нервных окончаний спинного мозга, уменьшить вероятность сломов костей. Все это значительно снижает болевой синдром и частично возвращает потерянные анатомический функционал.
- Применение лучевой и химиотерапии используется для подготовки пациента к операции, либо после нее, а также как самостоятельное лечение. Путем химического или лучевого уничтожения онкоклеток удается остановить рост метастаз в костях.
- Прием бисфосфонатов . Это специальные препараты, тормозящие разрушение костной ткани.
- При некоторых видах рака эффективно использование радиофармпрепаратов .
- Активизация иммунной системы позволяет продлить продолжительность жизни человека. За счет активизации собственных сил организм лучше начинает бороться со злокачественным распространением, изнутри помогая внешнему лучению.
Бисфосфонатные препараты
Так называют лекарства, защищающие костные структуры от разрушения. Они показаны при остеокластной патологии для компенсации вредного действия метастаз.
Благодаря поглощению басфосфоната в месте, где произошло метастазирование, негативная деятельность замедляется или совсем прекращается. В дополнение препарат тормозит выработку остеокластов, которые быстро погибают или самостоятельно разрушаются. Механика действия состоит в накапливании активного вещества вокруг образования. При наборе необходимой массы начинается позитивное воздействие по угнетению разрушающей функции.
Бывает два вида бисфосфонатов. Первые состоят из азотистых соединений и более действенны в отношении метастаз в костях. Вторая группа лишена таких соединений и лечение с ее помощью менее эффективно. Что конкретно назначить будет зависеть от финансовых возможностей больного и стадии развития новообразования.
Прогноз и продолжительность жизни
Сколько конкретно живут пациенты с метастазированием в костях невозможно. Примерно это сделать можно увидев историю болезни. Для точного прогноза выживаемости врачу надо проанализировать много информации о метастазе и других раковых новообразованиях.
Приведем цифры сколько живут люди с метастазами в костной ткани в зависимости от первичной онкологии:
- Метастазирование рака легкого и меланомы дает продолжительность жизни около 6 месяцев.
- Простата – 1-3 года
- Рак молочных желез – 18-24 месяца
- Почки с костным метастазированием дают человеку до 12 месяцев жизни
- Самый лучший прогноз при злокачественном поражении щитовидной железы. С рассматриваемыми в статье осложнениями люди живут еще до 4-х лет.
Специалистами установлено, что костная ткань представляет собой одну из наиболее восприимчивых структур человеческого организма к раковым новообразованиям. Чаще всего — это уже вторичное поражение, метастазирование. Судить о продолжительности жизни при метастазах в костях затруднительно — необходимо учитывать множество сопутствующих факторов, к примеру, возраст онкобольного, общее число вторичных очагов рака. Однако, чаще всего прогноз неблагоприятный.
Причины появления метастазов
Практически при каждом злокачественном новообразовании раковые клетки перемещаются в костные структуры. Поводом для подобного процесса служит их довольно хорошее кровоснабжение. Однако, далеко не все кости подвержены формированию раковых очагов одинаково. Чаще всего это касается только наиболее крупных из них. Ведь чем больше кость, тем больше к ней поступает питательных веществ по сосудистому руслу.
Раковая клетка из первичного опухолевого очага может выйти только в том, случае, если он достиг своей зрелости и начинает выпускать метастазы – это 3Б–4 стадия онкопроцеса. На этом фоне защитные силы человеческого организма уже настолько подорваны, что клетки-защитники больше не в состоянии справляться с патологическим процессом.
Значительно укорачивает жизнь онкобольному и отсутствие адекватной комплексной противоопухолевой терапии. Если метастазов в костные структуры поступило много, только одной из методики – химиотерапии, лучевая терапия, недостаточно – они должны выступать в комплексе.
Симптоматика метастазов и продолжительность жизни с ними
Помимо основных клинических проявлений – нарастающие по интенсивности и продолжительности болевые импульсы, ограниченность подвижности в пораженном раковым очагом участке тела, у онкобольных имеются и иные симптомы, свидетельствующие о формировании вторичных опухолевых процессов.
Патогенез метастазов в кости и прогноз продолжительности жизни могут существенно отличаться – это напрямую зависит от локализации злокачественного новообразования, его структуры, а также стадии онкопроцесса:
- При диагностировании рака почечных элементов, метастазирование в кости будет проявляться болевыми импульсами в том районе, где спроецирована пораженная опухолью кость. Если патологический процесс привел к перелому и компрессии спинномозговых нервов, жизненный путь человека существенно укорачивается.
- Поражение раком легочных структур довольно часто осложняется метастазами в кости, особенно в грудную часть позвоночного столба, а также ребра, элементы черепа, таза. Особая опасность заключается в том, что первичная симптоматика чаще всего отсутствует, а болевые импульсы возникают уже при гигантских размерах очагов. Характерно для этой формы рака состояние гиперкальциемии, сопровождающееся выраженной сухостью во рту, позывами на тошноту, рвоту, полиурией.
- Раковое поражение ткани молочной железы часто дает появление осложнений в виде метастазов в различные костные отделы – от элементов позвоночника до черепа и нижних конечностей. Жить при таком состоянии человек может еще несколько месяцев, реже лет, но качество жизни существенно понижается – человека беспокоят постоянные боли, выраженная слабость, отсутствие аппетита, значительная потеря веса.
- У мужской части человечества одним из распространенных вариантов ракового поражения является злокачественное новообразование в тканях простаты. Помимо затрудненности с опорожнением мочевого пузыря и половой дисфункции, будут наблюдаться метастазы в кости таза и пояснично-крестцовый район позвоночника. Это сопровождается интенсивным болевым синдромокомплексом.

Для составления полно картины происходящего в организме онкобольного, специалистом рекомендуется к проведению комплекс диагностических процедур. Только после получения всей полноты информации, удается составить прогноз в каждом конкретном случае.
Локализация метастазов и выживаемость
Во многом специалисты ориентируются при составлении прогнозов – сколько живут с метастазами, у того или иного онкобольного на их локализацию в костных структурах.
При диагностировании метастазов в структурах позвоночника велик риск формирования компрессионного синдрома – патологического перелома дужек позвонков с последующим передавливанием нервного волокна. На этом фоне появляются различные парезы и параличи. Человек утрачивает возможность к самопередвижению и самообслуживанию. В целом создается благоприятный фон для формирования иных соматических патологий, в конечном итоге приводящих к летальному исходу.
Метастазы в кости таза и тазобедренные суставы – частое осложнение рака простаты и яичников, а также щитовидных структур и печени, легких. Если число вторичных очагов большое, структура костной ткани существенно нарушается и вновь представляется угроза патологических переломов и обездвиживания онкобольного, сокращающая жизнь человека.
Конечности занимают третью строку в рейтинге зон, куда часто перемещаются раковые клетки из первичного очага. Плечевые зоны поражаются злокачественными клетками из щитовидной либо молочной железы, легочных структур, петель кишечника. Помимо этого, подобные метастазы может давать меланома, параганглиома. Очаги в локтевой, а также лучевой костях формируются по тем же причинам.
Большеберцовая кость подвержена атакам раковых элементов из первичного очага в легких, тогда как малоберцовая – из опухоли толстой кишки либо простаты, а вот стопы – при раке молочной железы.
Особенно неблагоприятный прогноз при выявлении вторичных раковых процессов в структурах черепа – задет может быть не только свод и основание, но и лицевые ости. Часто может сложиться ситуация, что первым диагностируется именно метастаз, а уж потом первичный раковый очаг. Негативная неврологическая симптоматика существенно влияет на качество жизни онкобольного, сокращает и так небольшой ее срок.
Тактика лечения метастазов и продолжительность жизни

Диагностирование вторичного очага опухоли в костных структурах – на сегодняшний момент вовсе не приговор. Главное в этой ситуации, пройти комплексное лечение, способное подавить не только активный рост первичной локализации рака, но и выделением им метастазов.
Основные направления лечебной тактики, продлевающие онкобольному жизнь:
- Прием биофосфонатов способствует замедлению патологических процессов в костях. Эта подгруппа медикаментов не только оптимально купирует болевые импульсы, но и существенно уменьшает риск переломов, а также регулирует минеральный обмен. Как правило, их вводят парентерально.
- Разрушению раковых клеток способствует лучевая терапия. Общее количество процедур определяется специалистом индивидуально, но их среднее число – не менее 10 раз. Прогноз благоприятен, если рецидивирования вторичных очагов не происходит.
- Химическая и гормональная терапия также направлены на разрушение опухолевых элементов, подавление их роста и размножения. На фоне использования специфических медикаментов возникает множество побочных эффектов, однако, продолжительность активной жизни удлиняется.
Из иных методик подавления процесса метастазирования используются:
- иссечение очага – единичного или нескольких, путем оперативного вмешательства;
- иммунотерапия – применение специальных витаминных комплексов, что способствует уменьшению опухолевого процесса, поддержания защитных сил организма онкобольного на оптимальном уровне, что в конечном итоге также удлиняет срок жизни;
- радиофармацевтическая терапия – введение специального раствора, способного уничтожить раковые клетки.

Подбор оптимального комплекса лечебных процедур осуществляется специалистом индивидуально – исходя из диагностированной области метастазов в костях, их общего количества, возрастной категории онкобольного, исходного состояния его организма, а также восприимчивости к проводимой терапии.
Некоторые люди предпочитают обращаться к рецептам народной медицины. Они, конечно, могут несколько облегчить негативную симптоматику и продлить жизнь человека, однако, полной гарантии исцеления не дают. Каждый из выбранных рецептов рекомендуется предварительно согласовать с лечащим врачом.
В статье «Является ли приговором развитие в костях метастаз» использованы материалы:
http://medtelo.ru/med/metastazy-v-kostyah-prognoz-lechenie-i-skolko-zhivut.html
http://www.euroonco.ru/departments/poliklinika/metastases/metastazy-v-kosti
