Симптомы артроза челюстно-лицевого сустава и как проводят лечение
Челюстно-лицевой сустав (височно-нижнечелюстной) состоит из сегментов височной и челюстной кости, разделенных между собой хрящевым диском. Со временем хрящевая прослойка теряет эластичность, приводит к смещению суставных костей. Артроз челюстно лицевого сустава, симптомы и лечение которого зависят от степени повреждения хряща.
Внимание! По МКБ-10 (международной классификации болезней) височно-нижнечелюстная дисфункция (ВНЧД) обозначается кодом К07.6.
Что происходит с челюстным суставом при артрозе?
Функция челюстного сустава заключается в обеспечении движения челюсти вверх-вниз, вправо-влево, вперед-назад. В этом процессе участвуют связки и жевательные мышцы. Чтобы снизить трение в сочленении, входящие в него кости разделяет хрящ. Артроз ВНЧС вызывает изменение структуры хряща и ограничивает подвижность верхней и нижней челюсти, что при отсутствии лечения приводит к тяжелым нарушениям и инвалидности. Заболевание имеет следующую классификацию:
- деформирующий артроз;
- склерозирующий артроз.
В первом случае наблюдается сглаживание ямки, бугорка и головки сустава, на более поздних стадиях болезни отмечают существенную деформацию сустава. При склерозирующей форме на рентгене видно сужение суставной щели, склероз поверхности челюстных костей.
Деформация хрящевой ткани происходит постепенно:
- Первая степень – истончение хряща, что приводит к нестабильности сустава, стенозу щели сочленения.
- Вторая степень – полностью пропадает хрящевое покрытие на костях сустава;
- Третья стадия – хрящевая ткань не может восстанавливаться самостоятельно, она способна полностью склерозировать, поэтому организм замещает ее костной.
- Четвертая – самая тяжелая степень, при которой развивается анкилоз ВНЧС.
Патология развивается вследствие повышенной нагрузки на сустав, вызываемой разными причинами. Вследствие этого нарушается синхронная работа обеих костей и снижается функция жевательных мышц. Как следствие снижается трофика хряща, эластичность, появляются деструктивные изменения. Вместе с этим происходит деформация костей сустава, на рентгенографии определяют остеоартроз.
Артроз ВНЧС
Какие причины могут спровоцировать заболевание?
Артроз сустава челюсти является хроническим заболеванием, которое вызывается деструктивными изменениями. Деформировать верхнечелюстной сустав могут болезни, а также патологические процессы, происходящие внутри сочленения. Патология возникает по ряду следующих причин:
- хронического артрита;
- неправильного прикуса;
- частичной адентии;
- неправильного протезирования или пломбирования зубов;
- посттравматического синдрома (травма челюсти);
- возраста после 50 лет, поскольку в этот период снижается способность хрящей к регенерации;
- период менопаузы у женщин обусловлен прекращением выработки половых гормонов, участвующих в обменных процессах костно-хрящевой системы;
- наследственной предрасположенности;
- постоянной нагрузки на челюсть при наличии привычки жевать твердую пищу.
У ребенка такое явление может развиться, как следствие врожденного порока развития челюсти или бруксизма – скрежетания зубами во сне, вызывающего патологическое стирание зубов. Это приводит к неправильному функционированию сустава. Часто причиной патологии у детей становится травматический фактор.
Совет! При появлении первых проявлений заболевания нужно обращаться к врачу, чтобы предупредить развитие негативных последствий. Обращайтесь только в к проверенным стоматологам — http://stomatologia.moscow/
Характерные симптомы патологии
Симптоматика заболевания нарастает постепенно и вначале проблема не ощущается больным. По мере прогрессирования недуга у больного появляются следующие симптомы:
- хруст и щелканье челюсти;
- тугоподвижность сустава в утренние часы;
- патологическое смещение челюсти при движении в сторону;
- появление болей;
- деформация лицевой части;
- ограничение движения в суставе;
- снижение слуха;
- чувство онемения поврежденной стороны.
Боль, возникающая при артрозе ВНЧС, носит ноющий характер, усиливается при выполнении движений в суставе, отдает в висок, глаз на поврежденной стороне. Больного могут мучить головные боли, усиливающиеся к вечеру.
Методы лечения
Чтобы избавиться от патологии, нужно обратиться к врачу и подробно рассказать о волнующих проблемах. Лечебный процесс начинается с опроса больного и визуального осмотра, в ходе которого доктор:
- осматривает ротовую полость;
- смотрит на состояние зубов;
- выявляет неправильный прикус, наличие неверно поставленных протезов,
- смотрит на амплитуду движения сустава, симметрию лица.
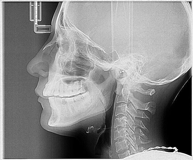
Главным признаком наличия патологии является состояние зубов. Доктор при осмотре обращает внимание на их наличие, правильность поставленных пломб, прилегания зубных протезов. Диагностическим элементом является уровень равномерности стирания зубов, их высота. Чтобы излечить патологию, нужно правильно поставить диагноз. Поэтому больного направляют на рентген ВНЧС, на котором видны произошедшие структурные изменения в сочленении. По результатам обследования назначают лечение. Традиционный комплекс терапии включает:
- медикаментозный метод;
- физиотерапевтический способ;
- хирургическое лечение;
- ортопедический способ терапии;
- диета.
Медикаменты
Лечит артроз ВНЧС нужно препаратами из группы НПВС в случае появления болей. Медикаменты оказывают противовоспалительное, обезболивающее и жаропонижающее действие. Применяются они в виде мазей, гелей, таблеток или уколов, зависимо от степени повреждения и состояния больного. К таким препаратам относят:
- дексаметазон;
- ибупрофен;
- кетопрофен.
Для восстановления структуры сустава назначают хондропротекторы на основе:
- хондоитина («Структум», «Хондроитин», «Алфлутоп», «Румалон»);
- глюкозамина («Дона», «Артро-флекс», «Эльбона»);
- совмещающие оба компонента («Терафлекс», «Артро-комплекс», «Артродар»).
Лекарственные препараты группы НПВС применяются только после консультации врача, поскольку при неправильном использовании могут вызывать опасные последствия. Препараты нельзя пить при беременности, потому что они способны влиять на развитие плода, повышать тонус матки, спровоцировать преждевременные роды. Приносят вред и пациентам с нарушениями пищеварения. Длительный и бесконтрольный прием лекарств этой групп приводит к образованию язвы.
Лекарства НПВС
Физиотерапия
Улучшить кровоснабжение сустава, а также повысить обменные процессы в сочленении помогают физиопроцедуры:
- ультразвук;
- лазеролечение;
- электрофорез;
- интерференц.
Данные методы лечения сочетают с массажем поврежденной области лица с усиленным акцентом на нарушенный сустав и жевательные мышцы. Кроме этого больному рекомендуют дома выполнять комплекс специальной физкультуры, направленной на улучшение подвижности в сочленении и укрепления мышечно-связочного аппарата челюсти.
В домашних условиях рекомендуют лечиться народными методами, включающими мази с пчелиным ядом, компрессы с прополисом, отваром ромашки, мать -и- мачехой, корой дуба. Эффективно делать на ночь йодную сетку на область поврежденного сустава.
Физиопроцедуры при артрозе ВНЧС
Диета
Питание в лечении ВНЧС играет большую роль. Основная его задача заключается в уменьшении нагрузки на больной сустав. После операции или посттравматический период после наложения иммобилизирующей повязки больному разрешают только жидкую пищу. Классическое лечение ВНЧС предполагает рацион питания с усиленным приемом продуктов богатых углеводами, белками, витаминами группы В. Эти элементы необходимы для роста хрящевой и костной тканей, их укрепления и восстановления. Предпочтение отдают жидкой, желеобразной пище, а также кашам. Исключают твердую пищу, требующую длительного пережевывания. При данной патологии врачи рекомендуют желе, супы, компоты, каши, молочную продукцию.
Ортопедическое лечение
Основной задачей такой терапии является обеспечение равномерной нагрузки на сегменты сочленения. Методы ортопедического лечения:
- коррекция окклюзионных контактов;
- нормализация соотношения зубных рядов;
- восстановление целостности зубов;
- восстановление физиологической подвижности сустава.
Это достигается проведением ряда стоматологических манипуляций:
- пломбированием зубов;
- установлением зубного протеза;
- установлением небных пластин, каппы.
Еще одним методом коррекции работы челюстного сустава стала избирательная прошлифовка зубов. Она помогает скорректировать прикус, обеспечивает слаженную работ челюстной системы.
Ортопедический метод лечения артроза ВНЧС
Хирургическое вмешательство
Вылечить застарелый вывих челюстного сустава или 3-4 степень заболевания, сопровождающуюся анкилозом, консервативным методом невозможно. Поэтому применяют оперативное вмешательство по удалению хряща или головки сустава с или без замены имплантом.
Чтобы этого не случилось, нужно вовремя обращаться к врачам и проводить лечение. Профилактика заболевания состоит в:
- своевременной санации ротовой полости;
- устранение неправильного прикуса;
- протезирование зубов;
- лечении заболеваний хронического течения.
После проведенной операции по удалению хряща или сегмента сустава, нужно строго придерживаться рекомендаций врача, соблюдать правильное питание, делать комплекс, разработанный инструктором ЛФК.
Операция по поводу артроза ВНЧС
Важно! Своевременное обращение к доктору – залог успешного исхода заболевания.
Небольшое заключение
Для того чтобы вылечить заболевание, нужно неукоснительно придерживаться рекомендаций врача по поводу медикаментозного лечения, способа жизни и питания. Только в этом тандеме можно достичь положительных результатов от проводимой терапии.
Артроз челюсти: симптомы и эффективные методы лечения
Височно-нижнечелюстной сустав (внчс) обеспечивает подвижность нижней челюсти, отвечает за движения, необходимые для пережевывания пищи и произношения звуков. Артроз челюсти сопровождается поражением хрящевых структур сустава, что проявляется сильной болью и ограничением подвижности. Со временем происходит деформация суставных структур, возникают тяжелые нарушения работы пораженного сочленения.

Механизм развития и причины
Челюстно-лицевой сустав образован элементами височной и челюстной костей, расположенной между ними хрящевой прослойкой (суставной диск). Прочность всего сочленения обеспечивается связками, а двигательные функции регулируются жевательными мышцами. Сустав обеспечивает движения нижней челюсти в горизонтальном (вперед-назад, влево-вправо) и вертикальном (вверх-вниз) направлении.
При артрозе хрящ истончается и разрушается, патологические процессы постепенно распространяются на кости, связки, мышцы. Со временем в организме запускаются компенсаторные реакции, но поскольку хрящ неспособен восстанавливаться, на месте разрушенных структур начинает разрастаться костная ткань. В результате сустав деформируется, возникает болевой синдром, нарушается двигательная функция.
Основными причинами, вызывающими артроз нижнечелюстного сустава, являются:
- врожденные аномалии строения челюсти;
- неправильный прикус;
- отсутствие зубов;
- неравномерное распределение нагрузки на верхнюю и нижнюю челюсть, обусловленное неправильным подбором зубных имплантов, коронок;
- бруксизм (скрежетание зубами, вызванное непроизвольным периодическим сокращением жевательной мускулатуры);
- травмы (развивается посттравматический артроз);
- перенесенные операции на челюсти.
Также существует ряд общих факторов, повышающих вероятность развития заболевания. Это:
- преклонный возраст;
- генетическая предрасположенность;
- другие инфекционные и воспалительные болезни опорно-двигательной системы (артрит, подагра);
- гормональные расстройства и эндокринные патологии;
- нарушения обмена веществ.
Классификация
По характеру структурных изменений артроз челюсти классифицируют на два вида:
- склерозирующий – сопровождается сужением суставной щели и склерозированием костной ткани;
- деформирующий – характеризуется расширением суставной поверхности, разрастанием остеофитов, выравниванием суставной ямки.
По происхождению выделяют челюстной артроз:
- первичный – развивается как самостоятельное заболевание (как правило, у людей старше 40 лет);
- вторичный – возникает вследствие травмы или других заболеваний.

В зависимости от обширности поражения суставных структур выделяют 4 степени артроза челюсти.
- Отмечается незначительное сужение суставной щели, истончение хрящевой прослойки.
- Происходит окостенение мыщелкового отростка нижней челюсти. Возникает выраженный болевой синдром, ограничение подвижности.
- Хрящевая прослойка полностью разрушается, разрастаются остеофиты (костные выросты), мыщелковый отросток уменьшается. Клинические симптомы болезни становятся более выраженными.
- Происходит фиброзное сращивание суставных поверхностей, приводящее к полному обездвиживанию пораженных структур.
Симптомы
Артроз челюстно-лицевого сустава развивается постепенно, медленно прогрессирует. На начальных этапах поражение хрящевых структур протекает практически бессимптомно. По мере усугубления патологических процессов отмечается последовательное возникновение следующих симптомов:
- Скованность (затруднение движения челюстью) сначала отмечается только по утрам, затем сохраняется на протяжении всего дня.
- Характерный хруст и щелчки, которые слышны во время движения челюстью.
- Боль, чаще односторонняя, возникает во время пережевывания пищи, может распространяться на область шеи, глазного яблока, уха.
- Асимметрия лица, обусловленная смещением нижней челюсти в сторону.
- Повышенный тонус, болезненность и уплотнение жевательной мускулатуры, выявляемые при пальпации.
- Ограничение амплитуды движений, невозможность полностью открыть рот.
На поздних стадиях артроз верхнечелюстного сустава может вызывать сильные головные боли, мигрени, заложенность ушей и обусловленное этим ухудшение слуха.
У пациентов, страдающих сахарным диабетом, болезнями щитовидной железы и некоторыми другими эндокринными патологиями челюстной артроз может протекать без болевого синдрома даже на поздних стадиях.
Диагностика
Начальным этапом диагностики артроза челюсти являются осмотр и анализ жалоб пациента, выявление асимметрии лица, пальпация жевательных мышц. Для уточнения диагноза, определения локализации и степени поражения хрящевых структур челюстного сустава проводится инструментальное обследование.
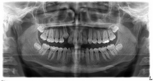
Инструментальная диагностика артроза челюсти включает проведение:
- рентгенографии;
- компьютерной томографии;
- магнитно-резонансной томографии.
Все эти методы позволяют обнаружить характерные симптомы артроза: истончение хрящевой прослойки, эрозии, трещины и другие дефекты на поверхности хряща, разрастания остеофитов, деформацию суставных структур.
Чаще всего диагноз ставят на основании результатов рентгенографии. Однако этот метод не позволяет оценить состояние и выявить поражение близлежащих мягких тканей. Поэтому при необходимости дополнительно может проводиться КТ или МРТ.
Лечение
Консервативное лечение артроза челюстного сустава включает:
- медикаментозную терапию;
- проведение физиотерапевтических процедур;
- соблюдение диеты;
- ортодонтическую коррекцию.
В период лечения важно максимально снизить нагрузку на челюстной сустав во время еды. Разговаривать следует тоже как можно меньше.
Препараты
Медикаментозное лечение артроза челюсти направлено на устранение боли и воспаления, замедление деструктивных процессов. С этой целью назначаются нестероидные противовоспалительные средства, глюкокортикостероиды, миорелаксанты, хондропротекторы.
НПВС (Ибупрофен, Нимесулид, Диклофенак, Мелоксикам) подавляют воспалительные реакции, тем самым способствуют уменьшению болевого синдрома. Препараты имеют много побочных эффектов, особенно негативно воздействуют на слизистую оболочку желудка и двенадцатиперстной кишки: могут вызвать развитие или обострение гастрита, язвенной болезни. В связи с этим противовоспалительные препараты нельзя принимать дольше 5-10 дней.
Чтобы предотвратить негативное воздействие на ЖКТ, на период терапии НПВС врачи рекомендуют принимать средства для защиты слизистой желудка (Омепразол, Ланзопразол).
Хондропротекторы
Хондропротекторы (Мовекс, Протекон, Синарта, Артифлекс) содержат структурные компоненты хрящевой ткани – хондроитин и/или глюкозамин. Препараты улучшают питание хряща, усиливают выработку синовиальной жидкости, тем самым замедляя деструктивные процессы.
Лекарственные средства обладают накопительным действием. Первые результаты применения появляются только через 2-3 недели после начала лечения, а для достижения стойкого терапевтического эффекта их нужно принимать длительно (1-3 месяца) и регулярно (каждые полгода).
Миорелаксанты
Миорелаксанты (Сирдалуд, Мидокалм) снижают тонус жевательной мускулатуры, благодаря чему уменьшается болевой синдром и улучшается подвижность сустава. Назначаются в таблетках или в форме раствора для внутримышечного введения короткими курсами (не дольше недели).
Глюкокортикостероиды
Глюкокортикостероиды (Дипроспан, Кеналог, Флостерон) оказывают выраженное противовоспалительное действие, быстро и надолго устраняют болевой синдром. Вводятся инъекционно в пораженный сустав.
Доказано, что при постоянном применении лекарства этой группы ускоряют дальнейшее разрушение хряща, поэтому назначают их только в крайних случаях, когда терапия НПВС не оказывает положительного лечебного действия.
В один пораженный сустав гормональные препараты разрешается вводить не более 5 раз, при этом перерыв между инъекциями должен составлять не менее месяца.
Бисфосфонаты
Перенесенные травмы челюсти нередко приводят к одновременному развитию посттравматического артроза и остеопороза. И если при артрозе поражаются хрящевые поверхности, то остеопороз сопровождается разрушением костной ткани. В этом случае наряду с НПВС и хондропротекторами пациенту назначают бисфосфонаты (Ризедронат, Фосамакс, Ибандронат, Тилудронат).
Эти средства угнетают процессы разрушения костной ткани и активно применяются в терапии остеопороза. Дополнительно могут назначаться паратиреоидные гормоны, стимулирующие образование новой костной ткани, витамин D и его метаболиты, соли кальция.
Физиотерапия
В дополнение к медикаментозному лечению проводятся физиотерапевтические процедуры:
- лазерная терапия;
- микроволновое воздействие;
- ультразвуковая терапия;
- электрофорез;
- воздействие динамическими токами.
Диета
Соблюдение диеты необходимо для максимального снижения нагрузки на пораженный сустав. В период лечения рекомендуется употреблять мягкую пищу, которую не нужно долго пережевывать. Это могут быть супы, каши, соки, йогурты.
Чтобы обеспечить необходимыми структурными элементами хрящевую и костную ткань, нужно обязательно включить в ежедневный рацион продукты с высоким содержанием белков и углеводов, витаминов группы В.
Копчености, соления, кофе, крепкий чай, шоколад, сладкие газированные напитки, алкоголь на период терапии следует полностью исключить из меню.
Ортодонтическая коррекция
Чтобы вылечить челюстной артроз, при необходимости проводится ортодонтическая коррекция:
- исправление прикуса и выравнивание кривых зубов капами, брекетами, небными пластинами;
- временное ограничение подвижности сустава с помощью пращевидной повязки, ограничителя открытия ротовой полости и прочих приспособлений;
- восстановление целостности зубного ряда (протезирование).
Артроз челюсти сопровождается болью и значительно ухудшает качество жизни пациента – ограничение подвижности сустава вызывает затруднения во время приема пищи, нарушает речь. Гигиена полости рта и регулярные профилактические осмотры у стоматолога, своевременное лечение кариеса и болезней десен поможет снизить риск развития артроза челюсти. Если же предотвратить болезнь не удалось, важно при появлении первых симптомов обращаться к врачу.
На начальных этапах заболевание лечится консервативно. Как правило, терапевтический курс долго длится, однако, функции челюстного сустава восстанавливаются в полной мере. На последних стадиях артроз височно-нижнечелюстного сустава практически не поддается консервативному лечению. В этом случае проводится хирургическое вмешательство – удаление пораженного суставного диска и головки челюстной кости, замена суставных структур искусственным имплантом. Хирургическое лечение позволяет полностью восстановить функции челюстного сустава.
Артроз челюстного сустава: причины, симптомы и лечение
Артроз челюстного (височно-нижнечелюстного) сустава — дегенеративное заболевание, характеризующееся износом хрящевых структур: разложением суставного хряща, архитектурными изменениями в кости и дегенерацией синовиальных тканей. Этот шарнирный сустав расположен между височной костью и челюстью перед ухом по обеим сторонам лица. Его хрящ не такой прочный, как у других суставов, поэтому заболевание может привести к сильной боли.

Подобные проблемы часто встречаются у людей, достигших возраста 50 лет (50% случаев) и преимущественно у женщин. После преодоления отметки в 70 лет вероятность развития артроза достигает 90%. Люди часто игнорируют заболевание, боясь посещения врача. Поэтому чтобы вовремя среагировать на первые признаки болезни, нужно знать все про артроз челюсти: симптомы, лечение и причины его возникновения.
Что такое артроз?
Важно знать! Врачи в шоке: «Эффективное и доступное средство от АРТРОЗА существует. » Читать далее.
Челюстной сустав – это место, где кость нижней челюсти присоединяется к черепу. Сочленение челюсти — одно из самых сложных, объединяет множественные мышцы и связки, которые позволяют выполнять разные движения. Любая проблема, которая препятствует правильному функционированию мышц, связок, дисков и костей, может вызвать болезненное состояние, называемое височно-нижнечелюстной дисфункцией, или артрозом челюстного сустава.
При артрозе ВНЧС макроскопическая структура хряща претерпевает изменения: гистологически происходит потеря протеогликанов, распад коллагеновой волоконной сети и жировая дегенерация. В костной ткани возникают микротрещины, увеличивается ее плотность, могут образоваться остеофиты. Подобные нарушения лишают человека многих вещей в быту: усложняется процесс разговора, приема пищи, нарушается слух.

Артроз челюстного сустава развивается в четыре стадии:
- начальная стадия (I) характеризуется суставной нестабильностью, вызванной неравномерным сужением суставной щели на фоне дегенеративных изменений в хрящевых структурах;
- прогрессирующая стадия (II) сопровождается снижением суставной подвижности, нарастанием болевых ощущений, обострением симптомов болезни. Усугубление состояния связано с окостенением мыщелкового отростка нижней челюсти;
- поздняя стадия (III) приводит к ограничению функций ВНЧС в результате полной дегенерации хрящевой ткани, появления остеофитов, уменьшения мыщелкового отростка и других деструктивных изменений;
- запущенная стадия (IV) с фиброзным сращиванием суставов.

В зависимости от выявленных рентгенологических изменений определяется и вид артроза ВНЧС, который может быть склерозирующим и деформирующим. При первом отмечают сужение суставной щели и развитие склероза костей. Для второго характерны расширение сустава, костные разрастания в виде бугорков на суставных поверхностях и выравнивание суставной ямки, сильная деформация нижней челюсти.
В зависимости от происхождения артроза ВНЧС он может быть первичным и вторичным. Первичный артроз возникает без предшествующего заболевания суставов в возрасте от 40 лет и имеет полиартикулярный характер. Вторичный развивается в предварительно измененном суставе из-за нарушенного соотношения суставных поверхностей на фоне сопутствующих болезней.
Причины развития
Артроз возникает в результате неравномерной нагрузки на суставные ткани, что приводит к постепенному износу хрящевой ткани. Совместная перегрузка может возникать из-за парафункциональных привычек (бруксизм, кусание ногтей), миофасциальной боли, несоосности и потери зубов, несогласования верхней и нижней челюстей, зубных щелей, дегенеративных и воспалительных изменений, также в результате стрессов и травм. Провоцирующие факторы:
- малоподвижный образ жизни;
- плохая экология;
- несбалансированное и нездоровое питание;
- несвоевременное посещение стоматологического кабинета.
Причины артроза ВНЧС:
- измененный прикус;
- хронический артроз;
- разрушение зубов;
- аномалии строения челюсти;
- чрезмерная нагрузка на сустав (занятия спортом);
- неверно поставленная пломба или протез;
- износ диска или хряща сустава;
- макро- и микротравмы челюсти или ВНЧС;
- операции на челюсти;
- неудачное ортодонтическое лечение;
- генетическая предрасположенность;
- заболевания сосудистой системы;
- инфекции;
- ревматоидный артрит, подагра,болезни, которые вызывают воспаление челюсти;
- неврозы и стрессы;
- патологии эндокринной системы;
- менопауза;
- слишком долгое пребывание с открытым ртом (у стоматолога);
- гормональный дисбаланс;
- возраст пациента старше 50 лет.
К факторам риска также относится деформация зубного ряда, отсутствие боковых зубов или стирание зубов в результате другой патологии.
Как помочь самому себе:
Симптомы
На первых порах патология дает о себе знать легкой ноющей болью в зоне сустава. Игнорировать такие спазмы ни в коем случае нельзя, иначе можно оказаться в больнице. Чтобы вылечить артроз челюстного сустава, симптомы нужно знать «в лицо». К ним относятся:
- боль при движении челюстью (даже незначительном) или нагрузке на сустав, возникающая с одной или сразу с двух сторон (появляется по причине истощения хрящевой, костной или соединительной тканей), которая может иррадиировать в шею, глаза, уши;
- боль в мышцах или суставах челюсти;
- щелчки или хруст челюстного сустава во время движения;
- перекошенность нижней части лица;
- смещение челюсти в бок при открытии рта;
- снижение подвижности сустава после длительного бездействия;
- возможное ухудшение слуха, мигрени;
- ограниченность подвижности, невозможность полностью открыть рот;
- жесткость в мышцах челюсти;
- мышечные спазмы вокруг челюсти.

При жевании или зевании симптомы могут ухудшаться. Они также становятся более выраженными при стрессе.
Артроз челюстно-лицевого сустава может не сопровождаться болевым синдромом при сахарном диабете или болезнях, связанных с обменом веществ и щитовидной железой.
Чем опасно заболевание?
Часто артроз челюсти на первых стадиях протекает бессимптомно, что приводит к длительному бездействию в лечении патологии. Однако игнорировать заболевание опасно. При обнаружении хотя бы одного из симптомов следует посетить врача. В запущенных формах патологии в ход идут медикаменты, ортопедия и даже хирургическое вмешательство.
В группу риска входят лица:
- старше 50 лет;
- женского пола, достигшие периода менопаузы;
- перенесшие травмы и операции челюсти;
- с нарушением прикуса, болезнями в области челюсти;
- с разрушенными или отсутствующими зубами;
- с хроническими воспалительными заболеваниями;
- с артрозом других суставов;
- чьи члены семьи страдают дисфункцией челюстного сустава.
Точная диагностика
Поскольку челюстной сустав имеет сложное строение, возможных причин развития артроза есть немало. Это существенно усложняет процесс диагностики и определения проблемы, его вызывающей. Стоматолог опрашивает, осматривает пациента на предмет асимметрии лица, западания губ, трещин в их уголках, пальпирует мышцы, определяя скованность движений. Врач определит артроз челюстного сустава сразу после этих действий.

Для определения стадии развития заболевания, его локализации чаще других используется рентгенография. Рентгеновский снимок позволяет увидеть возникшие деформации, разрастания костей, изменения их формы. Реже применяются КТ, электромиография, контрастная рентгенография или брекеты (ортодонтические скобы).
Способы лечения
Лечение артроза челюстного сустава проводится комплексно, с учетом симптомов. Среди терапевтических мер — медикаментозная атака, физиолечение, соблюдение диеты, ведение здорового образа жизни, при необходимости — ортопедия или хирургия. Терапия артроза челюсти может занять много времени, но прогноз — положительный. Все процедуры и медикаменты назначает врач, который пристально наблюдает за динамикой развития заболевания.
Доктор определяет, какой образ жизни ведет больной, затем ему назначаются лекарственные препараты и подбирается режим питания. А при появлении первых результатов пациента направляют на оздоровительные процедуры.
Медикаментозное
В лечебных целях применяются болеутоляющие гели, мази или таблетки. Среди препаратов используются: НПВС, кортикостероиды, опиаты и адъюванты, миорелаксанты, гипнотические анксиолитики и антидепрессанты.

На первом терапевтическом этапе назначаются НПВС (Ибупрофен, Кетанов, Парацетамол, Эторикоксиб, Диклофенак и Кеторол). Это широкая группа препаратов с большой анальгетической, жаропонижающей и противовоспалительной активностью. Однако длительное лечение НПВП не рекомендуется из-за побочных эффектов, которые они могут вызывать (особенно на уровне желудочно-кишечного тракта).
При назначении препаратов врач должен учитывать особенности ЖКТ пациента при назначении средств, снижающих кислотность желудочного сока (Омепразол, Лансопразол).
Даже «запущенный» АРТРОЗ можно вылечить дома! Просто не забывайте раз в день мазать этим.
При более тяжелых воспалительных симптомах рекомендуются кортикостероиды. Они эффективны при пероральном введении и ионтофорезе. Но повторная инъекция кортикоидов может индуцировать апоптоз хондроцитов и ускорять дегенеративные изменения. Поэтому альтернатива — инъекции гиалуроновой кислоты. Они так же эффективны, как кортикостероиды, но не вызывают дегенеративных изменений костей.
В артралгии и миалгии в качестве анальгетиков используются мышечные релаксанты, особенно при ограниченном открытии мандибулы (нижней челюсти). Другие адъюванты при лечении хронической боли в челюстном суставе — группа антидепрессантов. Трициклические антидепрессанты (Амитриптилин), уменьшают боль, борются с бессонницей и беспокойством. Селективные ингибиторы обратного захвата серотонина используют с осторожностью, поскольку они имеют много побочных действий и могут приводить к растяжению жевательных мышц, усугубляя мышечную боль.

Опиоидная терапия показана при умеренной и тяжелой хронической боли, которая не утихает при использовании традиционных анальгетиков, включая Кодеин, Трамадол, Морфин, Фентанил. Однако важно ознакомиться с противопоказаниями, которые возникают в результате применения опиатов.

Для восстановления хрящевой ткани могут потребоваться хондропротекторы (Терафлекс, Хондролон, Хондроитин сульфат, гиалуроновая кислота). Витаминные комплексы (Аскорбиновая кислота, Холекальциферол) и препараты кальция (Кальций-Д3-Никомед Форте, Кальцемин) — важная часть медикаментозного лечения артроза челюстного сустава.
Все используемые в терапии артроза ВНЧС препараты должны назначаться врачом. Важно проходить лечение курсом и не прерывать его сразу после исчезновения первых симптомов.
Физиотерапия
Физиотерапевтическая медицина может быть эффективной для пациентов с ограниченной подвижностью челюсти и болевым синдромом. Мандибулярные упражнения — часто единственное необходимое лечение. Они включают расслабление, поворот, растяжение. Растяжка вместе с местным холодом и теплом очень эффективна для уменьшения боли и улучшения подвижности. Такие упражнения эффективны при регулярном выполнении, так как уменьшают сжатие челюсти.
Если упражнения неэффективны или усиливают боль, существуют и другие физические методики, которые можно использовать:
- магнитотерапия;
- электрофорез с йодидом калия и новокаином (воздействие слабым электрическим током);
- массаж;
- лазеротерапия;
- прогревания желчью;
- облучение ультрафиолетом;
- гальванотерапия;
- воздействие ультразвуком или микроволнами;
- парафинотерапия;
- инфракрасное облучение;
- озокеритотерапия.
В краткосрочной перспективе эти процедуры могут уменьшить боль в челюсти и увеличить диапазон ее движений, чтобы продолжить выполнение упражнений лицевой гимнастики.
Антон Епифанов об эффективности физиотерапии:
Диета и образ жизни
Большое значение в лечении артроза ВНЧС придается диетическим рекомендациям. Пища, принимаемая больным, должна содержать углеводы, белки (для восстановления ткани хряща) и витамины группы В (для роста костной ткани). Ее предпочтительная консистенция – кашицеобразная, поскольку в таком виде она не будет создавать нагрузку на челюстной сустав. Поэтому в рацион включают каши, пюре, супы, яйца, перетертые фрукты и овощи, соки и молоко. Мясо можно перемалывать и подавать в виде пюре, суфле, котлет или тефтелей.

Из ежедневного меню необходимо полностью исключить кофе, крепкий чай, алкоголь, газированные сладкие напитки, шоколад, жвачку, копчености, цельные куски мяса, острые и тяжело пережевываемые продукты, поскольку они могут увеличивать напряжение в челюсти и усиливать боль.
Кроме диеты, больному следует придерживаться здорового образа жизни. На время лечения необходимо отказаться от курения и алкоголя, избегать стрессов, соблюдать режим сна и бодрствования, в достаточной мере отдыхать. Важно уменьшить нагрузку на сустав, что может быть достигнуто путем борьбы с некоторыми привычками (жевать резинку, кусать ногти, слишком широко открывать рот при зевании).
Ортопедическое лечение
Суть такой терапии — в том, чтобы создать одинаковую нагрузку на все челюстные суставы. При неправильном прикусе в лечении применяются каппы, брекеты, пластинки, коронки и протезы. В некоторых случаях больному устанавливается пращевидная повязка, ограничивающая подвижность сустава и препятствующая возможному резкому открыванию/закрыванию челюсти. Носить такую повязку приходится от 2 до 10 дней, в зависимости от степени поражения сустава.
Операция
Хирургическое вмешательство назначается, когда другие методы лечения не увенчались успехом. Показание для проведения операции — постоянная боль в суставе, связанная со специфическими структурными изменениями. Суть метода заключается в удалении сустава или внутрисуставного диска, устранении или пересадке головки нижней челюсти или установке трансплантата. Какая операция необходима пациенту, может решать только лечащий врач. Но трансплантат — наиболее эффективная методика лечения патологии, поскольку заменяет поврежденный сустав.

Реабилитационный послеоперационный период также включает прием медикаментов, физиотерапию, психологическое лечение, определенный режим питания и образа жизни.
Народные средства
С разрешения врача можно использовать нетрадиционные методы лечения артроза челюстного сустава. Существуют как простые, так и сложные в приготовлении средства народной медицины. Например, отлично помогает справиться с болью прогревание солью или песком. Их нужно разогреть, пересыпать в текстильный пакет и прикладывать к пораженной челюсти на 1,5-2 часа до полного остывания. Еще один простой рецепт – использование сырого яичного белка. На ночь мазать им всю челюсть и область за ушами.
Из более трудоемких, но и более эффективных народных средств можно выделить следующие:
Капли на основе чистотела
- Измельченный и отжатый через марлю чистотел смешать с медом в соотношении 1:1.
- Когда мед полностью растворится, лекарство готово.
- Его закапывают в каждую ноздрю по 1 капле перед сном. В первые несколько дней такое лечение может вызывать дискомфорт, но со временем будет заметен эффект.
Раствор для компрессов
- Смешать по 5 г следующие компоненты: корневища девясила, лопуха и хрена, листья и цветы мяты, зверобоя, мелиссы, чистотела, календулы, эвкалипта, подорожника, можжевеловые плоды.
- Сырье измельчить и залить раскаленным кукурузным маслом.
- После остывания раствор освобождается от всех твердых ингредиентов.
- В полученную жидкость добавить по 5 г перги и прополиса.
- Лекарство настаивать в теплом месте около 20 минут.
- В это время 100 г живичного скипидара смешать с 15-20 г живичной канифоли.
- Спустя 20 минут оба раствора смешать.
- Полученную смесь применять в качестве компрессов на ночь.
Профилактика
Профилактика предотвращения артроза челюстного сустава подразумевает выполнение нескольких условий:
- правильное и сбалансированное питание;
- повышение двигательной активности всего тела;
- избавление от вредных привычек;
- гигиена полости рта;
- регулярное посещение стоматолога и повышение внимания к прикусу.
Еще недавно артроз височно-нижнечелюстного сустава считался болезнью пожилых людей, но в нынешних условиях все чаще можно встретить представителей молодежи с таким диагнозом. С каждым годом количество больных, страдающих от этой патологии, возрастает. Причины — неправильное питание, экологические условия, малоподвижный образ жизни и нежелание идти к доктору при появлении первых симптомов.
Запоздалое обращение к врачу способствует переходу заболевания на последнюю стадию. Для его лечения может потребоваться многопрофильная команда, в которую входят стоматолог, челюстно-лицевой хирург, физиотерапевт, психолог и другие специалисты.
Артрозы ВНЧС — поражение челюстно-лицевого сустава: причины, симптомы и методы лечения
Артроз ВНЧС – это хроническая дегенеративная патология, которая затрагивает суставной хрящ челюстного аппарата. Под воздействие патологического процесса попадают мышцы, связки, кости, расположенные возле верхнечелюстного сочленения. Недуг может привести к инвалидности, ведь при артрозе ВНЧС функциональность сустава резко снижается.
Причины артроза ВНЧС
Артроз челюстно-лицевого сустава имеет хроническое течение. Его появление провоцируют продолжительные дистрофические явления в костных тканях. Болезнь развивается под воздействием локальных и общих причин. К локальным этиологическим факторам артроза челюстно-лицевого сустава относят:
- артрит височно-нижнечелюстного сустава в хронике;
- патологический прикус различного рода;
- отсутствие жевательных зубов на нижней челюсти;
- патологическое стирание эмали при бруксизме;
- некорректно установленные постоянные пломбы;
- некачественное протезирование;
- повреждения черепа;
- оперативное вмешательство на суставе, проведенное ранее.
Появлению артроза нижней челюсти способствуют такие общие этиологические факторы:
- генетическая предрасположенность;
- проблемные сосуды;
- инфекционное заражение (грипп);
- системные патологии воспалительного характера (ревматизм);
- плохое функционирование желез внутренней секреции;
- заболевания костной и хрящевой ткани;
- гормональные изменения у женщин за 40.
Классификация артрозов ВНЧС
Артроз нижнечелюстного сустава по происхождению подразделяют на:
- Первичный. Возникает из-за возрастных перестроек в организме, потому диагностируется у пожилых людей. Является полиартикулярной патологией.
- Вторичный. Его появлению предшествуют длительные воспаления, частые травмы, нарушения обмена веществ, проблемы с сосудами.
Исходя из рентгенологической картины, артроз ВНЧС встречается:
- Склерозирующий. Для него характерен склероз костных поверхностей, уменьшение просвета суставных щелей.
- Деформирующий. При нем наблюдается уплощение ямки, головки и бугорка сустава, на котором происходит образование экзофитов. Исход патологических изменений – радикальное изменение структуры суставной головки нижней челюсти.
Симптомы патологии
Заболевание прогрессирует медленно, поэтому на первых порах пациент не чувствует дискомфорта. Симптом, с которого начинается недуг, — это хруст в нижнечелюстном суставе. По утрам больной ощущает скованность в нижней челюсти. На протяжении дня этот признак постепенно исчезает. С течение времени к скованности сустава присоединяются болевые ощущения. Вначале симптомы беспокоят при разговоре и при принятии пищи, дальше – в состоянии покоя. Боль становится интенсивнее при смене погодных условий и в вечерние часы.
Подвижность сустава все больше ограничивается. Амплитуда его движений становится меньше. Изменения сопровождаются симптомами:
- несимметричностью половин лица;
- патологическим смещением челюсти во время открывания рта;
- онемением на пораженной стороне;
- болью в области языка, уха, глаза;
- снижением слуха.
Осмотр височно-нижнечелюстного сочленения способен определить:
- крепитацию и хруст при его прощупывании и прослушивании;
- сдвиг челюсти в сторону для полноценного открытия рта;
- отсутствие боли при пальпации;
- затрудненное открывание рта (не более 05, см).
Диагностика болезни
Диагноз ставится на основании данных, полученных в ходе объективного осмотра, пальпации, аускультации и рентгенографии. Последняя является основным методом при диагностировании артроза ВНЧС. Благодаря ей заметны первые патологические изменения в суставе. Более точную информацию о его состоянии даст томография.
Из дополнительных исследований при болезнях ВНЧС рекомендованы:
- электромиография;
- артрофонография;
- артрография;
- ортопантомограмма.
Какой врач лечит недуг? Им занимается челюстно-лицевой хирург. Дополнительные консультации проводятся с ревматологом, ортодонтом.
Методы лечения
Лечение артроза нижнечелюстного сустава должно быть комплексным. Оно включает терапевтические, ортодонтические и ортопедические мероприятия. Перед врачами, ортопедом и ортодонтом, стоит цель устранить факторы, которые вызвали перегрузку сустава, восстановить прикус. Для этого проводится избирательное пришлифовывание.
- Для купирования болевых ощущений показан прием нестероидных противовоспалительных средств. Чаще для лечения используются таблетки, реже — мази. Назначается «Ибупрофен», «Кеторол», «Диклофенак».
- Защитить и обновить хрящевую ткань могут хондропротекторы. Эту задачу выполняет гиалуроновая кислота либо хондроитин сульфат. Эффективен «Хондроксид».
- При интенсивной и затяжной боли делаются внутрисуставные инъекции. Применяются гормональные препараты пролонгированного действия. Один из таких – «Дипроспан». Терапия уместна не чаще, чем 1 раз в полгода.
- Полезными будут витамины D и С, препараты Ca («Кальцемин»).
Физиопроцедуры, уместные при артрозе ВНЧС:
- ультразвуковой фонофорез;
- массаж;
- электрофорез;
- гальванотерапия.
Лечение артроза ВНЧС хирургически проводится в тяжелых клинических ситуациях. Современные операции на суставе малоинвазивны. Они не вызывают нарушения прикуса и жевательных функций. Их цель – быстро восстановить работу сустава. Чаще других проводится:
- резекция либо пересадка головки сустава;
- менискэктомия (удаление внутрисуставного диска);
- протезирование при полном разрушении сустава.
Профилактика
Избежать артроза височно-нижнечелюстного сустава можно, если придерживаться нехитрых правил:
- улучшать питание;
- закалять организм и заниматься спортом;
- свести к минимуму вредные привычки;
- следить за гигиеной полости рта;
- своевременно санировать полость рта, проводить протезирование;
- вовремя лечить артрит и другие воспалительные заболевания;
- в регулярном порядке посещать врача-стоматолога.
Артроз ВНЧС – болезнь, которая встречается повсеместно. Она хорошо поддается лечению на ранних этапах развития. Запустить недуг, значит обречь себя на длительную и не всегда успешную терапию. Следите за своим здоровьем!