- от автора Jose
Причины развития и методы лечения костно-хрящевого экзостоза
Экзостозная болезнь

- Что это такое?
- Причины возникновения
- Проявления
- Классификация
- Диагностика
- Возможные осложнения
- Лечение
- Подведение итогов
- Видео по теме
Про экостоз мало кто слышал, и это несмотря на то, что заболевание встречается не так уж редко. Что оно из себя представляет, почему возникает, как проявляется? Поддается ли недуг лечению? Обо всем этом и многом другом пойдет речь в нашей статье.
Что это такое?
Костно-хрящевой экзостоз (остеохондрома) – это доброкачественное заболевание, суть которого заключается в разрастании хрящевой ткани на поверхности костных структур. Недуг редко развивается самостоятельно. Как правило, он является следствием каких-то других патологий дегенеративного характера.
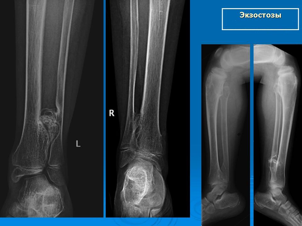
Если говорить о механизме развития остеохондромы, то к ее возникновению приводит перерождение гиалуроновых клеток. Именно в этом слое формируется тело трубчатой кости. Разрастание опухоли происходит за счет наружного слоя хряща. Это приводит к тому, что его внутренняя структура минерализуется, приобретая характерные черты костной ткани. На рентгене можно четко увидеть окостеневшее тело экзостоза.
Нарост на кости не всегда удаляют. Врач может принять выжидательную тактику и наблюдать за дальнейшим прогрессированием недуга при условии, что образование не доставляет неудобств пациенту и не нарушает функциональную активность пораженного сустава. В случае же разрастания экзостоза показано хирургическое вмешательство.
Сформированные наросты не представляют опасности для здоровья и жизни пациента, однако в 5–7% случаев могут развиваться осложнения. Экзостоз обычно появляется в таких местах:
- длинные кости голени и бедра;
- суставы запястья и колена;
- голеностопный сустав;
- коленный сустав;
- трубчатые кости на руках;
- локтевой сустав;
- позвоночный столб;
- ребра, ключицы, лопатки.
Реже остеохондрома поражает кисти рук и таранные кости стопы. Крайне опасны остеомы хребта, так как они приводят к нарушению подвижности позвонков и сдавливанию нервных волокон, а также кровеносных сосудов, питающих головной мозг. Существует риск перерождения в злокачественную опухоль.
Неблагоприятный прогноз имеет и остеома тазобедренной кости. Нарост приводит к воспалению и деформации сустава. Пациент может стать инвалидом.
Костный экзостоз может развиваться как в детском возрасте, так и у взрослых. Патология прогрессирует в период активного роста и угасает по мере взросления. Чаще всего пациенты даже не подозревают о наличии патологии ввиду ее бессимптомного течения. Опасность недуга заключается в том, что опухоль незаметно разрастается до огромных размеров, влияя на функциональную активность сустава.
Остеохондрома обнаруживается случайно во время осмотра. Вообще экзостоз диагностировать довольно просто. Нарост прощупывается под кожей. Образование можно четко увидеть на рентгеновском снимке.
В отличие от остеофитов, которые прорастают в канал костного мозга, остеохондрома – это исключительно наружное образование. И еще одним отличием является то, что экзостоз поражает абсолютно любой участок, тогда как остеофиты формируются на краевых областях кости.
Хрящевой экзостоз проявляется в виде единичного нароста. Однако встречаются случаи, когда диагностируется множественная остеохондрома. Наросты могут быть разных форм и размеров, например, в виде шара, перевернутой чаши и даже в форме цветка. Возможны образования, напоминающие по виду гриб или брокколи. Такого рода нарушение связано с генетическими аномалиями.
Нарост формируется из элементов хряща. Ткань опухоли становится более плотной. Внешняя оболочка новообразования напоминает скорлупу. Хрящ, расположенный снаружи, затвердевает снова, и нарост увеличивается в размерах. Этот цикл может повторяться до бесконечности, Максимальный размер опухоли достигает десяти сантиметров и более.
Причины возникновения
Главный фактор в развитии остеохондромы ученые до сих пор не смогли определить. Некоторые специалисты приписывают ведущую роль генетическим факторам в возникновении недуга, однако данная гипотеза так и не получила официального подтверждения.
Приобретенный экзостоз может развиться под влиянием таких неблагоприятных факторов:
- травматическое повреждение (вывихи, трещины, переломы, ушибы);
- инфекционное поражение кости (сифилис);
- гормональный сбой;
- эндокринные нарушения;
- врожденные патологии скелета;
- воздействие низких температур на открытые участки тела;
- интенсивная физическая нагрузка;
- сдавливание конечностей (сюда можно даже отнести неправильное наложение жгута при остановке кровотечения);
- сбои в развитии хрящей и надкостницы;
- хронические патологии опорно-двигательного аппарата;
- переизбыток кальция в организме;
- избыточный вес;
- бурсит;
- остеомиелит;
- остеопороз;
- неправильное питание;
- радиационное воздействие;
- неправильно подобранная одежда или обувь;
- индивидуальные анатомические особенности;
- тромбоз глубокой вены под коленом;
- ложная аневризма подколенной артерии.
В раннем младенческом возрасте причиной экзостоза может послужить избыточное содержание в организме витамина D (при нарушении правил проведения профилактики рахита), хондропатии, травмы, дисплазии и другое. В подростковом возрасте разрушение костной и хрящевой тканей может быть связано с высоким содержанием половых гормонов.
Иногда за летние каникулы у ребенка происходит резкий скачок в росте. Это период представляет особую опасность в плане формирования экзостозов.
Если появление остеохондромы связано с избыточным содержанием кальция, пациенту следует ограничить в своем рационе такие продукты, как орехи, рыбу, шпинат, молоко, сыр, брокколи.
Проявления
Экзостозное заболевание имеет доброкачественную этиологию, то есть природу своего возникновения. Оно редко проявляется себя клинически, из-за чего мало кто догадывается о существовании проблемы. Однако по мере увеличения хряща в размере и его окостенения пациентов начинают тревожить неприятные симптомы. Выделим общие признаки патологии:
- болевой синдром вокруг нароста, которая усиливается при физических нагрузках и выполнении монотонных движений;
- головные боли, головокружение;
- потеря чувствительности;
- ограничение подвижности;
- изменение походки, хромота;
- мышечные боли;
- замедление роста ребенка, из-за чего одна пораженная нога становится короче здоровой.
К сведению! В медицинской практике встречаются случаи, когда наросты останавливают свое развитие до окончания полового созревания организма и даже постепенно рассасываются до полного исчезновения.
На ранних этапах небольшой нарост не доставляет боли и дискомфорта. Цвет кожных покровов вокруг остеохондромы не меняется. Воспалительные процессы отсутствуют. Из-за этого пациенты принимают небольшую опухоль за шишку после травмы. Однако, в отличие от травматических образований, экзостоз не исчезает.
По мере увеличения образования в размерах происходит сдавливание мышц, сухожилий, нервных волокон и корешков. Это приводит к появлению болезненных ощущений. При повреждении кровеносных сосудов нарушается функционал пораженной нижней конечности. Появляется онемение, судороги. Мышцы начинают сильно болеть, а кожа становится сухой и бледной.
Боль при экзостозной болезни может сигнализировать о переходе патологии в недоброкачественную форму. Если говорить конкретно об остеохондроме колена, то образующийся нарост на конце левой берцовой кости изнутри нарушает структуру сустава. Разгибающие мышцы сдавливаются и повреждаются. Смещение мениска препятствует нормальному функционированию сустава. Увеличение опухоли в размерах может привести к разрыву суставной сумки и связок. В конечном счете это грозит человеку инвалидностью.
Классификация
Экзостоз бывает солитарного и множественного типа. Их появление провоцируют разные причины. Поговорим о каждой разновидности отдельно.
Солитарный
Это единичный малоподвижный дефект. Нарост сдавливает близлежащие капилляры и нервные корешки, а также вызывает интенсивные боли. Солитарный экзостоз – это патология приобретенного характера, которая чаще всего возникает вследствие травм, воспалений и инфекционных процессов.
Множественный
Еще называют хондродисплазией. Характеризуется формированием нескольких наростов в различных частях. При увеличении в размерах происходит повреждение и деформирование суставов. Множественный экзостоз передается на генетическом уровне.
Хондродисплазия вызывает сильнейшие суставные деформации, карликовость, контрактуры, а также гигантизм и непропорциональность отдельных костей. У таких пациентов может быть слишком длинное бедро при короткой голени, короткие пальцы, туловище и при этом большая голова.
В зависимости от формы нароста экзостоз бывает:
- Шаровидным. Сопровождается интенсивными болями в стопе.
- Грибовидным. Характеризуется сдавливанием нервных волокон. Стопа утрачивает нормальную чувствительность.
- Шиповидным. Резкий болевой синдром охватывает всю поверхность стопы.
На десне
Наросты могут быть сформированы даже в ротоглотке. В патологический процесс вовлекаются обе челюсти. Экзостоз на десне может быть обусловлен целым рядом причин:
- общее воспаление организма;
- удаление зуба;
- эндокринные сбои;
- адентия (отсутствие зубов);
- особенности анатомического строения.
На ребрах
Остеохондромы на ребрах – это достаточно распространенное явление. Обычно диагностируется у детей после восьми лет.
Образование может быть сформировано в любом ребре. Оно появляется где угодно: спереди, сзади, с внутренней или наружной стороны. Диагностировать возможно нарост более одного сантиметра и то не всегда.
В большинстве случаев остеохондрома является результатом перелома ребер. Диагностика экзостоза с внутренней стороны на ранних стадиях затруднена. Связано это с тем, что на рентгенограмме хрящи незаметны.
Как правило, экзостоз ребер протекает бессимптомно. В некоторых случаях возникают типичные признаки межреберной невралгии. Все зависит от размера нароста и места его локализации.
Позвоночника
Экзостоз тел позвонков проявляется в виде периодических ноющих болей в спине. Длительное время патология не видна на рентгеновском снимке.
Остеохондрома больших размеров способна выйти за пределы позвонка. Это приводит к появлению сильных болей и неврологических симптомов в виде судорог, головокружения, одышки, потери чувствительности, нарушений мочеиспускания.
Бедренной кости
Экзостоз большой берцовой кости и бедра может достигать пятнадцати сантиметров в диаметре. Проявляется в виде боли, покалывания, онемения, ухудшения циркуляции крови. Одна нога становится короче другой.
Пятки
Характеризуется появлением наростов на подошвенной части пятки. Характеризуется сильными болями после длительного пребывания тела в неподвижном состоянии, а также после физической активности ближе к вечеру. Уплотнение в пятке можно легко нащупать. Мягкие ткани вокруг остеохондромы отекают. Кожные покровы в проблемной зоне огрубевают. При отсутствии своевременного лечения происходит постепенная деформация пальцев и снижение двигательной активности стопы.
Диагностика
Основным методом обследования при экзостозе является рентгенограмма. На снимке можно увидеть аномальные изменения в костной структуре. Специалист обращает внимание на уменьшение высоты кости, фрагментацию пораженных отделов кости, а также беспорядочное чередование темных и светлых участков. Определить диаметр дефекта рентгеновский снимок неспособен, так как не обнаруживает хрящевую ткань.
Во время обследования проводится дифференциальный анализ экзостоза с такими заболеваниями, как остеома, хондросаркома, остеосаркома. Все эти патологии имеют злокачественный характер своего течения, что в корне меняет тактику лечения.
Рак при экзостозе возникает крайне редко, однако лучше всего сдать биопсию для установления клеточного состава ткани опухоли. Это исследование является обязательным в случае продолжения увеличения нароста в размерах.
Возможные осложнения
Чаще всего пациенты даже не подозревают о наличии проблем. Однако это не защищает их от развития осложнений. Экзостоз не считается проблемой, которая несет серьезную угрозу для здоровья. Однако определенные факторы могут спровоцировать рост патологических злокачественных клеток. Чаще всего рак обнаруживается в позвоночнике, тазобедренном суставе и бедренных костях.
Злокачественная трансформация – это достаточно редкое явление. Чтобы не попасть в этот малый процент, необходимо своевременно обращаться к специалисту при возникновении тревожных симптомов.
Костно-хрящевой экзостоз может привести и к другим негативным последствиям:
- изменение формы кости;
- рост ложного сустава;
- перелом основания опухоли;
- давление на спинной мозг;
- неправильное физическое развитие ребенка.
И также не стоит забывать и о том, что экзостоз вызывает истончение костных структур. Это приводит к появлению спонтанных переломов. В итоге человек может стать инвалидом.
Лечение
Без операции лечение костно-хрящевого экзостоза невозможно. Медикаментозная терапия в большинстве случаев малоэффективна или даже бесполезна.
Выжидательная тактика назначается в следующих случаях:
- совершеннолетние пациенты;
- отсутствие жалоб;
- нарост не увеличивается в размерах;
- нет угроз для здоровья и жизни пациента.
Операция показана в следующих случаях:
- сильные боли;
- ограничение двигательной активности;
- большой размер экзостаза;
- ущемление нервных корешков и кровеносных сосудов;
- увеличение опухоли в размерах;
- выраженный косметический дефект.
Исходя из особенностей опухоли, операция может проводиться под общим или местным наркозом. Период реабилитации, как правило, протекает быстро – от нескольких дней до пары недель. Появление небольшого отека и боли является вариантом нормы. Реабилитация включает в себя соблюдение специальных упражнений.
Лечение экзостаза народными средствами не вызывает существенных изменений в течение заболевания. Однако в комплексе с другими методами нетрадиционные рецепты помогут поддержать работу организма в целом. При этом не стоит забывать, что самостоятельное применение компрессов, мазей, проведение втираний может привести к перерождению доброкачественного процесса.
В целом прогноз остеохондрома благоприятный. При своевременно проведенной терапии наблюдаются хорошие результаты. После успешно проведённой операции около 98% пациентов полностью излечиваются от недуга.
Специальных профилактических мер экзостоза не существует. Ввиду того что дефект имеет наследственный характер, беременным женщинам рекомендуется соблюдать здоровый образ жизни, правильно питаться, не курить, не употреблять алкогольные напитки.
Предупредить возникновение приобретенной остеохондромы помогут периодические плановые осмотры. Рентгенография поможет обнаружить дефект еще на стадии его зарождения. Крайне важно обследовать детей в период их активного роста.
В местах переломов и вывихов нужно следить за состоянием костей. Пациентам с увеличенным содержанием кальция в крови необходимо проходить ежегодный осмотр.
Подведение итогов
Экзостозная болезнь – это распространённая патология опорно-двигательного аппарата. Доброкачественное образование опорно-двигательного аппарата, как правило, обнаруживается у детей и подростков. Формирование костных наростов обычно не представляет никакой опасности для здоровья пациента. По мнению специалистов, остеохондрома связана с генетическими отклонениями, но научного обоснования такая гипотеза пока не получила. Экзостоз небольших размеров не вызывает никаких симптомов и обнаруживается случайно во время обследования. Существуют риски возникновения осложнений и перерождения образования в онкологию. Однако в большинстве случаев аномалия не представляет большой опасности и требует лишь постоянного наблюдения за пациентом.
Костно-хрящевой экзостоз (остеохондрома): причины развития и лечение. Средства народной медицины
Костно-хрящевой экзостоз или остеохондрома – это доброкачественная опухоль, которая образуется на костях скелета. Как видно из названия, эта опухоль образована костной и покрывающей ее хрящевой тканями.

У кого образуется экзостоз?
Наиболее часто заболевание встречается у детей и подростков обоих полов в возрасте от 8–10 до 25–27 лет. Но могут болеть и взрослые.
Чаще всего опухоль солитарная (единичная), реже встречаются множественные экзостозы. Последние часто имеют врожденное происхождение.
Остеохондрома по МКБ 10 имеет код D16 – доброкачественное новообразование костей и суставных хрящей.
Как образуется экзостоз?
Экзостоз встречается примерно у каждого десятого больного с опухолью кости. А среди доброкачественных новообразований костей 35–45% случаев приходится именно на экзостоз. Следовательно, это самая распространенная доброкачественная опухоль кости.
Развитие кости
Как известно, кость в период своего развития во внутриутробном периоде может происходить из двух источников: соединительной ткани и хряща. При первом варианте образуются большинство костей черепа, нижняя челюсть и ключица. Остальные кости скелета имеют в своей основе хрящевую ткань, которая затем заменяется костной почти на всем ее протяжении.
Где появляется экзостоз?
Остеохондрома развивается в костях хрящевого происхождения. Наиболее часто она встречается на эпифизе (окончании) трубчатой кости, например, большеберцовой или бедренной. Гораздо реже она появляется на плоских костях – тазовых, лопатке, ребрах и т. д.
Отдельной темой обсуждения является развитие экзостозов в полости рта: небные, на месте удаленногозуба, суставных отростках нижней челюсти и т. д.
Причины развития экзостоза

Достоверные причины образования опухоли на сегодняшний день неизвестны. Многие исследователи сходятся во мнении, что множественные экзостозы являются следствием нарушений хондрогенеза, то есть образования хрящевой ткани во внутриутробном периоде. А единичные остеохондромы являются истинными опухолями скелета.
Тем не менее есть данные о возможных факторах риска, которые в той или иной степени могут провоцировать образование и рост опухоли. К ним относятся:
- Различные травмы надкостницы и хряща, например, ушиб.
- Инфекционные поражения (сифилис и другие инфекции).
- Заболевания эндокринной системы.
- Воздействие ионизирующего излучения.
- Наследственность.
Также выделяют еще другие, менее значимые, факторы, роль которых в образовании опухоли полностью еще не изучена.
Проявления остеохондромы
В большинстве случаев заболевание протекает бессимптомно. Чаще всего небольших размеров опухоль является случайной находкой при проведении рентгенологического исследования. В случае значительного роста, остеохондрома может вызывать болевые ощущения в пораженной области. В связи с этим больной вынужден обратиться к врачу.
Вторым важным симптомом является появление видимой опухоли при значительных ее размерах. Обнаружение образования также является поводом для обращения за медицинской помощью.
Ниже мы рассмотрим отдельные, наиболее распространенные, виды экзостозов и их характерные проявления.
Экзостоз длинных трубчатых костей

Длинные трубчатые кости являются самой частой локализацией остеохондромы. Обычно встречается у детей.
Наиболее часто поражаются бедренная, большеберцовая или плечевая кости. Как правило, длительное время опухоль ничем себя не проявляет. По мере роста остеохондромы появляются боли в ее проекции. Появление болевого синдрома связано со сдавлением растущей опухолью рядом расположенных мышц, связок, нервных пучков и других структур.
При значительном размере опухоли больной может сам нащупать «шишку» над опухолью. Образование обычно безболезненное при пальпации.
В запущенных случаях рост опухоли приводит к деформации конечности.
Экзостоз костей стопы

Поражение костей стопы происходит примерно в 10–12% случаев всех остеохондром. Чаще всего опухоль располагается на переднем или среднем отделе стопы. Гораздо реже экзостоз появляется на пяточной кости. Независимо от расположения костной опухоли, основными проявлениями заболевания будет боль в пораженной области и дискомфорт при ходьбе.
При поражении переднего отдела стопы в патологический процесс вовлекаются концевые фаланги пальцев ног. Также часто встречаются подногтевые экзостозы.
При образовании экзостоза на плюсневой кости она может укорачиваться. При этом стопа приобретает необычную форму, деформируется. В результате укорочения плюсневой кости соответствующий палец стопы визуально кажется короче остальных.
Поражение пяточной кости

Выраженность проявлений заболевания зависит от формы и расположения экзостоза. Костные разрастания на пяточной кости могут иметь различную форму – линейную, грибовидную, шарообразную и др.
Подобное разрастание иногда ошибочно называется «пяточная шпора». Однако, происхождение костного разрастания при этом вторичное. Сначала происходит длительная травма связок и сухожилий стопы, а затем начинаются процессы окостенения и появляется костный «нарост».
Первичный же экзостоз обычно носит наследственный характер. При этом экзостозы часто выявляются и в других костных структурах, в том числе и на соседней пяточной кости.
Проявлениями такой локализации экзостоза могут боли различной интенсивности, дискомфорт при ходьбе, отеки. Иногда может возникать нарушение чувствительности стопы при сдавлении костным разрастанием сосудисто-нервных пучков.
Экзостозы тел позвонков
Такие разрастания на теле позвонка чаще всего появляются при остеохондрозе. Возникают они при трении костных структур тел позвонков друг о друга. Поэтому такой экзостоз образован только костным веществом без хрящевого компонента.
Костный экзостоз тела позвонка иначе называют остеофитом. Они обычно множественные и асполагаются по краям тел позвонков.
Краевые остеофиты тел позвонков чаще всего приводят к нарушению нормальной их подвижности. Экзостозы тел позвонков проявляются болями, хрустом при движениях и тугоподвижностью в пораженном отделе позвоночника. Также эти костные разрастания тел позвонков могут сдавливать важные сосуды и нервы, проходящие рядом с ними. При этом появляются характерные неврологические симптомы.
Экзостозы в полости рта

Костные разрастания в полости рта могут иметь различное местоположение. Соответственно, и возможные причины их происхождения также разные. Наиболее частыми локализациями экзостозов ротовой полости являются:
- Небные.
- На наружных и внутренних поверхностях нижней челюсти.
- На стенках альвеолярных отростков – анатомических образованиях нижней и верхней челюстей, несущих на себе зубы.
- На суставных поверхностях нижней челюсти.
Все экзостозы полости рта обычно растут медленно и в течение длительного времени не причиняют неудобств больному. Однако, по мере роста возникает давление образования на кости и зубы, а также травмирование слизистой оболочки полости рта. Это сопровождается болевыми ощущениями, иногда достаточно интенсивными.
Практически во всех случаях экзостоз полости рта представляет собой гладкий и твердый выступ под десной. Слизистая оболочка десны обычно не изменена. При больших размерах образования она может растягиваться и иметь сравнительно более бледную окраску.
Причиной появления экзостозов на стенках альвеолярных отростков чаще всего служит сложное удаление зуба. При этом происходит повреждение и смещение костной ткани и неправильное ее срастание.
При расположении разрастания в области суставного отростка нижней челюсти помимо болевого синдрома может наблюдаться асимметрия подбородочного отдела челюсти – смещение его в здоровую сторону. Это сопровождается ограничением открывания рта и нарушением прикуса зубов.
Особенности течения остеохондром у детей
Как уже указывалось выше, наиболее часто это заболевание встречается у детей и подростков. Это связано с периодами активного роста костей скелета в детском и подростковом возрасте. Первый пик роста возникает в возрасте 4–6 лет, а второй – в подростковом периоде. Следует отметить, что остеохондромы в возрасте до одного года, как правило, не встречаются.
Обычно остеохондромы прекращают свой рост в период окончания роста скелета. Если опухоль продолжает расти уже во взрослом возрасте, следует заподозрить ее малигнизацию (злокачественное перерождение).
Диагностика

Диагностировать остеохондрому в случае ее значительных размеров обычно не составляет большого труда. Чаще всего больные сами нащупывают у себя «шишку» и с этой жалобой приходят к врачу.
Для уточнения диагноза, а также в случаях расположения остеохондром в труднодоступных местах применяется рентгенологическое исследование. В наиболее сложных случаях используется компьютерная диагностика (КТ) и магнитно-ядерная томография (МРТ).
Лечение остеохондром
По статистике, часть остеохондром (от 2 до 10%) может перерождаться в злокачественную опухоль. Поэтому все они подлежат лечению.
Однако, по мнению некоторых ученых, небольшие бессимптомные остеохондромы в детском возрасте могут самостоятельно исчезать и без лечения. В этом случае необходимо регулярное наблюдение врача.
Хирургический
Учитывая вышесказанное, единственно правильным методом лечения остеохондром является хирургический – удаление костной опухоли.
Объем операции обычно заключается в удалении образования и части кости, из которой исходит опухоль (краевая резекция). В подавляющем большинстве случаев этого достаточно для полного выздоровления.
Средства народной медицины
Достаточно часто, особенно в интернете, можно встретить рекомендации по лечению остеохондром народными средствами, физиопроцедурами и прочими методами. Перед началом любого такого лечения следует обсудить его с врачом.
Из народных средств широко применяются компрессы на область поражения. Наиболее распространенным составом является смесь барсучьего или медвежьего жира, мумие и настойки золотого уса или сабельника:
- Для этого необходимо взять по одной ложке настойки и жира, а также таблетку мумие, которую предварительно надо растолочь. Все перемешать, нанести на экзостоз, сверху прикрыть салфеткой. Компресс накрыть фольгой, закрепить лейкопластырем или бинтом.
- Внутрь принимают настой цветков бузины и плодов боярышника. Следует взять по три столовые ложки сырья (или заранее приготовленной смеси), залить тремя стаканами кипящей воды и настоять до полного остывания. Рекомендуется принимать по 1/3 стакана два-три раза в день.
Необходимо учитывать, что средства народной медицины не помогают полностью излечиться от экзостоза. Все же радикальным методом лечения остается только операция.
Лечение экзостозов в стоматологии

Экзостозы полости рта часто причиняют неудобства больному, а также являются значительной помехой для протезирования зубов. Мелкие образования иногда не удаляют, если они не производят дискомфорта.
Показания для удаления экзостозов полости рта:
- Значительные размеры и быстрый рост образований.
- Болевые ощущения из-за давления костного выступа на соседние зубы.
- Различные косметические дефекты.
- При подготовке к протезированию зубов.
Удаление экзостозов в полости рта обычно проводится под местной анестезией. Осложнений, как правило, не возникает.
Причины развития, симптомы и лечение костно-хрящевого экзостоза
Что такое экзостоз
Одиночное или множественное доброкачественное новообразование, возникающее на поверхности кости из постепенно отвердевающей хрящевой ткани, имеет два названия – костный экзостоз или остеохондрома. Эта опухоль размером от 10 мм до 10 см шаровидной, шиповидной, грибовидной, линейной формы. Отвечающая за рост тканей скелета в юношеском возрасте эпифизарная пластинка, находящаяся на окончаниях длинных трубчатых костей конечностей, является площадкой, от которой начинается формирование остеохондромы.
Экзостозная болезнь – часто встречающийся первичный дефект, составляющий 10-12% по отношению ко всем видам костных новообразований и 50% к образованиям доброкачественным. На начальной стадии развития он является хрящом, напоминающим суставный, а со временем превращается в губчатую кость, обрамленную хрящевой оболочкой толщиной до 1 см. Покрытие из хрящевой ткани постоянно растет и затвердевает, увеличивая в размерах опухоль. Образование стойкое, но были отмечены факты, когда оно постепенно сглаживалось и исчезало навсегда.
Народная медицина при экзостозе
Народными средствами лечения экзостоза коленного сустава являются соблюдения правил здорового питания, а также ограничение употребление вредных продуктов.
Важно лакомится кисломолочными и молочными продуктами, рыбой, овощами, фруктами, растительными жирами.
Под строгим запретом пища быстрого приготовления, магазинные консервы и колбасные изделия, алкоголь, продукты, в состав которых входят Е-красители, транс-жиры и наполнители, крепкие чаи и кофе в большом количестве. В перечисленных продуктах содержаться канцерогены, которые помогают быстрее расти опухолям и преобразовываться им в злокачественные виды.
Чтобы укрепить кости и помочь им быстрее срастись при переломе, рекомендуется пить морковный сок, отвар из окопника и пшеницы.
Лечение и предупреждение экзостоза народными средствами:
- Натрите на тёрке домашнюю мясистую морковку. Выдавите из неё сок и пейте ежедневно по половине стакана в день;
- 30 грамм измельчённого окопника и столько же пшеницы залейте стаканом кипятка. Дайте настояться 10 часов. Пить по четверти стакана трижды в день до приёма пищи;
- Чтобы укрепить косточки маленьких детей, рекомендуется купать их в ванночке с отваром окопника.
Если доктор диагностировал экзостоз коленного сустава важно систематически проходить нужное обследование и посещать специалистов.
Экзостозы позвоночника, которые ещё называются – это доброкачественные образования, напоминающие нарост на поверхности кости. Эта патология чаще всего не является самостоятельной и относится к осложнениям самых разных заболеваний.
Экзостозы могут иметь самую разную форму и размеры, в самых запущенных случаях они могут превышать 10 см.
Сначала нарост появляется в районе хряща, и лишь по прошествии некоторого времени он окостеневает и становится губчатой костью. Снаружи он покрыт скорлупой – очень тонкой и очень прочной. Дальнейший рост происходит из-за наличия в этой поверхности некоторого количества гиалинового хряща.
Как правило, самостоятельно экзостозы не проходят, и только в самых редких случаях они могут самостоятельно рассосаться. Но обычно они активно растут и увеличиваются в размерах.
Чаще всего диагностируются в возрасте до 20 лет, что связывают с ростом скелета. У взрослых эти новообразования большая редкость.
Причины образования экзостоза
Этиология опухоли врачами устанавливается не всегда. Известно, что единичное уплотнение возникает как результат усиленного роста хрящевой ткани, вызванного рядом причин, а множественные новообразования являются переданными по наследству, семейными болезнями. Существует ряд внешних факторов, способствующих возникновению губчатого нароста:
- хронические воспалительные заболевания костной или хрящевой ткани;
- интенсивный рост тканей на местах травм, переломов, ушибов, ущемлений отделов скелета;
- инфекционные заболевания;
- аномалии развития надкостницы и хрящей;
- избыток кальция в организме, стимулирующий развитие костных тканей;
- усиленный рост скелета во время полового созревания у подростков;
- нарушения работы эндокринной системы.
Причины возникновения у детей
Множественные наросты на костях являются последствием нарушения в генном аппарате ребенка. Это заболевание передается по наследству и не поддается полному излечению.
Экзостоз какой-либо одной кости может быть приобретенным по различным причинам:
- В результате травмы или ушиба;
- При инфекционном поражении костной ткани (частой причиной становится возбудитель сифилиса);
- В результате нарушения гормонального баланса;
- При наличии индивидуальных особенностей развития накостницы и хрящевой ткани.
Остеохондромы могут разрастаться до 5-6 см размера.
Симптомы экзостоза
Признаки патологии зависят от ее локализации и размеров. Обнаружить новообразование порой бывает сложно, потому что длительное время его формирование протекает бессимптомно — медленно и безболезненно. Как правило, обнаруживают уплотнение случайно, когда оно начинает прощупываться и становится заметным при осмотре. Болевой синдром возникает при увеличении нароста до определенного размера.
При больших размерах опухоли происходит сдавливание кровеносных сосудов и нервов, возникает болевой синдром во время движения, физического напряжения, давления на кость, причем с ростом уплотнения боль усиливается. На этой стадии возможны также головная боль и головокружение, онемение участков тела, ощущение мурашек на коже. Патология сопровождается болевым синдромом при перерождении в злокачественную опухоль. Выраженной болезненностью характеризуются экзостоз коленного сустава, разрушение или отслаивание ногтя под воздействием растущего нароста, и др.
Лечение
Когда экзостоз имеет небольшой размер и никак не беспокоит, за ним просто ведут периодическое наблюдение. Лечение не назначается. Однако ни в коем случае нельзя использовать физиотерапию, так как она может спровоцировать развитие раковой опухоли.
Если же образование начинает расти и становится видимым, проводится операция по его удалению. Удаляется не только нарост, но и надкостница — это позволяет предупредить развитие рецидива.
Реабилитация после такого лечения составляет 10 — 15 дней. Но если такое новообразование вдруг появилось на колене, тогда после его удаления проводится обездвиживание конечности при помощи гипсовой лангеты сроком на 2 недели.
При правильном лечении выздоровление наступает довольно быстро и рецидивов не случается.
Кстати, вас также могут заинтересовать следующие БЕСПЛАТНЫЕ
- Бесплатная книга «ТОП-7 вредных упражнений для утренней зарядки, которых вам следует избегать»
- Восстановление коленных и тазобедренных суставов при артрозе — бесплатная видеозапись вебинара, который проводил врач ЛФК и спортивной медицины — Александра Бонина
- Бесплатные уроки по лечению болей в пояснице от дипломированного врача ЛФК . Этот врач разработал уникальную систему восстановления всех отделов позвоночника и помог уже более 2000 клиентам
с различными проблемами со спиной и шеей! - Хотите узнать, как лечить защемление седалищного нерва? Тогда внимательно посмотрите видео по этой ссылке .
- 10 необходимых компонентов питания для здорового позвоночника — в этом отчете вы узнаете, каким должен быть ежедневный рацион, чтобы вы и ваш позвоночник всегда были в здоровом теле и духе. Очень полезная информация!
- У вас остеохондроз? Тогда рекомендуем изучить эффективные методы лечения поясничного , шейного и грудного остеохондроза без лекарств.
Разрастания на костях, состоящие из хряща, называют экзостозами. Они могут быть одиночными или множественными. Экзостоз коленного сустава чаще всего располагается на трубчатой кости бедра или внутри сустава. Чаще всего требуется хирургическое вмешательство.
Костно-хрящевыми экзостозами
(или
остеохондромами
) называют доброкачественные новообразования (разрастания) на костях, состоящие из хряща. Встречаются одниночные (солитарные) и многочисленные остеохондромы (хондродисплазии), принимающие форму шипа, цветной капусты, гриба различной величины. Экзостоз коленного сустава образуется по близости от конца бедренной трубчатой кости или внутри сустава. При отсутствии лечения может развиться перитендинит, тендинит или бурсит.
Формы и локализация экзостозов
Костно-хрящевые патологии можно разделить на солитарные (единичные) и множественные. Оба вида образований имеют разные причины возникновения, вызывают разные осложнения, поражают разные возрастные категории людей:
- солитарный костно-хрящевой экзостоз – единичный неподвижный нарост, по мере увеличения сдавливающий расположенные поблизости нервные стволы и сосуды, вызывая сильные боли. Заболевание приобретенное, является результатом травм, инфекционных и воспалительных процессов в организме. Например, после перелома бедра с большой вероятностью развивается экзостоз бедренной кости. В 70% прецедентов дефект возникает у больных возрастом до 30 лет. У подростков процесс прогрессирует во время усиленного роста костной ткани и прекращается по окончании формирования скелета;
- множественная экзостозная хондродисплазия – несколько расположенных в разных местах наростов, которые увеличиваясь, задевают соседнюю кость, повреждают и деформируют суставы. Такие новообразования являются заболеваниями, передающимися по наследству по аутосомно-доминантному типу наследования, при котором для развития патологии хватает всего одного дефектного гена. Возникает новообразование чаще у больных моложе 20 лет.
Первоначально дефект размещается на метафизе – закругленном, расширенном концевом отделе трубчатой кости конечности. По мере роста скелета он смещается к диафизу – центральному отделу длинной кости. Увеличение дефекта происходит в сторону от сочленения костей, но известны факты и обратного направления роста, что приводит к нарушению функциональности сустава.
Местом локализации новообразования часто являются тазовые, большеберцовые и бедренные кости, предплечье, ключица, лопатка, ребра, позвонки, коленные суставы. Часто встречается экзостоз пяточной кости, коленного сустава, позвоночника. На фалангах пальцев кистей и стоп нарост появляется редко, на черепе случаи возникновения опухоли неизвестны. Краевые экзостозы образуются на костных окончаниях.
- Самое эффективное средство от грибка ногтей на руках или ногах — чем лечить в домашних условиях и отзывы
- Утренняя эрекция — почему пропадает по физиологическим, психологическим и патологическим факторам
- Мазь от грибка в ушах у человека
Причины хондромы (костно-хрящевого экзостоза)
Хондрома или костно-хрящевой экзостоз может развиваться совершенно по разным причинам. некоторые врачи говорят о том, что это может быть обусловлено неправильной генетикой. Однако фактов, подтверждающих, что заболевание передается наследственным путем, в процессе изучения проблемы так найдено и не было.
До недавнего времени экзостозы не изучались как отдельное заболевание. Их ошибочно относили к группе остеофитов (солевых отложений на структурах костной ткани). Но несколько десятилетий назад врачами была проведена определённая граница между этими видами новообразований. Было установлено, что в отличие от остеофитов, хондрома не проникает в канал костного мозга. Она формируется исключительно на поверхности кости, не затрагивая структуры трабекул костных клеток.
Вторая отличительная особенность – локализация патологических изменений. Остеофиты поражают те участки, которые соприкасаются с поверхностью соседних костей. В основном это суставные поверхности и тела позвонков. Экзостоз может поражать любые участки трубчатых костей и позвоночника.
Основные патогенные причины появления экзостозной болезни у детей и взрослых – это влияние следующих аспектов и факторов:
- травматическое воздействие, приводящее к ушибам надкостницы и мягких тканей, переломам, появлению трещин кости, разрыву или растяжению сухожилий и связок;
- воздействие инфекционного агента, вызывающего полиомиелит, туберкулез, сифилис костной ткани;
- воспалительные процессы суставной капсуле и окружающих её мягких тканях, такие как капсулит, артрит, тендинит, бурсит;
- нарушения в работе иммунной системы и развитие так называемых аутоиммунных заболеваний, связанных с разрушением структуры хрящевой ткани (ревматизм, системная красная волчанка, псориаз, хондропатия, склеродермия и т.д.);
- врожденные нарушения в процессе первичного формирования костного скелета, локализованные очаги дисплазии хрящевой и костной ткани;
- асептический травматический некроз или последствия длительной ишемии костной ткани (например, при компрессионном переломе или в результате неправильного наложения резинового жгута);
- эндокринные патологии, такие как сахарный диабет, гипофизарный нанизм, повышенный уровень половых гормонов, гипо- и гипертиреоз;
- ведение неправильного образа жизни (малоподвижность, гиподинамия, избыточная масса тела, пассивное курение, недостаточное употребление витаминов);
- избыточное содержание в крови кальция – приводит к его отложению в разных участках костного скелета и в стенках кровеносных сосудов;
- отягощённая наследственность в плане употребления родителями алкогольных напитков;
- перенесенный в раннем младенческом возрасте рахит.
Заболевание активно развивается до достижения человеком возраста в 20 – 22 года. Затем рост хондромы резко останавливается. Лишь у отдельных пациентов отмечается активный рост экзостоза до 35 – 40 лет.
Поражаются в основном трубчатые кости верхних и нижних конечностей: бедренная, большая и малая берцовые, локтевая, лучевая и плечевая. реже обнаруживается заболевание в области остистых отростков позвонков. В большинстве случаев при обнаружении подобных костных наростов на суставных поверхностях тел позвонков врачи при помощи современной диагностики устанавливают диагноз остеофитов.
По размерам хрящевой экзостоз может быть небольшим (3-5 мм) или обладать внушительными размерами, доходящими до 10 – 20 см. чем больше размер новообразования, тем вероятнее для его удаления потребуется хирургическая операция. Крупные хондромы нарушают процесс иннервации и кровоснабжения, приводят к тому, что образуются трофические нарушения и возникают различные осложнения.
Диагностика
Обнаружение патологии часто происходит неожиданно, при прикосновении к месту, где ощущается дискомфорт. Другая случайность – отражение опухоли на рентгеновском снимке, выполненном в связи с другим заболеванием. Зачастую поводом для диагностических процедур становятся жалобы больного на боли в суставах, позвоночнике, сопровождающиеся головокружениями, онемением участков тела и др. Выполнение рентгенологического исследования обязательно в любом случае – при отсутствии болевого синдрома и при его наличии.
При внезапном усилении роста опухоли, увеличения ее диаметра более 5 см, а толщины хрящевого покрытия более 1 см, требуется срочное выполнение рентгеновского снимка. Подозрение на злокачественность возникает при очертаниях неправильной формы с нечеткими краями. Иногда опухоль выглядит крапчатой, кость вокруг очага вздута. Для уточнения диагноза проводят биопсию на основании материала, забранного из нескольких участков. Иногда может потребоваться МРТ или компьютерная томография.
На снимке отчетливо видно, что контуры подлежащей губчатой кости новообразования сливаются. Хрящевая шапочка не видна, но распознаются имеющиеся в ней очаги кальцификации. При микроскопии хрящевого покрытия хорошо видны беспорядочно расположенные хондроциты – имеющие разную величину клетки ткани. У пожилых людей хрящевая шапочка может отсутствовать. Толщина оболочки должна быть не больше 1 см, при больших показателях необходима проверка на наличие вторичной, злокачественной хондросаркомы.
Методы диагностики
Остеофиты на снимке КТ — видны деформированные позвонки
На основании клинической картины врач может заподозрить наличие остеофитов. Для достоверной постановки диагноза необходимо сделать визуализацию структур позвоночника при помощи следующих методик:
- Рентгенография – просвечивание тканей определенного участка тела рентгеновскими лучами в прямой и боковой проекции. Методика дает возможность выявить грубые изменения, большие остеофиты.
- Компьютерная томография – рентгенологическое послойное сканирование тканей. Методика включает цифровое построение изображения, поэтому отличается высокой разрешающей способностью и дает возможность визуализировать минимальные изменения. Компьютерная томография применяется для диагностики маленьких остеофитов, контур которых отчетливо видно на снимках.
- Магнитно-резонансная томография – послойное сканирование тканей, при котором визуализация осуществляется за счет физического эффекта резонанса ядер в сильном магнитном поле.
Для оценки функционального состояния организма дополнительно назначаются клинический анализ крови, мочи, биохимические пробы. На основании всех результатов проведенного обследования устанавливается диагноз и подбирается соответствующее лечение.
Лечение экзостоза
В большинстве прецедентов очаг патологии ведет себя спокойно – в возрасте после 20 лет не изменяется в размерах, не вызывает болевого синдрома, не ограничивает функциональность частей скелета. В этом случае не требуется лечения дефекта, осуществляется только наблюдение за ним. Если появляется болевой синдром, опухоль быстро увеличивается, развивается выраженная деформация кости в месте локализации опухоли, ощущается дискомфорт, производится ее иссечение с полным удалением хрящевой шапочки и соскабливанием прилежащей к ней надкостницы с помощью медицинского долота.
Если требуется удаление нароста вместе с корнем, возможно образование костного дефекта, который необходимо заполнить трансплантатом. В этом месте костная структура будет восстановлена только через 2 года. Более предпочтительны сохранные операции, в ходе которых осуществляется перелом образования в месте перехода в материнскую кость и удаление его единым блоком. С помощью фрезы обрабатывается поверхность материнской кости без изъятия из нее корня нароста.
Операцию проводят под местной анестезией или общим наркозом, выполняя небольшой надрез кожного покрова в месте локализации нароста. Больной покидает клинику через 14 дней после операции, срок реабилитации составляет от 14 дней до 2 месяцев. При перерождении нароста в злокачественную форму больной госпитализируется в онкологическое отделение для проведения хирургической операции, химио- или лучевой терапии.
Лечение и профилактика
Если остеофиты крупные и мешают двигаться, их удаляют хирургическим путем
Лечение остеофитов комплексное. Радикальные методики подразумевают хирургическое удаление проблемных тканей. Для этого используются современные малотравматичные методики. В зависимости от локализации и степени тяжести изменений выделяются следующие виды операции:
- Фасектэктомия – полное удаление фасетчатого сустава с наростами.
- Ламинэктомия – полное или частичное удаление пластины.
- Ламинотомия – хирург делает специальное отверстие, которое способствует профилактике сдавливания волокон спинного мозга.
- Фораминотомия – увеличение расстояния между позвонками, что способствует освобождению ущемленного спинномозгового корешка.
При наличии противопоказаний к выполнению хирургической операции можно лечить остеофиты консервативно. Для этого используются медикаментозные средства различных групп: нестероидные противовоспалительные препараты, хондропротекторы, витамины группы В. Одновременно назначаются другие направления, которые включают физиотерапевтические процедуры, массаж, выполнение упражнений лечебной физкультуры.
После основного курса терапии при необходимости устанавливается индивидуальная программа реабилитации. Раннее начало консервативного лечения, проведение оперативного вмешательства дают возможность получить хороший прогноз в отношении здоровья и качества жизни пациента.
Осложнения экзостоза
Заболевание долгое время не доставляет болевых ощущений, но оно не является безопасным. Нарост может вызвать осложнения, нарушающие функциональность расположенных рядом с ним органов и сопровождающиеся сильным болевым синдромом. Некоторые из них имеют плохой прогноз и без лечения приводят к летальному исходу. В процессе развития остеохондромы нередко наблюдаются следующие опасные явления:
- сдавливание расположенных рядом с ним органов, сосудистых и нервных пучков. Особенно опасны экзостозы позвоночника – рост опухоли в сторону позвоночного столба может привести к компрессионному сдавливанию спинного мозга;
- деформация костей скелета с потерей функциональности его отделов;
- перелом ножки нароста, требующий незамедлительной операции по удалению обломков;
- перерождение в злокачественную форму. Признаки такого процесса — быстрое увеличение нароста, болевой синдром. Солитарные формы дефекта перерождаются в злокачественную форму в 1% случаев, у людей с множественными образованиями риск перерождения выше – 3-5%.
Как проводится диагностика
Прогресс нароста идет медленным темпом, поэтому больной замечает уже большой нарост случайно, при пальпации. Второй вариант выявления болезни — рентгенография в ходе общей проверки. Рентгеновский аппарат не фиксирует хрящевые элементы вокруг остеохондромы, поэтому опухоль является большей чем на рентгенограмме. Также врач выслушивает жалобы пациента, изучает возможность наследственности болезни и другие обстоятельства.
Обычно, рентгеновского снимка бывает достаточно для обоснования диагноза. Что он показывает:
- количество опухолей;
- их форму;
- стадию заболевания.
И хотя рак возникает при экзостозе редко, все же есть необходимость сдать биопсию и установить клеточный состав ткани нароста. Обязательно сдать анализ следует в случае продолжения увеличения опухоли в размерах.
Чаще всего пациент самостоятельно может обнаружить проблему только тогда, когда новообразование уже достигло существенных размеров. Лучше, если дефект будет выявлен на ранней стадии, например, во время профилактического осмотра у стоматолога. Это еще одна важная причина посещать кабинет специалиста не реже, чем дважды в год. В рамках диагностики врач также может предложить следующие мероприятия:
- рентген-диагностика – снимок позволит специалисту внимательно изучить экзостоз, определить его точную локализацию, размеры, скрытые дефекты,
- биопсия, цитология – данные процедуры проводятся в тех случаях, когда требуется дифференцированная диагностика для исключения онкологических опухолей.
Снимок позволит специалисту внимательно изучить экзостоз
В отдельных ситуациях также назначают общий анализ крови, направляют пациента на консультацию к другим узконаправленным специалистам.
Диагноз ставится на основании жалоб пациента, анамнеза, результатов физикального обследования и данных рентгенографии в 2-х проекциях, на которой опухоль визуализируется как дополнительная с гладкими четкими контурами тень, соединяющаяся с костью широким основанием или ножкой. Если хрящевая шапочка обызвествлений не содержит, то на снимках она не определяется. Дополнительными методами инструментального обследования являются:
- КТ, что позволяет отследить наличие связи центральной части образования, которая заполнена костномозговым содержимым непосредственно с костномозговым каналом материнской кости.
- МРТ — позволяет получит данные о толщине хрящевой шапочки, что позволяет определить характер опухоли (толщина более 2 см является признаком злокачественной трансформации).
- Дифференциальный диагноз проводится с другими видами доброкачественных опухолей (хондрома, остеома, остеобластома, хондробластома, остеоид-остеома).
Профилактика
Профилактические меры не разработаны.
При генетической предрасположенности рекомендуется регулярно проходить профилактические медосмотры и обследоваться, потому что в этой ситуации риск развития образований высок. Так как экзостоз возникает на фоне других заболеваний, протекающих в организме, для профилактики важно укреплять иммунитет, закаляться, правильно питаться, вести активный, здоровый образ жизни.
Предупредить возникновение экзостоза помогут постоянные плановые осмотры. Рентгенография позволяет заметить новообразование еще на стадии зарождения и быстро его удалить. Операция по уничтожению наростов небольшого размера проходит очень быстро и не требует длительного восстановления. Также важно регулярно обследовать детей в период их активного роста.
Регулярно нужно следить за состоянием костей в месте перелома или вывиха и после перенесенной операции. Людям, у которых увеличено содержание кальция в крови также желательно проводить ежегодный осмотр.
Конечно никогда не лишним будет соблюдение привычных правил профилактики:
- правильное питание;
- спорт;
- закаливание;
- ежедневные прогулки.
Экзостозы — не серьезная патология. Люди с такими опухолями часто никогда не жалуются на здоровье и могут даже не знать о своей проблеме. Образование злокачественных клеток — это редкость. У детей остеохондрома часто исчезает сама по себе, без всякого оперативного вмешательства.
Гарантированно избежать подобной проблемы невозможно, но есть возможность существенно снизить риск ее появления или выявить дефект на начальной стадии его формирования. Для этого нужно бережно относиться к состоянию полости рта, тщательно следить за гигиеной, не пропускать профилактические осмотры, по возможности исключить травмирующие факторы и не запускать стоматологические патологии – вовремя приступать к лечению.
Профилактические осмотры помогут вовремя распознать проблему
Также эксперты рекомендуют систематически проводить самодиагностику – время от времени внимательно осматривать ткани ротовой полости на предмет аномальных новообразований. Делать это нужно только чистыми руками, аккуратно ощупывая каждый участок челюстного аппарата, в том числе небную зону. При обнаружении подозрительного нароста следует как можно быстрее обратиться за помощью к стоматологу.
Причины развития и методы лечения костно-хрящевого экзостоза

Костно-хрящевой экзостоз является доброкачественным новообразованием на трубчатой кости. Он развивается в зоне роста костной ткани, расположенной ближе к суставной головке.
Костный экзостоз возникает:
- Чаще всего на длинных костях бедра и голени;
- Может образовываться на трубчатых костях рук;
- Непосредственно в кистях, суставах запястья или колена;
- А также поражать позвоночник, ребра, ключицы, лопатки.
Экзостозная болезнь (другое название – остеохондрома) зарождается с началом максимально быстрого развития опорно-двигательного аппарата в возрасте 6-8 лет, прогрессирует во время активного роста костей у детей и угасает по мере взросления, постепенно прекращаясь к 18-20 годам.
Природа хрящевого экзостоза
Перерождение клеток гиалуронового слоя, который является местом образования новых клеток костной ткани, формирующих тело трубчатой кости, приводит к возникновению нароста. Хрящевая ткань, разрастающаяся на эпифазарной пластинке, образует опухолевидное тело, которое может иметь удлиненную (линейную) или шаровидную форму.

Поскольку новообразование разрастается за счет наружного хрящевого слоя, его внутренняя структура постепенно минерализуется и приобретает характеристики костной ткани. На рентгеновских снимках экзостоза у ребенкачетко видны очертания окостеневшего тела нароста, слившегося с телом кости. При этом хрящевой слой не оставляет тени на рентгенограмме, как и обычный хрящ.
Причины возникновения у детей
Множественные наросты на костях являются последствием нарушения в генном аппарате ребенка. Это заболевание передается по наследству и не поддается полному излечению.
Экзостоз какой-либо одной кости может быть приобретенным по различным причинам:
- В результате травмы или ушиба;
- При инфекционном поражении костной ткани (частой причиной становится возбудитель сифилиса);
- В результате нарушения гормонального баланса;
- При наличии индивидуальных особенностей развития накостницы и хрящевой ткани.

Остеохондромы могут разрастаться до 5-6 см размера.
В медицинской практике отмечены отдельные редкие случаи, когда наросты останавливают свое развитие до окончания полового созревания организма и даже постепенно рассасываются до полного исчезновения. Упоминаются отдельные случаи возникновения болезни у взрослых людей. Как правило, развитие костных образований начинается на местах переломов или инфекционных поражений.
Симптоматика
Обнаружение хрящевого экзостоза зачастую происходит случайно, поскольку образование нароста происходит безболезненно. Диагностируется костно-хрящевой экзостоз у детей:
- Во время профилактических осмотров;
- При пальпации или рентгеноскопии;
- В результате обследований в связи с другими заболеваниями.

О чем свидетельствует боль при развитии нароста на кости
- Возникновение болевого синдрома при экзостозной болезни у детей может сигнализировать о переходе заболевания в недоброкачественную форму.
- Болезненность проявляется при возникновении экзостоза коленного сустава. Образующийся на нижнем конце большеберцовой кости нарост нарушает структуру сустава изнутри. Разгибающие мышцы колена сдавливаются и повреждаются увеличивающимся в размере новообразованием. Мениск смещается и препятствует нормальному функционированию сустава. Чрезмерное увеличение нароста на кости может стать причиной разрыва суставной сумки или внутренних связок, что приводит к ограничению подвижности сочленения, образованию «ложного сустава» и возможной инвалидности.
- Болевые ощущения возникают при экзостозе позвоночника. Разрастающееся образование, формирующееся на теле позвонка, сдавливает отходящий от спинного мозга нервный отросток, мешая прохождению импульсов по нему. Краевые экзостозы позвоночника опасны тем, что могут расти внутрь позвоночного канала и повреждать ствол спинного мозга.

Лечение
При постановке диагноза «костно-хрящевой экзостоз» лечение медикаментозными средствами малоэффективно либо бесполезно. Существует мнение, что любое физиотерапевтическое воздействие на область развития остеохондромы может спровоцировать процесс перерождения клеток нароста в недоброкачественную опухоль.
Показанием к оперативному удалению нароста являются диагнозы:
- Костный экзостоз коленного сустава;
- Экзостоз голеностопного сустава;
- Экзостоз тазобедренного сустава;
- Экзостоз фрагментацией локтевого сустава
- Костные наросты на позвоночнике.
Обследуя краевые экзостозы тел позвонков, врач учитывает, что это наиболее опасная форма заболевания. Поэтому назначению операции предшествует полное и подробное исследование, максимально исключающее риск оперативного вмешательства в позвоночный отдел. Самым точным методом определения размеров и расположения новообразования является рентгеноскопия.
Работа хирурга проводится под местным наркозом, если локализация нароста позволяет провести операцию без вмешательства в сложные структуры сустава. При глубоком расположении новообразования необходима полная фиксация пациента, который подвергается общему наркозу.
Костно-хрящевой нарост удаляется вместе с прилегающими тканями. Этим гарантируется устранение возможности рецидива болезни.
Послеоперационный период для суставов длится минимум две недели, во время которого область оперативного вмешательства (особенно важно для коленного сустава, несущего максимальные нагрузки при передвижении) обездвиживается с помощью лонгеты. В дальнейшем показано ограничение нагрузок на место операции до полного восстановления тканей и функциональных возможностей.
Прогноз в большинстве случаев врачи дают благоприятный. Медицинская статистика свидетельствует, что процент восстановления после оперативного удаления остеохондромы очень высок, если пациент полностью соблюдает все предписания лечащего врача.

Терапия народными средствами
Остеохондрома не поддается воздействию лекарственных препаратов. Целебные средства народной медицины также не вызывают сколько-нибудь заметного изменения в течении заболевания.
Лечение экзостоза народными средствами в целом сводится:
- К поддержанию организма в здоровом состоянии;
- Повышению эффективности работы иммунной системы;
- Нормализации гормонального фона на всех стадиях роста.
Профилактика
Предупредить возникновение костных наростов практически невозможно. Профилактические меры заключаются в регулярных обследованиях, особенно актуальных для детей в период формирования скелетных костей.
Взрослые люди должны наблюдать за своим организмом после серьезных травм трубчатых костей, чтобы вовремя обнаружить образующийся на месте перелома нарост.
В статье «Причины развития и методы лечения костно-хрящевого экзостоза» использованы материалы:
http://sustavik.com/diagnostika/ekzostoznaya-bolezn
http://medotvet.com/bolezni-kostei/kostno-hryashevoi-ekzostoz.html
http://artritox.ru/bolezni/ekzostoz-stopy.html
http://mysustavy.ru/prichiny-razvitiya-i-metody-lecheniya-kostno-hryaschevogo-ekzostoza/